JavaScript is disabled in your browser. Please enable JavaScript to view this website.
AB101683

Anti-Calpain small subunit 1 antibody [SP81]

Be the first to review this product! Submit a review

|

(0 Publication)

Rabbit Recombinant Monoclonal Calpain small subunit 1 antibody. Suitable for Flow Cyt (Intra), IHC-P and reacts with Mouse, Rat, Human samples.

View Alternative Names

CAPN4, CAPNS, CAPNS1, Calpain small subunit 1, CSS1, Calcium-activated neutral proteinase small subunit, Calcium-dependent protease small subunit, Calcium-dependent protease small subunit 1, Calpain regulatory subunit, CANP small subunit, CDPS

5 Images
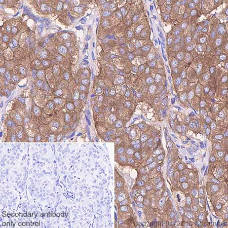
Immunohistochemistry (Formalin/PFA-fixed paraffin-embedded sections) - Anti-Calpain small subunit 1 antibody [SP81] (AB101683)
  • IHC-P

Unknown

Immunohistochemistry (Formalin/PFA-fixed paraffin-embedded sections) - Anti-Calpain small subunit 1 antibody [SP81] (AB101683)

Immunohistochemistry (Formalin/PFA-fixed paraffin-embedded sections) analysis of Human breast carcinoma tissue sections labeling Calpain small subunit 1 with ab101683 at 1/100 dilution (0.94 μg/ml). Heat mediated antigen retrieval with sodium citrate buffer (pH 6.0, epitope retrieval solution 1) for 10mins. Rabbit specific IHC polymer detection kit HRP/DAB (ab209101) was used as the secondary antibody. Hematoxylin was used as a counterstain. Positive staining on human breast carcinoma, performed on a Leica Biosystems BOND™ RX instrument.
The section was incubated with ab101683 for 30 mins at room temperature.

Flow Cytometry (Intracellular) - Anti-Calpain small subunit 1 antibody [SP81] (AB101683)
  • Flow Cyt (Intra)

Unknown

Flow Cytometry (Intracellular) - Anti-Calpain small subunit 1 antibody [SP81] (AB101683)

Flow cytometry analysis of Hela (human cervix adenocarcinoma) labeling Calpain small subunit 1 with purified ab101683 at 1/20 dilution (4.5 μg/ml) (red). Cells were fixed with 4% paraformaldehyde and permeabilised with 90% methanol. Goat anti rabbit IgG (Alexa Fluor® 488, ab150077) at 1/2000 dilution was used as a secondary antibody. Isotype control - Rabbit monoclonal IgG (ab172730) (Black). Unlableled control - Unlabelled cells (blue).

Immunohistochemistry (Formalin/PFA-fixed paraffin-embedded sections) - Anti-Calpain small subunit 1 antibody [SP81] (AB101683)
  • IHC-P

Unknown

Immunohistochemistry (Formalin/PFA-fixed paraffin-embedded sections) - Anti-Calpain small subunit 1 antibody [SP81] (AB101683)

Immunohistochemical analysis of Calpain expression in formalin-fixed, paraffin-embedded Human breast carcinoma using ab101683 at 1/100 dilution.

Flow Cytometry (Intracellular) - Anti-Calpain small subunit 1 antibody [SP81] (AB101683)
  • Flow Cyt (Intra)

Unknown

Flow Cytometry (Intracellular) - Anti-Calpain small subunit 1 antibody [SP81] (AB101683)

Flow cytometry analysis of PC-12 (rat adrenal gland pheochromocytoma) labeling Calpain small subunit 1 with purified ab101683 at 1/20 dilution (4.5 μg/ml) (red). Cells were fixed with 4% paraformaldehyde and permeabilised with 90% methanol. Goat anti rabbit IgG (Alexa Fluor® 488, ab150077) at 1/2000 dilution was used as a secondary antibody. Isotype control - Rabbit monoclonal IgG (ab172730) (Black). Unlableled control - Unlabelled cells (blue).

Flow Cytometry (Intracellular) - Anti-Calpain small subunit 1 antibody [SP81] (AB101683)
  • Flow Cyt (Intra)

Unknown

Flow Cytometry (Intracellular) - Anti-Calpain small subunit 1 antibody [SP81] (AB101683)

Flow cytometry analysis of NIH/3T3 (mouse embryo) labeling Calpain small subunit 1 with purified ab101683 at 1/20 dilution (4.5 μg/ml) (red). Cells were fixed with 4% paraformaldehyde and permeabilised with 90% methanol. Goat anti rabbit IgG (Alexa Fluor® 488, ab150077) at 1/2000 dilution was used as a secondary antibody. Isotype control - Rabbit monoclonal IgG (ab172730) (Black). Unlableled control - Unlabelled cells (blue).

  • Carrier free

    Anti-Calpain small subunit 1 antibody [SP81] - BSA and Azide free

Key facts

Host species

Rabbit

Clonality

Monoclonal

Clone number

SP81

Isotype

IgG

Carrier free

No

Reacts with

Mouse, Rat, Human

Applications

Flow Cyt (Intra), IHC-P

applications

Immunogen

The exact immunogen used to generate this antibody is proprietary information.

Reactivity data

{ "title": "Reactivity Data", "filters": { "stats": ["", "Species", "Dilution Info", "Notes"], "tabs": { "all-applications": {"fullname" : "All Applications", "shortname": "All Applications"}, "FlowCytIntra" : {"fullname" : "Flow Cytometry (Intracellular)", "shortname":"Flow Cyt (Intra)"}, "IHCP" : {"fullname" : "Immunohistochemistry (Formalin/PFA-fixed paraffin-embedded sections)", "shortname":"IHC-P"} }, "product-promise": { "all": "all", "testedAndGuaranteed": "tested", "guaranteed": "expected", "predicted": "predicted", "notRecommended": "not-recommended" } }, "values": { "Human": { "FlowCytIntra-species-checked": "testedAndGuaranteed", "FlowCytIntra-species-dilution-info": "1/20", "FlowCytIntra-species-notes": "<p></p>", "IHCP-species-checked": "testedAndGuaranteed", "IHCP-species-dilution-info": "1/100", "IHCP-species-notes": "<p>Antigen retrieval is recommeded: boil tissue section in 10mM citrate buffer, pH 6.0 for 10 min followed by cooling at RT for 20 min.</p>" }, "Mouse": { "FlowCytIntra-species-checked": "testedAndGuaranteed", "FlowCytIntra-species-dilution-info": "1/20", "FlowCytIntra-species-notes": "<p></p>", "IHCP-species-checked": "guaranteed", "IHCP-species-dilution-info": "", "IHCP-species-notes": "" }, "Rat": { "FlowCytIntra-species-checked": "testedAndGuaranteed", "FlowCytIntra-species-dilution-info": "1/20", "FlowCytIntra-species-notes": "<p></p>", "IHCP-species-checked": "guaranteed", "IHCP-species-dilution-info": "", "IHCP-species-notes": "" } } }

You may be interested in:

AB65308

Calpain Activity Assay Kit

4

1 Reviews

View product

We recommend this product because it’s often used in the same experiment or related research.

We advise that you always check the datasheet to ensure it fits your experiments, or contact ourtechnical teamfor help.

Product details

Properties and storage information

Form
Liquid
Purification technique
Affinity purification Protein A/G
Purification notes
Purified from TCS by protein A/G.
Storage buffer
pH: 7.6 Preservative: 0.1% Sodium azide Constituents: PBS, 1% BSA
Shipped at conditions
Blue Ice
Appropriate short-term storage conditions
+4°C
Appropriate long-term storage conditions
+4°C
Storage information
Do Not Freeze

Supplementary information

This supplementary information is collated from multiple sources and compiled automatically.

Calpain small subunit 1 also known as CSS1 or CAPNS1 is a small protein with a molecular mass of approximately 28 kDa. CSS1 forms an essential part of the calpain protease system which includes both the catalytic large and regulatory small subunits. CSS1 is important for the stability and function of the calpain holoenzyme. It expresses in various tissues including brain muscle and kidney suggesting its widespread functional role in cellular processes.
Biological function summary

Several cellular processes involve the calpain protease system to which Calpain small subunit 1 belongs. CSS1 acts by regulating the proteolytic activity of calpain an enzyme complex critical for cellular signaling cytoskeletal remodeling and apoptosis. The small subunit plays an important role within the calpain complex facilitating the proper folding and activation of the catalytic subunit. This process ensures that calpain conforms to appropriate physiological conditions to exert its regulatory functions.

Pathways

The involvement of Calpain small subunit 1 in intracellular signaling pathways is significant. CSS1 plays a role in the calcium-dependent proteolytic pathway helping modulate the activity of proteins such as calpastatin the endogenous inhibitor of calpains. Calpain activity impacts many pathways including the cell cycle and apoptotic pathways. Through these pathways CSS1 contributes to cell proliferation differentiation and programmed cell death highlighting its multifunctional role in cellular homeostasis.

Calpain small subunit 1 has a notable association with certain pathological conditions. Dysregulation of calpain activity due to alterations in CSS1 can contribute to neurodegenerative diseases like Alzheimer's disease and muscular disorders such as limb-girdle muscular dystrophy. In Alzheimer's disease abnormal calpain activation affects tau protein processing linking CSS1 indirectly with tau-related pathologies. Moreover in muscular disorders calpain plays a role in muscle fiber degradation and repair where anomalies in CSS1 may impair muscle integrity and function.

Product protocols

For this product, it's our understanding that no specific protocols are required. You can visit:

Target data

Regulatory subunit of the calcium-regulated non-lysosomal thiol-protease which catalyzes limited proteolysis of substrates involved in cytoskeletal remodeling and signal transduction. Essential for embryonic development (By similarity).
See full target information CAPNS1

Product promise

We are committed to supporting your work with high-quality reagents, and we're here for you every step of the way. In the unlikely event that one of our products does not perform as expected, you're protected by our Product Promise.
For full details, please see our Terms & Conditions
websiteProtocolBooklet
en
websiteProtocolBooklet
en

Associated Products

Select an associated product type
Alternative Product
Primary Antibodies

AB28237

Anti-Calpain small subunit 1 antibody

primary-antibodies

calpain-small-subunit-1-antibody-ab28237

0

(0 reviews)

Alternative Product
Primary Antibodies

AB92333

Anti-Calpain small subunit 1 antibody [EPR3324]

primary-antibodies

calpain-small-subunit-1-antibody-epr3324-ab92333

0

(0 reviews)

Alternative Product
Primary Antibodies

AB92356

Anti-Calpain small subunit 1 antibody [EPR3323]

primary-antibodies

calpain-small-subunit-1-antibody-epr3323-ab92356

0

(0 reviews)

Please note: All products are 'FOR RESEARCH USE ONLY. NOT FOR USE IN DIAGNOSTIC OR THERAPEUTIC PROCEDURES'.

For licensing inquiries, please contact partnerships@abcam.com