JavaScript is disabled in your browser. Please enable JavaScript to view this website.
AB122665

Anti-CALML5 antibody

Be the first to review this product! Submit a review

|

(2 Publications)

Rabbit Polyclonal CALML5 antibody. Suitable for IHC-P, ICC/IF and reacts with Human samples. Cited in 2 publications. Immunogen corresponding to Recombinant Fragment Protein within Human CALML5 aa 1-100.

View Alternative Names

CLSP, CALML5, Calmodulin-like protein 5, Calmodulin-like skin protein

2 Images
Immunocytochemistry/ Immunofluorescence - Anti-CALML5 antibody (AB122665)
  • ICC/IF

Unknown

Immunocytochemistry/ Immunofluorescence - Anti-CALML5 antibody (AB122665)

Immunofluorescent staining of Human cell line A-431 shows positivity in plasma membrane and cytoplasm. Recommended concentration of ab122665 1-4 µg/ml. Cells treated with PFA/Triton X-100.

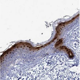
Immunohistochemistry (Formalin/PFA-fixed paraffin-embedded sections) - Anti-CALML5 antibody (AB122665)
  • IHC-P

Unknown

Immunohistochemistry (Formalin/PFA-fixed paraffin-embedded sections) - Anti-CALML5 antibody (AB122665)

ab122665 at 1/2500 dilution staining CALML5 in paraffin-embedded Human skin tissue by Immunohistochemistry.

Key facts

Host species

Rabbit

Clonality

Polyclonal

Isotype

IgG

Carrier free

No

Reacts with

Human

Applications

IHC-P, ICC/IF

applications

Immunogen

Recombinant Fragment Protein within Human CALML5 aa 1-100. The exact immunogen used to generate this antibody is proprietary information.

Q9NZT1

Reactivity data

{ "title": "Reactivity Data", "filters": { "stats": ["", "Species", "Dilution Info", "Notes"], "tabs": { "all-applications": {"fullname" : "All Applications", "shortname": "All Applications"}, "IHCP" : {"fullname" : "Immunohistochemistry (Formalin/PFA-fixed paraffin-embedded sections)", "shortname":"IHC-P"}, "ICCIF" : {"fullname" : "Immunocytochemistry/ Immunofluorescence", "shortname":"ICC/IF"} }, "product-promise": { "all": "all", "testedAndGuaranteed": "tested", "guaranteed": "expected", "predicted": "predicted", "notRecommended": "not-recommended" } }, "values": { "Human": { "IHCP-species-checked": "testedAndGuaranteed", "IHCP-species-dilution-info": "1/2500 - 1/5000", "IHCP-species-notes": "<p></p> Perform heat-mediated antigen retrieval with citrate buffer pH 6 before commencing with IHC staining protocol.", "ICCIF-species-checked": "testedAndGuaranteed", "ICCIF-species-dilution-info": "0.25-2 µg/mL", "ICCIF-species-notes": "<p></p>" } } }

Properties and storage information

Form
Liquid
Purification technique
Affinity purification Immunogen
Storage buffer
pH: 7.2 Preservative: 0.02% Sodium azide Constituents: PBS, 40% Glycerol (glycerin, glycerine)
Shipped at conditions
Blue Ice
Appropriate short-term storage conditions
+4°C
Appropriate long-term storage conditions
-20°C
Aliquoting information
Upon delivery aliquot
Storage information
Avoid freeze / thaw cycle

Supplementary information

This supplementary information is collated from multiple sources and compiled automatically.

CALML5 also known as calmodulin-like protein 5 is a small calcium-binding protein with a molecular weight of approximately 15 kDa. It shares structural similarities with calmodulin but has a distinct expression pattern. This protein is strongly expressed in keratinocytes particularly in the epidermis and is involved in the calcium-mediated signaling processes that regulate skin cell function and differentiation.
Biological function summary

CALML5 modulates processes involved in epidermal homeostasis and repair. It plays an important role in the regulation of keratinocyte differentiation an essential process for proper skin barrier function. CALML5 does not form part of a large molecular complex but interacts with other calcium-binding proteins to influence epidermal physiology.

Pathways

CALML5 is integrated into the calcium signaling pathway which is critical for calcium-dependent regulation of keratinocyte activity. It relates closely to other proteins within this pathway such as calcium-binding proteins like calmodulin. Its activity is important in relaying calcium signals that influence cellular processes like cell proliferation and differentiation.

CALML5 has links to skin conditions such as psoriasis and certain types of dermatitis where epidermal differentiation is disrupted. CALML5 may interact with proteins such as keratin to influence these disease processes highlighting its potential role in the maintenance of epidermal health and integrity. Understanding its functions could lead to new therapeutic strategies for managing skin-related disorders.

Product protocols

For this product, it's our understanding that no specific protocols are required. You can visit:

Target data

Binds calcium. May be involved in terminal differentiation of keratinocytes.
See full target information CALML5

Publications (2)

Recent publications for all applications. Explore the full list and refine your search

Virologica Sinica 39:501-512 PubMed38789039

2024

Calmodulin-like 5 promotes PEDV replication by regulating late-endosome synthesis and innate immune response.

Applications

Unspecified application

Species

Unspecified reactive species

Wen-Jun Tian,Xiu-Zhong Zhang,Jing Wang,Jian-Feng Liu,Fu-Huang Li,Xiao-Jia Wang

Cell biology international 44:1820-1830 PubMed32379372

2020

TMEM98 mRNA promotes proliferation and invasion of gastric cells by directly interacting with NF90 protein.

Applications

Unspecified application

Species

Unspecified reactive species

Xudong Ao,Xinxin Li,Yongxia Chen,Zhichao Zang,Weichun Guo,Junqing Liang
View all publications

Product promise

We are committed to supporting your work with high-quality reagents, and we're here for you every step of the way. In the unlikely event that one of our products does not perform as expected, you're protected by our Product Promise.
For full details, please see our Terms & Conditions

Please note: All products are 'FOR RESEARCH USE ONLY. NOT FOR USE IN DIAGNOSTIC OR THERAPEUTIC PROCEDURES'.

For licensing inquiries, please contact partnerships@abcam.com