JavaScript is disabled in your browser. Please enable JavaScript to view this website.
AB121446

Anti-CALHM2 antibody

Be the first to review this product! Submit a review

|

(2 Publications)

Rabbit Polyclonal CALHM2 antibody. Suitable for IHC-P, WB, ICC/IF and reacts with Human samples. Cited in 2 publications. Immunogen corresponding to Recombinant Fragment Protein within Human CALHM2 aa 100-200.

View Alternative Names

FAM26B, CALHM2, Calcium homeostasis modulator protein 2, Protein FAM26B

3 Images
Western blot - Anti-CALHM2 antibody (AB121446)
  • WB

Unknown

Western blot - Anti-CALHM2 antibody (AB121446)

All lanes:

Western blot - Anti-CALHM2 antibody (ab121446) at 1/250 dilution

Lane 1:

RT-4 cell lysate.

Lane 2:

U-251 MG cell lysate.

Lane 3:

Human Plasma

Lane 4:

Human liver lysate.

Lane 5:

Human tonsil lysate.

Predicted band size: 36 kDa

true

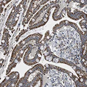
Immunohistochemistry (Formalin/PFA-fixed paraffin-embedded sections) - Anti-CALHM2 antibody (AB121446)
  • IHC-P

Unknown

Immunohistochemistry (Formalin/PFA-fixed paraffin-embedded sections) - Anti-CALHM2 antibody (AB121446)

ab121446, at 1/400 dilution, staining CALHM2 in paraffin-embedded Human colon tissue by Immunohistochemistry.

Immunocytochemistry/ Immunofluorescence - Anti-CALHM2 antibody (AB121446)
  • ICC/IF

Unknown

Immunocytochemistry/ Immunofluorescence - Anti-CALHM2 antibody (AB121446)

Immunofluorescent staining of Human cell line U-2 OS shows positivity in mitochondria. Recommended concentration of ab121446 1-4 µg/ml. Cells treated with PFA/Triton X-100.

Key facts

Host species

Rabbit

Clonality

Polyclonal

Isotype

IgG

Carrier free

No

Reacts with

Human

Applications

ICC/IF, WB, IHC-P

applications

Immunogen

Recombinant Fragment Protein within Human CALHM2 aa 100-200. The exact immunogen used to generate this antibody is proprietary information.

Q9HA72

Reactivity data

{ "title": "Reactivity Data", "filters": { "stats": ["", "Species", "Dilution Info", "Notes"], "tabs": { "all-applications": {"fullname" : "All Applications", "shortname": "All Applications"}, "IHCP" : {"fullname" : "Immunohistochemistry (Formalin/PFA-fixed paraffin-embedded sections)", "shortname":"IHC-P"}, "WB" : {"fullname" : "Western blot", "shortname":"WB"}, "ICCIF" : {"fullname" : "Immunocytochemistry/ Immunofluorescence", "shortname":"ICC/IF"} }, "product-promise": { "all": "all", "testedAndGuaranteed": "tested", "guaranteed": "expected", "predicted": "predicted", "notRecommended": "not-recommended" } }, "values": { "Human": { "IHCP-species-checked": "testedAndGuaranteed", "IHCP-species-dilution-info": "1/200 - 1/500", "IHCP-species-notes": "<p></p> Perform heat-mediated antigen retrieval with citrate buffer pH 6 before commencing with IHC staining protocol.", "WB-species-checked": "testedAndGuaranteed", "WB-species-dilution-info": "0.04-0.4 µg/mL", "WB-species-notes": "<p></p>", "ICCIF-species-checked": "testedAndGuaranteed", "ICCIF-species-dilution-info": "1-4 µg/mL", "ICCIF-species-notes": "<p>Recommend PFA Fixation and Triton X-100 treatment</p>" } } }

Properties and storage information

Form
Liquid
Purification technique
Affinity purification Immunogen
Storage buffer
pH: 7.2 Preservative: 0.02% Sodium azide Constituents: PBS, 40% Glycerol (glycerin, glycerine)
Shipped at conditions
Blue Ice
Appropriate short-term storage conditions
+4°C
Appropriate long-term storage conditions
-20°C
Aliquoting information
Upon delivery aliquot
Storage information
Avoid freeze / thaw cycle

Supplementary information

This supplementary information is collated from multiple sources and compiled automatically.

CALHM2 also known as Calcium Homeostasis Modulator 2 functions mechanistically as an ion channel that mediates the permeability of calcium ions across the cell membrane. This protein has an approximate molecular mass of 37 kDa. CALHM2 is widely expressed in various tissues including the brain and heart. It is also part of a family of proteins known for their roles in modulating ion channel activity and maintaining calcium homeostasis within cells.
Biological function summary

CALHM2 plays a role in the regulation of neuronal excitability and neurotransmitter release. This protein is known to form a complex with other CALHM family members where it influences cellular communication within the nervous system. CALHM2 is critical for maintaining the resting membrane potential and modulating the activity of neurons by impacting the flow of calcium and other ions which affects synaptic function.

Pathways

CALHM2 participates in the calcium signaling pathway which is essential for various cellular processes. It interacts with other proteins such as CALHM1 a related family member to modulate ion permeability. CALHM2 is also involved in the neuronal signaling pathways where it contributes to synaptic plasticity and signal transduction which are essential for memory and cognitive functions.

CALHM2 has associations with neurological disorders such as Alzheimer's disease as it influences calcium homeostasis and signaling in neurons. Disruptions in its function can lead to altered neuronal activity contributing to neurodegenerative conditions. CALHM2's interaction with proteins like amyloid-beta precursor protein (APP) connects its role to the pathology of Alzheimer's disease indicating a potential target for therapeutic intervention in such conditions.

Product protocols

For this product, it's our understanding that no specific protocols are required. You can visit:

Target data

Pore-forming subunit of Ca(2+) homeostasis modulator channels. Mediates ATP release from astrocytes and ATP-induced Ca(2+) influx in microglia thus regulating neuronal ATP and Ca(2+) homeostasis, synaptic transmission and neuroinflammatory response. May form intercellular gap junctions. The gating mechanism remains unknown.
See full target information CALHM2

Publications (2)

Recent publications for all applications. Explore the full list and refine your search

Frontiers in physiology 12:714785 PubMed34408668

2021

Upregulation of Calcium Homeostasis Modulators in Contractile-To-Proliferative Phenotypical Transition of Pulmonary Arterial Smooth Muscle Cells.

Applications

Unspecified application

Species

Unspecified reactive species

Marisela Rodriguez,Jiyuan Chen,Pritesh P Jain,Aleksandra Babicheva,Mingmei Xiong,Jifeng Li,Ning Lai,Tengteng Zhao,Moises Hernandez,Angela Balistrieri,Sophia Parmisano,Tatum Simonson,Ellen Breen,Daniela Valdez-Jasso,Patricia A Thistlethwaite,John Y-J Shyy,Jian Wang,Joe G N Garcia,Ayako Makino,Jason X-J Yuan

Journal of controlled release : official journal of the Controlled Release Society 172:374-381 PubMed24008152

2013

Uptake and transport of B12-conjugated nanoparticles in airway epithelium.

Applications

Unspecified application

Species

Unspecified reactive species

Robyn Fowler,Driton Vllasaliu,Franco H Falcone,Martin Garnett,Bryan Smith,Helen Horsley,Cameron Alexander,Snow Stolnik
View all publications

Product promise

We are committed to supporting your work with high-quality reagents, and we're here for you every step of the way. In the unlikely event that one of our products does not perform as expected, you're protected by our Product Promise.
For full details, please see our Terms & Conditions

Please note: All products are 'FOR RESEARCH USE ONLY. NOT FOR USE IN DIAGNOSTIC OR THERAPEUTIC PROCEDURES'.

For licensing inquiries, please contact partnerships@abcam.com