JavaScript is disabled in your browser. Please enable JavaScript to view this website.
AB251086

Anti-Calsequestrin 1 antibody [EPR15227(B)] - BSA and Azide free

Be the first to review this product! Submit a review

|

(0 Publication)

Rabbit Recombinant Monoclonal Calsequestrin 1 antibody. Carrier free. Suitable for WB, IHC-P and reacts with Mouse, Rat, Human samples.

View Alternative Names

CASQ, CASQ1, Calsequestrin-1, Calmitine

4 Images
Western blot - Anti-Calsequestrin 1 antibody [EPR15227(B)] - BSA and Azide free (AB251086)
  • WB

Supplier Data

Western blot - Anti-Calsequestrin 1 antibody [EPR15227(B)] - BSA and Azide free (AB251086)

This data was developed using ab191564, the same antibody clone in a different buffer formulation.

All lanes:

Western blot - Anti-Calsequestrin 1 antibody [EPR15227(B)] (<a href='/en-us/products/primary-antibodies/calsequestrin-1-antibody-epr15227b-ab191564'>ab191564</a>) at 1/10000 dilution

All lanes:

Human skeletal muscle tissue lysate at 20 µg

Secondary

All lanes:

goat anti-rabbit IgG, (H+L), peroxidase conjugated at 1/1000 dilution

Predicted band size: 44 kDa

Observed band size: 63 kDa

true

Western blot - Anti-Calsequestrin 1 antibody [EPR15227(B)] - BSA and Azide free (AB251086)
  • WB

Supplier Data

Western blot - Anti-Calsequestrin 1 antibody [EPR15227(B)] - BSA and Azide free (AB251086)

This data was developed using ab191564, the same antibody clone in a different buffer formulation.

All lanes:

Western blot - Anti-Calsequestrin 1 antibody [EPR15227(B)] (<a href='/en-us/products/primary-antibodies/calsequestrin-1-antibody-epr15227b-ab191564'>ab191564</a>) at 1/10000 dilution

Lane 1:

Mouse muscle tissue lysate at 10 µg

Lane 2:

Rat muscle tissue lysate at 10 µg

Secondary

All lanes:

goat anti-rabbit IgG, (H+L), peroxidase conjugated at 1/1000 dilution

Predicted band size: 44 kDa

Observed band size: 63 kDa

true

Immunohistochemistry (Formalin/PFA-fixed paraffin-embedded sections) - Anti-Calsequestrin 1 antibody [EPR15227(B)] - BSA and Azide free (AB251086)
  • IHC-P

Supplier Data

Immunohistochemistry (Formalin/PFA-fixed paraffin-embedded sections) - Anti-Calsequestrin 1 antibody [EPR15227(B)] - BSA and Azide free (AB251086)

This data was developed using ab191564, the same antibody clone in a different buffer formulation.

Immunohistochemical analysis of paraffin-embedded, Human skeletal muscle tissue labeling Calsequestrin 1 with ab191564 at a 1/250 dilution. Counter stained with hematoxylin. In the negative control PBS was used instead of primary antibody.

Perform heat mediated antigen retrieval with Tris/EDTA buffer pH 9.0 before commencing with IHC staining protocol.

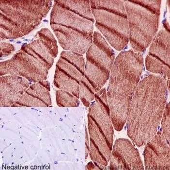
Immunohistochemistry (Formalin/PFA-fixed paraffin-embedded sections) - Anti-Calsequestrin 1 antibody [EPR15227(B)] - BSA and Azide free (AB251086)
  • IHC-P

Supplier Data

Immunohistochemistry (Formalin/PFA-fixed paraffin-embedded sections) - Anti-Calsequestrin 1 antibody [EPR15227(B)] - BSA and Azide free (AB251086)

This data was developed using ab191564, the same antibody clone in a different buffer formulation.

Immunohistochemical analysis of paraffin-embedded, rat skeletal muscle tissue labeling Calsequestrin 1 with ab191564 at a 1/250 dilution. Counter stained with hematoxylin. In the negative control PBS was used instead of primary antibody.

Perform heat mediated antigen retrieval with Tris/EDTA buffer pH 9.0 before commencing with IHC staining protocol.

Key facts

Host species

Rabbit

Clonality

Monoclonal

Clone number

EPR15227(B)

Isotype

IgG

Carrier free

Yes

Reacts with

Mouse, Rat, Human

Applications

IHC-P, WB

applications

Immunogen

The exact immunogen used to generate this antibody is proprietary information.

Reactivity data

{ "title": "Reactivity Data", "filters": { "stats": ["", "Species", "Dilution Info", "Notes"], "tabs": { "all-applications": {"fullname" : "All Applications", "shortname": "All Applications"}, "WB" : {"fullname" : "Western blot", "shortname":"WB"}, "IHCP" : {"fullname" : "Immunohistochemistry (Formalin/PFA-fixed paraffin-embedded sections)", "shortname":"IHC-P"} }, "product-promise": { "all": "all", "testedAndGuaranteed": "tested", "guaranteed": "expected", "predicted": "predicted", "notRecommended": "not-recommended" } }, "values": { "Human": { "WB-species-checked": "testedAndGuaranteed", "WB-species-dilution-info": "", "WB-species-notes": "<p></p>", "IHCP-species-checked": "testedAndGuaranteed", "IHCP-species-dilution-info": "", "IHCP-species-notes": "<p></p> Perform heat-mediated antigen retrieval with Tris/EDTA buffer pH 9.0 before commencing with IHC staining protocol." }, "Mouse": { "WB-species-checked": "testedAndGuaranteed", "WB-species-dilution-info": "", "WB-species-notes": "<p></p> Perform heat-mediated antigen retrieval with Tris/EDTA buffer pH 9.0 before commencing with IHC staining protocol.", "IHCP-species-checked": "guaranteed", "IHCP-species-dilution-info": "", "IHCP-species-notes": "" }, "Rat": { "WB-species-checked": "testedAndGuaranteed", "WB-species-dilution-info": "", "WB-species-notes": "<p></p>", "IHCP-species-checked": "testedAndGuaranteed", "IHCP-species-dilution-info": "", "IHCP-species-notes": "<p></p> Perform heat-mediated antigen retrieval with Tris/EDTA buffer pH 9.0 before commencing with IHC staining protocol." } } }

Product details

ab251086 is the carrier-free version of ab191564.

Patented technology
Our RabMAb® technology is a patented hybridoma-based technology for making rabbit monoclonal antibodies. For details on our patents, please refer to RabMAb® patents.

What are the advantages of a recombinant monoclonal antibody?
This product is a recombinant monoclonal antibody, which offers several advantages including:

  • - High batch-to-batch consistency and reproducibility
  • - Improved sensitivity and specificity
  • - Long-term security of supply
  • - Animal-free batch production

For more information, read more on recombinant antibodies.

Conjugation ready
Our carrier-free antibodies are typically supplied in a PBS-only formulation, purified and free of BSA, sodium azide and glycerol. This conjugation-ready format is designed for use with fluorochromes, metal isotopes, oligonucleotides, and enzymes, which makes them ideal for antibody labelling, functional and cell-based assays, flow-based assays (e.g. mass cytometry) and Multiplex Imaging applications.

Use our conjugation kits for antibody conjugates that are ready-to-use in as little as 20 minutes with 1 minute hands-on-time and 100% antibody recovery: available for fluorescent dyes, HRP, biotin and gold.

Compatibility
This product is compatible with the Maxpar® Antibody Labeling Kit from Fluidigm, without the need for antibody preparation. Maxpar® is a trademark of Fluidigm Canada Inc.

Properties and storage information

Form
Liquid
Storage buffer
pH: 7.2 - 7.4 Constituents: PBS
Shipped at conditions
Blue Ice
Appropriate short-term storage conditions
+4°C
Appropriate long-term storage conditions
+4°C
Storage information
Do Not Freeze

Product protocols

For this product, it's our understanding that no specific protocols are required. You can visit:

Target data

Calsequestrin is a high-capacity, moderate affinity, calcium-binding protein and thus acts as an internal calcium store in muscle (PubMed : 28895244). Calcium ions are bound by clusters of acidic residues at the protein surface, often at the interface between subunits. Can bind around 80 Ca(2+) ions (PubMed : 28895244). Regulates the release of lumenal Ca(2+) via the calcium release channel RYR1; this plays an important role in triggering muscle contraction. Negatively regulates store-operated Ca(2+) entry (SOCE) activity (PubMed : 27185316).
See full target information CASQ1

Product promise

We are committed to supporting your work with high-quality reagents, and we're here for you every step of the way. In the unlikely event that one of our products does not perform as expected, you're protected by our Product Promise.
For full details, please see our Terms & Conditions

Please note: All products are 'FOR RESEARCH USE ONLY. NOT FOR USE IN DIAGNOSTIC OR THERAPEUTIC PROCEDURES'.

For licensing inquiries, please contact partnerships@abcam.com