JavaScript is disabled in your browser. Please enable JavaScript to view this website.
AB259950

Anti-Calcium-independent Phospholipase A2/PLA2G6 antibody [EPR23994-103]

  • BOND RX™ Validated
  • KO Validated
  • RabMAb
  • Recombinant
  • What is this?

Be the first to review this product! Submit a review

|

(1 Publication)

Rabbit Recombinant Monoclonal Calcium-independent Phospholipase A2/PLA2G6 antibody. Suitable for WB, IHC-P and reacts with Mouse, Rat, Human samples. Cited in 1 publication.

View Alternative Names

PLPLA9, PLA2G6, 85/88 kDa calcium-independent phospholipase A2, CaI-PLA2, 2-lysophosphatidylcholine acylhydrolase, Group VI phospholipase A2, Intracellular membrane-associated calcium-independent phospholipase A2 beta, Palmitoyl-CoA hydrolase, Patatin-like phospholipase domain-containing protein 9, GVI PLA2, iPLA2-beta, PNPLA9

8 Images
Western blot - Anti-Calcium-independent Phospholipase A2/PLA2G6 antibody [EPR23994-103] (AB259950)
  • WB

Lab

Western blot - Anti-Calcium-independent Phospholipase A2/PLA2G6 antibody [EPR23994-103] (AB259950)

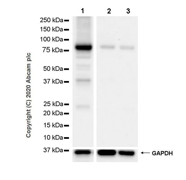
Western blot : Rabbit Monoclonal[EPR23994-103] to Calcium-independent Phospholipase A2/PLA2G6 ab259950 staining at 1/1000 dilution, shown in green; Mouse anti GAPDH (ab8245) loading control staining at 1/20,000 dilution, shown in magenta. A band was observed at 76 kDa in Wild-type U-87 MG cell lysates with no signal observed at this size in PLA2G6 knockout U-87 MG cell line. To generate this image, samples were run on an SDS-PAGE gel then transferred onto a nitrocellulose membrane. Membranes were blocked in 3 % Milk in TBS-0.1 % Tween® 20 (TBS-T) before incubation with primary antibodies overnight at 4 °C. Blots were washed four times in TBS-T, incubated with secondary antibodies for 1 h at room temperature, washed again four times then imaged. Secondary antibodies used were Goat anti-Rabbit 800CW & Goat anti-Mouse 680RD at 1/20,000 dilution.

All lanes:

Western blot - Anti-Calcium-independent Phospholipase A2/PLA2G6 antibody [EPR23994-103] (ab259950) at 1/1000 dilution

Lane 1:

Wild-type U-87 MG at 20 µg

Lane 2:

Western blot - Human PLA2G6 knockout U-87 MG cell line (<a href='/en-us/products/cell-lines/human-pla2g6-knockout-u-87-mg-cell-line-ab306752'>ab306752</a>) at 20 µg

Lane 3:

LNCaP at 20 µg

Lane 4:

Human Brain at 20 µg

Lane 5:

PC-3 at 20 µg

Secondary

All lanes:

Goat anti-Rabbit 800CW & Goat anti-Mouse 680RD at 1/20000 dilution

Predicted band size: 90 kDa

Observed band size: 76 kDa

false

Western blot - Anti-Calcium-independent Phospholipase A2/PLA2G6 antibody [EPR23994-103] (AB259950)
  • WB

Lab

Western blot - Anti-Calcium-independent Phospholipase A2/PLA2G6 antibody [EPR23994-103] (AB259950)

Blocking and diluting buffer and concentration : 5% NFDM/TBST. ab181602 was used as a GAPDH loading control. Exposure time : 5.5 seconds. Negative control : human liver and human colon. In Western blot, anti-GAPDH antibody (ab181602) staining at 1/20, 0000 dilution.

All lanes:

Western blot - Anti-Calcium-independent Phospholipase A2/PLA2G6 antibody [EPR23994-103] (ab259950) at 1/1000 dilution

Lane 1:

Human testis tissue lysate at 40 µg

Lane 2:

Human liver tissue lysate at 40 µg

Lane 3:

Human colon tissue lysate at 40 µg

Secondary

All lanes:

Western blot - Goat Anti-Rabbit IgG H&L (HRP) (<a href='/en-us/products/secondary-antibodies/goat-rabbit-igg-h-l-hrp-ab97051'>ab97051</a>) at 1/20000 dilution

Predicted band size: 89 kDa

Observed band size: 89 kDa

false

Western blot - Anti-Calcium-independent Phospholipase A2/PLA2G6 antibody [EPR23994-103] (AB259950)
  • WB

Lab

Western blot - Anti-Calcium-independent Phospholipase A2/PLA2G6 antibody [EPR23994-103] (AB259950)

Blocking and diluting buffer and concentration : 5% NFDM/TBST. ab181602 was used as a GAPDH loading control. Negative control : PC-3. In Western blot, anti-GAPDH antibody (ab181602) staining at 1/20, 0000 dilution.

All lanes:

Western blot - Anti-Calcium-independent Phospholipase A2/PLA2G6 antibody [EPR23994-103] (ab259950) at 1/1000 dilution

Lane 1:

LNCaP (human prostate carcinoma epithelial cell) while cell lysate at 20 µg

Lane 2:

PC-3 (human prostate adenocarcinoma epithelial cell) while cell lysate at 20 µg

Secondary

All lanes:

Western blot - Goat Anti-Rabbit IgG H&L (HRP) (<a href='/en-us/products/secondary-antibodies/goat-rabbit-igg-h-l-hrp-ab97051'>ab97051</a>) at 1/20000 dilution

Predicted band size: 89 kDa

Observed band size: 89 kDa

false

Exposure time: 15s

Western blot - Anti-Calcium-independent Phospholipase A2/PLA2G6 antibody [EPR23994-103] (AB259950)
  • WB

Lab

Western blot - Anti-Calcium-independent Phospholipase A2/PLA2G6 antibody [EPR23994-103] (AB259950)

Blocking and diluting buffer and concentration : 5% NFDM/TBST

The molecular weight observed is consistent with what has been described in the literature (PMID : 29109765)

Low expression : brain, lung (PMID : 10336645)

Exposure time : 10 seconds

All lanes:

Western blot - Anti-Calcium-independent Phospholipase A2/PLA2G6 antibody [EPR23994-103] (ab259950) at 1/1000 dilution

Lane 1:

Mouse testis tissue lysate at 20 µg

Lane 2:

Mouse brain tissue lysate at 20 µg

Lane 3:

Mouse lung tissue lysate at 20 µg

Secondary

All lanes:

Western blot - Goat Anti-Rabbit IgG H&L (HRP) (<a href='/en-us/products/secondary-antibodies/goat-rabbit-igg-h-l-hrp-ab97051'>ab97051</a>) at 1/100000 dilution

Predicted band size: 89 kDa

Observed band size: 36 kDa,88 kDa

false

Immunohistochemistry (Formalin/PFA-fixed paraffin-embedded sections) - Anti-Calcium-independent Phospholipase A2/PLA2G6 antibody [EPR23994-103] (AB259950)
  • IHC-P

Lab

Immunohistochemistry (Formalin/PFA-fixed paraffin-embedded sections) - Anti-Calcium-independent Phospholipase A2/PLA2G6 antibody [EPR23994-103] (AB259950)

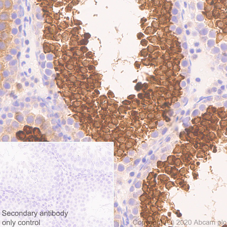
Immunohistochemical analysis of paraffin-embedded Mouse testis tissue labeling Calcium-independent Phospholipase A2/PLA2G6 with ab259950 at 1/100 (8.18 ug/ml) dilution followed by a ready to use Rabbit specific IHC polymer detection kit HRP/DAB (ab209101). Cytoplasmic staining on mouse testis (PMID : 9079687). The section was incubated with ab259950 for 30 mins at room temperature. The immunostaining was performed on a Leica Biosystems BOND® RX instrument Counterstained with Hematoxylin.

Secondary antibody only control : Secondary antibody is a ready to use Rabbit specific IHC polymer detection kit HRP/DAB (ab209101).

Heat mediated antigen retrieval with Tris-EDTA buffer (pH 9.0, epitope retrieval solution2) for 20 mins

Immunohistochemistry (Formalin/PFA-fixed paraffin-embedded sections) - Anti-Calcium-independent Phospholipase A2/PLA2G6 antibody [EPR23994-103] (AB259950)
  • IHC-P

Lab

Immunohistochemistry (Formalin/PFA-fixed paraffin-embedded sections) - Anti-Calcium-independent Phospholipase A2/PLA2G6 antibody [EPR23994-103] (AB259950)

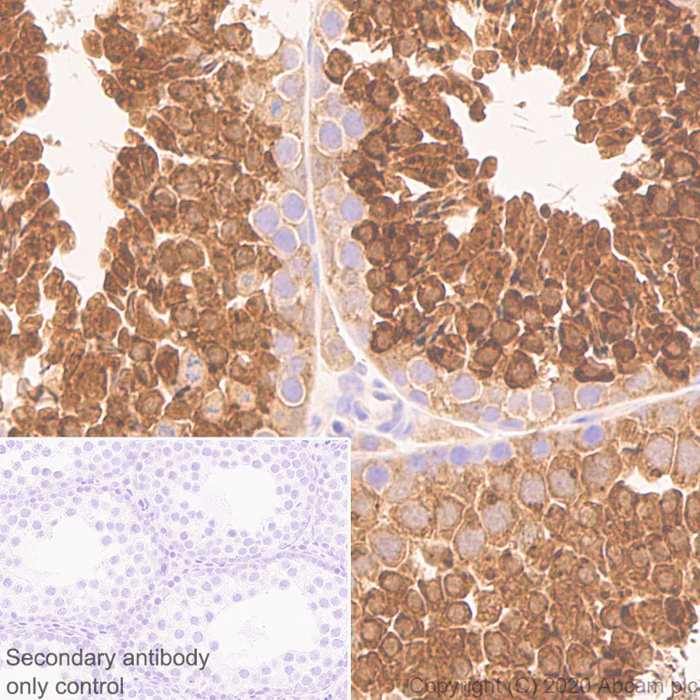
Immunohistochemical analysis of paraffin-embedded Rat testis tissue labeling Calcium-independent Phospholipase A2/PLA2G6 with ab259950 at 1/100 (8.18 ug/ml) dilution followed by a ready to use Rabbit specific IHC polymer detection kit HRP/DAB (ab209101). Cytoplasmic staining on rat testis (PMID : 9079687). The section was incubated with ab259950 for 30 mins at room temperature.The immunostaining was performed on a Leica Biosystems BOND® RX instrument Counterstained with Hematoxylin.

Secondary antibody only control : Secondary antibody is a ready to use Rabbit specific IHC polymer detection kit HRP/DAB (ab209101).

Heat mediated antigen retrieval with Tris-EDTA buffer (pH 9.0, epitope retrieval solution2) for 20 mins

Western blot - Anti-Calcium-independent Phospholipase A2/PLA2G6 antibody [EPR23994-103] (AB259950)
  • WB

Lab

Western blot - Anti-Calcium-independent Phospholipase A2/PLA2G6 antibody [EPR23994-103] (AB259950)

Blocking and diluting buffer and concentration : 5% NFDM/TBST

The molecular weight observed is consistent with what has been described in the literature (PMID : 29109765)

Low expression : brain, lung (PMID : 10336645)

Exposure time : 10 seconds

All lanes:

Western blot - Anti-Calcium-independent Phospholipase A2/PLA2G6 antibody [EPR23994-103] (ab259950) at 1/1000 dilution

Lane 1:

Rat testis tissue lysate at 20 µg

Lane 2:

Rat brain tissue lysate at 20 µg

Lane 3:

Rat lung tissue lysate at 20 µg

Secondary

All lanes:

Western blot - Goat Anti-Rabbit IgG H&L (HRP) (<a href='/en-us/products/secondary-antibodies/goat-rabbit-igg-h-l-hrp-ab97051'>ab97051</a>) at 1/100000 dilution

Predicted band size: 89 kDa

Observed band size: 36 kDa,88 kDa

false

Western blot - Anti-Calcium-independent Phospholipase A2/PLA2G6 antibody [EPR23994-103] (AB259950)
  • WB

Lab

Western blot - Anti-Calcium-independent Phospholipase A2/PLA2G6 antibody [EPR23994-103] (AB259950)

Blocking and diluting buffer and concentration : 5% NFDM/TBST

The blot was developed using a higher sensitivity ECL substrate.

Exposure time : 3 minutes

All lanes:

Western blot - Anti-Calcium-independent Phospholipase A2/PLA2G6 antibody [EPR23994-103] (ab259950) at 1/1000 dilution

Lane 1:

F9 (mouse embryonal carcinoma epithelial cell) whole cell lysate at 20 µg

Lane 2:

C6 (rat glial tumor glial cell) whole cell lysate at 20 µg

Secondary

All lanes:

Western blot - Goat Anti-Rabbit IgG H&L (HRP) (<a href='/en-us/products/secondary-antibodies/goat-rabbit-igg-h-l-hrp-ab97051'>ab97051</a>) at 1/100000 dilution

Predicted band size: 89 kDa

Observed band size: 88 kDa

false

  • Carrier free

    Anti-Calcium-independent Phospholipase A2/PLA2G6 antibody [EPR23994-103] - BSA and Azide free

Key facts

Host species

Rabbit

Clonality

Monoclonal

Clone number

EPR23994-103

Isotype

IgG

Carrier free

No

Reacts with

Human, Mouse, Rat

Applications

IHC-P, WB

applications

Immunogen

The exact immunogen used to generate this antibody is proprietary information.

Reactivity data

{ "title": "Reactivity Data", "filters": { "stats": ["", "Species", "Dilution Info", "Notes"], "tabs": { "all-applications": {"fullname" : "All Applications", "shortname": "All Applications"}, "IP" : {"fullname" : "Immunoprecipitation", "shortname":"IP"}, "ICCIF" : {"fullname" : "Immunocytochemistry/ Immunofluorescence", "shortname":"ICC/IF"}, "FlowCyt" : {"fullname" : "Flow Cytometry", "shortname":"Flow Cyt"}, "WB" : {"fullname" : "Western blot", "shortname":"WB"}, "IHCFr" : {"fullname" : "Immunohistochemistry (Frozen sections)", "shortname":"IHC-Fr"}, "IHCP" : {"fullname" : "Immunohistochemistry (Formalin/PFA-fixed paraffin-embedded sections)", "shortname":"IHC-P"} }, "product-promise": { "all": "all", "testedAndGuaranteed": "tested", "guaranteed": "expected", "predicted": "predicted", "notRecommended": "not-recommended" } }, "values": { "Human": { "IP-species-checked": "notRecommended", "IP-species-dilution-info": "", "IP-species-notes": "<p></p>", "ICCIF-species-checked": "notRecommended", "ICCIF-species-dilution-info": "", "ICCIF-species-notes": "<p></p>", "FlowCyt-species-checked": "notRecommended", "FlowCyt-species-dilution-info": "", "FlowCyt-species-notes": "<p></p>", "WB-species-checked": "testedAndGuaranteed", "WB-species-dilution-info": "1/1000", "WB-species-notes": "<p></p>", "IHCFr-species-checked": "notRecommended", "IHCFr-species-dilution-info": "", "IHCFr-species-notes": "", "IHCP-species-checked": "notRecommended", "IHCP-species-dilution-info": "1/100", "IHCP-species-notes": "<p></p> Perform heat-mediated antigen retrieval with Tris/EDTA buffer pH 9.0 before commencing with IHC staining protocol." }, "Mouse": { "IP-species-checked": "notRecommended", "IP-species-dilution-info": "", "IP-species-notes": "<p></p>", "ICCIF-species-checked": "notRecommended", "ICCIF-species-dilution-info": "", "ICCIF-species-notes": "<p></p> Perform heat-mediated antigen retrieval with Tris/EDTA buffer pH 9.0 before commencing with IHC staining protocol.", "FlowCyt-species-checked": "notRecommended", "FlowCyt-species-dilution-info": "", "FlowCyt-species-notes": "<p></p>", "WB-species-checked": "testedAndGuaranteed", "WB-species-dilution-info": "1/1000", "WB-species-notes": "<p></p>", "IHCFr-species-checked": "notRecommended", "IHCFr-species-dilution-info": "", "IHCFr-species-notes": "<p></p>", "IHCP-species-checked": "testedAndGuaranteed", "IHCP-species-dilution-info": "1/100", "IHCP-species-notes": "<p></p> Perform heat-mediated antigen retrieval with Tris/EDTA buffer pH 9.0 before commencing with IHC staining protocol." }, "Rat": { "IP-species-checked": "notRecommended", "IP-species-dilution-info": "", "IP-species-notes": "", "ICCIF-species-checked": "notRecommended", "ICCIF-species-dilution-info": "", "ICCIF-species-notes": "<p></p> Perform heat-mediated antigen retrieval with Tris/EDTA buffer pH 9.0 before commencing with IHC staining protocol.", "FlowCyt-species-checked": "notRecommended", "FlowCyt-species-dilution-info": "", "FlowCyt-species-notes": "<p></p>", "WB-species-checked": "testedAndGuaranteed", "WB-species-dilution-info": "1/1000", "WB-species-notes": "<p></p>", "IHCFr-species-checked": "notRecommended", "IHCFr-species-dilution-info": "", "IHCFr-species-notes": "<p></p>", "IHCP-species-checked": "testedAndGuaranteed", "IHCP-species-dilution-info": "1/100", "IHCP-species-notes": "<p></p> Perform heat-mediated antigen retrieval with Tris/EDTA buffer pH 9.0 before commencing with IHC staining protocol." } } }

Product details

Patented technology
Our RabMAb® technology is a patented hybridoma-based technology for making rabbit monoclonal antibodies. For details on our patents, please refer to RabMAb® patents.

What are the advantages of a recombinant monoclonal antibody?
This product is a recombinant monoclonal antibody, which offers several advantages including:

  • - High batch-to-batch consistency and reproducibility
  • - Improved sensitivity and specificity
  • - Long-term security of supply
  • - Animal-free batch production

For more information, read more on recombinant antibodies.

Properties and storage information

Form
Liquid
Purification technique
Affinity purification Protein A
Storage buffer
Preservative: 0.01% Sodium azide Constituents: 59.94% PBS, 40% Glycerol (glycerin, glycerine), 0.05% BSA
Shipped at conditions
Blue Ice
Appropriate short-term storage duration
1-2 weeks
Appropriate short-term storage conditions
+4°C
Appropriate long-term storage conditions
-20°C
Aliquoting information
Upon delivery aliquot
Storage information
Avoid freeze / thaw cycle

Supplementary information

This supplementary information is collated from multiple sources and compiled automatically.

The protein Calcium-independent Phospholipase A2 also known as iPLA2 or PLA2G6 is an important enzyme involved in phospholipid metabolism. This enzyme exhibits a catalytic function that does not require calcium for activation which distinguishes it from other members of the phospholipase A2 family. It possesses a molecular weight of approximately 85 kDa. This protein mainly expresses in cytosolic compartments within several tissues including the heart brain and pancreas playing a diverse role in cellular activities.
Biological function summary

The protein catalyzes the hydrolysis of ester bonds within phospholipids releasing free fatty acids and lysophospholipids. This enzyme does not operate as part of a larger complex but functions independently within the cell membrane and metabolic pathways. By regulating phospholipid turnover and remodeling the protein plays a vital role in membrane homeostasis and signaling. This remodeling contributes to cell survival and apoptosis depending on cellular needs and conditions.

Pathways

This enzyme interacts with lipid signaling and metabolism in central biological processes. It plays a significant role in the glycerophospholipid and arachidonic acid pathways. In these pathways iPLA2 is closely related to cyclooxygenase and lipoxygenase enzymes which convert arachidonic acid into prostaglandins and leukotrienes leading to the mediation of inflammation and other signaling pathways. This interaction emphasizes the enzyme's importance in both normal physiology and pathophysiological conditions.

Mutations or altered activities of iPLA2 have associations with neurodegenerative disorders such as Parkinson’s disease and infantile neuroaxonal dystrophy. In these disorders mitochondrial dysfunction often linked with proteins like alpha-synuclein becomes prevalent demonstrating the enzyme's influence on apoptosis and oxidative stress. Furthermore iPLA2 mutations may lead to cardiomyopathy where its function overlaps with creatine kinase and enzymes involved in energy metabolism indicating a broader impact on cardiac health.

Product protocols

For this product, it's our understanding that no specific protocols are required. You can visit:

Target data

Calcium-independent phospholipase involved in phospholipid remodeling with implications in cellular membrane homeostasis, mitochondrial integrity and signal transduction. Hydrolyzes the ester bond of the fatty acyl group attached at sn-1 or sn-2 position of phospholipids (phospholipase A1 and A2 activity respectively), producing lysophospholipids that are used in deacylation-reacylation cycles (PubMed : 10092647, PubMed : 10336645, PubMed : 20886109, PubMed : 9417066). Hydrolyzes both saturated and unsaturated long fatty acyl chains in various glycerophospholipid classes such as phosphatidylcholines, phosphatidylethanolamines and phosphatidates, with a preference for hydrolysis at sn-2 position (PubMed : 10092647, PubMed : 10336645, PubMed : 20886109). Can further hydrolyze lysophospholipids carrying saturated fatty acyl chains (lysophospholipase activity) (PubMed : 20886109). Upon oxidative stress, contributes to remodeling of mitochondrial phospholipids in pancreatic beta cells, in a repair mechanism to reduce oxidized lipid content (PubMed : 23533611). Preferentially hydrolyzes oxidized polyunsaturated fatty acyl chains from cardiolipins, yielding monolysocardiolipins that can be reacylated with unoxidized fatty acyls to regenerate native cardiolipin species (By similarity). Hydrolyzes oxidized glycerophosphoethanolamines present in pancreatic islets, releasing oxidized polyunsaturated fatty acids such as hydroxyeicosatetraenoates (HETEs) (By similarity). Has thioesterase activity toward fatty-acyl CoA releasing CoA-SH known to facilitate fatty acid transport and beta-oxidation in mitochondria particularly in skeletal muscle (PubMed : 20886109). Plays a role in regulation of membrane dynamics and homeostasis. Selectively hydrolyzes sn-2 arachidonoyl group in plasmalogen phospholipids, structural components of lipid rafts and myelin (By similarity). Regulates F-actin polymerization at the pseudopods, which is required for both speed and directionality of MCP1/CCL2-induced monocyte chemotaxis (PubMed : 18208975). Targets membrane phospholipids to produce potent lipid signaling messengers. Generates lysophosphatidate (LPA, 1-acyl-glycerol-3-phosphate), which acts via G-protein receptors in various cell types (By similarity). Has phospholipase A2 activity toward platelet-activating factor (PAF, 1-O-alkyl-2-acetyl-sn-glycero-3-phosphocholine), likely playing a role in inactivation of this potent pro-inflammatory signaling lipid (By similarity). In response to glucose, amplifies calcium influx in pancreatic beta cells to promote INS secretion (By similarity).. Isoform Ankyrin-iPLA2-1. Lacks the catalytic domain and may act as a negative regulator of the catalytically active isoforms.. Isoform Ankyrin-iPLA2-2. Lacks the catalytic domain and may act as a negative regulator of the catalytically active isoforms.
See full target information PLA2G6

Publications (1)

Recent publications for all applications. Explore the full list and refine your search

The Korean journal of physiology & pharmacology : official journal of the Korean Physiological Society and the Korean Society of Pharmacology 27:75-84 PubMed36575935

2022

Momordicine I alleviates isoproterenol-induced cardiomyocyte hypertrophy through suppression of PLA2G6 and DGK-ζ.

Applications

Unspecified application

Species

Unspecified reactive species

Hongming Li,Yumei Qiu,Mengdie Xie,Changsheng Ouyang,Xiaoyun Ding,Hao Zhang,Wei Dong,Yinhua Xiong,Xilan Tang
View all publications

Product promise

We are committed to supporting your work with high-quality reagents, and we're here for you every step of the way. In the unlikely event that one of our products does not perform as expected, you're protected by our Product Promise.
For full details, please see our Terms & Conditions

Please note: All products are 'FOR RESEARCH USE ONLY. NOT FOR USE IN DIAGNOSTIC OR THERAPEUTIC PROCEDURES'.

For licensing inquiries, please contact partnerships@abcam.com