JavaScript is disabled in your browser. Please enable JavaScript to view this website.
AB92356

Anti-Calpain small subunit 1 antibody [EPR3323]

Be the first to review this product! Submit a review

|

(8 Publications)

Rabbit Recombinant Monoclonal Calpain small subunit 1 antibody. Suitable for IHC-P, WB and reacts with Human, Mouse samples. Cited in 8 publications.

View Alternative Names

CAPN4, CAPNS, CAPNS1, Calpain small subunit 1, CSS1, Calcium-activated neutral proteinase small subunit, Calcium-dependent protease small subunit, Calcium-dependent protease small subunit 1, Calpain regulatory subunit, CANP small subunit, CDPS

3 Images
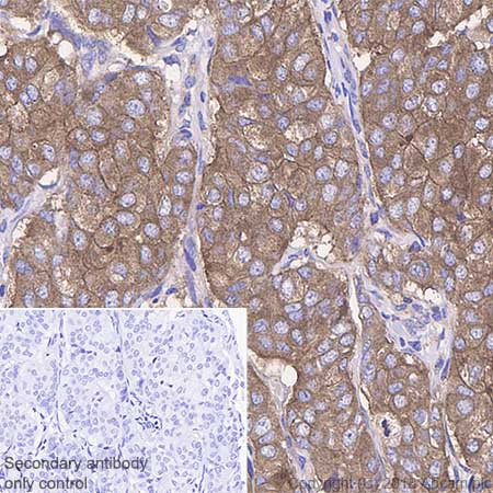
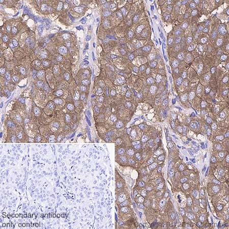
Immunohistochemistry (Formalin/PFA-fixed paraffin-embedded sections) - Anti-Calpain small subunit 1 antibody [EPR3323] (AB92356)
  • IHC-P

Unknown

Immunohistochemistry (Formalin/PFA-fixed paraffin-embedded sections) - Anti-Calpain small subunit 1 antibody [EPR3323] (AB92356)

ab92356 at 1/100 dilution staining Calpain small subunit 1 in paraffin-embedded Human kidney

Perform heat mediated antigen retrieval via the pressure cooker method before commencing with IHC staining protocol.

Western blot - Anti-Calpain small subunit 1 antibody [EPR3323] (AB92356)
  • WB

Unknown

Western blot - Anti-Calpain small subunit 1 antibody [EPR3323] (AB92356)

All lanes:

Western blot - Anti-Calpain small subunit 1 antibody [EPR3323] (ab92356) at 1/1000 dilution

Lane 1:

T47-D cell lysate at 10 µg

Lane 2:

293T cell lysate at 10 µg

Lane 3:

A431 cell lysate at 10 µg

Lane 4:

Human spleen lysate at 10 µg

Secondary

All lanes:

HRP labelled goat anti-rabbit antibody at 1/2000 dilution

Predicted band size: 28 kDa

false

Western blot - Anti-Calpain small subunit 1 antibody [EPR3323] (AB92356)
  • WB

Lab

Western blot - Anti-Calpain small subunit 1 antibody [EPR3323] (AB92356)

Lanes 1 - 4 : Merged signal (red and green). Green - ab92356 observed at 82 kDa. Red - loading control, ab9484, observed at 37 kDa.

ab92356 was shown to specifically react with Calpain 1 in wild-type HAP1 cells as signal was lost in CAPNS1 (Calpain small subunit 1) knockout cells. Wild-type and CAPNS1 (Calpain small subunit 1) knockout samples were subjected to SDS-PAGE. ab92356 and ab9484 (Mouse anti GAPDH loading control) were incubated overnight at 4°C at 1/1000 dilution and 1/20000 dilution respectively. Blots were developed with Goat anti-Rabbit IgG H&L (IRDye® 800CW) preabsorbed ab216773 and Goat anti-Mouse IgG H&L (IRDye® 680RD) preabsorbed ab216776 secondary antibodies at 1/20000 dilution for 1 hour at room temperature before imaging.

All lanes:

Western blot - Anti-Calpain small subunit 1 antibody [EPR3323] (ab92356) at 1/1000 dilution

Lane 1:

Wild-type HAP1 whole cell lysate at 40 µg

Lane 2:

CAPNS1 (Calpain small subunit 1) knockout HAP1 whole cell lysate at 40 µg

Lane 3:

HepG2 whole cell lysate at 40 µg

Lane 4:

HeLa whole cell lysate at 40 µg

Predicted band size: 28 kDa

false

Key facts

Host species

Rabbit

Clonality

Monoclonal

Clone number

EPR3323

Isotype

IgG

Carrier free

No

Reacts with

Mouse, Human

Applications

WB, IHC-P

applications

Immunogen

The exact immunogen used to generate this antibody is proprietary information.

Reactivity data

{ "title": "Reactivity Data", "filters": { "stats": ["", "Species", "Dilution Info", "Notes"], "tabs": { "all-applications": {"fullname" : "All Applications", "shortname": "All Applications"}, "IHCP" : {"fullname" : "Immunohistochemistry (Formalin/PFA-fixed paraffin-embedded sections)", "shortname":"IHC-P"}, "IP" : {"fullname" : "Immunoprecipitation", "shortname":"IP"}, "WB" : {"fullname" : "Western blot", "shortname":"WB"} }, "product-promise": { "all": "all", "testedAndGuaranteed": "tested", "guaranteed": "expected", "predicted": "predicted", "notRecommended": "not-recommended" } }, "values": { "Human": { "IHCP-species-checked": "testedAndGuaranteed", "IHCP-species-dilution-info": "1/100 - 1/250", "IHCP-species-notes": "<p>The use of an HRP/AP polymerized antibody is recommended as these have been shown to give superior staining.</p>", "IP-species-checked": "notRecommended", "IP-species-dilution-info": "", "IP-species-notes": "<p></p>", "WB-species-checked": "testedAndGuaranteed", "WB-species-dilution-info": "1/1000 - 1/2000", "WB-species-notes": "<p></p>" }, "Mouse": { "IHCP-species-checked": "guaranteed", "IHCP-species-dilution-info": "1/100 - 1/250", "IHCP-species-notes": "<p>The use of an HRP/AP polymerized antibody is recommended as these have been shown to give superior staining.</p>", "IP-species-checked": "notRecommended", "IP-species-dilution-info": "", "IP-species-notes": "<p></p>", "WB-species-checked": "guaranteed", "WB-species-dilution-info": "1/1000 - 1/2000", "WB-species-notes": "<p></p>" }, "Rat": { "IHCP-species-checked": "predicted", "IHCP-species-dilution-info": "", "IHCP-species-notes": "", "IP-species-checked": "notRecommended", "IP-species-dilution-info": "", "IP-species-notes": "", "WB-species-checked": "predicted", "WB-species-dilution-info": "", "WB-species-notes": "" } } }

Product details

Patented technology
Our RabMAb® technology is a patented hybridoma-based technology for making rabbit monoclonal antibodies. For details on our patents, please refer to RabMAb® patents.

What are the advantages of a recombinant monoclonal antibody?
This product is a recombinant monoclonal antibody, which offers several advantages including:

  • - High batch-to-batch consistency and reproducibility
  • - Improved sensitivity and specificity
  • - Long-term security of supply
  • - Animal-free batch production

For more information, read more on recombinant antibodies.

Properties and storage information

Form
Liquid
Purification technique
Affinity purification Protein A
Storage buffer
pH: 7.2 - 7.4 Preservative: 0.05% Sodium azide Constituents: 50% Tissue culture supernatant, 40% Glycerol (glycerin, glycerine), 9.85% Tris glycine
Shipped at conditions
Blue Ice
Appropriate short-term storage conditions
+4°C
Appropriate long-term storage conditions
-20°C
Storage information
Stable for 12 months at -20°C

Supplementary information

This supplementary information is collated from multiple sources and compiled automatically.

Calpain small subunit 1 also known as CSS1 or CAPNS1 is a small protein with a molecular mass of approximately 28 kDa. CSS1 forms an essential part of the calpain protease system which includes both the catalytic large and regulatory small subunits. CSS1 is important for the stability and function of the calpain holoenzyme. It expresses in various tissues including brain muscle and kidney suggesting its widespread functional role in cellular processes.
Biological function summary

Several cellular processes involve the calpain protease system to which Calpain small subunit 1 belongs. CSS1 acts by regulating the proteolytic activity of calpain an enzyme complex critical for cellular signaling cytoskeletal remodeling and apoptosis. The small subunit plays an important role within the calpain complex facilitating the proper folding and activation of the catalytic subunit. This process ensures that calpain conforms to appropriate physiological conditions to exert its regulatory functions.

Pathways

The involvement of Calpain small subunit 1 in intracellular signaling pathways is significant. CSS1 plays a role in the calcium-dependent proteolytic pathway helping modulate the activity of proteins such as calpastatin the endogenous inhibitor of calpains. Calpain activity impacts many pathways including the cell cycle and apoptotic pathways. Through these pathways CSS1 contributes to cell proliferation differentiation and programmed cell death highlighting its multifunctional role in cellular homeostasis.

Calpain small subunit 1 has a notable association with certain pathological conditions. Dysregulation of calpain activity due to alterations in CSS1 can contribute to neurodegenerative diseases like Alzheimer's disease and muscular disorders such as limb-girdle muscular dystrophy. In Alzheimer's disease abnormal calpain activation affects tau protein processing linking CSS1 indirectly with tau-related pathologies. Moreover in muscular disorders calpain plays a role in muscle fiber degradation and repair where anomalies in CSS1 may impair muscle integrity and function.

Product protocols

For this product, it's our understanding that no specific protocols are required. You can visit:

Target data

Regulatory subunit of the calcium-regulated non-lysosomal thiol-protease which catalyzes limited proteolysis of substrates involved in cytoskeletal remodeling and signal transduction. Essential for embryonic development (By similarity).
See full target information CAPNS1

Publications (8)

Recent publications for all applications. Explore the full list and refine your search

Cancer cell international 25:253 PubMed40615856

2025

STIM1 signaling modulates invasive phenotypic plasticity by regulating calpain-dependent cleavage of integrin-β4 in nasopharyngeal carcinoma cells.

Applications

Unspecified application

Species

Unspecified reactive species

Weiming Deng,Wenlin Huang,Yujuan Huang,Lihong Huang,Linsong Ye,Fei Liu,Min Li,Jingjin Weng,Qian He,Jinyan Zhang,Shenhong Qu,Jiazhang Wei

Cell death & disease 16:208 PubMed40140647

2025

Simvastatin inhibits PD-L1 via ILF3 to induce ferroptosis in gastric cancer cells.

Applications

Unspecified application

Species

Unspecified reactive species

Danping Sun,Xiaohan Cui,Wenshuo Yang,Meng Wei,Zhibo Yan,Mingxiang Zhang,Wenbin Yu

Acta pharmacologica Sinica 45:87-97 PubMed37679644

2023

SGLT2 inhibitor empagliflozin alleviates cardiac remodeling and contractile anomalies in a FUNDC1-dependent manner in experimental Parkinson's disease.

Applications

Unspecified application

Species

Unspecified reactive species

Wei Yu,Lin Wang,Wei-Ying Ren,Hai-Xia Xu,Ne N Wu,Dong-Hui Yu,Russel J Reiter,Wen-Liang Zha,Qing-Dong Guo,Jun Ren

Bioengineered 13:3566-3580 PubMed35068337

2022

Endothelial progenitor cells-derived exosomes transfer microRNA-30e-5p to regulate Erastin-induced ferroptosis in human umbilical vein endothelial cells via the specificity protein 1/adenosine monophosphate-activated protein kinase axis.

Applications

Unspecified application

Species

Unspecified reactive species

Jia Xia,Xiaoying Song,Jing Meng,Danfei Lou

Journal of endocrinological investigation 44:2685-2698 PubMed34024028

2021

Extracellular vesicles derived from bone marrow mesenchymal stem cells alleviate neuroinflammation after diabetic intracerebral hemorrhage via the miR-183-5p/PDCD4/NLRP3 pathway.

Applications

Unspecified application

Species

Unspecified reactive species

H Ding,Y Jia,H Lv,W Chang,F Liu,D Wang

Molecular medicine reports 23: PubMed33760208

2021

Circular RNA ABCB10 promotes cell proliferation and invasion, but inhibits apoptosis via regulating the microRNA‑1271‑mediated Capn4/Wnt/β‑catenin signaling pathway in epithelial ovarian cancer.

Applications

Unspecified application

Species

Unspecified reactive species

Xuefang Lin,Yan Chen,Xiabin Ye,Xuemei Xia

Turkish neurosurgery 29:887-900 PubMed31608966

2019

Melatonin Modulates NMDA-Receptor 2B/Calpain-1/ Caspase-12 Pathways in Rat Brain After Long Time Exposure to GSM Radiation.

Applications

IHC-P, WB

Species

Rat, Rat

Cemile Merve Seymen,Celal Ilgaz,Deniz Erdogan,Cigdem Elmas,Atiye Saglam,Zubeyir Elmazoglu,Bahriye Sirav Aral,Gulnur Take Kaplanoglu

Science translational medicine 11: PubMed31316008

2019

Calpain 9 as a therapeutic target in TGFβ-induced mesenchymal transition and fibrosis.

Applications

Unspecified application

Species

Unspecified reactive species

David H Kim,James D Beckett,Varun Nagpal,Manuel A Seman-Senderos,Russell A Gould,Tyler J Creamer,Elena Gallo MacFarlane,Yichun Chen,Djahida Bedja,Jonathan T Butcher,Wayne Mitzner,Rosanne Rouf,Shoji Hata,Daniel S Warren,Harry C Dietz
View all publications

Product promise

We are committed to supporting your work with high-quality reagents, and we're here for you every step of the way. In the unlikely event that one of our products does not perform as expected, you're protected by our Product Promise.
For full details, please see our Terms & Conditions

Please note: All products are 'FOR RESEARCH USE ONLY. NOT FOR USE IN DIAGNOSTIC OR THERAPEUTIC PROCEDURES'.

For licensing inquiries, please contact partnerships@abcam.com