JavaScript is disabled in your browser. Please enable JavaScript to view this website.
AB227209

Anti-CAMK1G antibody

Be the first to review this product! Submit a review

|

(2 Publications)

Rabbit Polyclonal CAMK1G antibody. Suitable for WB, IHC-P and reacts with Mouse, Rat, Human samples. Cited in 2 publications. Immunogen corresponding to Recombinant Fragment Protein within Human CAMK1G.

View Alternative Names

CLICK3, VWS1, CAMK1G, Calcium/calmodulin-dependent protein kinase type 1G, CaM kinase I gamma, CaMK-like CREB kinase III, CaM kinase IG, CaM-KI gamma, CaMKI gamma, CaMKIG, CLICK III

5 Images
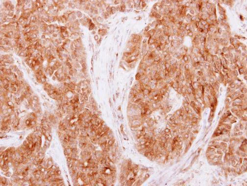
Immunohistochemistry (Formalin/PFA-fixed paraffin-embedded sections) - Anti-CAMK1G antibody (AB227209)
  • IHC-P

Supplier Data

Immunohistochemistry (Formalin/PFA-fixed paraffin-embedded sections) - Anti-CAMK1G antibody (AB227209)

Paraffin-embedded human lung carcinoma tissue stained for CAMK1G using ab227209 at 1/250 dilution in immunohistochemical analysis.

Western blot - Anti-CAMK1G antibody (AB227209)
  • WB

Supplier Data

Western blot - Anti-CAMK1G antibody (AB227209)

10% SDS-PAGE gel.

All lanes:

Western blot - Anti-CAMK1G antibody (ab227209) at 1/1000 dilution

Lane 1:

HEK-293T (human epithelial cell line from embryonic kidney) whole cell lysate at 30 µg

Lane 2:

A431 (human epidermoid carcinoma cell line) whole cell lysate at 30 µg

Lane 3:

NCI-H1299 (human lung carcinoma cell line) whole cell lysate at 30 µg

Lane 4:

HeLa S3 whole cell lysate at 30 µg

Lane 5:

HepG2 (human liver hepatocellular carcinoma cell line) whole cell lysate at 30 µg

Lane 6:

MOLT-4 (human lymphoblastic leukemia cell line) whole cell lysate at 30 µg

Lane 7:

Raji (human Burkitt's lymphoma cell line) whole cell lysate at 30 µg

Predicted band size: 53 kDa

false

Western blot - Anti-CAMK1G antibody (AB227209)
  • WB

Supplier Data

Western blot - Anti-CAMK1G antibody (AB227209)

10% SDS-PAGE gel.

All lanes:

Western blot - Anti-CAMK1G antibody (ab227209) at 1/5000 dilution

All lanes:

Mouse brain lysate at 50 µg

Predicted band size: 53 kDa

false

Western blot - Anti-CAMK1G antibody (AB227209)
  • WB

Supplier Data

Western blot - Anti-CAMK1G antibody (AB227209)

10% SDS-PAGE gel.

All lanes:

Western blot - Anti-CAMK1G antibody (ab227209) at 1/5000 dilution

Lane 1:

U-87 MG (human glioblastoma-astrocytoma epithelial cell line) whole cell lysate at 30 µg

Lane 2:

SK-N-SH (human neuroblastoma cell line) whole cell lysate at 30 µg

Lane 3:

IMR32 whole cell lysate at 30 µg

Lane 4:

SK-N-AS whole cell lysate at 30 µg

Predicted band size: 53 kDa

false

Western blot - Anti-CAMK1G antibody (AB227209)
  • WB

Supplier Data

Western blot - Anti-CAMK1G antibody (AB227209)

10% SDS-PAGE gel.

All lanes:

Western blot - Anti-CAMK1G antibody (ab227209) at 1/5000 dilution

All lanes:

Rat brain lysate at 50 µg

Predicted band size: 53 kDa,54 kDa

false

Key facts

Host species

Rabbit

Clonality

Polyclonal

Isotype

IgG

Carrier free

No

Reacts with

Mouse, Rat, Human

Applications

IHC-P, WB

applications

Immunogen

Recombinant Fragment Protein within Human CAMK1G. The exact immunogen used to generate this antibody is proprietary information.

Q96NX5

Reactivity data

{ "title": "Reactivity Data", "filters": { "stats": ["", "Species", "Dilution Info", "Notes"], "tabs": { "all-applications": {"fullname" : "All Applications", "shortname": "All Applications"}, "WB" : {"fullname" : "Western blot", "shortname":"WB"}, "IHCP" : {"fullname" : "Immunohistochemistry (Formalin/PFA-fixed paraffin-embedded sections)", "shortname":"IHC-P"} }, "product-promise": { "all": "all", "testedAndGuaranteed": "tested", "guaranteed": "expected", "predicted": "predicted", "notRecommended": "not-recommended" } }, "values": { "Human": { "WB-species-checked": "testedAndGuaranteed", "WB-species-dilution-info": "1/500 - 1/10000", "WB-species-notes": "<p></p>", "IHCP-species-checked": "testedAndGuaranteed", "IHCP-species-dilution-info": "1/100 - 1/1000", "IHCP-species-notes": "<p></p>" }, "Mouse": { "WB-species-checked": "testedAndGuaranteed", "WB-species-dilution-info": "1/500 - 1/10000", "WB-species-notes": "<p></p>", "IHCP-species-checked": "guaranteed", "IHCP-species-dilution-info": "", "IHCP-species-notes": "" }, "Rat": { "WB-species-checked": "testedAndGuaranteed", "WB-species-dilution-info": "1/500 - 1/10000", "WB-species-notes": "<p></p>", "IHCP-species-checked": "guaranteed", "IHCP-species-dilution-info": "", "IHCP-species-notes": "" }, "Cow": { "WB-species-checked": "predicted", "WB-species-dilution-info": "", "WB-species-notes": "", "IHCP-species-checked": "predicted", "IHCP-species-dilution-info": "", "IHCP-species-notes": "" }, "Pig": { "WB-species-checked": "predicted", "WB-species-dilution-info": "", "WB-species-notes": "", "IHCP-species-checked": "predicted", "IHCP-species-dilution-info": "", "IHCP-species-notes": "" } } }

Properties and storage information

Form
Liquid
Purification technique
Affinity purification Immunogen
Storage buffer
pH: 7 Preservative: 0.01% Thimerosal (merthiolate) Constituents: 10% Glycerol (glycerin, glycerine), 1.21% Tris, 0.75% Glycine
Shipped at conditions
Blue Ice
Appropriate short-term storage duration
1-2 weeks
Appropriate short-term storage conditions
+4°C
Appropriate long-term storage conditions
-20°C
Aliquoting information
Upon delivery aliquot
Storage information
Avoid freeze / thaw cycle

Supplementary information

This supplementary information is collated from multiple sources and compiled automatically.

CAMK1G also known as Calcium/Calmodulin-dependent protein kinase 1G is a member of the CAMK1 family of serine/threonine protein kinases. It has a mass of approximately 44 kDa. This kinase is involved in phosphorylating and activating various proteins dependent on calcium and calmodulin. CAMK1G is expressed most significantly in the brain and is also found in other tissues such as the liver and kidneys.
Biological function summary

This kinase regulates neuronal activities and cognitive processes. CAMK1G plays an important role in the modulation of synaptic plasticity and neurotransmitter release. It forms part of a larger signaling complex with other proteins that respond to calcium levels influencing various calcium-mediated cellular processes. This kinase supports the functioning of neurons affecting learning and memory.

Pathways

CAMK1G integrates within the calcium signaling and MAPK pathways. It interacts with other proteins such as CAMK1D influencing synaptic transmission and plasticity. The connections to these pathways help regulate processes like gene transcription and cellular response to growth factors essential for neuronal health and adaptation.

CAMK1G is linked to neurological conditions such as Alzheimer's disease and psychiatric disorders like schizophrenia. The dysregulation of calcium signaling pathways involving CAMK1G and its related proteins such as CAMK1A and CAMK1D could contribute to neurodegenerative disease progression affecting cognitive function and memory retention. This relationship highlights the importance of CAMK1G in maintaining neuronal integrity and mental health.

Product protocols

For this product, it's our understanding that no specific protocols are required. You can visit:

Target data

Calcium/calmodulin-dependent protein kinase belonging to a proposed calcium-triggered signaling cascade. In vitro phosphorylates transcription factor CREB1 (By similarity).
See full target information CAMK1G

Publications (2)

Recent publications for all applications. Explore the full list and refine your search

Discover oncology 16:417 PubMed40153115

2025

NEK2 promotes cancer cell progression and 5-fluorouracil resistance via the Wnt/β-catenin signaling pathway in colorectal cancer.

Applications

Unspecified application

Species

Unspecified reactive species

Facai Cui,Yu Chen,Xiaoyu Wu,Weifeng Zhao

eLife 9: PubMed32238265

2020

Proteome dynamics during homeostatic scaling in cultured neurons.

Applications

Unspecified application

Species

Unspecified reactive species

Aline Ricarda Dörrbaum,Beatriz Alvarez-Castelao,Belquis Nassim-Assir,Julian D Langer,Erin M Schuman
View all publications

Product promise

We are committed to supporting your work with high-quality reagents, and we're here for you every step of the way. In the unlikely event that one of our products does not perform as expected, you're protected by our Product Promise.
For full details, please see our Terms & Conditions

Please note: All products are 'FOR RESEARCH USE ONLY. NOT FOR USE IN DIAGNOSTIC OR THERAPEUTIC PROCEDURES'.

For licensing inquiries, please contact partnerships@abcam.com