JavaScript is disabled in your browser. Please enable JavaScript to view this website.
AB247545

Anti-Calpain small subunit 1 antibody [EPR3324] - BSA and Azide free

Be the first to review this product! Submit a review

|

(1 Publication)

Rabbit Recombinant Monoclonal Calpain small subunit 1 antibody. Carrier free. Suitable for IHC-P, WB, Flow Cyt (Intra) and reacts with Human, Mouse, Rat samples. Cited in 1 publication.

View Alternative Names

CAPN4, CAPNS, CAPNS1, Calpain small subunit 1, CSS1, Calcium-activated neutral proteinase small subunit, Calcium-dependent protease small subunit, Calcium-dependent protease small subunit 1, Calpain regulatory subunit, CANP small subunit, CDPS

4 Images
Flow Cytometry (Intracellular) - Anti-Calpain small subunit 1 antibody [EPR3324] - BSA and Azide free (AB247545)
  • Flow Cyt (Intra)

Unknown

Flow Cytometry (Intracellular) - Anti-Calpain small subunit 1 antibody [EPR3324] - BSA and Azide free (AB247545)

This data was developed using ab92333, the same antibody clone in a different buffer formulation.

Overlay histogram showing HeLa cells stained with ab92333 (red line). The cells were fixed with 80% methanol (5 min) and then permeabilized with 0.1% PBS-Tween for 20 min. The cells were then incubated in 1x PBS / 10% normal goat serum / 0.3M glycine to block non-specific protein-protein interactions followed by the antibody (ab92333, 1/100 dilution) for 30 min at 22°C. The secondary antibody used was DyLight® 488 goat anti-rabbit IgG (H+L) (ab96899) at 1/500 dilution for 30 min at 22°C. Isotype control antibody (black line) was rabbit IgG (monoclonal) (1μg/1x106 cells) used under the same conditions. Acquisition of >5,000 events was performed. This antibody gave a positive signal in HeLa cells fixed with 4% paraformaldehyde (10 min)/permeabilized with 0.1% PBS-Tween for 20 min used under the same conditions.

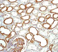
Immunohistochemistry (Formalin/PFA-fixed paraffin-embedded sections) - Anti-Calpain small subunit 1 antibody [EPR3324] - BSA and Azide free (AB247545)
  • IHC-P

Unknown

Immunohistochemistry (Formalin/PFA-fixed paraffin-embedded sections) - Anti-Calpain small subunit 1 antibody [EPR3324] - BSA and Azide free (AB247545)

This data was developed using ab92333, the same antibody clone in a different buffer formulation.

Immunohistochemistry staining of Calpain small subunit 1 in formalin-fixed, paraffin-embedded Human kidney tissue using 1/100 ab92333.

Heat mediated antigen retrieval was performed via the pressure cooker method before commencing with IHC staining protocol.

Western blot - Anti-Calpain small subunit 1 antibody [EPR3324] - BSA and Azide free (AB247545)
  • WB

Unknown

Western blot - Anti-Calpain small subunit 1 antibody [EPR3324] - BSA and Azide free (AB247545)

This data was developed using ab92333, the same antibody clone in a different buffer formulation.

All lanes:

Western blot - Anti-Calpain small subunit 1 antibody [EPR3324] (<a href='/en-us/products/primary-antibodies/calpain-small-subunit-1-antibody-epr3324-ab92333'>ab92333</a>) at 1/2000 dilution

Lane 1:

T-47D cell lysate at 10 µg

Lane 2:

Fetal brain tissue lysate at 10 µg

Lane 3:

Fetal spleen tissue lysate at 10 µg

Lane 4:

293T (Human embryonic kidney epithelial cell) cell lysate at 10 µg

Secondary

All lanes:

Goat anti-Rabbit HRP at 1/2000 dilution

Predicted band size: 28 kDa

Observed band size: 28 kDa

false

Western blot - Anti-Calpain small subunit 1 antibody [EPR3324] - BSA and Azide free (AB247545)
  • WB

Lab

Western blot - Anti-Calpain small subunit 1 antibody [EPR3324] - BSA and Azide free (AB247545)

This data was developed using ab92333, the same antibody clone in a different buffer formulation.

Lane 1 : Wild-type HAP1 whole cell lysate (20 μg)

Lane 2 : Calpain small subunit 1 knockout HAP1 whole cell lysate (20 μg)

Lane 3 : A431 whole cell lysate (20 μg)

Lane 4 : HEK293 whole cell lysate (20 μg)

Lanes 1 - 4 : Merged signal (red and green). Green - ab92333 observed at 28 kDa. Red - loading control, ab8245, observed at 37 kDa.

ab92333 was shown to recognize Calpain small subunit 1 when Calpain small subunit 1 knockout samples were used, along with additional cross-reactive bands. Wild-type and Calpain small subunit 1 knockout samples were subjected to SDS-PAGE. ab92333 and ab8245 (Mouse anti-GAPDH loading control) were incubated overnight at 4°C at 1/1000 dilution and 1/10000 dilution respectively. Blots were developed with Goat anti-Rabbit IgG H&L (IRDye® 800CW) preabsorbed ab216773 and Goat anti-Mouse IgG H&L (IRDye® 680RD) preabsorbed ab216776 secondary antibodies at 1/10000 dilution for 1 hour at room temperature before imaging.

All lanes:

Western blot - Anti-Calpain small subunit 1 antibody [EPR3324] (<a href='/en-us/products/primary-antibodies/calpain-small-subunit-1-antibody-epr3324-ab92333'>ab92333</a>)

Predicted band size: 28 kDa

false

Key facts

Host species

Rabbit

Clonality

Monoclonal

Clone number

EPR3324

Isotype

IgG

Carrier free

Yes

Reacts with

Human

Applications

IHC-P, WB, Flow Cyt (Intra)

applications

Immunogen

The exact immunogen used to generate this antibody is proprietary information.

Reactivity data

{ "title": "Reactivity Data", "filters": { "stats": ["", "Species", "Dilution Info", "Notes"], "tabs": { "all-applications": {"fullname" : "All Applications", "shortname": "All Applications"}, "IHCP" : {"fullname" : "Immunohistochemistry (Formalin/PFA-fixed paraffin-embedded sections)", "shortname":"IHC-P"}, "IP" : {"fullname" : "Immunoprecipitation", "shortname":"IP"}, "WB" : {"fullname" : "Western blot", "shortname":"WB"}, "FlowCytIntra" : {"fullname" : "Flow Cytometry (Intracellular)", "shortname":"Flow Cyt (Intra)"} }, "product-promise": { "all": "all", "testedAndGuaranteed": "tested", "guaranteed": "expected", "predicted": "predicted", "notRecommended": "not-recommended" } }, "values": { "Human": { "IHCP-species-checked": "testedAndGuaranteed", "IHCP-species-dilution-info": "", "IHCP-species-notes": "<p></p>", "IP-species-checked": "notRecommended", "IP-species-dilution-info": "", "IP-species-notes": "<p></p>", "WB-species-checked": "testedAndGuaranteed", "WB-species-dilution-info": "", "WB-species-notes": "<p></p>", "FlowCytIntra-species-checked": "testedAndGuaranteed", "FlowCytIntra-species-dilution-info": "", "FlowCytIntra-species-notes": "<p></p>" }, "Mouse": { "IHCP-species-checked": "predicted", "IHCP-species-dilution-info": "", "IHCP-species-notes": "", "IP-species-checked": "notRecommended", "IP-species-dilution-info": "", "IP-species-notes": "", "WB-species-checked": "guaranteed", "WB-species-dilution-info": "", "WB-species-notes": "<p></p>", "FlowCytIntra-species-checked": "predicted", "FlowCytIntra-species-dilution-info": "", "FlowCytIntra-species-notes": "" }, "Rat": { "IHCP-species-checked": "predicted", "IHCP-species-dilution-info": "", "IHCP-species-notes": "", "IP-species-checked": "notRecommended", "IP-species-dilution-info": "", "IP-species-notes": "", "WB-species-checked": "guaranteed", "WB-species-dilution-info": "", "WB-species-notes": "<p></p>", "FlowCytIntra-species-checked": "predicted", "FlowCytIntra-species-dilution-info": "", "FlowCytIntra-species-notes": "" }, "Chinese hamster": { "IHCP-species-checked": "predicted", "IHCP-species-dilution-info": "", "IHCP-species-notes": "", "IP-species-checked": "notRecommended", "IP-species-dilution-info": "", "IP-species-notes": "", "WB-species-checked": "predicted", "WB-species-dilution-info": "", "WB-species-notes": "", "FlowCytIntra-species-checked": "predicted", "FlowCytIntra-species-dilution-info": "", "FlowCytIntra-species-notes": "" } } }

Product details

ab247545 is the carrier-free version of ab92333.

Patented technology
Our RabMAb® technology is a patented hybridoma-based technology for making rabbit monoclonal antibodies. For details on our patents, please refer to RabMAb® patents.

What are the advantages of a recombinant monoclonal antibody?
This product is a recombinant monoclonal antibody, which offers several advantages including:

  • - High batch-to-batch consistency and reproducibility
  • - Improved sensitivity and specificity
  • - Long-term security of supply
  • - Animal-free batch production

For more information, read more on recombinant antibodies.

Conjugation ready
Our carrier-free antibodies are typically supplied in a PBS-only formulation, purified and free of BSA, sodium azide and glycerol. This conjugation-ready format is designed for use with fluorochromes, metal isotopes, oligonucleotides, and enzymes, which makes them ideal for antibody labelling, functional and cell-based assays, flow-based assays (e.g. mass cytometry) and Multiplex Imaging applications.

Use our conjugation kits for antibody conjugates that are ready-to-use in as little as 20 minutes with 1 minute hands-on-time and 100% antibody recovery: available for fluorescent dyes, HRP, biotin and gold.

Compatibility
This product is compatible with the Maxpar® Antibody Labeling Kit from Fluidigm, without the need for antibody preparation. Maxpar® is a trademark of Fluidigm Canada Inc.

Properties and storage information

Form
Liquid
Purification technique
Affinity purification Protein A
Storage buffer
pH: 7.2 - 7.4 Constituents: PBS
Shipped at conditions
Blue Ice
Appropriate short-term storage conditions
+4°C
Appropriate long-term storage conditions
+4°C
Storage information
Do Not Freeze

Supplementary information

This supplementary information is collated from multiple sources and compiled automatically.

Calpain small subunit 1 also known as CSS1 or CAPNS1 is a small protein with a molecular mass of approximately 28 kDa. CSS1 forms an essential part of the calpain protease system which includes both the catalytic large and regulatory small subunits. CSS1 is important for the stability and function of the calpain holoenzyme. It expresses in various tissues including brain muscle and kidney suggesting its widespread functional role in cellular processes.
Biological function summary

Several cellular processes involve the calpain protease system to which Calpain small subunit 1 belongs. CSS1 acts by regulating the proteolytic activity of calpain an enzyme complex critical for cellular signaling cytoskeletal remodeling and apoptosis. The small subunit plays an important role within the calpain complex facilitating the proper folding and activation of the catalytic subunit. This process ensures that calpain conforms to appropriate physiological conditions to exert its regulatory functions.

Pathways

The involvement of Calpain small subunit 1 in intracellular signaling pathways is significant. CSS1 plays a role in the calcium-dependent proteolytic pathway helping modulate the activity of proteins such as calpastatin the endogenous inhibitor of calpains. Calpain activity impacts many pathways including the cell cycle and apoptotic pathways. Through these pathways CSS1 contributes to cell proliferation differentiation and programmed cell death highlighting its multifunctional role in cellular homeostasis.

Calpain small subunit 1 has a notable association with certain pathological conditions. Dysregulation of calpain activity due to alterations in CSS1 can contribute to neurodegenerative diseases like Alzheimer's disease and muscular disorders such as limb-girdle muscular dystrophy. In Alzheimer's disease abnormal calpain activation affects tau protein processing linking CSS1 indirectly with tau-related pathologies. Moreover in muscular disorders calpain plays a role in muscle fiber degradation and repair where anomalies in CSS1 may impair muscle integrity and function.

Product protocols

For this product, it's our understanding that no specific protocols are required. You can visit:

Target data

Regulatory subunit of the calcium-regulated non-lysosomal thiol-protease which catalyzes limited proteolysis of substrates involved in cytoskeletal remodeling and signal transduction. Essential for embryonic development (By similarity).
See full target information CAPNS1

Publications (1)

Recent publications for all applications. Explore the full list and refine your search

Obesity (Silver Spring, Md.) 30:666-679 PubMed35170865

2022

Exosomal miR-122 promotes adipogenesis and aggravates obesity through the VDR/SREBF1 axis.

Applications

Unspecified application

Species

Unspecified reactive species

Xiao-Yan Huang,Ji-Xiong Chen,Yi Ren,Li-Chun Fan,Wei Xiang,Xiao-Jie He
View all publications

Product promise

We are committed to supporting your work with high-quality reagents, and we're here for you every step of the way. In the unlikely event that one of our products does not perform as expected, you're protected by our Product Promise.
For full details, please see our Terms & Conditions

Please note: All products are 'FOR RESEARCH USE ONLY. NOT FOR USE IN DIAGNOSTIC OR THERAPEUTIC PROCEDURES'.

For licensing inquiries, please contact partnerships@abcam.com