JavaScript is disabled in your browser. Please enable JavaScript to view this website.
AB225542

Anti-Calnexin antibody [EPR3633(2)] - BSA and Azide free

Be the first to review this product! Submit a review

|

(1 Publication)

Rabbit Recombinant Monoclonal Calnexin antibody. Carrier free. Suitable for IHC-P, WB, Flow Cyt (Intra) and reacts with Human samples. Cited in 1 publication.

View Alternative Names

Calnexin, IP90, Major histocompatibility complex class I antigen-binding protein p88, p90, CANX

7 Images
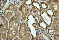
Immunohistochemistry (Formalin/PFA-fixed paraffin-embedded sections) - Anti-Calnexin antibody [EPR3633(2)] - BSA and Azide free (AB225542)
  • IHC-P

Unknown

Immunohistochemistry (Formalin/PFA-fixed paraffin-embedded sections) - Anti-Calnexin antibody [EPR3633(2)] - BSA and Azide free (AB225542)

Immunohistochemical analysis of paraffin-embedded human kidney tissue labelled with unpurified ab133615 at 1/100 dilution.

This data was developed using the same antibody clone in a different buffer formulation containing PBS, BSA, glycerol, and sodium azide (ab133615).

Perform heat mediated antigen retrieval before commencing with IHC staining protocol.

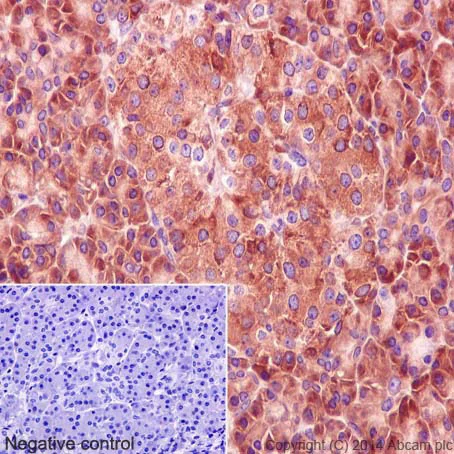
Immunohistochemistry (Formalin/PFA-fixed paraffin-embedded sections) - Anti-Calnexin antibody [EPR3633(2)] - BSA and Azide free (AB225542)
  • IHC-P

Lab

Immunohistochemistry (Formalin/PFA-fixed paraffin-embedded sections) - Anti-Calnexin antibody [EPR3633(2)] - BSA and Azide free (AB225542)

Immunohistochemical staining of paraffin embedded human pancreas with purified ab133615 at a working dilution of 1 in 4000. The secondary antibody used is ab97051, a HRP goat anti-rabbit (H+L), at a dilution of 1/500. The sample is counter-stained with hematoxylin. Antigen retrieval was perfomed using Tris-EDTA buffer, pH 9.0. PBS was used instead of the primary antibody as the negative control, and is shown in the inset.

This data was developed using the same antibody clone in a different buffer formulation containing PBS, BSA, glycerol, and sodium azide (ab133615).

Flow Cytometry (Intracellular) - Anti-Calnexin antibody [EPR3633(2)] - BSA and Azide free (AB225542)
  • Flow Cyt (Intra)

Lab

Flow Cytometry (Intracellular) - Anti-Calnexin antibody [EPR3633(2)] - BSA and Azide free (AB225542)

Overlay histogram showingHeLa (Human epithelial cell line from cervix adenocarcinoma) cells fixed in 80%methanol and stained with purified ab133615 at a dilution of 1 in 360 (red line). The secondary antibody used was FITC goat anti-rabbit at a dilution of 1 in 150. Rabbit monoclonal IgG was used as an isotype control (black line) and cells without incubation with antibody were used as a negative control (blue line).

This data was developed using the same antibody clone in a different buffer formulation containing PBS, BSA, glycerol, and sodium azide (ab133615).

Flow Cytometry (Intracellular) - Anti-Calnexin antibody [EPR3633(2)] - BSA and Azide free (AB225542)
  • Flow Cyt (Intra)

Unknown

Flow Cytometry (Intracellular) - Anti-Calnexin antibody [EPR3633(2)] - BSA and Azide free (AB225542)

Overlay histogram showing HeLa (Human epithelial cell line from cervix adenocarcinoma) cells stained with unpurified ab133615 (red line). The cells were fixed with 80% methanol (5 min) and then permeabilized with 0.1% PBS-Tween for 20 min. The cells were then incubated in 1x PBS / 10% normal goat serum / 0.3M glycine to block non-specific protein-protein interactions followed by the antibody (unpurified ab133615, 1/1000 dilution) for 30 min at 22°C. The secondary antibody used was Alexa Fluor® 488 goat anti-rabbit IgG (H&L) (ab150077) at 1/2000 dilution for 30 min at 22°C. Isotype control antibody (black line) was rabbit IgG (monoclonal) (0.1μg/1x106 cells) used under the same conditions. Unlabelled sample (blue line) was also used as a control. Acquisition of >5,000 events were collected using a 20mW Argon ion laser (488nm) and 525/30 bandpass filter. This antibody gave a positive signal in HeLa cells fixed with 4% paraformaldehyde (10 min)/permeabilized with 0.1% PBS-Tween for 20 min used under the same conditions.

This data was developed using the same antibody clone in a different buffer formulation containing PBS, BSA, glycerol, and sodium azide (ab133615).

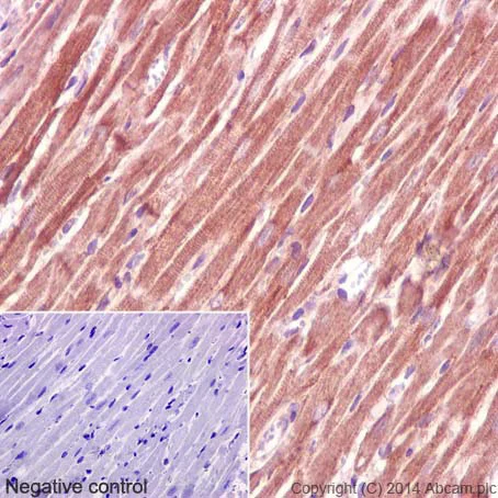
Immunohistochemistry (Formalin/PFA-fixed paraffin-embedded sections) - Anti-Calnexin antibody [EPR3633(2)] - BSA and Azide free (AB225542)
  • IHC-P

Lab

Immunohistochemistry (Formalin/PFA-fixed paraffin-embedded sections) - Anti-Calnexin antibody [EPR3633(2)] - BSA and Azide free (AB225542)

Immunohistochemical staining of paraffin embedded rat cardiac muscle with purified ab133615 at a working dilution of 1 in 4000. The secondary antibody used is ab97051, a HRP goat anti-rabbit (H+L), at a dilution of 1/500. The sample is counter-stained with hematoxylin. Antigen retrieval was perfomed using Tris-EDTA buffer, pH 9.0. PBS was used instead of the primary antibody as the negative control, and is shown in the inset.

This data was developed using the same antibody clone in a different buffer formulation containing PBS, BSA, glycerol, and sodium azide (ab133615).

Western blot - Anti-Calnexin antibody [EPR3633(2)] - BSA and Azide free (AB225542)
  • WB

Lab

Western blot - Anti-Calnexin antibody [EPR3633(2)] - BSA and Azide free (AB225542)

This data was developed using the same antibody clone in a different buffer formulation (ab133615).

Lanes 1- 2 : Merged signal (red and green). Green - ab133615 observed at 90 kDa. Red - Anti-GAPDH antibody [6C5] - Loading Control (ab8245) observed at 37 kDa.

ab133615 was shown to react with Calnexin in wild-type HEK-293T cells in western blot. Loss of signal was observed when knockout cell line ab255368 (knockout cell lysate ab263805) was used. Wild-type HEK-293T and CANX knockout HEK-293T cell lysates were subjected to SDS-PAGE. Membrane was blocked for 1 hour at room temperature in 0.1% TBST with 3% non-fat dried milk. ab133615 and Anti-GAPDH antibody [6C5] - Loading Control (ab8245) overnight at 4°C at a 1 in 1000 dilution and a 1 in 20000 dilution respectively. Blots were developed with Goat anti-Rabbit IgG H&L (IRDye®800CW) preadsorbed (ab216773) and Goat anti-Mouse IgG H&L (IRDye®680RD) preadsorbed (ab216776) secondary antibodies at 1 in 20000 dilution for 1 hour at room temperature before imaging.

All lanes:

Western blot - Anti-Calnexin antibody [EPR3633(2)] - ER Membrane Marker (<a href='/en-us/products/primary-antibodies/calnexin-antibody-epr36332-er-membrane-marker-ab133615'>ab133615</a>) at 1/1000 dilution

Lane 1:

Wild-type HEK-293T cell lysate at 20 µg

Lane 2:

CANX knockout HEK-293T cell lysate at 20 µg

Lane 2:

Western blot - Human CANX (Calnexin) knockout HEK-293T cell line (<a href='/en-us/products/cell-lines/human-canx-calnexin-knockout-hek-293t-cell-line-ab255368'>ab255368</a>)

Predicted band size: 68 kDa

Observed band size: 90 kDa

false

Western blot - Anti-Calnexin antibody [EPR3633(2)] - BSA and Azide free (AB225542)
  • WB

Lab

Western blot - Anti-Calnexin antibody [EPR3633(2)] - BSA and Azide free (AB225542)

This WB data was generated using the same anti-Calnexin antibody clone [EPR3633(2)] in a different buffer formulation (cat# ab133615).

Lanes 1 - 4 : Merged signal (red and green). Green - ab133615 observed at 80 kDa. Red - loading control, ab8245, observed at 37 kDa.

ab133615 was shown to recognize Calnexin when Calnexin knockout samples were used, along with additional cross-reactive bands. Wild-type and Calnexin knockout samples were subjected to SDS-PAGE. ab133615 and ab8245 (loading control to GAPDH) were diluted 1/1000 and 1/10 000 respectively and incubated overnight at 4°C. Blots were developed with Goat anti-Rabbit IgG H&L (IRDye® 800CW) preadsorbed (ab216773) and Goat anti-Mouse IgG H&L (IRDye® 680RD) preadsorbed (ab216776) secondary antibodies at 1/10 000 dilution for 1 h at room temperature before imaging.

All lanes:

Western blot - Anti-Calnexin antibody [EPR3633(2)] - ER Membrane Marker (<a href='/en-us/products/primary-antibodies/calnexin-antibody-epr36332-er-membrane-marker-ab133615'>ab133615</a>) at 1/1000 dilution

Lane 1:

Wild-type HAP1 cell lysate at 20 µg

Lane 2:

Calnexin knockout HAP1 cell lysate at 20 µg

Lane 3:

THP1 cell lysate at 20 µg

Lane 4:

Raw264.7 (Mouse macrophage cell line transformed with Abelson murine leukemia virus) cell lysate at 20 µg

Predicted band size: 68 kDa

false

  • Unconjugated

    Anti-Calnexin antibody [EPR3633(2)] - ER Membrane Marker

  • 519 Alexa Fluor® 488

    Alexa Fluor® 488 Anti-Calnexin antibody [EPR3633(2)] - ER Membrane Marker

  • 665 Alexa Fluor® 647

    Alexa Fluor® 647 Anti-Calnexin antibody [EPR3633(2)] - ER Membrane Marker

  • 603 Alexa Fluor® 568

    Alexa Fluor® 568 Anti-Calnexin antibody [EPR3633(2)] - ER Membrane Marker

  • 775 Alexa Fluor® 750

    Alexa Fluor® 750 Anti-Calnexin antibody [EPR3633(2)] - ER Membrane Marker

  • HRP

    HRP Anti-Calnexin antibody [EPR3633(2)] - ER Membrane Marker

  • 617 Alexa Fluor® 594

    Alexa Fluor® 594 Anti-Calnexin antibody [EPR3633(2)] - ER Membrane Marker

  • 660 APC

    APC Anti-Calnexin antibody [EPR3633(2)] - ER Membrane Marker

  • 578 PE

    PE Anti-Calnexin antibody [EPR3633(2)] - ER Membrane Marker

  • 565 Alexa Fluor® 555

    Alexa Fluor® 555 Anti-Calnexin antibody [EPR3633(2)] - ER Membrane Marker

Key facts

Host species

Rabbit

Clonality

Monoclonal

Clone number

EPR3633(2)

Isotype

IgG

Carrier free

Yes

Reacts with

Human

Applications

Flow Cyt (Intra), WB, IHC-P

applications

Immunogen

The exact immunogen used to generate this antibody is proprietary information.

Specificity

Recognizes ER membrane, mitochondria and cis-Golgi.

Reactivity data

{ "title": "Reactivity Data", "filters": { "stats": ["", "Species", "Dilution Info", "Notes"], "tabs": { "all-applications": {"fullname" : "All Applications", "shortname": "All Applications"}, "IHCP" : {"fullname" : "Immunohistochemistry (Formalin/PFA-fixed paraffin-embedded sections)", "shortname":"IHC-P"}, "WB" : {"fullname" : "Western blot", "shortname":"WB"}, "FlowCytIntra" : {"fullname" : "Flow Cytometry (Intracellular)", "shortname":"Flow Cyt (Intra)"} }, "product-promise": { "all": "all", "testedAndGuaranteed": "tested", "guaranteed": "expected", "predicted": "predicted", "notRecommended": "not-recommended" } }, "values": { "Human": { "IHCP-species-checked": "testedAndGuaranteed", "IHCP-species-dilution-info": "", "IHCP-species-notes": "<p></p>", "WB-species-checked": "testedAndGuaranteed", "WB-species-dilution-info": "", "WB-species-notes": "<p></p>", "FlowCytIntra-species-checked": "testedAndGuaranteed", "FlowCytIntra-species-dilution-info": "", "FlowCytIntra-species-notes": "<p><a href='/en-us/products/primary-antibodies/rabbit-igg-monoclonal-epr25a-isotype-control-low-endotoxin-azide-free-ab199376'>ab199376</a> - Rabbit monoclonal IgG, is suitable for use as an isotype control with this antibody.</p>" }, "Mouse": { "IHCP-species-checked": "notRecommended", "IHCP-species-dilution-info": "", "IHCP-species-notes": "", "WB-species-checked": "notRecommended", "WB-species-dilution-info": "", "WB-species-notes": "<p></p>", "FlowCytIntra-species-checked": "notRecommended", "FlowCytIntra-species-dilution-info": "", "FlowCytIntra-species-notes": "" } } }

Product details

ab225542 is the carrier-free version of ab133615.

References regarding specificity:

Horner SM et al. Mitochondrial-associated endoplasmic reticulum membranes (MAM) form innate immune synapses and are targeted by hepatitis C virus. Proc Natl Acad Sci U S A 108:14590-5 (2011). PubMed: 21844353

Myhill N et al. The subcellular distribution of calnexin is mediated by PACS-2. Mol Biol Cell 19:2777-88 (2008). PubMed: 18417615

Yoshimura SI et al. Direct targeting of cis-Golgi matrix proteins to the Golgi apparatus. J Cell Sci 114:4105-15 (2001). PubMed: 11739642

Patented technology
Our RabMAb® technology is a patented hybridoma-based technology for making rabbit monoclonal antibodies. For details on our patents, please refer to RabMAb® patents.

Conjugation ready
Our carrier-free antibodies are typically supplied in a PBS-only formulation, purified and free of BSA, sodium azide and glycerol. This conjugation-ready format is designed for use with fluorochromes, metal isotopes, oligonucleotides, and enzymes, which makes them ideal for antibody labelling, functional and cell-based assays, flow-based assays (e.g. mass cytometry) and Multiplex Imaging applications.

Use our conjugation kits for antibody conjugates that are ready-to-use in as little as 20 minutes with 1 minute hands-on-time and 100% antibody recovery: available for fluorescent dyes, HRP, biotin and gold.

Compatibility
This product is compatible with the Maxpar® Antibody Labeling Kit from Fluidigm, without the need for antibody preparation. Maxpar® is a trademark of Fluidigm Canada Inc.

Species reactivity
Mouse: We have preliminary internal testing data to indicate this antibody may not react with this species.
Please contact us for more information.

Properties and storage information

Form
Liquid
Purification technique
Affinity purification Protein A
Storage buffer
pH: 7.2 - 7.4 Constituents: PBS
Shipped at conditions
Blue Ice
Appropriate short-term storage conditions
+4°C
Appropriate long-term storage conditions
+4°C
Storage information
Do Not Freeze

Supplementary information

This supplementary information is collated from multiple sources and compiled automatically.

Calnexin also known as Canx is a type I integral membrane protein of the endoplasmic reticulum (ER) involved in the process of protein folding. This chaperone protein has an approximate molecular weight of 90 kDa and is known for its role in the quality control of glycoproteins. Calnexin is expressed in the ER of cells where it interacts with nascent polypeptides to ensure proper folding and assembly contributing to cellular homeostasis. It exhibits its function through its lectin-like domain that binds to sugar moieties on glycoproteins.
Biological function summary

Calnexin facilitates the proper folding of newly synthesized proteins by forming a complex with another chaperone protein called ERp57. This interaction helps in creating the correct disulfide bonds in glycoproteins which is essential for their stability and functionality. The complex often referred to as the calnexin cycle is critical in preventing the aggregation and misfolding of proteins within the ER. This process ensures that only correctly folded proteins proceed to the Golgi apparatus for further processing and transport.

Pathways

Calnexin plays an important role in the ER-associated degradation (ERAD) pathway and the unfolded protein response (UPR). In these pathways calnexin ensures that misfolded proteins are retained in the ER or targeted for degradation preventing cellular stress. Calnexin is associated with proteins such as calreticulin another chaperone protein with a similar function in the ER. Together they maintain proteostasis within cells and protect against the accumulation of improperly folded proteins.

Calnexin is linked to several conditions including cystic fibrosis and certain neurodegenerative diseases. In cystic fibrosis the misfolding and subsequent degradation of the CFTR protein are associated with calnexin's role in the ERAD pathway. Similarly in neurodegenerative diseases such as Alzheimer's disrupted protein folding and aggregation are linked to ER stress where calnexin and other chaperone proteins like BiP play a pivotal role in managing protein misfolding. Understanding calnexin's role in these disorders can contribute to developing strategies to mitigate faulty protein folding and its pathological consequences.

Product protocols

For this product, it's our understanding that no specific protocols are required. You can visit:

Target data

Calcium-binding protein that interacts with newly synthesized monoglucosylated glycoproteins in the endoplasmic reticulum. It may act in assisting protein assembly and/or in the retention within the ER of unassembled protein subunits. It seems to play a major role in the quality control apparatus of the ER by the retention of incorrectly folded proteins. Associated with partial T-cell antigen receptor complexes that escape the ER of immature thymocytes, it may function as a signaling complex regulating thymocyte maturation. Additionally it may play a role in receptor-mediated endocytosis at the synapse.
See full target information CANX

Publications (1)

Recent publications for all applications. Explore the full list and refine your search

Molecular and cellular biology 35:3301-11 PubMed26169834

2015

Deubiquitinase USP47/UBP64E Regulates β-Catenin Ubiquitination and Degradation and Plays a Positive Role in Wnt Signaling.

Applications

Unspecified application

Species

Unspecified reactive species

Jiandang Shi,Yajuan Liu,Xuehe Xu,Wen Zhang,Tianxin Yu,Jianhang Jia,Chunming Liu
View all publications

Product promise

We are committed to supporting your work with high-quality reagents, and we're here for you every step of the way. In the unlikely event that one of our products does not perform as expected, you're protected by our Product Promise.
For full details, please see our Terms & Conditions

Please note: All products are 'FOR RESEARCH USE ONLY. NOT FOR USE IN DIAGNOSTIC OR THERAPEUTIC PROCEDURES'.

For licensing inquiries, please contact partnerships@abcam.com