JavaScript is disabled in your browser. Please enable JavaScript to view this website.
AB182647

Anti-CaMK2 beta gamma delta (phospho T287) antibody

Be the first to review this product! Submit a review

|

(18 Publications)

Rabbit Polyclonal KCC2B phospho T287 antibody. Suitable for WB, ICC/IF, IHC-P and reacts with Rat, Human samples. Cited in 18 publications. Immunogen corresponding to Synthetic Peptide within Human CAMK2B phospho T287 conjugated to Keyhole Limpet Haemocyanin.

View Alternative Names

CAM2, CAMK2, CAMKB, CAMK2B, Calcium/calmodulin-dependent protein kinase type II subunit beta, CaM kinase II subunit beta, CaMK-II subunit beta

8 Images
Immunocytochemistry/ Immunofluorescence - Anti-CaMK2 beta gamma delta (phospho T287) antibody (AB182647)
  • ICC/IF

Supplier Data

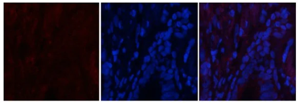
Immunocytochemistry/ Immunofluorescence - Anti-CaMK2 beta gamma delta (phospho T287) antibody (AB182647)

Immunofluorescent analysis of human lung tissue labelling CaMK2 beta gamma delta (phospho T287) with ab182647 at 1/200 dilution, followed by Cy3 labelled secondary antibody 1/300. The Nuclear counterstain was DAPI (Blue).

Left : ab182647

Middle

DAPI, Right : Merged

Immunohistochemistry (Formalin/PFA-fixed paraffin-embedded sections) - Anti-CaMK2 beta gamma delta (phospho T287) antibody (AB182647)
  • IHC-P

Supplier Data

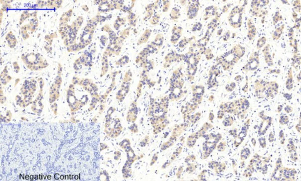
Immunohistochemistry (Formalin/PFA-fixed paraffin-embedded sections) - Anti-CaMK2 beta gamma delta (phospho T287) antibody (AB182647)

Immunohistochemical analysis of paraffin-embedded human liver cancer tissue labelling Anti-CaMK2 beta gamma delta (phospho T287) with ab182647 at 1/200 and incubated overnight at 4°C followed by a secondary antibody diluted at 1/200, incubated at RT for 30 minutes. Negative control : no staining on human live cancer tissue.

Negative control : Secondary antibody only.

Heat mediated antigen retrieval was performed with Citrate buffer (pH 6.0) for 20 minutes.

Immunohistochemistry (Formalin/PFA-fixed paraffin-embedded sections) - Anti-CaMK2 beta gamma delta (phospho T287) antibody (AB182647)
  • IHC-P

Supplier Data

Immunohistochemistry (Formalin/PFA-fixed paraffin-embedded sections) - Anti-CaMK2 beta gamma delta (phospho T287) antibody (AB182647)

Immunohistochemical analysis of paraffin-embedded Mouse testis tissue labelling CaMK2 beta gamma delta (phospho T287) with ab182647 at 1/200 and incubated overnight at 4°C followed by a secondary antibody diluted at 1/200, incubated at RT for 30 minutes. Negative control : no staining on Rat-testis tissue.

Negative control : Secondary antibody only.

Heat mediated antigen retrieval was performed with Citrate buffer (pH 6.0) for 20 minutes.

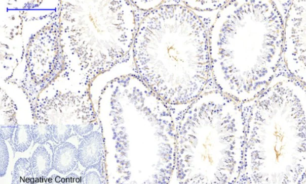
Immunohistochemistry (Formalin/PFA-fixed paraffin-embedded sections) - Anti-CaMK2 beta gamma delta (phospho T287) antibody (AB182647)
  • IHC-P

Supplier Data

Immunohistochemistry (Formalin/PFA-fixed paraffin-embedded sections) - Anti-CaMK2 beta gamma delta (phospho T287) antibody (AB182647)

Immunohistochemical analysis of paraffin-embedded Rat testis tissue labelling CaMK2 beta gamma delta (phospho T287) with ab182647 at 1/200 and incubated overnight at 4°C followed by a secondary antibody diluted at 1/200, incubated at RT for 30 minutes. Negative control : no staining on Rat-testis tissue.

Negative control : Secondary antibody only.

Heat mediated antigen retrieval was performed with Citrate buffer (pH 6.0) for 20 minutes.

Immunocytochemistry/ Immunofluorescence - Anti-CaMK2 beta gamma delta (phospho T287) antibody (AB182647)
  • ICC/IF

Supplier Data

Immunocytochemistry/ Immunofluorescence - Anti-CaMK2 beta gamma delta (phospho T287) antibody (AB182647)

Immunofluorescent analysis of rat lung tissue labelling CaMK2 beta gamma delta (phospho T287) with ab182647 at 1/200 dilution, followed by Cy3 labelled secondary antibody 1/300. The Nuclear counterstain was DAPI (Blue).

Left : ab182647

Middle

DAPI, Right : Merged

Western blot - Anti-CaMK2 beta gamma delta (phospho T287) antibody (AB182647)
  • WB

Supplier Data

Western blot - Anti-CaMK2 beta gamma delta (phospho T287) antibody (AB182647)

All lanes:

Western blot - Anti-CaMK2 beta gamma delta (phospho T287) antibody (ab182647) at 1/500 dilution

All lanes:

Human 22RV1 cells

Predicted band size: 73 kDa

Observed band size: 73 kDa

false

Western blot - Anti-CaMK2 beta gamma delta (phospho T287) antibody (AB182647)
  • WB

Supplier Data

Western blot - Anti-CaMK2 beta gamma delta (phospho T287) antibody (AB182647)

All lanes:

Western blot - Anti-CaMK2 beta gamma delta (phospho T287) antibody (ab182647)

Lane 1:

Rat brain

Lane 2:

Rat brain blocked with phospho peptide

Predicted band size: 73 kDa

Observed band size: 73 kDa

false

Western blot - Anti-CaMK2 beta gamma delta (phospho T287) antibody (AB182647)
  • WB

Supplier Data

Western blot - Anti-CaMK2 beta gamma delta (phospho T287) antibody (AB182647)

All lanes:

Western blot - Anti-CaMK2 beta gamma delta (phospho T287) antibody (ab182647) at 1/500 dilution

Lane 1:

Rat brain lysate

Lane 2:

Rat brain lysate with antigen-specific peptide

Predicted band size: 73 kDa

false

Key facts

Host species

Rabbit

Clonality

Polyclonal

Isotype

IgG

Carrier free

No

Reacts with

Rat, Mouse, Human

Applications

WB, ICC/IF, IHC-P

applications

Immunogen

Synthetic Peptide within Human CAMK2B phospho T287 conjugated to Keyhole Limpet Haemocyanin. The exact immunogen used to generate this antibody is proprietary information.

Q13554

Reactivity data

{ "title": "Reactivity Data", "filters": { "stats": ["", "Species", "Dilution Info", "Notes"], "tabs": { "all-applications": {"fullname" : "All Applications", "shortname": "All Applications"}, "WB" : {"fullname" : "Western blot", "shortname":"WB"}, "ICCIF" : {"fullname" : "Immunocytochemistry/ Immunofluorescence", "shortname":"ICC/IF"}, "IHCP" : {"fullname" : "Immunohistochemistry (Formalin/PFA-fixed paraffin-embedded sections)", "shortname":"IHC-P"} }, "product-promise": { "all": "all", "testedAndGuaranteed": "tested", "guaranteed": "expected", "predicted": "predicted", "notRecommended": "not-recommended" } }, "values": { "Human": { "WB-species-checked": "testedAndGuaranteed", "WB-species-dilution-info": "1/500", "WB-species-notes": "<p></p>", "ICCIF-species-checked": "testedAndGuaranteed", "ICCIF-species-dilution-info": "1/200", "ICCIF-species-notes": "<p></p>", "IHCP-species-checked": "testedAndGuaranteed", "IHCP-species-dilution-info": "1/200", "IHCP-species-notes": "<p></p>" }, "Mouse": { "WB-species-checked": "predicted", "WB-species-dilution-info": "", "WB-species-notes": "", "ICCIF-species-checked": "predicted", "ICCIF-species-dilution-info": "", "ICCIF-species-notes": "", "IHCP-species-checked": "notRecommended", "IHCP-species-dilution-info": "1/200", "IHCP-species-notes": "<p></p>" }, "Rat": { "WB-species-checked": "testedAndGuaranteed", "WB-species-dilution-info": "1/500 - 1/1000", "WB-species-notes": "<p></p>", "ICCIF-species-checked": "testedAndGuaranteed", "ICCIF-species-dilution-info": "1/200", "ICCIF-species-notes": "<p></p>", "IHCP-species-checked": "testedAndGuaranteed", "IHCP-species-dilution-info": "1/200", "IHCP-species-notes": "<p></p>" } } }

Properties and storage information

Form
Liquid
Purification technique
Affinity purification Immunogen
Purification notes
ab182647 was purified by affinity-chromatography using epitope-specific phosphopeptide. Non-phospho specific antibodies were removed by chromatography using non-phosphopeptide.
Storage buffer
pH: 7.4 Preservative: 0.02% Sodium azide Constituents: PBS, 50% Glycerol (glycerin, glycerine), 0.88% Sodium chloride
Shipped at conditions
Blue Ice
Appropriate short-term storage duration
1-2 weeks
Appropriate short-term storage conditions
+4°C
Appropriate long-term storage conditions
-20°C
Aliquoting information
Upon delivery aliquot
Storage information
Avoid freeze / thaw cycle

Supplementary information

This supplementary information is collated from multiple sources and compiled automatically.

CaMK2 beta gamma delta also known as calcium/calmodulin-dependent protein kinase II is a multifunctional enzyme critical in cellular signaling. It consists of multiple isoforms such as alpha beta gamma and delta with specific focus on the beta gamma delta variants. The molecular weight varies depending on the isoform generally around 50 to 60 kDa. These isoforms are expressed in various tissues like the brain heart and skeletal muscle where they mediate calcium-dependent signal transduction processes.
Biological function summary

These isoforms play a pivotal role in translating calcium signals into cellular responses. They are part of a larger heteromeric complex that includes other CaMK2 subunits forming a holoenzyme that orchestrates intricate cellular mechanisms. Through autophosphorylation at key residues CaMK2 beta gamma delta regulate synaptic plasticity in neurons modulate cardiac contractility and contribute to skeletal muscle function.

Pathways

Several mechanisms integrate calcium/calmodulin signaling mediated by CaMK2 beta gamma delta. This enzyme group is significant in the calcium/calmodulin pathway and also intersects with the MAPK/ERK pathway. These pathways involve proteins such as calmodulin and ERK facilitating signal transduction and cellular output specificity which guide processes like learning and memory in the brain and trophic responses in cardiac tissues.

Dysregulation of CaMK2 beta gamma delta is associated with neurological and cardiac diseases. The targets contribute to the pathophysiology of Alzheimer's disease where aberrant kinase signaling affects synaptic functions potentially involving proteins like amyloid-beta. Moreover in cardiac hypertrophy disruption in CaMK2 signaling impacts heart muscle remodeling often interacting with proteins such as phospholamban linking calcium handling anomalies to disease progression.

Product protocols

For this product, it's our understanding that no specific protocols are required. You can visit:

Target data

Calcium/calmodulin-dependent protein kinase that functions autonomously after Ca(2+)/calmodulin-binding and autophosphorylation, and is involved in dendritic spine and synapse formation, neuronal plasticity and regulation of sarcoplasmic reticulum Ca(2+) transport in skeletal muscle (PubMed : 16690701). In neurons, plays an essential structural role in the reorganization of the actin cytoskeleton during plasticity by binding and bundling actin filaments in a kinase-independent manner. This structural function is required for correct targeting of CaMK2A, which acts downstream of NMDAR to promote dendritic spine and synapse formation and maintain synaptic plasticity which enables long-term potentiation (LTP) and hippocampus-dependent learning. In developing hippocampal neurons, promotes arborization of the dendritic tree and in mature neurons, promotes dendritic remodeling. Also regulates the migration of developing neurons (PubMed : 29100089). Participates in the modulation of skeletal muscle function in response to exercise (PubMed : 16690701). In slow-twitch muscles, is involved in regulation of sarcoplasmic reticulum (SR) Ca(2+) transport and in fast-twitch muscle participates in the control of Ca(2+) release from the SR through phosphorylation of triadin, a ryanodine receptor-coupling factor, and phospholamban (PLN/PLB), an endogenous inhibitor of SERCA2A/ATP2A2. In response to interferon-gamma (IFN-gamma) stimulation, catalyzes phosphorylation of STAT1, stimulating the JAK-STAT signaling pathway (By similarity). Phosphorylates reticulophagy regulator RETREG1 at 'Ser-151' under endoplasmic reticulum stress conditions which enhances RETREG1 oligomerization and its membrane scission and reticulophagy activity (PubMed : 31930741).
See full target information CAMK2B phospho T287

Additional targets

,CAMK2G phospho T287

Publications (18)

Recent publications for all applications. Explore the full list and refine your search

EMBO reports 25:4488-4514 PubMed39261742

2024

CaMKII suppresses proteotoxicity by phosphorylating BAG3 in response to proteasomal dysfunction.

Applications

Unspecified application

Species

Unspecified reactive species

Chenliang Zhang,Huanji Xu,Qiulin Tang,Yichun Duan,Hongwei Xia,Huixi Huang,Di Ye,Feng Bi

Basic research in cardiology 119:751-772 PubMed39046464

2024

Empagliflozin prevents heart failure through inhibition of the NHE1-NO pathway, independent of SGLT2.

Applications

Unspecified application

Species

Unspecified reactive species

Sha Chen,Qian Wang,Diane Bakker,Xin Hu,Liping Zhang,Ingeborg van der Made,Anna M Tebbens,Csenger Kovácsházi,Zoltán Giricz,Gábor B Brenner,Peter Ferdinandy,Gert Schaart,Anne Gemmink,Matthijs K C Hesselink,Mathilde R Rivaud,Michael P Pieper,Markus W Hollmann,Nina C Weber,Jean-Luc Balligand,Esther E Creemers,Ruben Coronel,Coert J Zuurbier

Cellular and molecular life sciences : CMLS 81:88 PubMed38349408

2024

Zbtb16 increases susceptibility of atrial fibrillation in type 2 diabetic mice via Txnip-Trx2 signaling.

Applications

Unspecified application

Species

Unspecified reactive species

Zhi-Xing Wei,Xing-Xing Cai,Yu-Dong Fei,Qian Wang,Xiao-Liang Hu,Cheng Li,Jian-Wen Hou,Yu-Li Yang,Tai-Zhong Chen,Xiao-Lei Xu,Yue-Peng Wang,Yi-Gang Li

iScience 27:108590 PubMed38161415

2024

Glucose restriction enhances oxidative fiber formation: A multi-omic signal network involving AMPK and CaMK2.

Applications

Unspecified application

Species

Unspecified reactive species

Kaiyi Zhang,Ning Xie,Huaqiong Ye,Jiakun Miao,Boce Xia,Yu Yang,Huanqi Peng,Shuang Xu,Tianwen Wu,Cong Tao,Jinxue Ruan,Yanfang Wang,Shulin Yang

Heliyon 9:e17851 PubMed37456012

2023

Increased CaMKII activation and contrast changes of cardiac β1-and β3-Adrenergic signaling pathways in a humanized angiotensinogen model of hypertension.

Applications

Unspecified application

Species

Unspecified reactive species

Xiaoqiang Sun,Jing Cao,Zhe Chen,Yixi Liu,Jessica L VonCannon,Heng Jie Cheng,Carlos M Ferrario,Che Ping Cheng

Circulation research 133:177-192 PubMed37325910

2023

Increased Ca Transient Underlies RyR2-Related Left Ventricular Noncompaction.

Applications

Unspecified application

Species

Unspecified reactive species

Mingke Ni,Yanhui Li,Jinhong Wei,Zhenpeng Song,Hui Wang,Jinjing Yao,Yong-Xiang Chen,Darrell Belke,John Paul Estillore,Ruiwu Wang,Alexander Vallmitjana,Raul Benitez,Leif Hove-Madsen,Wei Feng,Ju Chen,Thomas M Roston,Shubhayan Sanatani,Anna Lehman,S R Wayne Chen

Philosophical transactions of the Royal Society of London. Series B, Biological sciences 378:20220168 PubMed37122217

2023

Cardiac deficiency of P21-activated kinase 1 promotes atrial arrhythmogenesis in mice following adrenergic challenge.

Applications

Unspecified application

Species

Unspecified reactive species

Eunjeong Jung,Rebecca Capel,Congshan Jiang,Elisa Venturi,Georgiana Neagu,Sarah Pearcey,Yafei Zhou,Yanmin Zhang,Ming Lei

Scientific reports 13:5827 PubMed37037889

2023

CaMKII regulates the proteins TPM1 and MYOM2 and promotes diacetylmorphine-induced abnormal cardiac rhythms.

Applications

Unspecified application

Species

Unspecified reactive species

Min Ji,Liping Su,Li Liu,Mengjie Zhuang,Jinling Xiao,Yaling Guan,Sensen Zhu,Lijuan Ma,Hongwei Pu

The Journal of biological chemistry 299:102777 PubMed36496072

2022

Calmodulin variant E140G associated with long QT syndrome impairs CaMKIIδ autophosphorylation and L-type calcium channel inactivation.

Applications

Unspecified application

Species

Unspecified reactive species

Ohm Prakash,Nitika Gupta,Amy Milburn,Liam McCormick,Vishvangi Deugi,Pauline Fisch,Jacob Wyles,N Lowri Thomas,Svetlana Antonyuk,Caroline Dart,Nordine Helassa

Aging 14:5097-5115 PubMed35724265

2022

Calreticulin nuclear translocalization alleviates CaM/CaMKII/CREB signaling pathway to enhance chemosensitivity in HDAC inhibitor-resistant hepatocellular carcinoma cells.

Applications

Unspecified application

Species

Unspecified reactive species

Yi-Sheng Liu,Yu-Chun Chang,Wei-Wen Kuo,Ming-Cheng Chen,Tso-Fu Wang,Tung-Sheng Chen,Yueh-Min Lin,Chi-Cheng Li,Po-Hsiang Liao,Chih-Yang Huang
View all publications

Product promise

We are committed to supporting your work with high-quality reagents, and we're here for you every step of the way. In the unlikely event that one of our products does not perform as expected, you're protected by our Product Promise.
For full details, please see our Terms & Conditions

Please note: All products are 'FOR RESEARCH USE ONLY. NOT FOR USE IN DIAGNOSTIC OR THERAPEUTIC PROCEDURES'.

For licensing inquiries, please contact partnerships@abcam.com