JavaScript is disabled in your browser. Please enable JavaScript to view this website.
AB154631

Anti-CALML5 antibody

Be the first to review this product! Submit a review

|

(1 Publication)

Rabbit Polyclonal CALML5 antibody. Suitable for IHC-P, WB and reacts with Human samples. Cited in 1 publication. Immunogen corresponding to Recombinant Fragment Protein within Human CALML5 aa 1 to C-terminus.

View Alternative Names

CLSP, CALML5, Calmodulin-like protein 5, Calmodulin-like skin protein

2 Images
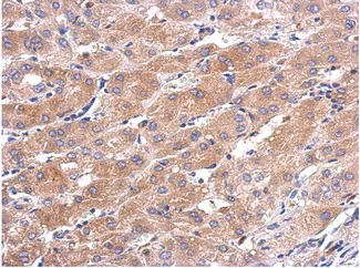
Immunohistochemistry (Formalin/PFA-fixed paraffin-embedded sections) - Anti-CALML5 antibody (AB154631)
  • IHC-P

Unknown

Immunohistochemistry (Formalin/PFA-fixed paraffin-embedded sections) - Anti-CALML5 antibody (AB154631)

Immunohistochemical analysis of paraffin-embedded Human hepatoma tissue, labeling CALML5 with ab154631 at 1/500 dilution.

Western blot - Anti-CALML5 antibody (AB154631)
  • WB

Unknown

Western blot - Anti-CALML5 antibody (AB154631)

15% SDS PAGE

All lanes:

Western blot - Anti-CALML5 antibody (ab154631) at 1/1000 dilution

All lanes:

A431 whole cell lysate at 30 µg

Predicted band size: 16 kDa

false

Key facts

Host species

Rabbit

Clonality

Polyclonal

Isotype

IgG

Carrier free

No

Reacts with

Human

Applications

WB, IHC-P

applications

Immunogen

Recombinant Fragment Protein within Human CALML5 aa 1 to C-terminus. The exact immunogen used to generate this antibody is proprietary information.

Q9NZT1

Reactivity data

{ "title": "Reactivity Data", "filters": { "stats": ["", "Species", "Dilution Info", "Notes"], "tabs": { "all-applications": {"fullname" : "All Applications", "shortname": "All Applications"}, "IHCP" : {"fullname" : "Immunohistochemistry (Formalin/PFA-fixed paraffin-embedded sections)", "shortname":"IHC-P"}, "WB" : {"fullname" : "Western blot", "shortname":"WB"} }, "product-promise": { "all": "all", "testedAndGuaranteed": "tested", "guaranteed": "expected", "predicted": "predicted", "notRecommended": "not-recommended" } }, "values": { "Human": { "IHCP-species-checked": "testedAndGuaranteed", "IHCP-species-dilution-info": "1/100 - 1/1000", "IHCP-species-notes": "<p>Alternatively Tris-EDTA buffer (pH8.0) may be used.</p> Perform heat-mediated antigen retrieval with citrate buffer pH 6 before commencing with IHC staining protocol.", "WB-species-checked": "testedAndGuaranteed", "WB-species-dilution-info": "1/500 - 1/3000", "WB-species-notes": "<p></p>" } } }

Properties and storage information

Form
Liquid
Purification technique
Affinity purification Immunogen
Storage buffer
pH: 7 Preservative: 0.01% Thimerosal (merthiolate) Constituents: 20% Glycerol (glycerin, glycerine), 1.21% Tris, 0.75% Glycine
Shipped at conditions
Blue Ice
Appropriate short-term storage conditions
+4°C
Appropriate long-term storage conditions
-20°C
Aliquoting information
Upon delivery aliquot
Storage information
Avoid freeze / thaw cycle

Supplementary information

This supplementary information is collated from multiple sources and compiled automatically.

CALML5 also known as calmodulin-like protein 5 is a small calcium-binding protein with a molecular weight of approximately 15 kDa. It shares structural similarities with calmodulin but has a distinct expression pattern. This protein is strongly expressed in keratinocytes particularly in the epidermis and is involved in the calcium-mediated signaling processes that regulate skin cell function and differentiation.
Biological function summary

CALML5 modulates processes involved in epidermal homeostasis and repair. It plays an important role in the regulation of keratinocyte differentiation an essential process for proper skin barrier function. CALML5 does not form part of a large molecular complex but interacts with other calcium-binding proteins to influence epidermal physiology.

Pathways

CALML5 is integrated into the calcium signaling pathway which is critical for calcium-dependent regulation of keratinocyte activity. It relates closely to other proteins within this pathway such as calcium-binding proteins like calmodulin. Its activity is important in relaying calcium signals that influence cellular processes like cell proliferation and differentiation.

CALML5 has links to skin conditions such as psoriasis and certain types of dermatitis where epidermal differentiation is disrupted. CALML5 may interact with proteins such as keratin to influence these disease processes highlighting its potential role in the maintenance of epidermal health and integrity. Understanding its functions could lead to new therapeutic strategies for managing skin-related disorders.

Product protocols

For this product, it's our understanding that no specific protocols are required. You can visit:

Target data

Binds calcium. May be involved in terminal differentiation of keratinocytes.
See full target information CALML5

Publications (1)

Recent publications for all applications. Explore the full list and refine your search

Experimental and therapeutic medicine 14:3004-3012 PubMed28912854

2017

Comparative proteomics analysis of primary cutaneous amyloidosis.

Applications

Unspecified application

Species

Unspecified reactive species

Daxing Cai,Yang Li,Chunlei Zhou,Yulin Jiang,Jian Jiao,Lin Wu
View all publications

Product promise

We are committed to supporting your work with high-quality reagents, and we're here for you every step of the way. In the unlikely event that one of our products does not perform as expected, you're protected by our Product Promise.
For full details, please see our Terms & Conditions

Please note: All products are 'FOR RESEARCH USE ONLY. NOT FOR USE IN DIAGNOSTIC OR THERAPEUTIC PROCEDURES'.

For licensing inquiries, please contact partnerships@abcam.com