JavaScript is disabled in your browser. Please enable JavaScript to view this website.
AB253190

Anti-Calcium channel L type DHPR alpha 2 subunit/CACNA2D1 antibody [EPR23267-8]

Be the first to review this product! Submit a review

|

(4 Publications)

Rabbit Recombinant Monoclonal Calcium channel L type DHPR alpha 2 subunit/CACNA2D1 antibody. Suitable for WB, IHC-P and reacts with Mouse, Rat samples. Cited in 4 publications.

View Alternative Names

Cacna2, Cacna2d1, Voltage-dependent calcium channel subunit alpha-2/delta-1, Voltage-gated calcium channel subunit alpha-2/delta-1

6 Images
Immunohistochemistry (Formalin/PFA-fixed paraffin-embedded sections) - Anti-Calcium channel L type DHPR alpha 2 subunit/CACNA2D1 antibody [EPR23267-8] (AB253190)
  • IHC-P

Unknown

Immunohistochemistry (Formalin/PFA-fixed paraffin-embedded sections) - Anti-Calcium channel L type DHPR alpha 2 subunit/CACNA2D1 antibody [EPR23267-8] (AB253190)

Immunohistochemical analysis of paraffin-embedded mouse skeletal muscle tissue labeling Calcium channel L type DHPR alpha 2 subunit/CACNA2D1 with ab253190 at 1/200 dilution followed by a ready to use Goat Anti-Rabbit IgG H&L (HRP). Positive staining on mouse skeletal muscle (PMID : 18063658). Counterstained with Hematoxylin.

Secondary antibody only control : Secondary antibody is a ready to use Goat Anti-Rabbit IgG H&L (HRP).

Heat mediated antigen retrieval using ab93684 (Tris/EDTA buffer, pH 9.0).

Immunohistochemistry (Formalin/PFA-fixed paraffin-embedded sections) - Anti-Calcium channel L type DHPR alpha 2 subunit/CACNA2D1 antibody [EPR23267-8] (AB253190)
  • IHC-P

Unknown

Immunohistochemistry (Formalin/PFA-fixed paraffin-embedded sections) - Anti-Calcium channel L type DHPR alpha 2 subunit/CACNA2D1 antibody [EPR23267-8] (AB253190)

Immunohistochemical analysis of paraffin-embedded rat skeletal muscle tissue labeling Calcium channel L type DHPR alpha 2 subunit/CACNA2D1 with ab253190 at 1/200 dilution followed by a ready to use Goat Anti-Rabbit IgG H&L (HRP). Positive staining on rat skeletal muscle (PMID : 18063658). Counterstained with Hematoxylin.

Secondary antibody only control : Secondary antibody is a ready to use Goat Anti-Rabbit IgG H&L (HRP).

Heat mediated antigen retrieval using ab93684 (Tris/EDTA buffer, pH 9.0).

Immunohistochemistry (Formalin/PFA-fixed paraffin-embedded sections) - Anti-Calcium channel L type DHPR alpha 2 subunit/CACNA2D1 antibody [EPR23267-8] (AB253190)
  • IHC-P

Unknown

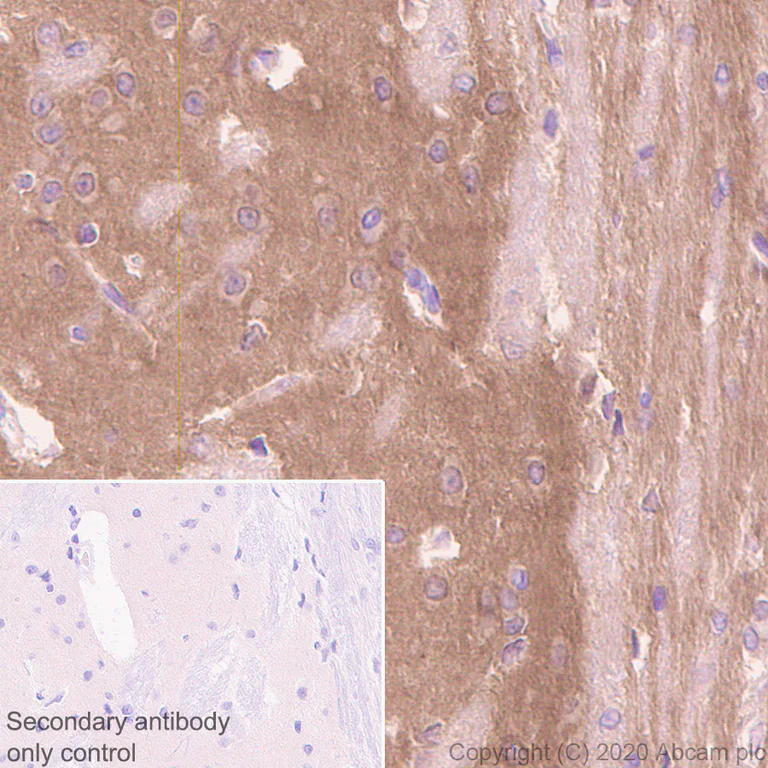
Immunohistochemistry (Formalin/PFA-fixed paraffin-embedded sections) - Anti-Calcium channel L type DHPR alpha 2 subunit/CACNA2D1 antibody [EPR23267-8] (AB253190)

Immunohistochemical analysis of paraffin-embedded rat cerebrum tissue labeling Calcium channel L type DHPR alpha 2 subunit/CACNA2D1 with ab253190 at 1/200 dilution followed by a ready to use Goat Anti-Rabbit IgG H&L (HRP). Positive staining on rat cerebrum (PMID : 8955374). Counterstained with Hematoxylin.

Secondary antibody only control : Secondary antibody is a ready to use Goat Anti-Rabbit IgG H&L (HRP).

Heat mediated antigen retrieval using ab93684 (Tris/EDTA buffer, pH 9.0).

Immunohistochemistry (Formalin/PFA-fixed paraffin-embedded sections) - Anti-Calcium channel L type DHPR alpha 2 subunit/CACNA2D1 antibody [EPR23267-8] (AB253190)
  • IHC-P

Unknown

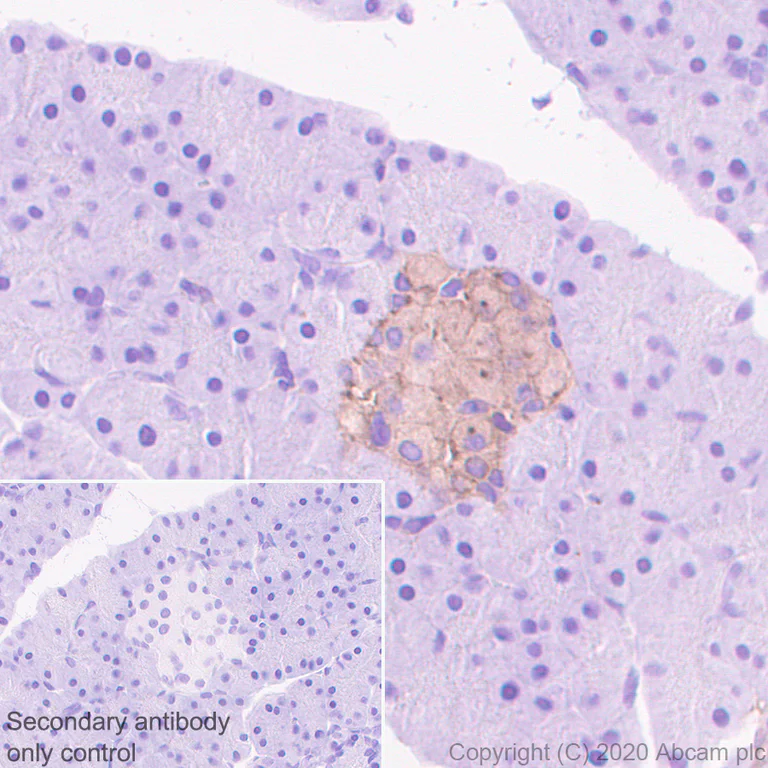
Immunohistochemistry (Formalin/PFA-fixed paraffin-embedded sections) - Anti-Calcium channel L type DHPR alpha 2 subunit/CACNA2D1 antibody [EPR23267-8] (AB253190)

Immunohistochemical analysis of paraffin-embedded rat pancreas tissue labeling Calcium channel L type DHPR alpha 2 subunit/CACNA2D1 with ab253190 at 1/200 dilution followed by a ready to use Goat Anti-Rabbit IgG H&L (HRP). Positive staining on rat pancreatic islet (PMID : 28115397). Counterstained with Hematoxylin.

Secondary antibody only control : Secondary antibody is a ready to use Goat Anti-Rabbit IgG H&L (HRP).

Heat mediated antigen retrieval using ab93684 (Tris/EDTA buffer, pH 9.0).

Western blot - Anti-Calcium channel L type DHPR alpha 2 subunit/CACNA2D1 antibody [EPR23267-8] (AB253190)
  • WB

Lab

Western blot - Anti-Calcium channel L type DHPR alpha 2 subunit/CACNA2D1 antibody [EPR23267-8] (AB253190)

Blocking and diluting buffer and concentration : 5% NFDM/TBST.

Observed molecular weight disparity due to alternative splicing what has been described in the literature (PMID : 15000524).

Exposure time : 3 minutes.

All lanes:

Western blot - Anti-Calcium channel L type DHPR alpha 2 subunit/CACNA2D1 antibody [EPR23267-8] (ab253190) at 1/1000 dilution

Lane 1:

Mouse brain tissue lysate at 20 µg

Lane 2:

Mouse heart tissue lysate at 20 µg

Lane 3:

Rat brain tissue lysate at 20 µg

Lane 4:

Rat heart tissue lysate at 20 µg

Secondary

All lanes:

Goat Anti-Rabbit IgG, (H+L), Peroxidase conjugated (<a href='/en-us/products/secondary-antibodies/goat-rabbit-igg-h-l-hrp-ab97051'>ab97051</a>) at 1/100000 dilution

Predicted band size: 125 kDa

Observed band size: 150 kDa

false

Western blot - Anti-Calcium channel L type DHPR alpha 2 subunit/CACNA2D1 antibody [EPR23267-8] (AB253190)
  • WB

Lab

Western blot - Anti-Calcium channel L type DHPR alpha 2 subunit/CACNA2D1 antibody [EPR23267-8] (AB253190)

Blocking and diluting buffer and concentration : 5% NFDM/TBST.

Exposure times : Lanes 1-4 : 3 minutes; Lane 5 : 15 seconds.

All lanes:

Western blot - Anti-Calcium channel L type DHPR alpha 2 subunit/CACNA2D1 antibody [EPR23267-8] (ab253190) at 1/1000 dilution

Lane 1:

Mouse skeletal muscle tissue lysate at 20 µg

Lane 2:

C2C12 (mouse myoblasts myoblast) whole cell lysate at 20 µg

Lane 3:

C6 (rat glial tumor glial cell) whole cell lysate at 20 µg

Lane 4:

PC-12 (rat adrenal gland pheochromocytoma) whole cell lysate at 20 µg

Lane 5:

Rat skeletal muscle tissue lysate at 20 µg

Secondary

All lanes:

Goat Anti-Rabbit IgG, (H+L), Peroxidase conjugated (<a href='/en-us/products/secondary-antibodies/goat-rabbit-igg-h-l-hrp-ab97051'>ab97051</a>) at 1/100000 dilution

Predicted band size: 125 kDa

Observed band size: 150 kDa

false

Key facts

Host species

Rabbit

Clonality

Monoclonal

Clone number

EPR23267-8

Isotype

IgG

Carrier free

No

Reacts with

Mouse, Rat

Applications

WB, IHC-P

applications

Immunogen

The exact immunogen used to generate this antibody is proprietary information.

Reactivity data

{ "title": "Reactivity Data", "filters": { "stats": ["", "Species", "Dilution Info", "Notes"], "tabs": { "all-applications": {"fullname" : "All Applications", "shortname": "All Applications"}, "IP" : {"fullname" : "Immunoprecipitation", "shortname":"IP"}, "FlowCyt" : {"fullname" : "Flow Cytometry", "shortname":"Flow Cyt"}, "WB" : {"fullname" : "Western blot", "shortname":"WB"}, "ICCIF" : {"fullname" : "Immunocytochemistry/ Immunofluorescence", "shortname":"ICC/IF"}, "IHCP" : {"fullname" : "Immunohistochemistry (Formalin/PFA-fixed paraffin-embedded sections)", "shortname":"IHC-P"} }, "product-promise": { "all": "all", "testedAndGuaranteed": "tested", "guaranteed": "expected", "predicted": "predicted", "notRecommended": "not-recommended" } }, "values": { "Human": { "IP-species-checked": "notRecommended", "IP-species-dilution-info": "", "IP-species-notes": "", "FlowCyt-species-checked": "notRecommended", "FlowCyt-species-dilution-info": "", "FlowCyt-species-notes": "<p></p>", "WB-species-checked": "notRecommended", "WB-species-dilution-info": "1/1000", "WB-species-notes": "<p></p>", "ICCIF-species-checked": "notRecommended", "ICCIF-species-dilution-info": "", "ICCIF-species-notes": "", "IHCP-species-checked": "notRecommended", "IHCP-species-dilution-info": "1/200", "IHCP-species-notes": "<p></p> Perform heat-mediated antigen retrieval with Tris/EDTA buffer pH 9.0 before commencing with IHC staining protocol." }, "Mouse": { "IP-species-checked": "notRecommended", "IP-species-dilution-info": "", "IP-species-notes": "<p></p>", "FlowCyt-species-checked": "notRecommended", "FlowCyt-species-dilution-info": "", "FlowCyt-species-notes": "<p></p>", "WB-species-checked": "testedAndGuaranteed", "WB-species-dilution-info": "1/1000", "WB-species-notes": "<p></p>", "ICCIF-species-checked": "notRecommended", "ICCIF-species-dilution-info": "", "ICCIF-species-notes": "<p></p>", "IHCP-species-checked": "testedAndGuaranteed", "IHCP-species-dilution-info": "1/200", "IHCP-species-notes": "<p></p> Perform heat-mediated antigen retrieval with Tris/EDTA buffer pH 9.0 before commencing with IHC staining protocol." }, "Rat": { "IP-species-checked": "notRecommended", "IP-species-dilution-info": "", "IP-species-notes": "<p></p>", "FlowCyt-species-checked": "notRecommended", "FlowCyt-species-dilution-info": "", "FlowCyt-species-notes": "<p></p>", "WB-species-checked": "testedAndGuaranteed", "WB-species-dilution-info": "1/1000", "WB-species-notes": "<p></p>", "ICCIF-species-checked": "notRecommended", "ICCIF-species-dilution-info": "", "ICCIF-species-notes": "<p></p>", "IHCP-species-checked": "testedAndGuaranteed", "IHCP-species-dilution-info": "1/200", "IHCP-species-notes": "<p></p> Perform heat-mediated antigen retrieval with Tris/EDTA buffer pH 9.0 before commencing with IHC staining protocol." } } }

Product details

Patented technology
Our RabMAb® technology is a patented hybridoma-based technology for making rabbit monoclonal antibodies. For details on our patents, please refer to RabMAb® patents.

What are the advantages of a recombinant monoclonal antibody?
This product is a recombinant monoclonal antibody, which offers several advantages including:

  • - High batch-to-batch consistency and reproducibility
  • - Improved sensitivity and specificity
  • - Long-term security of supply
  • - Animal-free batch production

For more information, read more on recombinant antibodies.

Properties and storage information

Form
Liquid
Purification technique
Affinity purification Protein A
Storage buffer
pH: 7.2 - 7.4 Preservative: 0.01% Sodium azide Constituents: PBS, 40% Glycerol (glycerin, glycerine), 0.05% BSA
Shipped at conditions
Blue Ice
Appropriate short-term storage duration
1-2 weeks
Appropriate short-term storage conditions
+4°C
Appropriate long-term storage conditions
-20°C
Aliquoting information
Upon delivery aliquot
Storage information
Avoid freeze / thaw cycle

Supplementary information

This supplementary information is collated from multiple sources and compiled automatically.

The Calcium channel L type DHPR alpha 2 subunit also known as CACNA2D1 or alpha-2-delta plays a significant role in cellular calcium regulation. This subunit typically part of the voltage-gated calcium channel complex allows calcium ions to enter the cells following electrical stimuli. With a mass of about 150 kDa CACNA2D1 expresses predominantly in skeletal and cardiac muscle tissues and the central nervous system. Its presence across different tissues suggests various physiological roles linking its mechanical function to electrical signaling and muscle contraction.
Biological function summary

CACNA2D1 aids in modulating neurotransmitter release and excitation-contraction coupling. This protein often integrates into the larger voltage-gated calcium channel complex working in concert with other subunits to optimize calcium flow. This particular function supports critical processes in muscle cells and neurons integrating signals in response to electrical impulses. The alpha-2-delta ligand poses significance here as well often used to modify the channel's activity and study its role in cellular communication.

Pathways

CACNA2D1 actively participates in electrical signaling and muscle contraction pathways. It contributes to the excitation-contraction coupling pathway in muscle cells aligning closely with proteins like the ryanodine receptor ensuring efficient calcium-induced calcium release. Its action also extends to the neurotransmitter release pathway where it associates with synaptic proteins regulating neurotransmission. The function within these pathways underlines its importance in both muscle and neural activities.

CACNA2D1 associates with conditions such as epilepsy and neuropathic pain. The dysfunction in its channel activity can lead to altered calcium flow contributing to these disorders. The alpha-2-delta ligand such as the gabapentin chemical structure plays a role here often targeting the channel to mitigate symptoms. Gabapentin's influence highlights the therapeutic potential of targeting CACNA2D1 in disease management providing critical insights into neuromodulation treatments.

Product protocols

For this product, it's our understanding that no specific protocols are required. You can visit:

Target data

The alpha-2/delta subunit of voltage-dependent calcium channels regulates calcium current density and activation/inactivation kinetics of the calcium channel (By similarity). Plays an important role in excitation-contraction coupling (By similarity).
See full target information Cacna2d1

Publications (4)

Recent publications for all applications. Explore the full list and refine your search

Nature communications 16:6578 PubMed40675962

2025

The tumor-sentinel lymph node immuno-migratome reveals CCR7⁺ dendritic cells drive response to sequenced immunoradiotherapy.

Applications

Unspecified application

Species

Unspecified reactive species

Robert Saddawi-Konefka,Riyam Al Msari,Shiqi Tang,Chad Philips,Sayed Sadat,Lauren M Clubb,Sarah Luna,Santiago Fassardi,Riley Jones,Ida Franiak Pietryga,Farhoud Faraji,Shiruyeh Schokrpur,Bryan S Yung,Michael M Allevato,Kelsey E Decker,Chanond A Nasamran,Daisy Chilin-Fuentes,Sara Brin Rosenthal,Shawn M Jensen,Bernard A Fox,R Bryan Bell,J Silvio Gutkind,Andrew Sharabi,Joseph A Califano

American journal of physiology. Heart and circulatory physiology 328:H460-H471 PubMed39888327

2025

Gestational arsenite exposure alters maternal postpartum heart size and induces Ca-handling dysregulation in cardiomyocytes.

Applications

Unspecified application

Species

Unspecified reactive species

Nicole Taube,Morgan Steiner,Obialunanma V Ebenebe-Kasonde,Raihan Kabir,Haley Garbus-Grant,Sarah-Marie Alam El Din,Emily Illingworth,Nadan Wang,Brian L Lin,Mark J Kohr

BMC cardiovascular disorders 24:519 PubMed39333891

2024

The interaction between neutrophils and atrial myocytes in the occurrence and development of atrial fibrillation.

Applications

Unspecified application

Species

Unspecified reactive species

Tao Li,Yan Wang,Jie Wan,Yu Duan,Yang Xu,Mao Yang

International journal of molecular sciences 24: PubMed37762672

2023

Stachydrine Hydrochloride Regulates the NOX2-ROS-Signaling Axis in Pressure-Overload-Induced Heart Failure.

Applications

Unspecified application

Species

Unspecified reactive species

Shuang Lu,Yueyang Liang,Songru Yang,Mengwei Fu,Xiaoli Shan,Chen Zhang,Huihua Chen,Pei Zhao,Rong Lu
View all publications

Product promise

We are committed to supporting your work with high-quality reagents, and we're here for you every step of the way. In the unlikely event that one of our products does not perform as expected, you're protected by our Product Promise.
For full details, please see our Terms & Conditions

Please note: All products are 'FOR RESEARCH USE ONLY. NOT FOR USE IN DIAGNOSTIC OR THERAPEUTIC PROCEDURES'.

For licensing inquiries, please contact partnerships@abcam.com