JavaScript is disabled in your browser. Please enable JavaScript to view this website.
AB3516

Anti-Calsequestrin 2 + Calsequestrin 1 antibody

4

(4 Reviews)

|

(84 Publications)

Rabbit Polyclonal Calsequestrin 2 antibody. Suitable for IP, WB, IHC-P, ICC/IF and reacts with Human, Mouse, Rat, Dog, Sheep, Oncorhynchus mykiss, Rabbit, Pig samples. Cited in 84 publications. Immunogen corresponding to Native Full Length Protein corresponding to Dog Calsequestrin-2.

View Alternative Names

Calsequestrin-2, CASQ2

7 Images
Immunohistochemistry (Formalin/PFA-fixed paraffin-embedded sections) - Anti-Calsequestrin 2 + Calsequestrin 1 antibody (AB3516)
  • IHC-P

Supplier Data

Immunohistochemistry (Formalin/PFA-fixed paraffin-embedded sections) - Anti-Calsequestrin 2 + Calsequestrin 1 antibody (AB3516)

ab3516 labelling Calsequestrin in the cytoplasm of human skeletal muscle tissue (right) compared with a negative control (left) by Immunohistochemistry (formalin/PFA-fixed paraffin-embedded sections). To expose target proteins, antigen retrieval method was performed using 10mM sodium citrate (pH 6.0) microwaved for 8-15 min. Tissues were blocked in 3% H2O2-methanol for 15 min at room temperature, washed with ddH2O and PBS. Tissue sections were incubated with primary antibody (1 : 200 in 3% BSA-PBS) overnight at 4°C. A HRP-conjugated anti-rabbit was used as the secondary antibody, followed by colorimetric detection using a DAB kit. Tissues were counterstained with hematoxylin and dehydrated with ethanol and xylene to prep for mounting.

Immunohistochemistry (Formalin/PFA-fixed paraffin-embedded sections) - Anti-Calsequestrin 2 + Calsequestrin 1 antibody (AB3516)
  • IHC-P

Supplier Data

Immunohistochemistry (Formalin/PFA-fixed paraffin-embedded sections) - Anti-Calsequestrin 2 + Calsequestrin 1 antibody (AB3516)

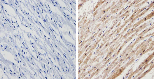
ab3516 labelling Calsequestrin in the cytoplasm of human heart tissue (right) compared with a negative control (left) by Immunohistochemistry (formalin/PFA-fixed paraffin-embedded sections). To expose target proteins, antigen retrieval method was performed using 10mM sodium citrate (pH 6.0) microwaved for 8-15 min. Following antigen retrieval, tissues were blocked in 3% H2O2-methanol for 15 min at room temperature, washed with ddH2O and PBS. Tissue sections were incubated with primary antibody (1 : 200 in 3% BSA-PBS) overnight at 4°C. A HRP-conjugated anti-rabbit was used as the secondary antibody, followed by colorimetric detection using a DAB kit. Tissues were counterstained with hematoxylin and dehydrated with ethanol and xylene to prep for mounting.

Immunocytochemistry/ Immunofluorescence - Anti-Calsequestrin 2 + Calsequestrin 1 antibody (AB3516)
  • ICC/IF

Supplier Data

Immunocytochemistry/ Immunofluorescence - Anti-Calsequestrin 2 + Calsequestrin 1 antibody (AB3516)

Immunofluorescent analysis of Calsequestrin (green) showing staining in the cytoplasm and nucleus of C2C12 (Mouse myoblast cell line) cells (right) compared to a negative control without primary antibody (left). Formalin-fixed cells were permeabilized with 0.1% Triton X-100 in TBS for 5-10 minutes and blocked with 3% BSA-PBS for 30 minutes at room temperature. Cells were probed with ab3516 in 3% BSA-PBS at a dilution of 1/100 and incubated overnight at 4 °C in a humidified chamber. Cells were washed with PBST and incubated with a DyLight-conjugated secondary antibody in PBS at room temperature in the dark. F-actin (red) was stained with a fluorescent red phalloidin and nuclei (blue) were stained with Hoechst or DAPI. Images were taken at a magnification of 60x.

Immunohistochemistry (Formalin/PFA-fixed paraffin-embedded sections) - Anti-Calsequestrin 2 + Calsequestrin 1 antibody (AB3516)
  • IHC-P

Supplier Data

Immunohistochemistry (Formalin/PFA-fixed paraffin-embedded sections) - Anti-Calsequestrin 2 + Calsequestrin 1 antibody (AB3516)

ab3516 labelling Calsequestrin in the cytoplasm of mouse heart tissue (right) compared with a negative control (left) by Immunohistochemistry (formalin/PFA-fixed paraffin-embedded sections). To expose target proteins, antigen retrieval method was performed using 10mM sodium citrate (pH 6.0) microwaved for 8-15 min. Following antigen retrieval, tissues were blocked in 3% H2O2-methanol for 15 min at room temperature, washed with ddH2O and PBS. Tissue sections were incubated with primary antibody (1 : 200 in 3% BSA-PBS) overnight at 4°C. A HRP-conjugated anti-rabbit was used as the secondary antibody, followed by colorimetric detection using a DAB kit. Tissues were counterstained with hematoxylin and dehydrated with ethanol and xylene to prep for mounting.

Immunocytochemistry/ Immunofluorescence - Anti-Calsequestrin 2 + Calsequestrin 1 antibody (AB3516)
  • ICC/IF

AbReview36495****

Immunocytochemistry/ Immunofluorescence - Anti-Calsequestrin 2 + Calsequestrin 1 antibody (AB3516)

ab3516 staining Calsequestrin in mouse myocyte cell by ICC/IF (Immunocytochemistry/immunofluorescence). Cells were fixed with formaldehyde and blocked with 10% serum for 1 hour at 25°C. Samples were incubated with primary antibody (1/50 in serum) for 18 hours at 4°C. An Alexa Fluor®488-conjugated Goat anti-rabbit IgG polyclonal (1/1000) was used as the secondary antibody.

This image is courtesy of an anonymous Abreview

Immunohistochemistry (Formalin/PFA-fixed paraffin-embedded sections) - Anti-Calsequestrin 2 + Calsequestrin 1 antibody (AB3516)
  • IHC-P

Lab

Immunohistochemistry (Formalin/PFA-fixed paraffin-embedded sections) - Anti-Calsequestrin 2 + Calsequestrin 1 antibody (AB3516)

ab3516 (1μg/ml) staining Calsequestrin in human skeletal muscle using an automated system (DAKO Autostainer Plus). Using this protocol there is strong staining of discrete organelles within the cytoplasm.
Sections were rehydrated and antigen retrieved with the Dako 3 in 1 AR buffer EDTA pH 9.0 in a DAKO PT link. Slides were peroxidase blocked in 3% H2O2 in methanol for 10 mins. They were then blocked with Dako Protein block for 10 minutes (containing casein 0.25% in PBS) then incubated with primary antibody for 20 min and detected with Dako envision flex amplification kit for 30 minutes. Colorimetric detection was completed with Diaminobenzidine for 5 minutes. Slides were counterstained with Haematoxylin and coverslipped under DePeX. Please note that, for manual staining, optimization of primary antibody concentration and incubation time is recommended. Signal amplification may be required.

Western blot - Anti-Calsequestrin 2 + Calsequestrin 1 antibody (AB3516)
  • WB

Supplier Data

Western blot - Anti-Calsequestrin 2 + Calsequestrin 1 antibody (AB3516)

All lanes:

Western blot - Anti-Calsequestrin 2 + Calsequestrin 1 antibody (ab3516) at 1/5000 dilution

Lane 1:

RD (Human muscle rhabdomyosarcoma cell line) whole cell lysate at 25 µg

Lane 2:

L6 (Rat skeletal muscle cell line) whole cell lysate at 25 µg

Lane 3:

Mouse heart tissue lysate at 25 µg

Secondary

All lanes:

HRP-conjugated secondary antibody

Observed band size: 55 kDa

false

Key facts

Host species

Rabbit

Clonality

Polyclonal

Isotype

IgG

Carrier free

No

Reacts with

Mouse, Rat, Human, Dog, Pig, Rabbit, Sheep, Oncorhynchus mykiss

Applications

WB, ICC/IF, IHC-P, IP

applications

Immunogen

Native Full Length Protein corresponding to Dog Calsequestrin-2.

P12637

Specificity

This antibody recognizes both cardiac and skeletal muscle calsequestrin.

Reactivity data

{ "title": "Reactivity Data", "filters": { "stats": ["", "Species", "Dilution Info", "Notes"], "tabs": { "all-applications": {"fullname" : "All Applications", "shortname": "All Applications"}, "IP" : {"fullname" : "Immunoprecipitation", "shortname":"IP"}, "WB" : {"fullname" : "Western blot", "shortname":"WB"}, "IHCP" : {"fullname" : "Immunohistochemistry (Formalin/PFA-fixed paraffin-embedded sections)", "shortname":"IHC-P"}, "ICCIF" : {"fullname" : "Immunocytochemistry/ Immunofluorescence", "shortname":"ICC/IF"} }, "product-promise": { "all": "all", "testedAndGuaranteed": "tested", "guaranteed": "expected", "predicted": "predicted", "notRecommended": "not-recommended" } }, "values": { "Human": { "IP-species-checked": "guaranteed", "IP-species-dilution-info": "", "IP-species-notes": "<p></p>", "WB-species-checked": "testedAndGuaranteed", "WB-species-dilution-info": "", "WB-species-notes": "<p>This antibody detects an ~55 kDa protein representing Calsequestrin from canine cardiac extract. Additional bands at 97 kDa may be observed and have been reported to be Calsequestrin-like proteins.</p>", "IHCP-species-checked": "testedAndGuaranteed", "IHCP-species-dilution-info": "1/100 - 1/500", "IHCP-species-notes": "<p></p>", "ICCIF-species-checked": "guaranteed", "ICCIF-species-dilution-info": "", "ICCIF-species-notes": "<p></p>" }, "Mouse": { "IP-species-checked": "guaranteed", "IP-species-dilution-info": "", "IP-species-notes": "<p></p>", "WB-species-checked": "testedAndGuaranteed", "WB-species-dilution-info": "1/1000 - 1/10000", "WB-species-notes": "<p>This antibody detects an ~55 kDa protein representing Calsequestrin from canine cardiac extract. Additional bands at 97 kDa may be observed and have been reported to be Calsequestrin-like proteins.</p>", "IHCP-species-checked": "testedAndGuaranteed", "IHCP-species-dilution-info": "1/100 - 1/500", "IHCP-species-notes": "<p></p>", "ICCIF-species-checked": "testedAndGuaranteed", "ICCIF-species-dilution-info": "", "ICCIF-species-notes": "<p></p>" }, "Rat": { "IP-species-checked": "guaranteed", "IP-species-dilution-info": "", "IP-species-notes": "<p></p>", "WB-species-checked": "testedAndGuaranteed", "WB-species-dilution-info": "1/1000 - 1/10000", "WB-species-notes": "<p>This antibody detects an ~55 kDa protein representing Calsequestrin from canine cardiac extract. Additional bands at 97 kDa may be observed and have been reported to be Calsequestrin-like proteins.</p>", "IHCP-species-checked": "guaranteed", "IHCP-species-dilution-info": "1/100 - 1/500", "IHCP-species-notes": "<p></p>", "ICCIF-species-checked": "guaranteed", "ICCIF-species-dilution-info": "", "ICCIF-species-notes": "<p></p>" }, "Dog": { "IP-species-checked": "guaranteed", "IP-species-dilution-info": "", "IP-species-notes": "<p></p>", "WB-species-checked": "predicted", "WB-species-dilution-info": "", "WB-species-notes": "", "IHCP-species-checked": "guaranteed", "IHCP-species-dilution-info": "1/100 - 1/500", "IHCP-species-notes": "<p></p>", "ICCIF-species-checked": "guaranteed", "ICCIF-species-dilution-info": "", "ICCIF-species-notes": "<p></p>" }, "Oncorhynchus mykiss": { "IP-species-checked": "guaranteed", "IP-species-dilution-info": "", "IP-species-notes": "<p></p>", "WB-species-checked": "guaranteed", "WB-species-dilution-info": "1/1000 - 1/10000", "WB-species-notes": "<p>This antibody detects an ~55 kDa protein representing Calsequestrin from canine cardiac extract. Additional bands at 97 kDa may be observed and have been reported to be Calsequestrin-like proteins.</p>", "IHCP-species-checked": "guaranteed", "IHCP-species-dilution-info": "1/100 - 1/500", "IHCP-species-notes": "<p></p>", "ICCIF-species-checked": "guaranteed", "ICCIF-species-dilution-info": "", "ICCIF-species-notes": "<p></p>" }, "Pig": { "IP-species-checked": "guaranteed", "IP-species-dilution-info": "", "IP-species-notes": "<p></p>", "WB-species-checked": "guaranteed", "WB-species-dilution-info": "1/1000 - 1/10000", "WB-species-notes": "<p>This antibody detects an ~55 kDa protein representing Calsequestrin from canine cardiac extract. Additional bands at 97 kDa may be observed and have been reported to be Calsequestrin-like proteins.</p>", "IHCP-species-checked": "guaranteed", "IHCP-species-dilution-info": "1/100 - 1/500", "IHCP-species-notes": "<p></p>", "ICCIF-species-checked": "guaranteed", "ICCIF-species-dilution-info": "", "ICCIF-species-notes": "<p></p>" }, "Rabbit": { "IP-species-checked": "guaranteed", "IP-species-dilution-info": "", "IP-species-notes": "<p></p>", "WB-species-checked": "guaranteed", "WB-species-dilution-info": "1/1000 - 1/10000", "WB-species-notes": "<p>This antibody detects an ~55 kDa protein representing Calsequestrin from canine cardiac extract. Additional bands at 97 kDa may be observed and have been reported to be Calsequestrin-like proteins.</p>", "IHCP-species-checked": "guaranteed", "IHCP-species-dilution-info": "1/100 - 1/500", "IHCP-species-notes": "<p></p>", "ICCIF-species-checked": "guaranteed", "ICCIF-species-dilution-info": "", "ICCIF-species-notes": "<p></p>" }, "Sheep": { "IP-species-checked": "guaranteed", "IP-species-dilution-info": "", "IP-species-notes": "<p></p>", "WB-species-checked": "guaranteed", "WB-species-dilution-info": "1/1000 - 1/10000", "WB-species-notes": "<p>This antibody detects an ~55 kDa protein representing Calsequestrin from canine cardiac extract. Additional bands at 97 kDa may be observed and have been reported to be Calsequestrin-like proteins.</p>", "IHCP-species-checked": "guaranteed", "IHCP-species-dilution-info": "1/100 - 1/500", "IHCP-species-notes": "<p></p>", "ICCIF-species-checked": "guaranteed", "ICCIF-species-dilution-info": "", "ICCIF-species-notes": "<p></p>" } } }

Properties and storage information

Form
Liquid
Purity
Whole antiserum
Storage buffer
Preservative: 0.05% Sodium azide
Shipped at conditions
Blue Ice
Appropriate short-term storage duration
1-2 weeks
Appropriate short-term storage conditions
+4°C
Appropriate long-term storage conditions
-20°C
Aliquoting information
Upon delivery aliquot
Storage information
Avoid freeze / thaw cycle

Product protocols

For this product, it's our understanding that no specific protocols are required. You can visit:

Target data

Calsequestrin is a high-capacity, moderate affinity, calcium-binding protein and thus acts as an internal calcium store in muscle (PubMed : 3427023). Calcium ions are bound by clusters of acidic residues at the protein surface, especially at the interface between subunits. Can bind around 60 Ca(2+) ions. Regulates the release of lumenal Ca(2+) via the calcium release channel RYR2; this plays an important role in triggering muscle contraction. Plays a role in excitation-contraction coupling in the heart and in regulating the rate of heart beats.
See full target information Calsequestrin-2

Publications (84)

Recent publications for all applications. Explore the full list and refine your search

Journal of muscle research and cell motility : PubMed41065964

2025

Optimizing 2D in vitro differentiation conditions for C2C12 murine myoblasts on gelatin hydrogel.

Applications

Unspecified application

Species

Unspecified reactive species

Veronica Sian,Per Harald Jonson,Anna Vainio,Helena Luque,Swethaa Natraj Gayathri,Peter Hackman,Bjarne Udd,Marco Savarese,Jaakko Sarparanta

Cells 14: PubMed40862738

2025

Highly Oligomeric DRP1 Strategic Positioning at Mitochondria-Sarcoplasmic Reticulum Contacts in Adult Murine Heart Through ACTIN Anchoring.

Applications

Unspecified application

Species

Unspecified reactive species

Celia Fernandez-Sanz,Sergio De la Fuente,Zuzana Nichtova,Marilen Federico,Stephane Duvezin-Caubet,Sebastian Lanvermann,Hui-Ying Tsai,Yanguo Xin,Gyorgy Csordas,Wang Wang,Arnaud Mourier,Shey-Shing Sheu

Scientific reports 15:6715 PubMed40000760

2025

Cardiac effects of two hallucinogenic natural products, N,N-dimethyl-tryptamine and 5-methoxy-N,N-dimethyl-tryptamine.

Applications

Unspecified application

Species

Unspecified reactive species

Joachim Neumann,Tobias Dietrich,Karyna Azatsian,Britt Hofmann,Ulrich Gergs

International journal of molecular sciences 26: PubMed39859412

2025

Glucagon Can Increase Force of Contraction via Glucagon Receptors in the Isolated Human Atrium.

Applications

Unspecified application

Species

Unspecified reactive species

Joachim Neumann,Franziska Schmidt,Britt Hofmann,Ulrich Gergs

The Journal of physiology 603:837-854 PubMed39777675

2025

Pharmacological reduction of lipid hydroperoxides as a potential modulator of sarcopenia.

Applications

Unspecified application

Species

Unspecified reactive species

Jacob L Brown,Hongyang Xu,Elizabeth Duggan,Craig S Rosenfeld,Holly Van Remmen

Naunyn-Schmiedeberg's archives of pharmacology 397:4939-4959 PubMed38177456

2024

Initial characterization of a transgenic mouse with overexpression of the human D-dopamine receptor in the heart.

Applications

Unspecified application

Species

Unspecified reactive species

Lina Maria Rayo Abella,Hannes Jacob,Christin Hesse,Britt Hofmann,Sarah Schneider,Lisa Schindler,Max Keller,Igor B Buchwalow,CongYu Jin,Pertti Panula,Stefan Dhein,Jan Klimas,Katarína Hadova,Ulrich Gergs,Joachim Neumann

Naunyn-Schmiedeberg's archives of pharmacology 397:2183-2202 PubMed37801145

2023

Cantharidin and sodium fluoride attenuate the negative inotropic effects of carbachol in the isolated human atrium.

Applications

Unspecified application

Species

Unspecified reactive species

Rebecca Schwarz,Britt Hofmann,Ulrich Gergs,Joachim Neumann

Naunyn-Schmiedeberg's archives of pharmacology 396:3823-3833 PubMed37354216

2023

OR-1896 increases force of contraction in the isolated human atrium.

Applications

Unspecified application

Species

Unspecified reactive species

Lina M Rayo-Abella,Peter Grundig,Max N Bernhardt,Britt Hofmann,Joachim Neumann,Ulrich Gergs

Naunyn-Schmiedeberg's archives of pharmacology 396:3809-3822 PubMed37354215

2023

Ergometrine stimulates histamine H receptors in the isolated human atrium.

Applications

Unspecified application

Species

Unspecified reactive species

Hannes Jacob,Pauline Braekow,Britt Hofmann,Uwe Kirchhefer,Lisa Forster,Denise Mönnich,Laura J Humphrys,Steffen Pockes,Joachim Neumann,Ulrich Gergs

Journal of molecular and cellular cardiology 179:47-59 PubMed37003353

2023

InsPR-RyR channel crosstalk augments sarcoplasmic reticulum Ca release and arrhythmogenic activity in post-MI pig cardiomyocytes.

Applications

Unspecified application

Species

Unspecified reactive species

Xin Jin,Anna Meletiou,Joshua Chung,Agne Tilunaite,Kateryna Demydenko,Eef Dries,Rosa Doñate Puertas,Matthew Amoni,Ashutosh Tomar,Guillaume Gilbert,Piet Claus,Christian Soeller,Vijay Rajagopal,Karin Sipido,H Llewelyn Roderick
View all publications

Product promise

We are committed to supporting your work with high-quality reagents, and we're here for you every step of the way. In the unlikely event that one of our products does not perform as expected, you're protected by our Product Promise.
For full details, please see our Terms & Conditions

Please note: All products are 'FOR RESEARCH USE ONLY. NOT FOR USE IN DIAGNOSTIC OR THERAPEUTIC PROCEDURES'.

For licensing inquiries, please contact partnerships@abcam.com