JavaScript is disabled in your browser. Please enable JavaScript to view this website.
AB32330

Anti-Caldesmon/CDM antibody [E89]

  • BOND RX™ Validated
  • RabMAb
  • Recombinant
  • KO Validated
  • What is this?

Be the first to review this product! Submit a review

|

(33 Publications)

Rabbit Recombinant Monoclonal Caldesmon/CDM antibody. Suitable for IHC-P, ICC/IF, IP, WB, Flow Cyt (Intra) and reacts with Mouse, Rat, Human samples. Cited in 33 publications.

View Alternative Names

CAD, CDM, CALD1, Caldesmon

9 Images
Immunohistochemistry (Formalin/PFA-fixed paraffin-embedded sections) - Anti-Caldesmon/CDM antibody [E89] (AB32330)
  • IHC-P

Lab

Immunohistochemistry (Formalin/PFA-fixed paraffin-embedded sections) - Anti-Caldesmon/CDM antibody [E89] (AB32330)

Immunohistochemistry (Formalin/PFA-fixed paraffin-embedded sections) analysis of human leiomyoma tissue sections labeling Caldesmon/CDM with purified ab32330 at 1/100 dilution (1.21 μg/mL). Heat mediated antigen retrieval was performed using Heat mediated antigen retrieval using Bond™ Epitope Retrieval Solution 2 (pH 9.0). Tissue was counterstained with Hematoxylin. Rabbit specific IHC polymer detection kit HRP/DAB (ab209101) secondary antibody was used. PBS instead of the primary antibody was used as the negative control.

The immunostaining was performed on a Leica Biosystems BOND® RX instrument

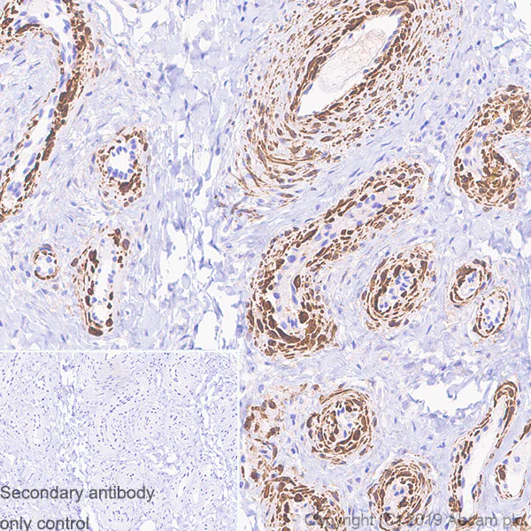
Immunohistochemistry (Formalin/PFA-fixed paraffin-embedded sections) - Anti-Caldesmon/CDM antibody [E89] (AB32330)
  • IHC-P

Lab

Immunohistochemistry (Formalin/PFA-fixed paraffin-embedded sections) - Anti-Caldesmon/CDM antibody [E89] (AB32330)

Immunohistochemistry (Formalin/PFA-fixed paraffin-embedded sections) analysis of rat stomach tissue sections labeling Caldesmon/CDM with purified ab32330 at 1/100 dilution (1.21 μg/mL). Heat mediated antigen retrieval was performed using Heat mediated antigen retrieval using Bond™ Epitope Retrieval Solution 2 (pH 9.0). Tissue was counterstained with Hematoxylin. Rabbit specific IHC polymer detection kit HRP/DAB (ab209101) secondary antibody was used. PBS instead of the primary antibody was used as the negative control.

The immunostaining was performed on a Leica Biosystems BOND® RX instrument

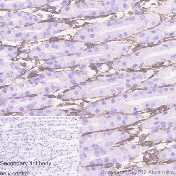
Immunohistochemistry (Formalin/PFA-fixed paraffin-embedded sections) - Anti-Caldesmon/CDM antibody [E89] (AB32330)
  • IHC-P

Lab

Immunohistochemistry (Formalin/PFA-fixed paraffin-embedded sections) - Anti-Caldesmon/CDM antibody [E89] (AB32330)

Immunohistochemistry (Formalin/PFA-fixed paraffin-embedded sections) analysis of mouse kidney tissue sections labeling Caldesmon/CDM with purified ab32330 at 1/100 dilution (1.21 μg/mL). Heat mediated antigen retrieval was performed using Heat mediated antigen retrieval using Bond™ Epitope Retrieval Solution 2 (pH 9.0). Tissue was counterstained with Hematoxylin. Rabbit specific IHC polymer detection kit HRP/DAB (ab209101) secondary antibody was used. PBS instead of the primary antibody was used as the negative control.

The immunostaining was performed on a Leica Biosystems BOND® RX instrument

Immunocytochemistry/ Immunofluorescence - Anti-Caldesmon/CDM antibody [E89] (AB32330)
  • ICC/IF

Supplier Data

Immunocytochemistry/ Immunofluorescence - Anti-Caldesmon/CDM antibody [E89] (AB32330)

Immunocytochemistry analysis of NIH/3T3 (Mouse embryonic fibroblast) cells labeling Caldesmon/CDM with purified ab32330 at 1/50 dilution (2.4 μg/mL). Cells were fixed in 100% Methanol and permeabilized with 0.1% TritonX-100. Cells were counterstained with ab195889 Anti-alpha Tubulin antibody [DM1A] - Microtubule Marker (Alexa Fluor® 594) 1/200 (2.5 μg/mL). Goat anti rabbit IgG (Alexa Fluor® 488, ab150077) was used as the secondary antibody at 1/1000 (2 μg/mL) dilution. DAPI (blue) was used as nuclear counterstain. PBS instead of the primary antibody was used as the secondary antibody only control.

Flow Cytometry (Intracellular) - Anti-Caldesmon/CDM antibody [E89] (AB32330)
  • Flow Cyt (Intra)

Lab

Flow Cytometry (Intracellular) - Anti-Caldesmon/CDM antibody [E89] (AB32330)

Intracellular Flow Cytometry analysis of NIH/3T3 (Mouse embryonic fibroblast) cells labelling Caldesmon/CDM with purified ab32330 at 1/20 dilution (10 μg/mL) (Red). Cells were fixed with 4% Paraformaldehyde and permeabilised with 90% Methanol. A Goat anti rabbit IgG (Alexa Fluor® 488, ab150077) secondary antibody was used at 1/2000. Isotype control - Rabbit monoclonal IgG (Black). Unlabelled control - Cell without incubation with primary antibody and secondary antibody (Blue).

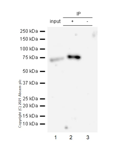
Immunoprecipitation - Anti-Caldesmon/CDM antibody [E89] (AB32330)
  • IP

Lab

Immunoprecipitation - Anti-Caldesmon/CDM antibody [E89] (AB32330)

Purified ab32330 at 1/20 dilution (0.6μg) immunoprecipitating Caldesmon/CDM in NIH/3T3 whole cell lysate.
Lane 1 (input) : NIH/3T3 (Mouse embryonic fibroblast) whole cell lysate.
Lane 2 (+) : ab32330 + NIH/3T3 whole cell lysate.
Lane 3 (-) : Rabbit monoclonal IgG (ab172730) instead of ab32330 in NIH/3T3 whole cell lysate.
VeriBlot for IP Detection Reagent (HRP) (ab131366) (1/1000 dilution) was used for Western blotting.
Blocking Buffer and concentration : 5% NFDM/TBST.
Diluting buffer and concentration : 5% NFDM/TBST.

All lanes:

Immunoprecipitation - Anti-Caldesmon/CDM antibody [E89] (ab32330)

Predicted band size: 93 kDa

Observed band size: 70 kDa

false

Western blot - Anti-Caldesmon/CDM antibody [E89] (AB32330)
  • WB

Lab

Western blot - Anti-Caldesmon/CDM antibody [E89] (AB32330)

Lanes 1-4 : Merged signal (red and green). Green - ab32330 observed at 75 kDa. Red - loading control ab8245 observed at 36 kDa.

ab32330 Anti-Caldesmon/CDM antibody [E89] was shown to specifically react with Caldesmon/CDM in wild-type HeLa cells. Loss of signal was observed when knockout cell line ab265026 (knockout cell lysate ab257375) was used. Wild-type and Caldesmon/CDM knockout samples were subjected to SDS-PAGE. ab32330 and Anti-GAPDH antibody [6C5] - Loading Control (ab8245) were incubated overnight at 4°C at 1 in 1000 dilution and 1 in 20000 dilution respectively. Blots were developed with Goat anti-Rabbit IgG H&L (IRDye® 800CW) preadsorbed (ab216773) and Goat anti-Mouse IgG H&L (IRDye® 680RD) preadsorbed (ab216776) secondary antibodies at 1 in 20000 dilution for 1 hour at room temperature before imaging.

All lanes:

Western blot - Anti-Caldesmon/CDM antibody [E89] (ab32330) at 1/1000 dilution

Lane 1:

Wild-type HeLa cell lysate at 20 µg

Lane 2:

CALD1 knockout HeLa cell lysate at 20 µg

Lane 2:

Western blot - Human CALD1 (Caldesmon/CDM) knockout HeLa cell line (<a href='/en-us/products/cell-lines/human-cald1-caldesmon-cdm-knockout-hela-cell-line-ab265026'>ab265026</a>)

Lane 3:

NIH/3T3 cell lysate at 20 µg

Lane 4:

HEK-293 cell lysate at 20 µg

Secondary

All lanes:

Western blot - Goat anti-Rabbit IgG H&L (IRDye® 800CW) preadsorbed (<a href='/en-us/products/secondary-antibodies/goat-rabbit-igg-h-l-irdye-800cw-preadsorbed-ab216773'>ab216773</a>) at 1/10000 dilution

Predicted band size: 93 kDa

Observed band size: 75 kDa

false

Western blot - Anti-Caldesmon/CDM antibody [E89] (AB32330)
  • WB

Unknown

Western blot - Anti-Caldesmon/CDM antibody [E89] (AB32330)

All lanes:

Western blot - Anti-Caldesmon/CDM antibody [E89] (ab32330) at 1/10000 dilution

Lane 1:

HeLa (Human cervix adenocarcinoma epithelial cell) whole cell lysate at 15 µg

Lane 2:

NIH/3T3 (Mouse embryonic fibroblast) whole cell lysate at 15 µg

Lane 3:

Rat liver lysate at 15 µg

Secondary

All lanes:

Western blot - Goat Anti-Rabbit IgG H&L (HRP) (<a href='/en-us/products/secondary-antibodies/goat-rabbit-igg-h-l-hrp-ab97051'>ab97051</a>) at 1/20000 dilution

Predicted band size: 93 kDa

false

Western blot - Anti-Caldesmon/CDM antibody [E89] (AB32330)
  • WB

CiteAb

Western blot - Anti-Caldesmon/CDM antibody [E89] (AB32330)

Caldesmon/CDM western blot using anti-Caldesmon/CDM antibody [E89] ab32330. Publication image and figure legend from Ferrán, B., Martí-Pàmies, I., et al., 2016, Sci Rep, PubMed 27181368.

ab32330 was used in this publication in western blot. This may not be the same as the application(s) guaranteed by Abcam. For a full list of applications guaranteed by Abcam for ab32330 please see the product overview.

Lentiviral NOR-1 over-expression induces phenotypic changes in human VSMC and up-regulates SMPX.VSMC were transduced with lentiviral vectors to over-express NOR-1 (pLVX/NOR-1; pNOR-1), a FLAG-tagged derivative form of NOR-1 (pLVX/NOR-1-FLAG; pNOR-1F) or with control lentiviral vectors (pLVX or the EGFP expression vector [pLVX/EGFP; pGFP]). (a) Immunofluorescence microscopy analysis showing FLAG-tagged NOR-1 (green), filamentous actin (F-actin stained with phalloidin, red) and nuclei (Hoechst stain, blue). (b) Expression levels (analyzed by real-time PCR) of a panel of genes related to cell shape/morphology encoding for cytoskeleton and cytoskeletal-associated proteins in control cells (white bars) and cells transduced with pNOR-1F (black bars) : ACTA2 (smooth muscle α-2 actin), MYH10 (myosin heavy chain 10), TPM1 (tropomyosin 1), TAGLN (transgelin), CALD1(1) (caldesmon transcript specific for smooth muscle cells), CALD1(2) (caldesmon transcript ubiquitously expressed, encoding for a light form of the protein [l-CaD]), ACTB (β-actin), PXN (paxillin) and SMPX (small muscle protein, X-linked) (n = 6). *p < 0.0001 vs. cells transduced with pGFP. (c) CALD1(2) and SMPX mRNA levels in VSMC transduced with pNOR-1 or with control lentiviral vectors. Data were normalized as in (b) (n = 6). *p < 0.0001 vs. cells transduced with pLVX. (d) Representative Western blot showing protein levels of NOR-1, SMPX, l-CaD, MYH10 and β-actin in VSMC over-expressing NOR-1 and control cells (n = 4).

false

Key facts

Host species

Rabbit

Clonality

Monoclonal

Clone number

E89

Isotype

IgG

Carrier free

No

Reacts with

Mouse, Rat, Human

Applications

IP, WB, IHC-P, Flow Cyt (Intra), ICC/IF

applications

Immunogen

The exact immunogen used to generate this antibody is proprietary information.

Reactivity data

{ "title": "Reactivity Data", "filters": { "stats": ["", "Species", "Dilution Info", "Notes"], "tabs": { "all-applications": {"fullname" : "All Applications", "shortname": "All Applications"}, "IHCP" : {"fullname" : "Immunohistochemistry (Formalin/PFA-fixed paraffin-embedded sections)", "shortname":"IHC-P"}, "ICCIF" : {"fullname" : "Immunocytochemistry/ Immunofluorescence", "shortname":"ICC/IF"}, "IP" : {"fullname" : "Immunoprecipitation", "shortname":"IP"}, "WB" : {"fullname" : "Western blot", "shortname":"WB"}, "FlowCytIntra" : {"fullname" : "Flow Cytometry (Intracellular)", "shortname":"Flow Cyt (Intra)"} }, "product-promise": { "all": "all", "testedAndGuaranteed": "tested", "guaranteed": "expected", "predicted": "predicted", "notRecommended": "not-recommended" } }, "values": { "Human": { "IHCP-species-checked": "testedAndGuaranteed", "IHCP-species-dilution-info": "1/100", "IHCP-species-notes": "<p></p> Perform heat-mediated antigen retrieval with citrate buffer pH 6 before commencing with IHC staining protocol.", "ICCIF-species-checked": "testedAndGuaranteed", "ICCIF-species-dilution-info": "1/50", "ICCIF-species-notes": "<p><strong>For unpurified use at 1/250 - 1/500.</strong></p>", "IP-species-checked": "guaranteed", "IP-species-dilution-info": "", "IP-species-notes": "", "WB-species-checked": "testedAndGuaranteed", "WB-species-dilution-info": "1/10000 - 1/20000", "WB-species-notes": "<p></p>", "FlowCytIntra-species-checked": "guaranteed", "FlowCytIntra-species-dilution-info": "", "FlowCytIntra-species-notes": "" }, "Mouse": { "IHCP-species-checked": "testedAndGuaranteed", "IHCP-species-dilution-info": "1/100", "IHCP-species-notes": "<p></p> Perform heat-mediated antigen retrieval with citrate buffer pH 6 before commencing with IHC staining protocol.", "ICCIF-species-checked": "testedAndGuaranteed", "ICCIF-species-dilution-info": "1/50", "ICCIF-species-notes": "<p><strong>For unpurified use at 1/250 - 1/500.</strong></p>", "IP-species-checked": "testedAndGuaranteed", "IP-species-dilution-info": "1/20", "IP-species-notes": "<p></p>", "WB-species-checked": "testedAndGuaranteed", "WB-species-dilution-info": "1/10000 - 1/20000", "WB-species-notes": "<p></p>", "FlowCytIntra-species-checked": "testedAndGuaranteed", "FlowCytIntra-species-dilution-info": "1/20", "FlowCytIntra-species-notes": "<p><a href='/en-us/products/primary-antibodies/rabbit-igg-monoclonal-epr25a-isotype-control-ab172730'>ab172730</a> - Rabbit monoclonal IgG, is suitable for use as an isotype control with this antibody.</p>" }, "Rat": { "IHCP-species-checked": "testedAndGuaranteed", "IHCP-species-dilution-info": "1/100", "IHCP-species-notes": "<p></p> Perform heat-mediated antigen retrieval with citrate buffer pH 6 before commencing with IHC staining protocol.", "ICCIF-species-checked": "guaranteed", "ICCIF-species-dilution-info": "", "ICCIF-species-notes": "", "IP-species-checked": "guaranteed", "IP-species-dilution-info": "", "IP-species-notes": "", "WB-species-checked": "testedAndGuaranteed", "WB-species-dilution-info": "1/10000 - 1/20000", "WB-species-notes": "<p></p>", "FlowCytIntra-species-checked": "guaranteed", "FlowCytIntra-species-dilution-info": "", "FlowCytIntra-species-notes": "" } } }

Product details

Patented technology
Our RabMAb® technology is a patented hybridoma-based technology for making rabbit monoclonal antibodies. For details on our patents, please refer to RabMAb® patents.

What are the advantages of a recombinant monoclonal antibody?
This product is a recombinant monoclonal antibody, which offers several advantages including:

  • - High batch-to-batch consistency and reproducibility
  • - Improved sensitivity and specificity
  • - Long-term security of supply
  • - Animal-free batch production

For more information, read more on recombinant antibodies.

Properties and storage information

Form
Liquid
Purification technique
Affinity purification Protein A
Storage buffer
pH: 7.2 - 7.4 Preservative: 0.01% Sodium azide Constituents: PBS, 40% Glycerol (glycerin, glycerine), 0.05% BSA
Shipped at conditions
Blue Ice
Appropriate short-term storage duration
1-2 weeks
Appropriate short-term storage conditions
+4°C
Appropriate long-term storage conditions
-20°C
Aliquoting information
Upon delivery aliquot
Storage information
Avoid freeze / thaw cycle

Supplementary information

This supplementary information is collated from multiple sources and compiled automatically.

Caldesmon also known as CDM CALD1 and h-caldesmon is a cytoskeletal protein with a molecular mass of approximately 93 to 120 kDa. This protein expresses itself abundantly in smooth muscle tissues yet it can also be found in non-muscle cells like fibroblasts and endothelial cells. Researchers often use specific caldesmon antibodies in immunohistochemistry allowing them to label various cellular components and providing insights into tissue composition. Due to its presence in muscle tissues caldesmon is essential for understanding muscle physiology and pathology.
Biological function summary

Caldesmon interacts with actin and myosin to regulate actomyosin contractility. This protein plays a critical role in controlling the contraction and relaxation processes in smooth muscle cells. Caldesmon forms part of a complex that includes calmodulin and tropomyosin enhancing its ability to stabilize actin filaments. It functions by inhibiting the ATPase activity of myosin therefore influencing cellular motility and shape change mechanisms. Researchers continually study caldesmon to comprehend its interactome and its significance within the larger cellular structure.

Pathways

Caldesmon participates in the regulation of the cytoskeletal dynamics vital for cell motility and structural integrity. In particular it is an important component of the contraction-relaxation cycle pathway in smooth muscle tissues. This protein has connections with pathways involving RhoA-Rho kinase where caldesmon modulates the phosphorylation levels influencing muscle contraction. Additionally proteins like tropomyosin and calmodulin modulate its activity especially under calcium-calmodulin-dependent pathways which further elucidates its regulatory importance.

Caldesmon has associations with conditions like certain types of cancers and cardiovascular diseases. Its expression levels and distribution provide valuable information in identifying smooth muscle tumors and other pathological conditions. In oncology for example h-caldesmon serves as a marker to distinguish leiomyosarcomas from other tumors. Moreover due to its involvement in smooth muscle contractility caldesmon links with proteins such as calmodulin and tropomyosin in diseases where abnormal contraction and cellular motility play significant roles. Understanding these connections is important for developing targeted treatments and improving diagnostic accuracy.

Product protocols

For this product, it's our understanding that no specific protocols are required. You can visit:

Target data

Actin- and myosin-binding protein implicated in the regulation of actomyosin interactions in smooth muscle and nonmuscle cells (could act as a bridge between myosin and actin filaments). Stimulates actin binding of tropomyosin which increases the stabilization of actin filament structure. In muscle tissues, inhibits the actomyosin ATPase by binding to F-actin. This inhibition is attenuated by calcium-calmodulin and is potentiated by tropomyosin. Interacts with actin, myosin, two molecules of tropomyosin and with calmodulin. Also plays an essential role during cellular mitosis and receptor capping. Involved in Schwann cell migration during peripheral nerve regeneration (By similarity).
See full target information CALD1

Publications (33)

Recent publications for all applications. Explore the full list and refine your search

Journal of translational medicine 21:766 PubMed37904179

2023

Identification of RECK as a protective prognostic indicator and a tumor suppressor through regulation of the ERK/MAPK signaling pathway in gastric cancer.

Applications

Unspecified application

Species

Unspecified reactive species

Fangyuan Qi,Yaru Wang,Bingxin Yu,Fan Li

International immunopharmacology 115:109702 PubMed37724952

2023

Thymosin β4 preserves vascular smooth muscle phenotype in atherosclerosis via regulation of low density lipoprotein related protein 1 (LRP1).

Applications

Unspecified application

Species

Unspecified reactive species

Sonali Munshaw,Andia N Redpath,Benjamin T Pike,Nicola Smart

Frontiers in cell and developmental biology 11:993741 PubMed37077418

2023

Local injection of adipose-derived mesenchymal stem cells in silk fibroin solution on the regeneration of lower esophageal sphincter in an animal model of GERD.

Applications

Unspecified application

Species

Unspecified reactive species

Daxu Zhang,Zhanbo Wang,Lianjun Ma,Lijuan Xu,Suna Fan,Yinan Su,Xiaonan Shi,Jingjing Hu,Shuo Zhao,WeiLong Li,Enqiang Linghu,Li Yan

Nature communications 13:6032 PubMed36229430

2022

Caldesmon controls stress fiber force-balance through dynamic cross-linking of myosin II and actin-tropomyosin filaments.

Applications

Unspecified application

Species

Unspecified reactive species

Shrikant B Kokate,Katarzyna Ciuba,Vivien D Tran,Reena Kumari,Sari Tojkander,Ulrike Engel,Konstantin Kogan,Sanjay Kumar,Pekka Lappalainen

Biology of reproduction 107:1540-1550 PubMed36094838

2022

HIF-1α is essential for the augmentation of myometrial contractility during labor†.

Applications

Unspecified application

Species

Unspecified reactive species

Bolun Wen,Zheng Zheng,Lele Wang,Xueya Qian,Xiaodi Wang,Yunshan Chen,Junjie Bao,Yanmin Jiang,Kaiyuan Ji,Huishu Liu

International journal of molecular sciences 23: PubMed35806460

2022

Plocabulin, a Novel Tubulin Inhibitor, Has Potent Antitumour Activity in Patient-Derived Xenograft Models of Soft Tissue Sarcoma.

Applications

Unspecified application

Species

Unspecified reactive species

Yannick Wang,Agnieszka Wozniak,Jasmien Cornillie,Pablo Avilés,Maria Debiec-Rychter,Raf Sciot,Patrick Schöffski

Journal of cellular physiology 237:2503-2515 PubMed35224740

2022

Crosstalk between ERK and MRTF-A signaling regulates TGFβ1-induced epithelial-mesenchymal transition.

Applications

Unspecified application

Species

Unspecified reactive species

Sandeep M Nalluri,Chinmay S Sankhe,Joseph W O'Connor,Paul L Blanchard,Joelle N Khouri,Steven H Phan,Gage Virgi,Esther W Gomez

Annals of translational medicine 9:1441 PubMed34733993

2021

CALD1 promotes the expression of PD-L1 in bladder cancer via the JAK/STAT signaling pathway.

Applications

Unspecified application

Species

Unspecified reactive species

Cheng Li,Fuhan Yang,Ruiliang Wang,Wei Li,Niraj Maskey,Wentao Zhang,Yadong Guo,Shenghua Liu,Hong Wang,Xudong Yao

Cancer cell international 21:283 PubMed34051818

2021

The cancer-associated fibroblasts related gene CALD1 is a prognostic biomarker and correlated with immune infiltration in bladder cancer.

Applications

Unspecified application

Species

Unspecified reactive species

YiHeng Du,Xiang Jiang,Bo Wang,Jin Cao,Yi Wang,Jiang Yu,XiZhi Wang,HaiTao Liu

FEBS open bio 11:207-225 PubMed33135334

2020

Cardiac pericytes function as key vasoactive cells to regulate homeostasis and disease.

Applications

Unspecified application

Species

Unspecified reactive species

Linda L Lee,Aarif Y Khakoo,Vishnu Chintalgattu
View all publications

Product promise

We are committed to supporting your work with high-quality reagents, and we're here for you every step of the way. In the unlikely event that one of our products does not perform as expected, you're protected by our Product Promise.
For full details, please see our Terms & Conditions

Please note: All products are 'FOR RESEARCH USE ONLY. NOT FOR USE IN DIAGNOSTIC OR THERAPEUTIC PROCEDURES'.

For licensing inquiries, please contact partnerships@abcam.com