JavaScript is disabled in your browser. Please enable JavaScript to view this website.
AB154213

Anti-Calcium Pump PMCA3 ATPase antibody

Be the first to review this product! Submit a review

|

(1 Publication)

Rabbit Polyclonal Calcium Pump PMCA3 ATPase antibody. Suitable for IHC-P, WB and reacts with Human samples. Cited in 1 publication. Immunogen corresponding to Recombinant Fragment Protein within Human Plasma membrane calcium-transporting ATPase 3 aa 550-900.

View Alternative Names

Plasma membrane calcium-transporting ATPase 3, PMCA3, Plasma membrane calcium ATPase isoform 3, Plasma membrane calcium pump isoform 3, ATP2B3

2 Images
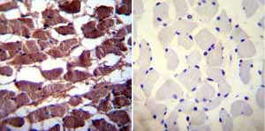
Immunohistochemistry (Formalin/PFA-fixed paraffin-embedded sections) - Anti-Calcium Pump PMCA3 ATPase antibody (AB154213)
  • IHC-P

Unknown

Immunohistochemistry (Formalin/PFA-fixed paraffin-embedded sections) - Anti-Calcium Pump PMCA3 ATPase antibody (AB154213)

Immunohistochemical analysis of paraffin-embedded Human U87 xenograft tissue, labeling Calcium Pump PMCA3 ATPase with ab154213 at 1/500 dilution.

Western blot - Anti-Calcium Pump PMCA3 ATPase antibody (AB154213)
  • WB

Unknown

Western blot - Anti-Calcium Pump PMCA3 ATPase antibody (AB154213)

5% SDS PAGE

All lanes:

Western blot - Anti-Calcium Pump PMCA3 ATPase antibody (ab154213) at 1/1000 dilution

All lanes:

U-87 MG whole cell lysate at 30 µg

Predicted band size: 134 kDa

false

Key facts

Host species

Rabbit

Clonality

Polyclonal

Isotype

IgG

Carrier free

No

Reacts with

Human

Applications

IHC-P, WB

applications

Immunogen

Recombinant Fragment Protein within Human Plasma membrane calcium-transporting ATPase 3 aa 550-900. The exact immunogen used to generate this antibody is proprietary information.

Q16720

Reactivity data

{ "title": "Reactivity Data", "filters": { "stats": ["", "Species", "Dilution Info", "Notes"], "tabs": { "all-applications": {"fullname" : "All Applications", "shortname": "All Applications"}, "IHCP" : {"fullname" : "Immunohistochemistry (Formalin/PFA-fixed paraffin-embedded sections)", "shortname":"IHC-P"}, "WB" : {"fullname" : "Western blot", "shortname":"WB"} }, "product-promise": { "all": "all", "testedAndGuaranteed": "tested", "guaranteed": "expected", "predicted": "predicted", "notRecommended": "not-recommended" } }, "values": { "Human": { "IHCP-species-checked": "testedAndGuaranteed", "IHCP-species-dilution-info": "1/100 - 1/1000", "IHCP-species-notes": "<p></p> Perform heat-mediated antigen retrieval before commencing with IHC staining protocol.", "WB-species-checked": "testedAndGuaranteed", "WB-species-dilution-info": "1/500 - 1/3000", "WB-species-notes": "<p></p>" }, "Mouse": { "IHCP-species-checked": "predicted", "IHCP-species-dilution-info": "", "IHCP-species-notes": "", "WB-species-checked": "predicted", "WB-species-dilution-info": "", "WB-species-notes": "" }, "Rat": { "IHCP-species-checked": "predicted", "IHCP-species-dilution-info": "", "IHCP-species-notes": "", "WB-species-checked": "predicted", "WB-species-dilution-info": "", "WB-species-notes": "" }, "Cow": { "IHCP-species-checked": "predicted", "IHCP-species-dilution-info": "", "IHCP-species-notes": "", "WB-species-checked": "predicted", "WB-species-dilution-info": "", "WB-species-notes": "" } } }

Properties and storage information

Form
Liquid
Purification technique
Affinity purification Immunogen
Storage buffer
pH: 7 Preservative: 0.01% Thimerosal (merthiolate) Constituents: 20% Glycerol (glycerin, glycerine), 1.21% Tris, 0.75% Glycine
Shipped at conditions
Blue Ice
Appropriate short-term storage conditions
+4°C
Appropriate long-term storage conditions
-20°C
Aliquoting information
Upon delivery aliquot
Storage information
Avoid freeze / thaw cycle

Supplementary information

This supplementary information is collated from multiple sources and compiled automatically.

The Calcium Pump PMCA3 ATPase also known as Plasma Membrane Calcium-Transporting ATPase 3 plays an important role in calcium homeostasis. This enzyme weighing approximately 134 kDa actively transports calcium ions out of cells to maintain low intracellular calcium levels. PMCA3 is mainly expressed in the brain and other neural tissues where it helps regulate neuronal signaling. The pump uses ATP to move calcium against its concentration gradient from the cytosol to the extracellular space a critical function for cellular activities.
Biological function summary

PMCA3 controls the concentration of cytosolic calcium ions which influences many cellular processes such as muscle contraction neurotransmitter release and gene expression. PMCA3 often functions independently although it can sometimes exist in complexes with other proteins influencing its regulation and activity. The regulation of neuronal calcium levels through PMCA3 is essential for proper synaptic function and plasticity making it a point of interest in neurophysiological research.

Pathways

PMCA3 plays a role in the calcium signaling pathway affecting signal transduction processes across various cell types. It acts alongside other calcium-handling proteins including Ca2+ channels and buffers in modulating cellular responses to physiological stimuli. Additionally PMCA3 intersects with the MAPK signaling pathway by influencing intracellular calcium which in turn can activate protein kinases and affect transcription regulation.

PMCA3 holds relevance in conditions such as spinocerebellar ataxia and epilepsy. Mutations or dysregulation of PMCA3 can disrupt calcium homeostasis leading to neurodegenerative conditions such as ataxia where coordination and balance are impaired. The dysregulated calcium flow can also influence seizure activity in epilepsy by affecting neurons' excitability. Associations with proteins like calmodulin which regulates PMCA3 activity further elucidate its pathophysiological connections in these diseases.

Product protocols

For this product, it's our understanding that no specific protocols are required. You can visit:

Target data

ATP-driven Ca(2+) ion pump involved in the maintenance of basal intracellular Ca(2+) levels at the presynaptic terminals (PubMed : 18029012, PubMed : 22912398, PubMed : 25953895, PubMed : 27035656). Uses ATP as an energy source to transport cytosolic Ca(2+) ions across the plasma membrane to the extracellular compartment (PubMed : 25953895, PubMed : 27035656). May counter-transport protons, but the mechanism and the stoichiometry of this Ca(2+)/H(+) exchange remains to be established (By similarity).
See full target information Plasma membrane calcium-transporting ATPase 3

Publications (1)

Recent publications for all applications. Explore the full list and refine your search

PloS one 5:e9145 PubMed20161770

2010

Alternative splicing of the angiogenesis associated extra-domain B of fibronectin regulates the accessibility of the B-C loop of the type III repeat 8.

Applications

Unspecified application

Species

Unspecified reactive species

Elisa Ventura,Francesca Sassi,Arianna Parodi,Enrica Balza,Laura Borsi,Patrizia Castellani,Barbara Carnemolla,Luciano Zardi
View all publications

Product promise

We are committed to supporting your work with high-quality reagents, and we're here for you every step of the way. In the unlikely event that one of our products does not perform as expected, you're protected by our Product Promise.
For full details, please see our Terms & Conditions

Please note: All products are 'FOR RESEARCH USE ONLY. NOT FOR USE IN DIAGNOSTIC OR THERAPEUTIC PROCEDURES'.

For licensing inquiries, please contact partnerships@abcam.com