JavaScript is disabled in your browser. Please enable JavaScript to view this website.
AB45689

Anti-Calmodulin 1/2/3 antibody [EP799Y] - C-terminal

4

(20 Reviews)

|

(74 Publications)

Anti-Calmodulin 1/2/3 antibody [EP799Y] - C-terminal (ab45689) is a rabbit monoclonal antibody detecting Calmodulin 1/2/3 in Western Blot, Flow Cytometry (Intra), Flow Cytometry, IP, IHC-P, IHC-Fr. Suitable for Human, Mouse, Rat.

- Biophysical QC for unrivalled batch-batch consistency
- Over 60 publications
- Trusted since 2006

View Alternative Names

CALML2, CAM3, CAMC, CAMIII, CALM3, Calmodulin-3

9 Images
Immunohistochemistry (Formalin/PFA-fixed paraffin-embedded sections) - Anti-Calmodulin 1/2/3 antibody [EP799Y] - C-terminal (AB45689)
  • IHC-P

Unknown

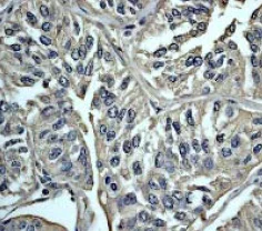
Immunohistochemistry (Formalin/PFA-fixed paraffin-embedded sections) - Anti-Calmodulin 1/2/3 antibody [EP799Y] - C-terminal (AB45689)

ab45689 at a 1 : 250 dilution staining Calmodulin in human urinary bladder carcinoma tissue by immunohistochemistry in paraffin embedded tissue.

Immunohistochemistry (Formalin/PFA-fixed paraffin-embedded sections) - Anti-Calmodulin 1/2/3 antibody [EP799Y] - C-terminal (AB45689)
  • IHC-P

Unknown

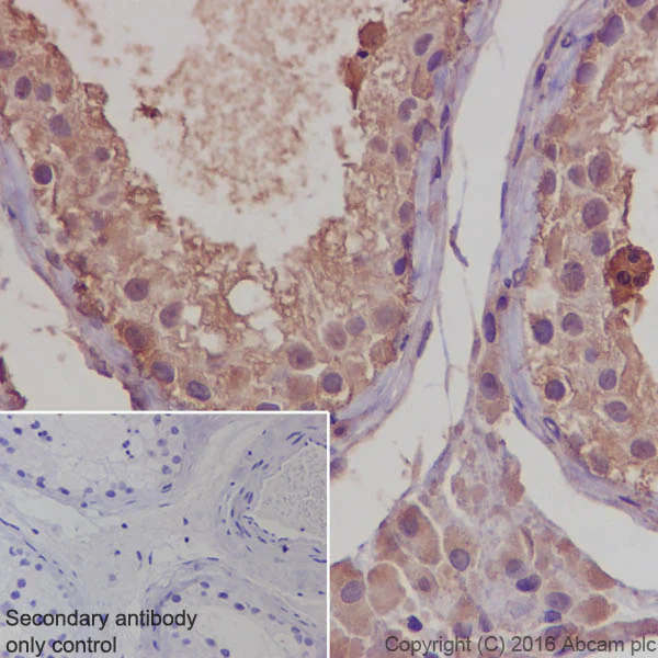
Immunohistochemistry (Formalin/PFA-fixed paraffin-embedded sections) - Anti-Calmodulin 1/2/3 antibody [EP799Y] - C-terminal (AB45689)

ab45689 staining Calmodulin in human testis tissue sections by Immunohistochemistry (IHC-P - paraformaldehyde-fixed, paraffin-embedded sections). Tissue was fixed with paraformaldehyde and antigen retrieval was by heat mediation in a EDTA buffer. Samples were incubated with primary antibody at a dilution of 1/2000. A goat anti-rabbit IgG H&L (HRP) ab97051 was used as the secondary antibody at a dilution of 1/500.

Negative control : PBS in place of primary antibody (inset).

Flow Cytometry (Intracellular) - Anti-Calmodulin 1/2/3 antibody [EP799Y] - C-terminal (AB45689)
  • Flow Cyt (Intra)

Unknown

Flow Cytometry (Intracellular) - Anti-Calmodulin 1/2/3 antibody [EP799Y] - C-terminal (AB45689)

Overlay histogram showing MCF7 (Human breast adenocarcinoma cell line) cells stained with ab45689 (red line).

The cells were fixed with methanol (5 min) and then permeabilized with 0.1% PBS-Tween for 20 min. The cells were then incubated in 1x PBS / 10% normal goat serum / 0.3M glycine to block non-specific protein-protein interactions followed by the antibody (ab45689, 1/50 dilution) for 30 min at 22°C. The secondary antibody used was DyLight® 488 goat anti-rabbit IgG (H+L) (ab96899) at 1/500 dilution for 30 min at 22°C.

Isotype control antibody (black line) was rabbit monoclonal IgG (0.5μg/1x106 cells) used under the same conditions.

Acquisition of >5,000 events was performed.

This antibody gave a decreased signal in MCF7 cells fixed with 4% paraformaldehyde (10 min)/permeabilized in 0.1% PBS-Tween used under the same conditions.

Immunoprecipitation - Anti-Calmodulin 1/2/3 antibody [EP799Y] - C-terminal (AB45689)
  • IP

Unknown

Immunoprecipitation - Anti-Calmodulin 1/2/3 antibody [EP799Y] - C-terminal (AB45689)

ab45689 immunoprecipitating Calmodulin. 10 μg of cell lysate was incubated with primary antibody at a dilution of 1/20 and VeriBlot for IP Detection Reagent (HRP) (ab131366) at a dilution of 1/10000.

Lane 1 : Human skeletal muscle lysate (10 μg)
Lane 2 : Human skeletal muscle lysate
Lane 3 : Rabbit monoclonal IgG (ab172730) instead of ab45689 in human skeletal muscle lysate

All lanes:

Immunoprecipitation - Anti-Calmodulin 1/2/3 antibody [EP799Y] - C-terminal (ab45689)

Observed band size: 16 kDa

false

Flow Cytometry (Intracellular) - Anti-Calmodulin 1/2/3 antibody [EP799Y] - C-terminal (AB45689)
  • Flow Cyt (Intra)

Unknown

Flow Cytometry (Intracellular) - Anti-Calmodulin 1/2/3 antibody [EP799Y] - C-terminal (AB45689)

ab45689 staining Calmodulin in NIH/3T3 (Mouse embryo fibroblast cell line) cells by intracellular flow cytometry.

Cells were fixed with 4% paraformaldehyde and the sample was incubated with the primary antibody at a dilution of 1/100. A goat anti rabbit IgG (Alexa Fluorr® 488) at a dilution of 1/2000 was used as the secondary antibody.

Isoytype control : Rabbit monoclonal IgG (Black)

Unlabeled control : Cell without incubation with primary antibody and secondary antibody (Blue)

Western blot - Anti-Calmodulin 1/2/3 antibody [EP799Y] - C-terminal (AB45689)
  • WB

Lab

Western blot - Anti-Calmodulin 1/2/3 antibody [EP799Y] - C-terminal (AB45689)

Blocking and diluting buffer : 5% NFDM/TBST

All lanes:

Western blot - Anti-Calmodulin 1/2/3 antibody [EP799Y] - C-terminal (ab45689) at 1/10000 dilution

Lane 1:

RAW264.7 (mouse abelson murine leukemia virus-induced tumor) whole cell lysate at 15 µg

Lane 2:

C6 (rat glioma) whole cell lysate at 15 µg

Secondary

All lanes:

Western blot - Goat Anti-Rabbit IgG H&L (HRP) (<a href='/en-us/products/secondary-antibodies/goat-rabbit-igg-h-l-hrp-ab97051'>ab97051</a>) at 1/20000 dilution

Predicted band size: 17 kDa

false

Western blot - Anti-Calmodulin 1/2/3 antibody [EP799Y] - C-terminal (AB45689)
  • WB

Unknown

Western blot - Anti-Calmodulin 1/2/3 antibody [EP799Y] - C-terminal (AB45689)

All lanes:

Western blot - Anti-Calmodulin 1/2/3 antibody [EP799Y] - C-terminal (ab45689) at 1/5000 dilution

All lanes:

NIH/3T3 (Mouse embryo fibroblast cell line) cell lysate at 10 µg

Predicted band size: 17 kDa

Observed band size: 16 kDa

false

Western blot - Anti-Calmodulin 1/2/3 antibody [EP799Y] - C-terminal (AB45689)
  • WB

PubMed

Western blot - Anti-Calmodulin 1/2/3 antibody [EP799Y] - C-terminal (AB45689)

ΔSRCR peripheral blood monocyte-derived macrophages (PMMs) still function as hemoglobin-haptoglobin (Hb-Hp) scavengers.

Porcine PMMs were incubated for 24 hours in the presence of 100 μg/mol Hb-Hp then lysed with reducing SDS sample buffer and HO-1 protein expression analyzed by western blot.

For full details please see paper.

All lanes:

Western blot - Anti-Calmodulin 1/2/3 antibody [EP799Y] - C-terminal (ab45689)

Predicted band size: 17 kDa

false

Burkard et al PLoS Pathog. 2017 Feb 23;13(2):e1006206. doi: 10.1371/journal.ppat.1006206. eCollection 2017 Feb. Fig 8. Reproduced under the Creative Commons license http://creativecommons.org/licenses/by/4.0/

Western blot - Anti-Calmodulin 1/2/3 antibody [EP799Y] - C-terminal (AB45689)
  • WB

Lab

Western blot - Anti-Calmodulin 1/2/3 antibody [EP799Y] - C-terminal (AB45689)

All lanes:

Western blot - Anti-Calmodulin 1/2/3 antibody [EP799Y] - C-terminal (ab45689) at 1/10000 dilution

Lane 1:

HeLa (human cervix adenocarcinoma) whole cell lysate at 15 µg

Lane 2:

HCT 116 (human colorectal carcinoma) whole cell lysate at 15 µg

Secondary

All lanes:

Western blot - Goat Anti-Rabbit IgG H&L (HRP) (<a href='/en-us/products/secondary-antibodies/goat-rabbit-igg-h-l-hrp-ab97051'>ab97051</a>) at 1/20000 dilution

Predicted band size: 17 kDa,40 kDa

false

  • Carrier free

    Anti-Calmodulin 1/2/3 antibody [EP799Y] - BSA and Azide free

  • HRP

    HRP Anti-Calmodulin 1/2/3 antibody [EP799Y]

Key facts

Host species

Rabbit

Clonality

Monoclonal

Clone number

EP799Y

Isotype

IgG

Carrier free

No

Reacts with

Mouse, Rat, Human

Applications

IHC-Fr, Flow Cyt (Intra), WB, IP, IHC-P

applications

Immunogen

The exact immunogen used to generate this antibody is proprietary information.

Reactivity data

{ "title": "Reactivity Data", "filters": { "stats": ["", "Species", "Dilution Info", "Notes"], "tabs": { "all-applications": {"fullname" : "All Applications", "shortname": "All Applications"}, "WB" : {"fullname" : "Western blot", "shortname":"WB"}, "IP" : {"fullname" : "Immunoprecipitation", "shortname":"IP"}, "FlowCytIntra" : {"fullname" : "Flow Cytometry (Intracellular)", "shortname":"Flow Cyt (Intra)"}, "IHCP" : {"fullname" : "Immunohistochemistry (Formalin/PFA-fixed paraffin-embedded sections)", "shortname":"IHC-P"}, "IHCFr" : {"fullname" : "Immunohistochemistry (Frozen sections)", "shortname":"IHC-Fr"} }, "product-promise": { "all": "all", "testedAndGuaranteed": "tested", "guaranteed": "expected", "predicted": "predicted", "notRecommended": "not-recommended" } }, "values": { "Human": { "WB-species-checked": "testedAndGuaranteed", "WB-species-dilution-info": "1/1000 - 1/10000", "WB-species-notes": "<p></p>", "IP-species-checked": "testedAndGuaranteed", "IP-species-dilution-info": "1/20 - 1/50", "IP-species-notes": "<p></p>", "FlowCytIntra-species-checked": "testedAndGuaranteed", "FlowCytIntra-species-dilution-info": "1/50 - 1/100", "FlowCytIntra-species-notes": "<p><a href='/en-us/products/primary-antibodies/rabbit-igg-monoclonal-epr25a-isotype-control-ab172730'>ab172730</a> - Rabbit monoclonal IgG, is suitable for use as an isotype control with this antibody.</p>", "IHCP-species-checked": "testedAndGuaranteed", "IHCP-species-dilution-info": "1/2000", "IHCP-species-notes": "<p>Mouse and rat species reactivity is recommended based on WB results, we do not guarantee IHC for mouse or rat.</p> Perform heat-mediated antigen retrieval with Tris/EDTA buffer pH 9.0 before commencing with IHC staining protocol.", "IHCFr-species-checked": "guaranteed", "IHCFr-species-dilution-info": "", "IHCFr-species-notes": "<p>Mouse and rat species reactivity is recommended based on WB results, we do not guarantee IHC for mouse or rat.</p>" }, "Mouse": { "WB-species-checked": "testedAndGuaranteed", "WB-species-dilution-info": "1/1000 - 1/10000", "WB-species-notes": "<p></p>", "IP-species-checked": "guaranteed", "IP-species-dilution-info": "", "IP-species-notes": "", "FlowCytIntra-species-checked": "testedAndGuaranteed", "FlowCytIntra-species-dilution-info": "1/100", "FlowCytIntra-species-notes": "<p><a href='/en-us/products/primary-antibodies/rabbit-igg-monoclonal-epr25a-isotype-control-ab172730'>ab172730</a> - Rabbit monoclonal IgG, is suitable for use as an isotype control with this antibody.</p>", "IHCP-species-checked": "guaranteed", "IHCP-species-dilution-info": "", "IHCP-species-notes": "", "IHCFr-species-checked": "predicted", "IHCFr-species-dilution-info": "", "IHCFr-species-notes": "" }, "Rat": { "WB-species-checked": "testedAndGuaranteed", "WB-species-dilution-info": "1/1000 - 1/10000", "WB-species-notes": "<p></p>", "IP-species-checked": "guaranteed", "IP-species-dilution-info": "", "IP-species-notes": "", "FlowCytIntra-species-checked": "guaranteed", "FlowCytIntra-species-dilution-info": "", "FlowCytIntra-species-notes": "", "IHCP-species-checked": "guaranteed", "IHCP-species-dilution-info": "", "IHCP-species-notes": "", "IHCFr-species-checked": "predicted", "IHCFr-species-dilution-info": "", "IHCFr-species-notes": "" } } }

Product details

What is this antibody validated in?
Anti-Calmodulin 1/2/3 antibody [EP799Y] - C-terminal (ab45689) is a rabbit recombinant monoclonal antibody and is validated for use in Western Blot (WB), Flow Cytometry (Intra), Flow Cytometry (Flow Cyt), Immunoprecipitation (IP), Immunohistochemistry (IHC-P), Immunohistochemistry (IHC-Fr) in Human, Mouse, Rat samples.

What is the molecular weight of Calmodulin 1/2/3?
Anti-Calmodulin 1/2/3 [EP799Y] - C-terminal (ab45689) specifically detects a band for Calmodulin 1/2/3 (UniProt: P0DP23) at a molecular weight of 17kDa.

Trusted by the scientific community
Anti-Calmodulin 1/2/3 [EP799Y] - C-terminal (ab45689) was first used in a scientific publication in 2006 and has been cited over 60 times in peer-reviewed journals.

Reviewed by scientists
Anti-Calmodulin 1/2/3 [EP799Y] - C-terminal (ab45689) has over 15 independent reviews from customers.

Trial sizes available!
Test your antibody or perform pre-screening before committing to a larger quantity. Sold in 10µl. Discover our selection of trial-size antibodies.

Other related products
We have a range of other formats of antibody clone [EP799Y] also available for your convenience: ab45689, HRP - ab199558, Carrier free - ab214793

Patented technology
Our RabMAb® technology is a patented hybridoma-based technology for making rabbit monoclonal antibodies. For details on our patents, please refer to RabMAb® patents.

What are the advantages of a recombinant monoclonal antibody?
This product is a recombinant monoclonal antibody, which offers several advantages including:

  • - High batch-to-batch consistency and reproducibility
  • - Improved sensitivity and specificity
  • - Long-term security of supply
  • - Animal-free batch production

For more information, read more on recombinant antibodies.

Properties and storage information

Form
Liquid
Purity
Tissue culture supernatant
Storage buffer
pH: 7.2 - 7.4 Preservative: 0.01% Sodium azide Constituents: PBS, 40% Glycerol (glycerin, glycerine), 0.05% BSA
Shipped at conditions
Blue Ice
Appropriate short-term storage duration
1-2 weeks
Appropriate short-term storage conditions
+4°C
Appropriate long-term storage conditions
-20°C
Aliquoting information
Upon delivery aliquot
Storage information
Avoid freeze / thaw cycle

Supplementary information

This supplementary information is collated from multiple sources and compiled automatically.

Calmodulin also known as calmoduline is a multifunctional intermediate calcium-binding protein expressed widely in eukaryotic cells. This small protein has a molecular weight of approximately 16.7 kDa. Calmodulin 1 2 and 3 serve as the key isoforms facilitating a variety of calcium-mediated processes. You can find it in cellular contexts where calcium signaling plays a regulatory role. Due to its ubiquity it acts as a mediator in numerous cellular responses.
Biological function summary

Calmodulin modulates intracellular activities by binding to calcium ions and interacting with a wide array of target proteins. It is not part of a molecular complex but can partner with proteins like kinases and phosphatases leading to downstream effects on diverse cellular processes. Calmodulin function extends to muscle contraction cell division and signal transduction impacting both basal and specialized cellular functions.

Pathways

Calmodulin operates as a functional link in calcium signaling and the MAPK signaling pathways. In these pathways calmodulin influences the activity of proteins such as myosin light-chain kinase and calmodulin-dependent protein kinase. These interactions showcase calmodulin's pivotal role in translating calcium signaling into cellular responses connecting several signaling cascades.

Calmodulin has associations with certain cardiovascular diseases and neurodegenerative conditions. Its relationship with ion channel dysfunction links it to disorders like long QT syndrome. Additionally calmodulin interacts with proteins like sodium-calcium exchangers or other ion-handling channels reflecting its involvement in maintaining cellular ionic balance and consequently its implication in pathological states when dysregulated.

Product protocols

For this product, it's our understanding that no specific protocols are required. You can visit:

Target data

Calmodulin acts as part of a calcium signal transduction pathway by mediating the control of a large number of enzymes, ion channels, aquaporins and other proteins through calcium-binding (PubMed : 16760425, PubMed : 31454269). Calcium-binding is required for the activation of calmodulin (PubMed : 16760425, PubMed : 31454269, PubMed : 35568036). Among the enzymes to be stimulated by the calmodulin-calcium complex are a number of protein kinases, such as myosin light-chain kinases and calmodulin-dependent protein kinase type II (CaMK2), and phosphatases (PubMed : 16760425, PubMed : 35568036). Together with CCP110 and centrin, is involved in a genetic pathway that regulates the centrosome cycle and progression through cytokinesis (PubMed : 16760425).. (Microbial infection) Required for C.violaceum CopC and S.flexneri OspC3 arginine ADP-riboxanase activity.
See full target information CALM3

Additional targets

CALM1,

Publications (74)

Recent publications for all applications. Explore the full list and refine your search

JCI insight 10: PubMed40705464

2025

Enrichment of mutant calmodulin protein in a murine model of a human calmodulinopathy.

Applications

Unspecified application

Species

Unspecified reactive species

Wen-Chin Tsai,Chiu-Fen Yang,Shu-Yu Lin,Suh-Yuen Liang,Wei-Chung Tsai,Shuai Guo,Xiaochun Li,Susan Ofner,Kai-Chien Yang,Tzu-Ching Meng,Peng-Sheng Chen,Michael Rubart

Frontiers in endocrinology 16:1536567 PubMed40636716

2025

Long-term tuina can inhibit the occurrence of gastroparesis by protecting gastrointestinal function in diabetic rats.

Applications

Unspecified application

Species

Unspecified reactive species

Jian-Zhen Jiang,Wan-Qiu Li,Kun-Lin Kuang,Yu-Qing Jiang,Zhao-Xuan He,Li-Juan Zhang,Jing-Ya Cao,Dan Wang,Xin-Yue Zhang,Zi-Lei Tian,Jun Zhu,De-Zhong Peng

ACS omega 10:26488-26499 PubMed40620951

2025

Phochinenin I, a Bioactive Constituent from , Attenuates Inflammatory Response and Oxidative Stress In Vitro and In Vivo.

Applications

Unspecified application

Species

Unspecified reactive species

Ye Li,Guanghui Ren,Wei Wang,Hongyan Li,Ang Li,Yongjie Wang

Cell death discovery 11:303 PubMed40610429

2025

Transcription factor TCF3 promotes bladder cancer development via TMBIM6-Ca-dependent ferroptosis.

Applications

Unspecified application

Species

Unspecified reactive species

Wei-Feng Yang,Wei-Ming Guo,Qing-Tian Luo,Jingfen Lu,Zhou-Ke Tan,Yuan-Chun Ye,Gang Fan

Physiological reports 13:e70414 PubMed40483549

2025

Environment-induced heat stress causes ventricular-dependent biochemical changes in the heart in female pigs.

Applications

Unspecified application

Species

Unspecified reactive species

Melissa Roths,Tori E Rudolph,Alyssa D Freestone,Lance H Baumgard,Joshua T Selsby

Heliyon 10:e35374 PubMed39170388

2024

Suppressing ERp57 diminishes osteoclast activity and ameliorates ovariectomy-induced bone loss via the intervention in calcium oscillation and the calmodulin/calcineurin/Nfatc1 pathway.

Applications

Unspecified application

Species

Unspecified reactive species

Tao Yuan,Yi Wang,Haojue Wang,Qizhen Lu,Xin Zhang,Ziqing Li,Shui Sun

The Journal of neuroscience : the official journal of the Society for Neuroscience 44: PubMed39060175

2024

Calmodulin Triggers Activity-Dependent rRNA Biogenesis via Interaction with DDX21.

Applications

Unspecified application

Species

Unspecified reactive species

Jia-Lin Yang,Xue Sun,Jun-Xiu Shi,Qing-Xu Cui,Xin-Yu Cao,Kai-Tuo Wang,Ming-Xin An,Si-Jin Wu,Yong-Liang Yang,Hong-Zan Sun,Wei-Dong Zhao

Redox biology 75:103254 PubMed38968922

2024

NADPH oxidase 2 activity disrupts Calmodulin/CaMKIIα complex via redox modifications of CaMKIIα-contained Cys30 and Cys289: Implications in Parkinson's disease.

Applications

Unspecified application

Species

Unspecified reactive species

Filippo Pullara,Madison C Forsmann,Ignacio J General,Joseph C Ayoob,Emily Furbee,Sandra L Castro,Xiaoping Hu,J Timothy Greenamyre,Roberto Di Maio

Proceedings of the National Academy of Sciences of the United States of America 121:e2400497121 PubMed38917010

2024

Structural insights into the regulation of RyR1 by S100A1.

Applications

Unspecified application

Species

Unspecified reactive species

Gunnar Weninger,Marco C Miotto,Carl Tchagou,Steven Reiken,Haikel Dridi,Sören Brandenburg,Gabriel C Riedemann,Qi Yuan,Yang Liu,Alexander Chang,Anetta Wronska,Stephan E Lehnart,Andrew R Marks

iScience 27:109156 PubMed38439960

2024

Trifluoperazine regulates blood-brain barrier permeability via the MLCK/p-MLC pathway to promote ischemic stroke recovery.

Applications

Unspecified application

Species

Unspecified reactive species

Wentao Zhang,Sisi Chen,Bin Ma,Yingmei Ding,Xiaofen Liu,Caijun He,Biao Wang,Mei Yuan
View all publications

Product promise

We are committed to supporting your work with high-quality reagents, and we're here for you every step of the way. In the unlikely event that one of our products does not perform as expected, you're protected by our Product Promise.
For full details, please see our Terms & Conditions

Please note: All products are 'FOR RESEARCH USE ONLY. NOT FOR USE IN DIAGNOSTIC OR THERAPEUTIC PROCEDURES'.

For licensing inquiries, please contact partnerships@abcam.com