JavaScript is disabled in your browser. Please enable JavaScript to view this website.
AB203055

Anti-Calretinin antibody

5

(1 Review)

|

(1 Publication)

Rabbit Polyclonal Calretinin antibody. Suitable for IHC-P and reacts with Rat, Human samples. Cited in 1 publication. Immunogen corresponding to Synthetic Peptide within Human CALB2 aa 200 to C-terminus conjugated to Keyhole Limpet Haemocyanin.

View Alternative Names

CAB29, CALB2, Calretinin, CR, 29 kDa calbindin

2 Images
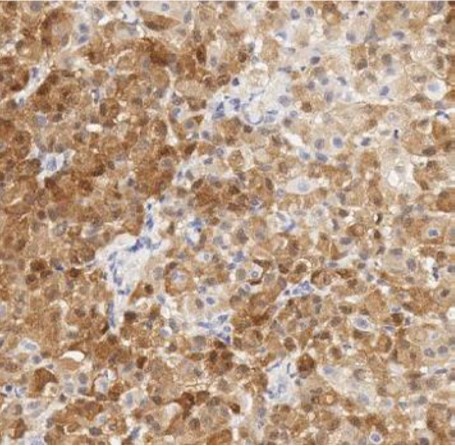
Immunohistochemistry (Formalin/PFA-fixed paraffin-embedded sections) - Anti-Calretinin antibody (AB203055)
  • IHC-P

Supplier Data

Immunohistochemistry (Formalin/PFA-fixed paraffin-embedded sections) - Anti-Calretinin antibody (AB203055)

Immunohistochemical analysis of formalin-fixed paraffin-embedded Human uterus tissue labeling Calretinin with ab203055 at 1/100 dilution, followed by conjugation to the secondary antibody and DAB staining.

Immunohistochemistry (Formalin/PFA-fixed paraffin-embedded sections) - Anti-Calretinin antibody (AB203055)
  • IHC-P

Supplier Data

Immunohistochemistry (Formalin/PFA-fixed paraffin-embedded sections) - Anti-Calretinin antibody (AB203055)

Immunohistochemical analysis of formalin-fixed paraffin-embedded rat brain tissue labeling Calretinin with ab203055 at 1/100 dilution, followed by conjugation to the secondary antibody and DAB staining.

Key facts

Host species

Rabbit

Clonality

Polyclonal

Isotype

IgG

Carrier free

No

Reacts with

Rat, Human

Applications

IHC-P

applications

Immunogen

Synthetic Peptide within Human CALB2 aa 200 to C-terminus conjugated to Keyhole Limpet Haemocyanin. The exact immunogen used to generate this antibody is proprietary information.

P22676

Reactivity data

{ "title": "Reactivity Data", "filters": { "stats": ["", "Species", "Dilution Info", "Notes"], "tabs": { "all-applications": {"fullname" : "All Applications", "shortname": "All Applications"}, "IHCP" : {"fullname" : "Immunohistochemistry (Formalin/PFA-fixed paraffin-embedded sections)", "shortname":"IHC-P"} }, "product-promise": { "all": "all", "testedAndGuaranteed": "tested", "guaranteed": "expected", "predicted": "predicted", "notRecommended": "not-recommended" } }, "values": { "Human": { "IHCP-species-checked": "testedAndGuaranteed", "IHCP-species-dilution-info": "1/100 - 1/500", "IHCP-species-notes": "<p>Use at 1/50 - 1/200 with fluorescent detection methods.</p> Perform heat-mediated antigen retrieval with citrate buffer pH 6 before commencing with IHC staining protocol." }, "Rat": { "IHCP-species-checked": "testedAndGuaranteed", "IHCP-species-dilution-info": "1/100 - 1/500", "IHCP-species-notes": "<p>Use at 1/50 - 1/200 with fluorescent detection methods.</p> Perform heat-mediated antigen retrieval with citrate buffer pH 6 before commencing with IHC staining protocol." } } }

Properties and storage information

Form
Liquid
Purification technique
Affinity purification Protein A
Storage buffer
pH: 7.4 Preservative: 0.02% Proclin 300 Constituents: 50% Glycerol (glycerin, glycerine), 48.98% TBS, 1X, 1% BSA
Shipped at conditions
Blue Ice
Appropriate short-term storage duration
1-2 weeks
Appropriate short-term storage conditions
+4°C
Appropriate long-term storage conditions
-20°C
Aliquoting information
Upon delivery aliquot
Storage information
Avoid freeze / thaw cycle

Product protocols

For this product, it's our understanding that no specific protocols are required. You can visit:

Target data

Calretinin is a calcium-binding protein which is abundant in auditory neurons.
See full target information CALB2

Publications (1)

Recent publications for all applications. Explore the full list and refine your search

Ginekologia polska 92:563-570 PubMed34155619

2021

miR-181d promotes pancreatic beta cell dysfunction by targeting IRS2 in gestational diabetes mellitus.

Applications

Unspecified application

Species

Unspecified reactive species

Hui Shen,Jing Sun,Jing Liu,Lu Wang,Lingyun Dong
View all publications

Product promise

We are committed to supporting your work with high-quality reagents, and we're here for you every step of the way. In the unlikely event that one of our products does not perform as expected, you're protected by our Product Promise.
For full details, please see our Terms & Conditions

Please note: All products are 'FOR RESEARCH USE ONLY. NOT FOR USE IN DIAGNOSTIC OR THERAPEUTIC PROCEDURES'.

For licensing inquiries, please contact partnerships@abcam.com