JavaScript is disabled in your browser. Please enable JavaScript to view this website.
AB239795

Anti-Calretinin antibody [SP13] - BSA and Azide free

Be the first to review this product! Submit a review

|

(0 Publication)

Rabbit Recombinant Monoclonal Calretinin antibody. Carrier free. Suitable for IHC-P, IHC-Fr and reacts with Human, Rat, Mouse samples.

View Alternative Names

CAB29, CALB2, Calretinin, CR, 29 kDa calbindin

5 Images
Immunohistochemistry (Frozen sections) - Anti-Calretinin antibody [SP13] - BSA and Azide free (AB239795)
  • IHC-Fr

Unknown

Immunohistochemistry (Frozen sections) - Anti-Calretinin antibody [SP13] - BSA and Azide free (AB239795)

Immunohistochemistry (Frozen) analysis of rat cerebrum tissue section labeling Calretinin with purified ab16694 at 1/30 (9.6 μg/ml). Sections were fixed in 4% paraformaldehyde and permeabilized with 0.2% Triton X-100. Antigen retrieval was Heat mediated antigen retrieval using sodium citrate buffer (10mM citrate pH 6.0 + 0.05% Tween-20). Goat anti rabbit IgG (Alexa Fluor® 488, ab150077) was used as the secondary antibody at 1/1000 (2 μg/ml) dilution. DAPI was used as nuclear counterstain. PBS instead of the primary antibody was used as the secondary antibody only control.
This data was developed using the same antibody clone in a different buffer formulation containing PBS, BSA, glycerol, and sodium azide (ab16694).

Immunohistochemistry (Frozen sections) - Anti-Calretinin antibody [SP13] - BSA and Azide free (AB239795)
  • IHC-Fr

Unknown

Immunohistochemistry (Frozen sections) - Anti-Calretinin antibody [SP13] - BSA and Azide free (AB239795)

Immunohistochemistry (Frozen) analysis of mouse cerebrum tissue section labeling Calretinin with purified ab16694 at 1/30 (9.6 μg/ml). Sections were fixed in 4% paraformaldehyde and permeabilized with 0.2% Triton X-100. Antigen retrieval was Heat mediated antigen retrieval using sodium citrate buffer (10mM citrate pH 6.0 + 0.05% Tween-20). Goat anti rabbit IgG (Alexa Fluor® 488, ab150077) was used as the secondary antibody at 1/1000 (2 μg/ml) dilution. DAPI was used as nuclear counterstain. PBS instead of the primary antibody was used as the secondary antibody only control.
This data was developed using the same antibody clone in a different buffer formulation containing PBS, BSA, glycerol, and sodium azide (ab16694).

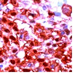
Immunohistochemistry (Formalin/PFA-fixed paraffin-embedded sections) - Anti-Calretinin antibody [SP13] - BSA and Azide free (AB239795)
  • IHC-P

Unknown

Immunohistochemistry (Formalin/PFA-fixed paraffin-embedded sections) - Anti-Calretinin antibody [SP13] - BSA and Azide free (AB239795)

ab16694 at a dilution of 1/100, staining Calretinin in formalin fixed paraffin embedded human mesothelioma tissue section by Immunohistochemistry.

This data was developed using the same antibody clone in a different buffer formulation containing Tris buffered saline, BSA, and sodium azide (ab16694).

Immunohistochemistry (Frozen sections) - Anti-Calretinin antibody [SP13] - BSA and Azide free (AB239795)
  • IHC-Fr

Unknown

Immunohistochemistry (Frozen sections) - Anti-Calretinin antibody [SP13] - BSA and Azide free (AB239795)

Immunohistochemistry (Frozen) analysis of rat cerebrum tissue section labeling Calretinin with purified ab16694 at 1/30 (9.6 μg/ml). Sections were fixed in 4% paraformaldehyde and permeabilized with 0.2% Triton X-100. Antigen retrieval was Heat mediated antigen retrieval using sodium citrate buffer (10mM citrate pH 6.0 + 0.05% Tween-20). Goat anti rabbit IgG (Alexa Fluor® 488, ab150077) was used as the secondary antibody at 1/1000 (2 μg/ml) dilution. DAPI was used as nuclear counterstain. PBS instead of the primary antibody was used as the secondary antibody only control.
This data was developed using the same antibody clone in a different buffer formulation containing PBS, BSA, glycerol, and sodium azide (ab16694).

Immunohistochemistry (Frozen sections) - Anti-Calretinin antibody [SP13] - BSA and Azide free (AB239795)
  • IHC-Fr

Unknown

Immunohistochemistry (Frozen sections) - Anti-Calretinin antibody [SP13] - BSA and Azide free (AB239795)

Immunohistochemistry (Frozen) analysis of mouse cerebrum tissue section labeling Calretinin with purified ab16694 at 1/30 (9.6 μg/ml). Sections were fixed in 4% paraformaldehyde and permeabilized with 0.2% Triton X-100. Antigen retrieval was Heat mediated antigen retrieval using sodium citrate buffer (10mM citrate pH 6.0 + 0.05% Tween-20). Goat anti rabbit IgG (Alexa Fluor® 488, ab150077) was used as the secondary antibody at 1/1000 (2 μg/ml) dilution. DAPI was used as nuclear counterstain. PBS instead of the primary antibody was used as the secondary antibody only control.
This data was developed using the same antibody clone in a different buffer formulation containing PBS, BSA, glycerol, and sodium azide (ab16694).

Key facts

Host species

Rabbit

Clonality

Monoclonal

Clone number

SP13

Isotype

IgG

Carrier free

Yes

Reacts with

Mouse, Rat, Human

Applications

IHC-P, IHC-Fr

applications

Immunogen

The exact immunogen used to generate this antibody is proprietary information.

Reactivity data

{ "title": "Reactivity Data", "filters": { "stats": ["", "Species", "Dilution Info", "Notes"], "tabs": { "all-applications": {"fullname" : "All Applications", "shortname": "All Applications"}, "IHCP" : {"fullname" : "Immunohistochemistry (Formalin/PFA-fixed paraffin-embedded sections)", "shortname":"IHC-P"}, "IHCFr" : {"fullname" : "Immunohistochemistry (Frozen sections)", "shortname":"IHC-Fr"} }, "product-promise": { "all": "all", "testedAndGuaranteed": "tested", "guaranteed": "expected", "predicted": "predicted", "notRecommended": "not-recommended" } }, "values": { "Human": { "IHCP-species-checked": "testedAndGuaranteed", "IHCP-species-dilution-info": "", "IHCP-species-notes": "<p></p>", "IHCFr-species-checked": "guaranteed", "IHCFr-species-dilution-info": "", "IHCFr-species-notes": "" }, "Mouse": { "IHCP-species-checked": "guaranteed", "IHCP-species-dilution-info": "", "IHCP-species-notes": "", "IHCFr-species-checked": "testedAndGuaranteed", "IHCFr-species-dilution-info": "", "IHCFr-species-notes": "<p></p>" }, "Rat": { "IHCP-species-checked": "guaranteed", "IHCP-species-dilution-info": "", "IHCP-species-notes": "", "IHCFr-species-checked": "testedAndGuaranteed", "IHCFr-species-dilution-info": "", "IHCFr-species-notes": "<p></p>" } } }

Product details

ab239795 is the carrier-free version of ab16694.

What are the advantages of a recombinant monoclonal antibody?
This product is a recombinant monoclonal antibody, which offers several advantages including:

  • - High batch-to-batch consistency and reproducibility
  • - Improved sensitivity and specificity
  • - Long-term security of supply
  • - Animal-free batch production

For more information, read more on recombinant antibodies.

Conjugation ready
Our carrier-free antibodies are typically supplied in a PBS-only formulation, purified and free of BSA, sodium azide and glycerol. This conjugation-ready format is designed for use with fluorochromes, metal isotopes, oligonucleotides, and enzymes, which makes them ideal for antibody labelling, functional and cell-based assays, flow-based assays (e.g. mass cytometry) and Multiplex Imaging applications.

Use our conjugation kits for antibody conjugates that are ready-to-use in as little as 20 minutes with 1 minute hands-on-time and 100% antibody recovery: available for fluorescent dyes, HRP, biotin and gold.

Compatibility
This product is compatible with the Maxpar® Antibody Labeling Kit from Fluidigm, without the need for antibody preparation. Maxpar® is a trademark of Fluidigm Canada Inc.

Properties and storage information

Form
Liquid
Purification technique
Affinity purification
Storage buffer
pH: 7.2 - 7.4 Constituents: PBS
Shipped at conditions
Blue Ice
Appropriate short-term storage conditions
+4°C
Appropriate long-term storage conditions
+4°C
Storage information
Do Not Freeze

Product protocols

For this product, it's our understanding that no specific protocols are required. You can visit:

Target data

Calretinin is a calcium-binding protein which is abundant in auditory neurons.
See full target information CALB2

Product promise

We are committed to supporting your work with high-quality reagents, and we're here for you every step of the way. In the unlikely event that one of our products does not perform as expected, you're protected by our Product Promise.
For full details, please see our Terms & Conditions

Please note: All products are 'FOR RESEARCH USE ONLY. NOT FOR USE IN DIAGNOSTIC OR THERAPEUTIC PROCEDURES'.

For licensing inquiries, please contact partnerships@abcam.com