JavaScript is disabled in your browser. Please enable JavaScript to view this website.
AB68234

Anti-CaMKI antibody [EPR2217Y]

5

(4 Reviews)

|

(17 Publications)

Rabbit Recombinant Monoclonal CaMKI antibody. Suitable for IHC-P, WB and reacts with Human, Mouse, Rat samples. Cited in 17 publications.

View Alternative Names

Calcium/calmodulin-dependent protein kinase type 1, CaM kinase I, CaM kinase I alpha, CaM-KI, CaMKI-alpha, CAMK1

4 Images
Immunohistochemistry (Formalin/PFA-fixed paraffin-embedded sections) - Anti-CaMKI antibody [EPR2217Y] (AB68234)
  • IHC-P

Supplier Data

Immunohistochemistry (Formalin/PFA-fixed paraffin-embedded sections) - Anti-CaMKI antibody [EPR2217Y] (AB68234)

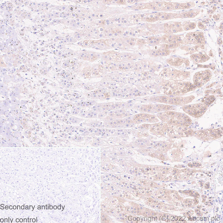
Immunohistochemical analysis of Paraffin-embedded Human adrenal gland tissue labelling CaMKI with ab68234 at 1/500 dilution, followed by ready to use secondary antibody Goat Anti-Rabbit IgG H&L (HRP polymer). Positive staining on the zona glomerulosa of human adrenal glands. The section was incubated with ab68234 at +4°C overnight. Counter stained with Hematoxylin.

Immunohistochemistry (Formalin/PFA-fixed paraffin-embedded sections) - Anti-CaMKI antibody [EPR2217Y] (AB68234)
  • IHC-P

Unknown

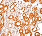
Immunohistochemistry (Formalin/PFA-fixed paraffin-embedded sections) - Anti-CaMKI antibody [EPR2217Y] (AB68234)

ab68234 at 1/100-1/250 dilution staining CaMKI in human kidney tissue sections.

Perform heat mediated antigen retrieval with citrate buffer pH 6 before commencing with IHC staining protocol.

Western blot - Anti-CaMKI antibody [EPR2217Y] (AB68234)
  • WB

Lab

Western blot - Anti-CaMKI antibody [EPR2217Y] (AB68234)

Exposure time : Lane 1 & 3, 4, 5 : 5 seconds. Lane 2 & 6:20 seconds

Blocking and diluting buffer : 5% NFDM /TBST

All lanes:

Western blot - Anti-CaMKI antibody [EPR2217Y] (ab68234) at 1/1000 dilution

Lane 1:

HEK-293 (Human embryonic kidney epithelial cell) whole cell lysate at 40 µg

Lane 2:

Human brain tissue lysate at 40 µg

Lane 3:

Mouse brain tissue lysate at 40 µg

Lane 4:

NIH/3T3 (Mouse embryonic fibroblast) at 40 µg

Lane 5:

Rat brain tissue lysate at 40 µg

Lane 6:

PC-12 (Rat adrenal gland pheochromocytoma) whole cell lysate at 40 µg

Secondary

All lanes:

Goat Anti-Rabbit IgG (HRP) with minimal cross-reactivity with human IgG at 1/2000 dilution

Predicted band size: 41 kDa

Observed band size: 41 kDa

false

Western blot - Anti-CaMKI antibody [EPR2217Y] (AB68234)
  • WB

Unknown

Western blot - Anti-CaMKI antibody [EPR2217Y] (AB68234)

All lanes:

Western blot - Anti-CaMKI antibody [EPR2217Y] (ab68234) at 1/5000 dilution

Lane 1:

SH-SY5Y lysate at 10 µg

Lane 2:

human brain tissue lysate at 10 µg

Lane 3:

mouse brain tissue lysate at 10 µg

Lane 4:

rat brain tissue lysate at 10 µg

Secondary

All lanes:

HRP labelled goat anti-rabbit at 1/2000 dilution

Predicted band size: 41 kDa

Observed band size: 41 kDa

false

  • Carrier free

    Anti-CaMKI antibody [EPR2217Y] - BSA and Azide free

Key facts

Host species

Rabbit

Clonality

Monoclonal

Clone number

EPR2217Y

Isotype

IgG

Carrier free

No

Reacts with

Mouse, Rat, Human

Applications

IHC-P, WB

applications

Immunogen

The exact immunogen used to generate this antibody is proprietary information.

Reactivity data

{ "title": "Reactivity Data", "filters": { "stats": ["", "Species", "Dilution Info", "Notes"], "tabs": { "all-applications": {"fullname" : "All Applications", "shortname": "All Applications"}, "IHCP" : {"fullname" : "Immunohistochemistry (Formalin/PFA-fixed paraffin-embedded sections)", "shortname":"IHC-P"}, "IP" : {"fullname" : "Immunoprecipitation", "shortname":"IP"}, "FlowCyt" : {"fullname" : "Flow Cytometry", "shortname":"Flow Cyt"}, "WB" : {"fullname" : "Western blot", "shortname":"WB"} }, "product-promise": { "all": "all", "testedAndGuaranteed": "tested", "guaranteed": "expected", "predicted": "predicted", "notRecommended": "not-recommended" } }, "values": { "Human": { "IHCP-species-checked": "testedAndGuaranteed", "IHCP-species-dilution-info": "1/100 - 1/250", "IHCP-species-notes": "<p></p> Perform heat-mediated antigen retrieval with citrate buffer pH 6 before commencing with IHC staining protocol.", "IP-species-checked": "notRecommended", "IP-species-dilution-info": "", "IP-species-notes": "<p></p>", "FlowCyt-species-checked": "notRecommended", "FlowCyt-species-dilution-info": "", "FlowCyt-species-notes": "<p></p>", "WB-species-checked": "testedAndGuaranteed", "WB-species-dilution-info": "1/5000 - 1/10000", "WB-species-notes": "<p></p>" }, "Mouse": { "IHCP-species-checked": "guaranteed", "IHCP-species-dilution-info": "", "IHCP-species-notes": "", "IP-species-checked": "notRecommended", "IP-species-dilution-info": "", "IP-species-notes": "<p></p>", "FlowCyt-species-checked": "notRecommended", "FlowCyt-species-dilution-info": "", "FlowCyt-species-notes": "<p></p>", "WB-species-checked": "testedAndGuaranteed", "WB-species-dilution-info": "1/5000 - 1/10000", "WB-species-notes": "<p></p>" }, "Rat": { "IHCP-species-checked": "guaranteed", "IHCP-species-dilution-info": "", "IHCP-species-notes": "", "IP-species-checked": "notRecommended", "IP-species-dilution-info": "", "IP-species-notes": "<p></p>", "FlowCyt-species-checked": "notRecommended", "FlowCyt-species-dilution-info": "", "FlowCyt-species-notes": "<p></p>", "WB-species-checked": "testedAndGuaranteed", "WB-species-dilution-info": "1/5000 - 1/10000", "WB-species-notes": "<p></p>" } } }

Product details

Patented technology
Our RabMAb® technology is a patented hybridoma-based technology for making rabbit monoclonal antibodies. For details on our patents, please refer to RabMAb® patents.

What are the advantages of a recombinant monoclonal antibody?
This product is a recombinant monoclonal antibody, which offers several advantages including:

  • - High batch-to-batch consistency and reproducibility
  • - Improved sensitivity and specificity
  • - Long-term security of supply
  • - Animal-free batch production

For more information, read more on recombinant antibodies.

Properties and storage information

Form
Liquid
Purification technique
Affinity purification Protein A
Storage buffer
pH: 7.2 - 7.4 Preservative: 0.01% Sodium azide Constituents: PBS, 40% Glycerol (glycerin, glycerine), 0.05% BSA
Shipped at conditions
Blue Ice
Appropriate short-term storage conditions
+4°C
Appropriate long-term storage conditions
-20°C
Aliquoting information
Upon delivery aliquot
Storage information
Avoid freeze / thaw cycle

Supplementary information

This supplementary information is collated from multiple sources and compiled automatically.

CaMKI also known as Calcium/Calmodulin-dependent protein kinase I is a serine/threonine-specific protein kinase with an approximate molecular mass of 42 to 58 kDa depending on the isoform. It plays an important mechanical role in converting calcium signals to cellular responses through phosphorylation of various substrates. This protein is ubiquitously expressed across different tissues including brain muscle and liver where it participates in diverse cellular processes.
Biological function summary

CaMKI functions as an essential mediator within the calcium/calmodulin-dependent protein kinase family. It modifies cellular activities by phosphorylating a range of downstream targets. Although CaMKI acts separately it associates with other family members like CaMKII sharing similar biochemical responses. In neurons it influences processes like synaptic plasticity and neurotransmitter release which are vital for learning and memory.

Pathways

It interacts within the calcium-signaling pathway and the MAPK/ERK pathway. Through calcium signaling CaMKI modulates gene transcription and apoptosis often working alongside other kinases like CaMKIV. In the MAPK/ERK pathway it plays a role in regulating cellular proliferation and differentiation ensuring proper cellular responses to external stimuli.

Alterations in CaMKI activity have links to neurological and cardiovascular conditions. Dysregulation of CaMKI especially in its interaction with proteins such as synapsin I is connected to cognitive impairments like those seen in neurodegenerative diseases. Moreover its involvement in heart tissue relates it to cardiac hypertrophy where inappropriate signaling can impact heart function.

Product protocols

For this product, it's our understanding that no specific protocols are required. You can visit:

Target data

Calcium/calmodulin-dependent protein kinase that operates in the calcium-triggered CaMKK-CaMK1 signaling cascade and, upon calcium influx, regulates transcription activators activity, cell cycle, hormone production, cell differentiation, actin filament organization and neurite outgrowth. Recognizes the substrate consensus sequence [MVLIF]-x-R-x(2)-[ST]-x(3)-[MVLIF]. Regulates axonal extension and growth cone motility in hippocampal and cerebellar nerve cells. Upon NMDA receptor-mediated Ca(2+) elevation, promotes dendritic growth in hippocampal neurons and is essential in synapses for full long-term potentiation (LTP) and ERK2-dependent translational activation. Downstream of NMDA receptors, promotes the formation of spines and synapses in hippocampal neurons by phosphorylating ARHGEF7/BETAPIX on 'Ser-694', which results in the enhancement of ARHGEF7 activity and activation of RAC1. Promotes neuronal differentiation and neurite outgrowth by activation and phosphorylation of MARK2 on 'Ser-91', 'Ser-92', 'Ser-93' and 'Ser-294'. Promotes nuclear export of HDAC5 and binding to 14-3-3 by phosphorylation of 'Ser-259' and 'Ser-498' in the regulation of muscle cell differentiation. Regulates NUMB-mediated endocytosis by phosphorylation of NUMB on 'Ser-276' and 'Ser-295'. Involved in the regulation of basal and estrogen-stimulated migration of medulloblastoma cells through ARHGEF7/BETAPIX phosphorylation (By similarity). Is required for proper activation of cyclin-D1/CDK4 complex during G1 progression in diploid fibroblasts. Plays a role in K(+) and ANG2-mediated regulation of the aldosterone synthase (CYP11B2) to produce aldosterone in the adrenal cortex. Phosphorylates EIF4G3/eIF4GII. In vitro phosphorylates CREB1, ATF1, CFTR, MYL9 and SYN1/synapsin I.
See full target information CAMK1

Publications (17)

Recent publications for all applications. Explore the full list and refine your search

Poultry science 104:104636 PubMed39721265

2024

Antibiotics/coccidiostat exposure induces gut-brain axis remodeling for Akt/mTOR activation and BDNF-mediated neuroprotection in APEC-infected turkeys.

Applications

Unspecified application

Species

Unspecified reactive species

Przemysław Sołek,Anna Stępniowska,Oliwia Koszła,Jan Jankowski,Katarzyna Ognik

Cell communication and signaling : CCS 22:485 PubMed39390438

2024

Loss of mitochondrial Ca response and CaMKII/ERK activation by LRRK2 mutation correlate with impaired depolarization-induced mitophagy.

Applications

Unspecified application

Species

Unspecified reactive species

Eunice Eun-Seo Chang,Huifang Liu,Zoe Yuen-Kiu Choi,Yasine Malki,Steffi Xi-Yue Zhang,Shirley Yin-Yu Pang,Michelle Hiu-Wai Kung,David B Ramsden,Shu-Leong Ho,Philip Wing-Lok Ho

Translational neuroscience 15:20220341 PubMed38736723

2024

Suanzaoren decoction exerts its antidepressant effect via the CaMK signaling pathway.

Applications

Unspecified application

Species

Unspecified reactive species

Xiaofang Zhang,Jiyuan Guo,Ce Zhang,Wenhua Wang,Shuailin Du,Xusheng Tian

Communications biology 5:124 PubMed35145192

2022

Pitavastatin activates mitophagy to protect EPC proliferation through a calcium-dependent CAMK1-PINK1 pathway in atherosclerotic mice.

Applications

Unspecified application

Species

Unspecified reactive species

Jie Yang,Mengjia Sun,Ran Cheng,Hu Tan,Chuan Liu,Renzheng Chen,Jihang Zhang,Yuanqi Yang,Xubin Gao,Lan Huang

Folia neuropathologica 59:50-66 PubMed33969677

2021

Inhibition of ASC enhances the protective role of salvianolic acid A in traumatic brain injury via inhibition of inflammation and recovery of mitochondrial function.

Applications

Unspecified application

Species

Unspecified reactive species

Jing Wang,Chao Xu,Kunhu Zhang,Jianjun Shi,Zhenyang Liu,Xinxing Wang,Min Guo,Jiannan Lv,Xinmin Ding

Journal of cellular and molecular medicine 25:1198-1206 PubMed33342045

2020

Expression of CAMK1 and its association with clinicopathologic characteristics in pancreatic cancer.

Applications

Unspecified application

Species

Unspecified reactive species

Yangyang Lei,Tianzhu Yu,Changyu Li,Jianke Li,Yicheng Liang,Xinyuan Wang,Yi Chen,Xiaolin Wang

Frontiers in behavioral neuroscience 14:563698 PubMed33343309

2020

Mechanisms Underlying the Antidepressant Effect of Acupuncture the CaMK Signaling Pathway.

Applications

Unspecified application

Species

Unspecified reactive species

Lu Bai,Di Zhang,Tao-Tao Cui,Ji-Fei Li,Yang-Yang Gao,Nan-Yi Wang,Peng-Li Jia,Hui-Yuan Zhang,Zhong-Ren Sun,Wei Zou,Long Wang

Neuroscience research 162:52-62 PubMed31891740

2020

The low levels of nerve growth factor and its upstream regulatory kinases in prion infection is reversed by resveratrol.

Applications

Unspecified application

Species

Unspecified reactive species

Chao Hu,Cao Chen,Jia Chen,Kang Xiao,Jing Wang,Qi Shi,Yue Ma,Li-Ping Gao,Yue-Zhang Wu,Lian Liu,Ying Xia,Pu Yan,Adalaiti Maimaitiming,Dong-Hua Zhou,Li-Na Zhang,Zhi-Bao Chen,Xiao-Ping Dong

Nature communications 10:5630 PubMed31822666

2019

TRPML1 links lysosomal calcium to autophagosome biogenesis through the activation of the CaMKKβ/VPS34 pathway.

Applications

Unspecified application

Species

Unspecified reactive species

A Scotto Rosato,S Montefusco,C Soldati,S Di Paola,A Capuozzo,J Monfregola,E Polishchuk,A Amabile,C Grimm,A Lombardo,M A De Matteis,A Ballabio,D L Medina

Cell metabolism 30:508-524.e12 PubMed31204282

2019

Transient Receptor Potential V Channels Are Essential for Glucose Sensing by Aldolase and AMPK.

Applications

Unspecified application

Species

Unspecified reactive species

Mengqi Li,Chen-Song Zhang,Yue Zong,Jin-Wei Feng,Teng Ma,Meiqin Hu,Zhizhong Lin,Xiaotong Li,Changchuan Xie,Yaying Wu,Dong Jiang,Ying Li,Cixiong Zhang,Xiao Tian,Wen Wang,Yanyan Yang,Jie Chen,Jiwen Cui,Yu-Qing Wu,Xin Chen,Qing-Feng Liu,Jianfeng Wu,Shu-Yong Lin,Zhiyun Ye,Ying Liu,Hai-Long Piao,Li Yu,Zhuan Zhou,Xiao-Song Xie,D Grahame Hardie,Sheng-Cai Lin
View all publications

Product promise

We are committed to supporting your work with high-quality reagents, and we're here for you every step of the way. In the unlikely event that one of our products does not perform as expected, you're protected by our Product Promise.
For full details, please see our Terms & Conditions

Please note: All products are 'FOR RESEARCH USE ONLY. NOT FOR USE IN DIAGNOSTIC OR THERAPEUTIC PROCEDURES'.

For licensing inquiries, please contact partnerships@abcam.com