JavaScript is disabled in your browser. Please enable JavaScript to view this website.
AB216651

Anti-Calponin 1 antibody [EP798Y] - BSA and Azide free

Be the first to review this product! Submit a review

|

(38 Publications)

Rabbit Recombinant Monoclonal Calponin 1 antibody. Carrier free. Suitable for WB, ICC/IF, IHC-P and reacts with Mouse, Rat, Pig, Human samples. Cited in 38 publications.

View Alternative Names

Calponin-1, Basic calponin, CNN1

16 Images
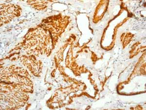
Immunohistochemistry (Formalin/PFA-fixed paraffin-embedded sections) - Anti-Calponin 1 antibody [EP798Y] - BSA and Azide free (AB216651)
  • IHC-P

Unknown

Immunohistochemistry (Formalin/PFA-fixed paraffin-embedded sections) - Anti-Calponin 1 antibody [EP798Y] - BSA and Azide free (AB216651)

Immunohistochemistry (Formalin/PFA-fixed paraffin-embedded sections) analysis of human lung carcinoma tissue sections labeling Calponin 1 with purified ab46794 at a 1 : 1000 dilution. Heat mediated antigen retrieval was performed using ab93684 (Tris/EDTA buffer, pH 9.0). Tissue was counterstained with hematoxylin. ImmunoHistoProbe one step HRP Polymer (ready to use) secondary antibody was used.

PBS instead of the primary antibody was used as the negative control (inset).

This data was developed using the same antibody clone in a different buffer formulation containing PBS, BSA, glycerol, and sodium azide (ab46794).

Immunohistochemistry (Formalin/PFA-fixed paraffin-embedded sections) - Anti-Calponin 1 antibody [EP798Y] - BSA and Azide free (AB216651)
  • IHC-P

Unknown

Immunohistochemistry (Formalin/PFA-fixed paraffin-embedded sections) - Anti-Calponin 1 antibody [EP798Y] - BSA and Azide free (AB216651)

Immunohistochemical staining of paraffin-embedded human smooth muscle using unpurified ab46794 at 1/100 dilution

This data was developed using the same antibody clone in a different buffer formulation containing PBS, BSA, glycerol, and sodium azide (ab46794).

Immunocytochemistry/ Immunofluorescence - Anti-Calponin 1 antibody [EP798Y] - BSA and Azide free (AB216651)
  • ICC/IF

Unknown

Immunocytochemistry/ Immunofluorescence - Anti-Calponin 1 antibody [EP798Y] - BSA and Azide free (AB216651)

ICC/IF image of unpurified ab46794 stained HeLa (Human epithelial cell line from cervix adenocarcinoma) cells.

Cells were 100% methanol fixed (5 min) and then incubated in 1%BSA / 10% normal goat serum / 0.3M glycine in 0.1% PBS-Tween for 1h to permeabilize the cells and block non-specific protein-protein interactions. The cells were then incubated with the antibody (ab46794, 5µg/ml) overnight at +4°C. The secondary antibody (green) was DyLight® 488 goat anti-rabbit IgG - H&L, pre-adsorbed (ab96899) used at a 1/250 dilution for 1h. Alexa Fluor® 594 WGA was used to label plasma membranes (red) at a 1/200 dilution for 1h. DAPI was used to stain the cell nuclei (blue) at a concentration of 1.43µM.

This data was developed using the same antibody clone in a different buffer formulation containing PBS, BSA, glycerol, and sodium azide (ab46794).

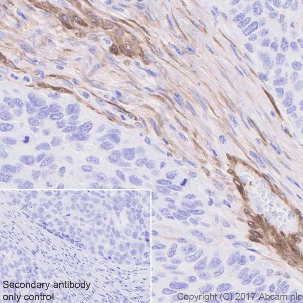
Immunohistochemistry (Formalin/PFA-fixed paraffin-embedded sections) - Anti-Calponin 1 antibody [EP798Y] - BSA and Azide free (AB216651)
  • IHC-P

Lab

Immunohistochemistry (Formalin/PFA-fixed paraffin-embedded sections) - Anti-Calponin 1 antibody [EP798Y] - BSA and Azide free (AB216651)

This data was developed using ab46794, the same antibody clone in a different buffer formulation.

Immunohistochemical analysis of formalin fixed paraffin embedded human endometrium labelling calponin 1 with ab46794 at a concentration of 0.1µg/ml. The immunostaining was performed on a Ventana DISCOVERY ULTRA (Roche Tissue Diagnostics) instrument with a OptiView DAB IHC Detection Kit. Heat mediated antigen retrieval was performed with DISCOVERY cell conditioning solution (CC1) 100°C, pH8.5 for 32mins.

ab46794 anti-Calponin 1 antibody [EP798Y] was incubated for 16mins at 37°C. Sections were counterstained with Hematoxylin II. Image inset shows absence of staining in secondary antibody only control.

Customers are encouraged to optimise antigen retrieval conditions, antibody concentration, incubation times and temperature for best results in their own IHC assay workflow (automated and manual)

Immunohistochemistry (Formalin/PFA-fixed paraffin-embedded sections) - Anti-Calponin 1 antibody [EP798Y] - BSA and Azide free (AB216651)
  • IHC-P

Unknown

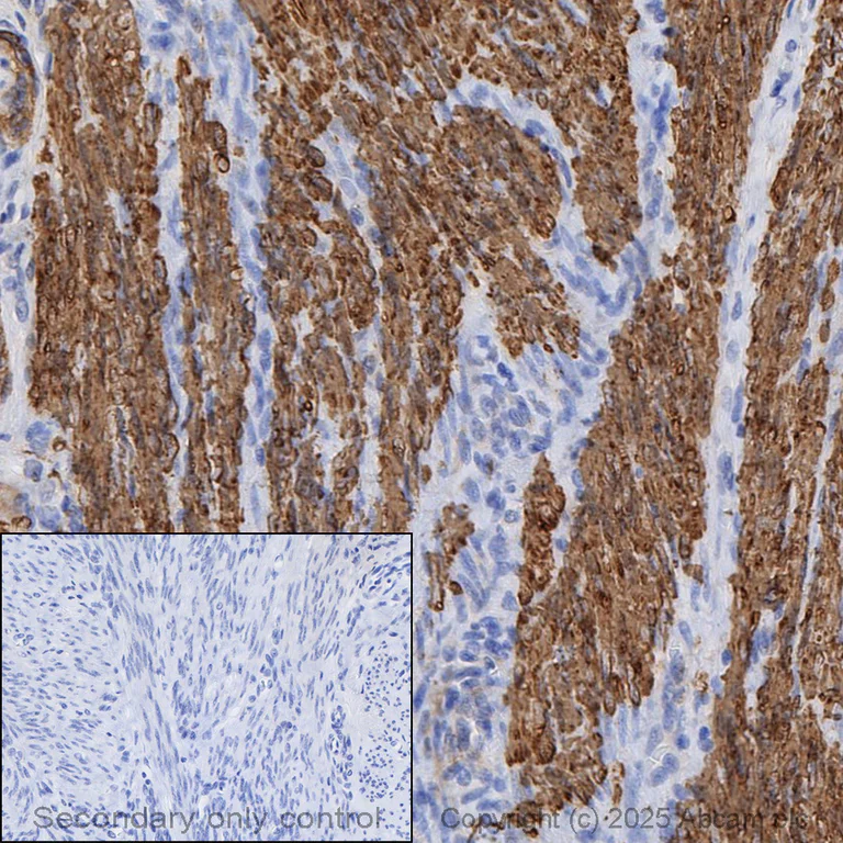
Immunohistochemistry (Formalin/PFA-fixed paraffin-embedded sections) - Anti-Calponin 1 antibody [EP798Y] - BSA and Azide free (AB216651)

Immunohistochemistry (Formalin/PFA-fixed paraffin-embedded sections) analysis of mouse cardiac muscle tissue sections labeling Calponin 1 with purified ab46794 at 1 : 1000 dilution. Heat mediated antigen retrieval was performed using ab93684 (Tris/EDTA buffer, pH 9.0). Tissue was counterstained with hematoxylin. ImmunoHistoProbe one step HRP Polymer (ready to use) secondary antibody was used.

PBS instead of the primary antibody was used as the negative control (inset).

This data was developed using the same antibody clone in a different buffer formulation containing PBS, BSA, glycerol, and sodium azide (ab46794).

Immunocytochemistry/ Immunofluorescence - Anti-Calponin 1 antibody [EP798Y] - BSA and Azide free (AB216651)
  • ICC/IF

Unknown

Immunocytochemistry/ Immunofluorescence - Anti-Calponin 1 antibody [EP798Y] - BSA and Azide free (AB216651)

Paraformadehyde-fixed, 0.25% Triton X-100 permeabilized mouse thoracic aortic smooth muscle cells labeling Calponin 1 using ab46794 at 1/100 dilution in ICC/IF, followed by a Goat Anti-Rabbit IgG H&L (Alexa Fluor 488) (ab150077) at 1/400 dilution.

1.5% BSA used used as blocking agent for 30 minutes at 25°C. Incubated with primary antibody for 24 hours at 4°C.

VSMCs were seeded to 35-mm plates in a low density avoiding overlapping of cells. After fixation, VSMCs were treated with 0.25% Triton X-100 for 20 minutes.

This data was developed using the same antibody clone in a different buffer formulation containing PBS, BSA, glycerol, and sodium azide (ab46794).

Immunocytochemistry/ Immunofluorescence - Anti-Calponin 1 antibody [EP798Y] - BSA and Azide free (AB216651)
  • ICC/IF

PubMed

Immunocytochemistry/ Immunofluorescence - Anti-Calponin 1 antibody [EP798Y] - BSA and Azide free (AB216651)

Representative photomicrograph of UT-myo cells (Left panel) and uterine myometrium (Right panel) stained with smooth muscle cell markers, alpha-SMA (red) and ab46794 (green) and DAPI (blue). UT-myo cells and whole-mount uterine tissue were collected from day 19 of mouse pregnancy. The placenta and embryo were removed from whole-mount tissue sections.

For full details please see paper.

This data was developed using the same antibody clone in a different buffer formulation containing PBS, BSA, glycerol, and sodium azide (ab46794).

Image from Herington et al PLoS One. 2015 Nov 24;10(11):e0143243. doi: 10.1371/journal.pone.0143243. eCollection 2015. Fig 1.

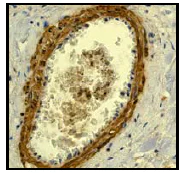
Immunohistochemistry (Formalin/PFA-fixed paraffin-embedded sections) - Anti-Calponin 1 antibody [EP798Y] - BSA and Azide free (AB216651)
  • IHC-P

Unknown

Immunohistochemistry (Formalin/PFA-fixed paraffin-embedded sections) - Anti-Calponin 1 antibody [EP798Y] - BSA and Azide free (AB216651)

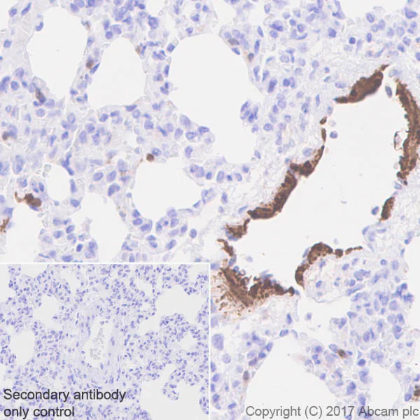
Immunohistochemistry (Formalin/PFA-fixed paraffin-embedded sections) analysis of rat lung tissue sections labeling Calponin 1 with purified ab46794 at 1 : 1000 dilution. Heat mediated antigen retrieval was performed using ab93684 (Tris/EDTA buffer, pH 9.0). Tissue was counterstained with hematoxylin. ImmunoHistoProbe one step HRP Polymer (ready to use) secondary antibody.

PBS instead of the primary antibody was used as the negative control (inset).

This data was developed using the same antibody clone in a different buffer formulation containing PBS, BSA, glycerol, and sodium azide (ab46794).

Immunocytochemistry/ Immunofluorescence - Anti-Calponin 1 antibody [EP798Y] - BSA and Azide free (AB216651)
  • ICC/IF

Unknown

Immunocytochemistry/ Immunofluorescence - Anti-Calponin 1 antibody [EP798Y] - BSA and Azide free (AB216651)

Immunocytochemistry/ Immunofluorescence analysis of C2C12 (Mouse myoblasts myoblast) cells labeling Calponin 1 with purified ab46794 at 1 : 500 dilution. Cells were fixed in 4% paraformaldehyde and permeabilized with 0.1% Triton X-100. Cells were counterstained with ab195889 Anti-alpha Tubulin antibody [DM1A] - Microtubule Marker (Alexa Fluor® 594) 1 : 200 (2.5 μg/ml). ab150077 Goat anti rabbit IgG(Alexa Fluor® 488) was used as the secondary antibody at 1 : 1000 dilution. DAPI nuclear counterstain. PBS instead of the primary antibody was used as the secondary antibody only control.

This data was developed using the same antibody clone in a different buffer formulation containing PBS, BSA, glycerol, and sodium azide (ab46794).

Immunocytochemistry/ Immunofluorescence - Anti-Calponin 1 antibody [EP798Y] - BSA and Azide free (AB216651)
  • ICC/IF

AbReview18663****

Immunocytochemistry/ Immunofluorescence - Anti-Calponin 1 antibody [EP798Y] - BSA and Azide free (AB216651)

Unpurified ab46794 staining Calponin in porcine aortic smooth muscle cells by Immunocytochemistry/ Immunofluorescence.

The cells were paraformaldehyde fixed, permeabilized in 0.1% Triton X-100. Samples were then incubated with primary antibody at 1/50 for 1 hour at 25°C. The secondary antibody used was ab6717 Goat polyclonal to Rabbit IgG - H&L (FITC) (green) used at a 1/400 dilution.

This data was developed using the same antibody clone in a different buffer formulation containing PBS, BSA, glycerol, and sodium azide (ab46794).

This image is courtesy of an Abreview submitted by Jordan Carbary.

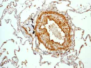
Immunohistochemistry (Formalin/PFA-fixed paraffin-embedded sections) - Anti-Calponin 1 antibody [EP798Y] - BSA and Azide free (AB216651)
  • IHC-P

Unknown

Immunohistochemistry (Formalin/PFA-fixed paraffin-embedded sections) - Anti-Calponin 1 antibody [EP798Y] - BSA and Azide free (AB216651)

Unpurified ab46794 showing positive staining in normal lung vessel tissue.

This data was developed using the same antibody clone in a different buffer formulation containing PBS, BSA, glycerol, and sodium azide (ab46794).

Immunohistochemistry (Formalin/PFA-fixed paraffin-embedded sections) - Anti-Calponin 1 antibody [EP798Y] - BSA and Azide free (AB216651)
  • IHC-P

Unknown

Immunohistochemistry (Formalin/PFA-fixed paraffin-embedded sections) - Anti-Calponin 1 antibody [EP798Y] - BSA and Azide free (AB216651)

Unpurified ab46794 showing positive staining in normal kidney vessels tissue.

This data was developed using the same antibody clone in a different buffer formulation containing PBS, BSA, glycerol, and sodium azide (ab46794).

Immunohistochemistry (Formalin/PFA-fixed paraffin-embedded sections) - Anti-Calponin 1 antibody [EP798Y] - BSA and Azide free (AB216651)
  • IHC-P

Unknown

Immunohistochemistry (Formalin/PFA-fixed paraffin-embedded sections) - Anti-Calponin 1 antibody [EP798Y] - BSA and Azide free (AB216651)

Unpurified ab46794 showing negative staining in skeletal muscle tissue.

This data was developed using the same antibody clone in a different buffer formulation containing PBS, BSA, glycerol, and sodium azide (ab46794).

Immunohistochemistry (Formalin/PFA-fixed paraffin-embedded sections) - Anti-Calponin 1 antibody [EP798Y] - BSA and Azide free (AB216651)
  • IHC-P

Unknown

Immunohistochemistry (Formalin/PFA-fixed paraffin-embedded sections) - Anti-Calponin 1 antibody [EP798Y] - BSA and Azide free (AB216651)

Unpurified ab46794 showing positive staining in normal uterus tissue.

This data was developed using the same antibody clone in a different buffer formulation containing PBS, BSA, glycerol, and sodium azide (ab46794).

Immunohistochemistry (Formalin/PFA-fixed paraffin-embedded sections) - Anti-Calponin 1 antibody [EP798Y] - BSA and Azide free (AB216651)
  • IHC-P

Unknown

Immunohistochemistry (Formalin/PFA-fixed paraffin-embedded sections) - Anti-Calponin 1 antibody [EP798Y] - BSA and Azide free (AB216651)

Unpurified ab46794 showing positive staining in normal tonsil vessel tissue.

This data was developed using the same antibody clone in a different buffer formulation containing PBS, BSA, glycerol, and sodium azide (ab46794).

OI-RD Scanning - Anti-Calponin 1 antibody [EP798Y] - BSA and Azide free (AB216651)
  • OI-RD Scanning

Unknown

OI-RD Scanning - Anti-Calponin 1 antibody [EP798Y] - BSA and Azide free (AB216651)

We have systematically measured KD (the equilibrium dissociation constant between the antibody and its antigen), of more than 840 recombinant antibodies to assess not only their individual KD values but also to see the average affinity of antibody. Based on the comparison with published literature values for mouse monoclonal antibodies, Recombinant antibodies appear to be on average 1-2 order of magnitude higher affinity.

Key facts

Host species

Rabbit

Clonality

Monoclonal

Clone number

EP798Y

Isotype

IgG

Carrier free

Yes

Reacts with

Mouse, Rat, Human, Pig

Applications

WB, IHC-P, ICC/IF

applications

Immunogen

The exact immunogen used to generate this antibody is proprietary information.

Reactivity data

{ "title": "Reactivity Data", "filters": { "stats": ["", "Species", "Dilution Info", "Notes"], "tabs": { "all-applications": {"fullname" : "All Applications", "shortname": "All Applications"}, "FlowCyt" : {"fullname" : "Flow Cytometry", "shortname":"Flow Cyt"}, "WB" : {"fullname" : "Western blot", "shortname":"WB"}, "ICCIF" : {"fullname" : "Immunocytochemistry/ Immunofluorescence", "shortname":"ICC/IF"}, "IHCP" : {"fullname" : "Immunohistochemistry (Formalin/PFA-fixed paraffin-embedded sections)", "shortname":"IHC-P"} }, "product-promise": { "all": "all", "testedAndGuaranteed": "tested", "guaranteed": "expected", "predicted": "predicted", "notRecommended": "not-recommended" } }, "values": { "Human": { "FlowCyt-species-checked": "notRecommended", "FlowCyt-species-dilution-info": "", "FlowCyt-species-notes": "<p></p>", "WB-species-checked": "testedAndGuaranteed", "WB-species-dilution-info": "", "WB-species-notes": "<p><strong>For unpurified use at 1/20,000.</strong></p>", "ICCIF-species-checked": "testedAndGuaranteed", "ICCIF-species-dilution-info": "", "ICCIF-species-notes": "<p><strong>For unpurified use at 1/100 - 1/250.</strong></p>", "IHCP-species-checked": "testedAndGuaranteed", "IHCP-species-dilution-info": "", "IHCP-species-notes": "<p><strong>For unpurified use at 1/100 - 1/250.</strong></p> Perform heat-mediated antigen retrieval with Tris/EDTA buffer pH 9.0 before commencing with IHC staining protocol." }, "Mouse": { "FlowCyt-species-checked": "notRecommended", "FlowCyt-species-dilution-info": "", "FlowCyt-species-notes": "<p></p>", "WB-species-checked": "testedAndGuaranteed", "WB-species-dilution-info": "", "WB-species-notes": "<p><strong>For unpurified use at 1/20,000.</strong></p>", "ICCIF-species-checked": "testedAndGuaranteed", "ICCIF-species-dilution-info": "", "ICCIF-species-notes": "<p></p>", "IHCP-species-checked": "testedAndGuaranteed", "IHCP-species-dilution-info": "", "IHCP-species-notes": "<p><strong>For unpurified use at 1/100 - 1/250.</strong></p> Perform heat-mediated antigen retrieval with Tris/EDTA buffer pH 9.0 before commencing with IHC staining protocol." }, "Rat": { "FlowCyt-species-checked": "notRecommended", "FlowCyt-species-dilution-info": "", "FlowCyt-species-notes": "<p></p>", "WB-species-checked": "testedAndGuaranteed", "WB-species-dilution-info": "", "WB-species-notes": "<p><strong>For unpurified use at 1/20,000.</strong></p>", "ICCIF-species-checked": "guaranteed", "ICCIF-species-dilution-info": "", "ICCIF-species-notes": "", "IHCP-species-checked": "testedAndGuaranteed", "IHCP-species-dilution-info": "", "IHCP-species-notes": "<p></p> Perform heat-mediated antigen retrieval with Tris/EDTA buffer pH 9.0 before commencing with IHC staining protocol." }, "Pig": { "FlowCyt-species-checked": "notRecommended", "FlowCyt-species-dilution-info": "", "FlowCyt-species-notes": "<p></p>", "WB-species-checked": "testedAndGuaranteed", "WB-species-dilution-info": "", "WB-species-notes": "<p><strong>For unpurified use at 1/20,000.</strong></p>", "ICCIF-species-checked": "guaranteed", "ICCIF-species-dilution-info": "", "ICCIF-species-notes": "", "IHCP-species-checked": "guaranteed", "IHCP-species-dilution-info": "", "IHCP-species-notes": "" }, "Sheep": { "FlowCyt-species-checked": "notRecommended", "FlowCyt-species-dilution-info": "", "FlowCyt-species-notes": "", "WB-species-checked": "predicted", "WB-species-dilution-info": "", "WB-species-notes": "", "ICCIF-species-checked": "predicted", "ICCIF-species-dilution-info": "", "ICCIF-species-notes": "", "IHCP-species-checked": "predicted", "IHCP-species-dilution-info": "", "IHCP-species-notes": "" } } }

Product details

ab216651 is the carrier-free version of ab46794.

Patented technology
Our RabMAb® technology is a patented hybridoma-based technology for making rabbit monoclonal antibodies. For details on our patents, please refer to RabMAb® patents.

What are the advantages of a recombinant monoclonal antibody?
This product is a recombinant monoclonal antibody, which offers several advantages including:

  • - High batch-to-batch consistency and reproducibility
  • - Improved sensitivity and specificity
  • - Long-term security of supply
  • - Animal-free batch production

For more information, read more on recombinant antibodies.

Conjugation ready
Our carrier-free antibodies are typically supplied in a PBS-only formulation, purified and free of BSA, sodium azide and glycerol. This conjugation-ready format is designed for use with fluorochromes, metal isotopes, oligonucleotides, and enzymes, which makes them ideal for antibody labelling, functional and cell-based assays, flow-based assays (e.g. mass cytometry) and Multiplex Imaging applications.

Use our conjugation kits for antibody conjugates that are ready-to-use in as little as 20 minutes with 1 minute hands-on-time and 100% antibody recovery: available for fluorescent dyes, HRP, biotin and gold.

Compatibility
This product is compatible with the Maxpar® Antibody Labeling Kit from Fluidigm, without the need for antibody preparation. Maxpar® is a trademark of Fluidigm Canada Inc.

Properties and storage information

Form
Liquid
Purification technique
Affinity purification Protein A
Storage buffer
pH: 7.2 - 7.4 Constituents: PBS
Shipped at conditions
Blue Ice
Appropriate short-term storage conditions
+4°C
Appropriate long-term storage conditions
+4°C
Storage information
Do Not Freeze

Supplementary information

This supplementary information is collated from multiple sources and compiled automatically.

Calponin 1 also known as CNN1 or calponin-a is a 34-kilodalton protein that plays an important role in muscle contraction. Found mainly in smooth muscle tissues calponin 1 interacts with actin and myosin modulating their interactions and contributing to muscle contraction mechanics. It inhibits the ATPase activity of myosin which affects the contractile capacity of smooth muscle. These interactions are important for maintaining the proper function and tone of vascular and visceral smooth muscles.
Biological function summary

Calponin 1 acts as a regulatory protein in smooth muscle contraction by stabilizing actin filaments and modulating their interaction with other contractile proteins. It forms part of the thin filament-associated complex where it functions to control the conformational state of actin. This complex includes other proteins such as tropomyosin and troponin which together regulate the calcium-sensitive interactions between actin and myosin. The regulatory ability of calponin 1 contributes to the fine-tuning of smooth muscle contraction and relaxation processes.

Pathways

Calponin 1 plays a role in the RhoA/ROCK signaling pathway and the calcium-sensitive contractile pathway. These pathways are integral to smooth muscle contraction regulation and involve proteins such as Rho kinase (ROCK) and myosin light chain kinase (MLCK). Calponin 1 contributes to the modulation of the phosphorylation status of myosin light chains influencing the contractile response to various stimuli. This points to its involvement in the physiological response mechanism to vasoconstrictive agents.

Calponin 1 is linked to cardiovascular diseases like hypertension and vascular disorders. Its regulatory functions in smooth muscle contraction can influence vascular tone and blood pressure connecting it to conditions like atherosclerosis. Moreover calponin 1 interacts with proteins such as filamin and α-actinin which are also implicated in muscle contraction-related disorders. Researchers investigate these interactions to understand their contributions to the pathogenesis of such diseases.

Product protocols

For this product, it's our understanding that no specific protocols are required. You can visit:

Target data

Thin filament-associated protein that is implicated in the regulation and modulation of smooth muscle contraction. It is capable of binding to actin, calmodulin and tropomyosin. The interaction of calponin with actin inhibits the actomyosin Mg-ATPase activity (By similarity).
See full target information CNN1

Publications (38)

Recent publications for all applications. Explore the full list and refine your search

Tissue engineering. Part A 23:1026-1041 PubMed28922975

2017

Bioengineered Submucosal Organoids for In Vitro Modeling of Colorectal Cancer.

Applications

Unspecified application

Species

Unspecified reactive species

Mahesh Devarasetty,Aleksander Skardal,Kyle Cowdrick,Frank Marini,Shay Soker

Scientific reports 6:32449 PubMed27581066

2016

Assessing the contribution of thrombospondin-4 induction and ATF6α activation to endoplasmic reticulum expansion and phenotypic modulation in bladder outlet obstruction.

Applications

WB

Species

Mouse

Katarzyna K Krawczyk,Mari Ekman,Catarina Rippe,Mario Grossi,Bengt-Olof Nilsson,Sebastian Albinsson,Bengt Uvelius,Karl Swärd

Histopathology 69:921-929 PubMed27374168

2016

A proportion of primary squamous cell carcinomas of the parotid gland harbour high-risk human papillomavirus.

Applications

Unspecified application

Species

Unspecified reactive species

Bin Xu,Lu Wang,Laetitia Borsu,Ronald Ghossein,Nora Katabi,Ian Ganly,Snjezana Dogan

The European respiratory journal 47:876-88 PubMed26699726

2015

Nestin-expressing vascular wall cells drive development of pulmonary hypertension.

Applications

Unspecified application

Species

Unspecified reactive species

Farhan Saboor,Ansgar N Reckmann,Claudia U M Tomczyk,Dorothea M Peters,Norbert Weissmann,Andre Kaschtanow,Ralph T Schermuly,Tatyana V Michurina,Grigori Enikolopov,Dieter Müller,Andrea Mietens,Ralf Middendorff

Cardiovascular research 109:115-30 PubMed26503986

2015

HIF-2α-mediated induction of pulmonary thrombospondin-1 contributes to hypoxia-driven vascular remodelling and vasoconstriction.

Applications

Unspecified application

Species

Unspecified reactive species

David Labrousse-Arias,Raquel Castillo-González,Natasha M Rogers,Mar Torres-Capelli,Bianca Barreira,Julián Aragonés,Ángel Cogolludo,Jeffrey S Isenberg,María J Calzada

Circulation. Heart failure 8:149-55 PubMed25466765

2014

Phenotype and physiological significance of the endocardial smooth muscle cells in human failing hearts.

Applications

IHC-P

Species

Human

Hideshi Okada,Genzou Takemura,Hiromitsu Kanamori,Akiko Tsujimoto,Kazuko Goto,Itta Kawamura,Takatomo Watanabe,Kentaro Morishita,Nagisa Miyazaki,Toshiki Tanaka,Hiroaki Ushikoshi,Masanori Kawasaki,Tatsuhiko Miyazaki,Natsuko Suzui,Kazuhiko Nishigaki,Atsushi Mikami,Shinji Ogura,Shinya Minatoguchi

Epigenetics & chromatin 7:17 PubMed25170345

2014

DNA methylation reader MECP2: cell type- and differentiation stage-specific protein distribution.

Applications

IHC-Fr, IHC-Fr

Species

Rat, Mouse

Congdi Song,Yana Feodorova,Jacky Guy,Leo Peichl,Katharina Laurence Jost,Hiroshi Kimura,Maria Cristina Cardoso,Adrian Bird,Heinrich Leonhardt,Boris Joffe,Irina Solovei

Journal of the American Society of Nephrology : JA 26:587-96 PubMed25071089

2014

Chronic hypoxia-inducible transcription factor-2 activation stably transforms juxtaglomerular renin cells into fibroblast-like cells in vivo.

Applications

Unspecified application

Species

Mouse

Birguel Kurt,Katharina Gerl,Christian Karger,Ilona Schwarzensteiner,Armin Kurtz

Journal of the American Society of Nephrology : JA 26:67-80 PubMed24904090

2014

Recombination signal binding protein for Ig-κJ region regulates juxtaglomerular cell phenotype by activating the myo-endocrine program and suppressing ectopic gene expression.

Applications

Unspecified application

Species

Unspecified reactive species

Ruth M Castellanos-Rivera,Ellen S Pentz,Eugene Lin,Kenneth W Gross,Silvia Medrano,Jing Yu,Maria Luisa S Sequeira-Lopez,R Ariel Gomez

PloS one 9:e96338 PubMed24848371

2014

Mechanical stretch suppresses microRNA-145 expression by activating extracellular signal-regulated kinase 1/2 and upregulating angiotensin-converting enzyme to alter vascular smooth muscle cell phenotype.

Applications

WB

Species

Human

Bo Hu,Jian Tao Song,Hai Yan Qu,Chen Long Bi,Xiao Zhen Huang,Xin Xin Liu,Mei Zhang
View all publications

Product promise

We are committed to supporting your work with high-quality reagents, and we're here for you every step of the way. In the unlikely event that one of our products does not perform as expected, you're protected by our Product Promise.
For full details, please see our Terms & Conditions

Please note: All products are 'FOR RESEARCH USE ONLY. NOT FOR USE IN DIAGNOSTIC OR THERAPEUTIC PROCEDURES'.

For licensing inquiries, please contact partnerships@abcam.com