JavaScript is disabled in your browser. Please enable JavaScript to view this website.
AB240938

Anti-Calpastatin antibody [SP82] - BSA and Azide free

Be the first to review this product! Submit a review

|

(0 Publication)

Rabbit Recombinant Monoclonal Calpastatin antibody. Carrier free. Suitable for IHC-P, ICC/IF, Flow Cyt (Intra) and reacts with Human samples.

View Alternative Names

Calpastatin, Calpain inhibitor, Sperm BS-17 component, CAST

5 Images
Flow Cytometry (Intracellular) - Anti-Calpastatin antibody [SP82] - BSA and Azide free (AB240938)
  • Flow Cyt (Intra)

Unknown

Flow Cytometry (Intracellular) - Anti-Calpastatin antibody [SP82] - BSA and Azide free (AB240938)

Intracellular Flow Cytometry analysis of HaCaT (human skin keratinocyte) labeling Calpastatin with purified ab101684 (red). Cells were fixed with 4% paraformaldehyde and permeabilised with 90% methanol. Goat anti rabbit IgG (Alexa Fluor®488, ab150077) was used as a secondary antibody. Isotype control - Rabbit monoclonal IgG (ab172730) (black). Unlableled control - Unlabelled cells (blue).

This data was developed using the same antibody clone in a different buffer formulation containing PBS, BSA, glycerol, and sodium azide (ab101684).

Immunohistochemistry (Formalin/PFA-fixed paraffin-embedded sections) - Anti-Calpastatin antibody [SP82] - BSA and Azide free (AB240938)
  • IHC-P

Unknown

Immunohistochemistry (Formalin/PFA-fixed paraffin-embedded sections) - Anti-Calpastatin antibody [SP82] - BSA and Azide free (AB240938)

Immunohistochemistry (Formalin/PFA-fixed paraffin-embedded sections) analysis of Human breast carcinoma tissue sections labeling Calpastatin with Purified ab101684 at 1/100 dilution (0.59 μg/ml). Heat mediated antigen retrieval was performed Heat mediated antigen retrieval with Citrate buffer (pH 6.0, epitope retrieval solution 1) for 20mins. Rabbit specific IHC polymer detection kit HRP/DAB (ab209101) was used as the secondary antibody. Negative control : PBS instead of the primary antibody. Hematoxylin was used as a counterstain.

This data was developed using the same antibody clone in a different buffer formulation containing PBS, BSA, glycerol, and sodium azide (ab101684).

Flow Cytometry (Intracellular) - Anti-Calpastatin antibody [SP82] - BSA and Azide free (AB240938)
  • Flow Cyt (Intra)

Unknown

Flow Cytometry (Intracellular) - Anti-Calpastatin antibody [SP82] - BSA and Azide free (AB240938)

Overlay histogram showing HeLa cells stained with ab101684 (red line). The cells were fixed with 80% methanol (5 min) and then permeabilized with 0.1% PBS-Tween for 20 min. The cells were then incubated in 1x PBS / 10% normal goat serum / 0.3M glycine to block non-specific protein-protein interactions followed by the antibody (ab101684, 1/100 dilution) for 30 min at 22°C. The secondary antibody used was Alexa Fluor® 488 goat anti-rabbit IgG (H&L) (ab150077) at 1/2000 dilution for 30 min at 22°C. Isotype control antibody (black line) was rabbit IgG (monoclonal) (1µg/1x106 cells) used under the same conditions. Unlabelled sample (blue line) was also used as a control. Acquisition of >5,000 events were collected using a 20mW Argon ion laser (488nm) and 525/30 bandpass filter.

This data was developed using the same antibody clone in a different buffer formulation containing PBS, BSA and sodium azide (ab101684).

Immunohistochemistry (Formalin/PFA-fixed paraffin-embedded sections) - Anti-Calpastatin antibody [SP82] - BSA and Azide free (AB240938)
  • IHC-P

Unknown

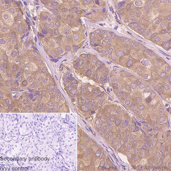
Immunohistochemistry (Formalin/PFA-fixed paraffin-embedded sections) - Anti-Calpastatin antibody [SP82] - BSA and Azide free (AB240938)

Immunohistochemical analysis of Calpastatin in formalin-fixed, paraffin-embedded Human breast carcinoma using ab101684 at 1/200 dilution.

This data was developed using the same antibody clone in a different buffer formulation containing PBS, BSA and sodium azide (ab101684).

Immunocytochemistry/ Immunofluorescence - Anti-Calpastatin antibody [SP82] - BSA and Azide free (AB240938)
  • ICC/IF

Unknown

Immunocytochemistry/ Immunofluorescence - Anti-Calpastatin antibody [SP82] - BSA and Azide free (AB240938)

Immunocytochemistry/ Immunofluorescence analysis of HaCaT (human skin keratinocyte) cells labeling Calpastatin with purified ab101684. Cells were fixed in 4% paraformaldehyde and permeabilized with 0.1% Triton X-100. Cells were counterstained with ab195889 Anti-alpha Tubulin antibody [DM1A] - Microtubule Marker (Alexa Fluor® 594). Goat anti rabbit IgG (Alexa Fluor® 488, ab150077) was used as the secondary antibody. DAPI was used as nuclear counterstain. PBS instead of the primary antibody was used as the secondary antibody only control.

This data was developed using the same antibody clone in a different buffer formulation containing PBS, BSA, glycerol, and sodium azide (ab101684).

Key facts

Host species

Rabbit

Clonality

Monoclonal

Clone number

SP82

Isotype

IgG

Carrier free

Yes

Reacts with

Human

Applications

Flow Cyt (Intra), IHC-P, ICC/IF

applications

Immunogen

The exact immunogen used to generate this antibody is proprietary information.

Reactivity data

{ "title": "Reactivity Data", "filters": { "stats": ["", "Species", "Dilution Info", "Notes"], "tabs": { "all-applications": {"fullname" : "All Applications", "shortname": "All Applications"}, "IHCP" : {"fullname" : "Immunohistochemistry (Formalin/PFA-fixed paraffin-embedded sections)", "shortname":"IHC-P"}, "ICCIF" : {"fullname" : "Immunocytochemistry/ Immunofluorescence", "shortname":"ICC/IF"}, "FlowCytIntra" : {"fullname" : "Flow Cytometry (Intracellular)", "shortname":"Flow Cyt (Intra)"} }, "product-promise": { "all": "all", "testedAndGuaranteed": "tested", "guaranteed": "expected", "predicted": "predicted", "notRecommended": "not-recommended" } }, "values": { "Human": { "IHCP-species-checked": "testedAndGuaranteed", "IHCP-species-dilution-info": "", "IHCP-species-notes": "<p>Incubate for 30 minutes at RT. Antigen retrieval is recommended: boil tissue section in 10mM citrate buffer, pH 6.0 for 10 min followed by cooling at RT for 20 min.</p>", "ICCIF-species-checked": "testedAndGuaranteed", "ICCIF-species-dilution-info": "", "ICCIF-species-notes": "<p></p>", "FlowCytIntra-species-checked": "testedAndGuaranteed", "FlowCytIntra-species-dilution-info": "", "FlowCytIntra-species-notes": "<p><a href='/en-us/products/primary-antibodies/rabbit-igg-monoclonal-epr25a-isotype-control-low-endotoxin-azide-free-ab199376'>ab199376</a> - Rabbit monoclonal IgG, is suitable for use as an isotype control with this antibody.</p>" } } }

Product details

ab240938 is the carrier-free version of ab101684.

What are the advantages of a recombinant monoclonal antibody?
This product is a recombinant monoclonal antibody, which offers several advantages including:

  • - High batch-to-batch consistency and reproducibility
  • - Improved sensitivity and specificity
  • - Long-term security of supply
  • - Animal-free batch production

For more information, read more on recombinant antibodies.

Conjugation ready
Our carrier-free antibodies are typically supplied in a PBS-only formulation, purified and free of BSA, sodium azide and glycerol. This conjugation-ready format is designed for use with fluorochromes, metal isotopes, oligonucleotides, and enzymes, which makes them ideal for antibody labelling, functional and cell-based assays, flow-based assays (e.g. mass cytometry) and Multiplex Imaging applications.

Use our conjugation kits for antibody conjugates that are ready-to-use in as little as 20 minutes with 1 minute hands-on-time and 100% antibody recovery: available for fluorescent dyes, HRP, biotin and gold.

Compatibility
This product is compatible with the Maxpar® Antibody Labeling Kit from Fluidigm, without the need for antibody preparation. Maxpar® is a trademark of Fluidigm Canada Inc.

Properties and storage information

Form
Liquid
Purification technique
Affinity purification Protein A/G
Purification notes
Purified from TCS by protein A/G.
Storage buffer
pH: 7.2 - 7.4 Constituents: PBS
Shipped at conditions
Blue Ice
Appropriate short-term storage conditions
+4°C
Appropriate long-term storage conditions
+4°C
Storage information
Do Not Freeze

Supplementary information

This supplementary information is collated from multiple sources and compiled automatically.

Calpastatin is an endogenous inhibitor of calpain proteases with popular alternate names including CAST. The mass of calpastatin is approximately 70 kDa. It is expressed in various tissues throughout the body such as the brain heart and muscle. Calpastatin regulates the activity of the calpain family of cysteine proteases by binding to their catalytic domains. By modulating calpain activity calpastatin plays a role in several cellular processes including cytoskeletal remodeling and signal transduction.
Biological function summary

Calpastatin regulates intracellular protein degradation by inhibiting calpain activity. This inhibition prevents uncontrolled proteolysis of specific substrate proteins. Calpastatin is not part of a larger protein complex but interacts independently with multiple isoforms of calpain. It helps maintain cellular homeostasis by influencing autophagy apoptosis and cell migration integrating signals that drive various physiological processes.

Pathways

Calpain activity modulation through calpastatin takes place in several key biological pathways including apoptosis and the Wnt signaling pathway. Calpain-mediated cleavage affects cell survival and death by modifying Bcl-2 family proteins. In the Wnt signaling pathway calpastatin regulates calpain which influences β-catenin degradation therefore affecting cell proliferation and differentiation pathways. These interactions highlight calpastatin’s central role in managing fundamental cellular events.

Uncontrolled calpain activity due to insufficient calpastatin levels relates to neurodegenerative diseases such as Alzheimer's disease and muscular dystrophies. In Alzheimer's disease reduced calpastatin levels may lead to excessive calpain activity resulting in tau protein hyperphosphorylation and neurofibrillary tangles. Calpastatin-related calpain dysregulation also contributes to muscle cell degeneration seen in muscular dystrophies by affecting structural proteins like dystrophin. These connections highlight the critical balance that calpastatin maintains in cellular processes pertinent to human health.

Product protocols

For this product, it's our understanding that no specific protocols are required. You can visit:

Target data

Specific inhibition of calpain (calcium-dependent cysteine protease). Plays a key role in postmortem tenderization of meat and have been proposed to be involved in muscle protein degradation in living tissue.
See full target information Calpastatin

Product promise

We are committed to supporting your work with high-quality reagents, and we're here for you every step of the way. In the unlikely event that one of our products does not perform as expected, you're protected by our Product Promise.
For full details, please see our Terms & Conditions

Please note: All products are 'FOR RESEARCH USE ONLY. NOT FOR USE IN DIAGNOSTIC OR THERAPEUTIC PROCEDURES'.

For licensing inquiries, please contact partnerships@abcam.com