JavaScript is disabled in your browser. Please enable JavaScript to view this website.
AB212306

Anti-Calponin 1 antibody [CNN1/832 + CALP] - BSA and Azide free

Be the first to review this product! Submit a review

|

(1 Publication)

Mouse Multiclonal Calponin 1 antibody. Carrier free. Suitable for ICC, IHC-P and reacts with Human, Rat samples. Cited in 1 publication. Immunogen corresponding to Tissue preparation containing CNN1 protein.

View Alternative Names

Calponin-1, Basic calponin, CNN1

4 Images
Immunohistochemistry (Formalin/PFA-fixed paraffin-embedded sections) - Anti-Calponin 1 antibody [CNN1/832 + CALP] - BSA and Azide free (AB212306)
  • IHC-P

Supplier Data

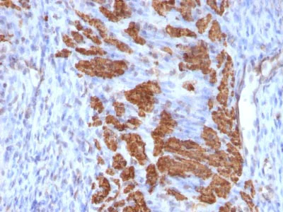
Immunohistochemistry (Formalin/PFA-fixed paraffin-embedded sections) - Anti-Calponin 1 antibody [CNN1/832 + CALP] - BSA and Azide free (AB212306)

Immunohistochemical analysis of formalin-fixed, paraffin-embedded Human uterus tissue labeling Calponin 1 with ab212306 at 1 μg/ml.

Immunocytochemistry - Anti-Calponin 1 antibody [CNN1/832 + CALP] - BSA and Azide free (AB212306)
  • ICC

Supplier Data

Immunocytochemistry - Anti-Calponin 1 antibody [CNN1/832 + CALP] - BSA and Azide free (AB212306)

Immunocytochemistry analysis of PFA-fixed K562 (human chronic myelogenous leukemia cell line from bone marrow) cells labeling Calponin 1 with ab212306 at 2 μg/mL followed by Goat anti-Mouse IgG-CF488 (Green). The nuclear counterstain is Redot.

Immunohistochemistry (Formalin/PFA-fixed paraffin-embedded sections) - Anti-Calponin 1 antibody [CNN1/832 + CALP] - BSA and Azide free (AB212306)
  • IHC-P

Supplier Data

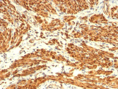
Immunohistochemistry (Formalin/PFA-fixed paraffin-embedded sections) - Anti-Calponin 1 antibody [CNN1/832 + CALP] - BSA and Azide free (AB212306)

Immunohistochemical analysis of formalin-fixed, paraffin-embedded Human breast carcinoma tissue labeling Calponin 1 with ab212306 at 1 μg/ml.

Immunohistochemistry (Formalin/PFA-fixed paraffin-embedded sections) - Anti-Calponin 1 antibody [CNN1/832 + CALP] - BSA and Azide free (AB212306)
  • IHC-P

Supplier Data

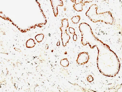
Immunohistochemistry (Formalin/PFA-fixed paraffin-embedded sections) - Anti-Calponin 1 antibody [CNN1/832 + CALP] - BSA and Azide free (AB212306)

Immunohistochemical analysis of formalin-fixed, paraffin-embedded Rat uterus tissue labeling Calponin 1 with ab212306 at 1 μg/ml.

Key facts

Host species

Mouse

Clonality

Multiclonal

Clone number

CNN1/832 + CALP

Isotype

IgG1

Light chain type

kappa

Carrier free

Yes

Reacts with

Rat, Human

Applications

IHC-P, ICC

applications

Immunogen

Tissue preparation containing CNN1 protein. The exact immunogen used to generate this antibody is proprietary information.

P51911

Reactivity data

{ "title": "Reactivity Data", "filters": { "stats": ["", "Species", "Dilution Info", "Notes"], "tabs": { "all-applications": {"fullname" : "All Applications", "shortname": "All Applications"}, "ICC" : {"fullname" : "Immunocytochemistry", "shortname":"ICC"}, "IHCP" : {"fullname" : "Immunohistochemistry (Formalin/PFA-fixed paraffin-embedded sections)", "shortname":"IHC-P"} }, "product-promise": { "all": "all", "testedAndGuaranteed": "tested", "guaranteed": "expected", "predicted": "predicted", "notRecommended": "not-recommended" } }, "values": { "Human": { "ICC-species-checked": "testedAndGuaranteed", "ICC-species-dilution-info": "1-2 µg/mL", "ICC-species-notes": "<p></p>", "IHCP-species-checked": "testedAndGuaranteed", "IHCP-species-dilution-info": "0.5-1 µg/mL", "IHCP-species-notes": "<p>(Primary incubation for 30 minutes at RT).</p>" }, "Rat": { "ICC-species-checked": "guaranteed", "ICC-species-dilution-info": "", "ICC-species-notes": "", "IHCP-species-checked": "testedAndGuaranteed", "IHCP-species-dilution-info": "0.5-1 µg/mL", "IHCP-species-notes": "<p>(Primary incubation for 30 minutes at RT).</p>" } } }

Product details

CNN1/832: IgG1 kappa. CALP: IgG1 kappa.

What is an oligoclonal antibody?
This oligoclonal antibody is a cocktail of monoclonal antibodies that have been carefully selected. Oligoclonal antibodies have not only the specificity and batch-to-batch consistency of a monoclonal antibody, but also have the advantage of the sensitivity of a polyclonal antibody due to their ability to recognize multiple epitopes on an antigen.

Properties and storage information

Form
Liquid
Purification technique
Affinity purification Protein G
Purification notes
ab212306 was purified from Bioreactor Concentrate by Protein A/G.
Storage buffer
pH: 7.2 - 7.4 Constituents: PBS
Shipped at conditions
Blue Ice
Appropriate short-term storage duration
1-2 weeks
Appropriate short-term storage conditions
+4°C
Appropriate long-term storage conditions
-20°C
Aliquoting information
Upon delivery aliquot
Storage information
Avoid freeze / thaw cycle

Supplementary information

This supplementary information is collated from multiple sources and compiled automatically.

Calponin 1 also known as CNN1 or calponin-a is a 34-kilodalton protein that plays an important role in muscle contraction. Found mainly in smooth muscle tissues calponin 1 interacts with actin and myosin modulating their interactions and contributing to muscle contraction mechanics. It inhibits the ATPase activity of myosin which affects the contractile capacity of smooth muscle. These interactions are important for maintaining the proper function and tone of vascular and visceral smooth muscles.
Biological function summary

Calponin 1 acts as a regulatory protein in smooth muscle contraction by stabilizing actin filaments and modulating their interaction with other contractile proteins. It forms part of the thin filament-associated complex where it functions to control the conformational state of actin. This complex includes other proteins such as tropomyosin and troponin which together regulate the calcium-sensitive interactions between actin and myosin. The regulatory ability of calponin 1 contributes to the fine-tuning of smooth muscle contraction and relaxation processes.

Pathways

Calponin 1 plays a role in the RhoA/ROCK signaling pathway and the calcium-sensitive contractile pathway. These pathways are integral to smooth muscle contraction regulation and involve proteins such as Rho kinase (ROCK) and myosin light chain kinase (MLCK). Calponin 1 contributes to the modulation of the phosphorylation status of myosin light chains influencing the contractile response to various stimuli. This points to its involvement in the physiological response mechanism to vasoconstrictive agents.

Calponin 1 is linked to cardiovascular diseases like hypertension and vascular disorders. Its regulatory functions in smooth muscle contraction can influence vascular tone and blood pressure connecting it to conditions like atherosclerosis. Moreover calponin 1 interacts with proteins such as filamin and α-actinin which are also implicated in muscle contraction-related disorders. Researchers investigate these interactions to understand their contributions to the pathogenesis of such diseases.

Product protocols

For this product, it's our understanding that no specific protocols are required. You can visit:

Target data

Thin filament-associated protein that is implicated in the regulation and modulation of smooth muscle contraction. It is capable of binding to actin, calmodulin and tropomyosin. The interaction of calponin with actin inhibits the actomyosin Mg-ATPase activity (By similarity).
See full target information CNN1

Publications (1)

Recent publications for all applications. Explore the full list and refine your search

International journal of molecular sciences 20: PubMed31035427

2019

Mapping Semaphorins and Netrins in the Pathogenesis of Human Thoracic Aortic Aneurysms.

Applications

Unspecified application

Species

Unspecified reactive species

Dornazsadat Alebrahim,Mangala Nayak,Alison Ward,Patricia Ursomanno,Rebecca Shams,Annanina Corsica,Rayan Sleiman,Kissinger Hyppolite Fils,Michele Silvestro,Ludovic Boytard,Tarik Hadi,Bruce Gelb,Bhama Ramkhelawon
View all publications

Product promise

We are committed to supporting your work with high-quality reagents, and we're here for you every step of the way. In the unlikely event that one of our products does not perform as expected, you're protected by our Product Promise.
For full details, please see our Terms & Conditions

Please note: All products are 'FOR RESEARCH USE ONLY. NOT FOR USE IN DIAGNOSTIC OR THERAPEUTIC PROCEDURES'.

For licensing inquiries, please contact partnerships@abcam.com