JavaScript is disabled in your browser. Please enable JavaScript to view this website.
AB187488

Anti-CaMKII alpha antibody [6G9] - BSA and Azide free

5

(1 Review)

|

(0 Publication)

Mouse Monoclonal KCC2A antibody. Carrier free. Suitable for WB, IHC-P, IHC-Fr and reacts with Mouse, Rat, Human samples.

View Alternative Names

CAMKA, KIAA0968, CAMK2A, Calcium/calmodulin-dependent protein kinase type II subunit alpha, CaM kinase II subunit alpha, CaMK-II subunit alpha

3 Images
Immunohistochemistry (Formalin/PFA-fixed paraffin-embedded sections) - Anti-CaMKII alpha antibody [6G9] - BSA and Azide free (AB187488)
  • IHC-P

Supplier Data

Immunohistochemistry (Formalin/PFA-fixed paraffin-embedded sections) - Anti-CaMKII alpha antibody [6G9] - BSA and Azide free (AB187488)

This data was developed using ab22609, the same antibody clone in a different buffer formulation.

IHC image of ab22609 staining in Rat normal brain (Purkinje cells, cerebellum) formalin fixed paraffin embedded tissue section, performed on a Leica BondTM system using the standard protocol F. The section was pre-treated using heat mediated antigen retrieval with sodium citrate buffer (pH6, epitope retrieval solution 1) for 20 mins. The section was then incubated with ab22609, 1μg/ml, for 15 mins at room temperature and detected using an HRP conjugated compact polymer system. DAB was used as the chromogen. The section was then counterstained with haematoxylin and mounted with DPX.

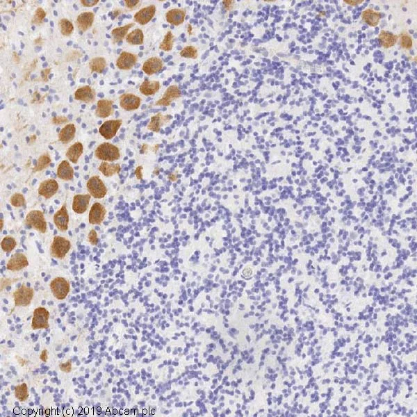
Immunohistochemistry (Frozen sections) - Anti-CaMKII alpha antibody [6G9] - BSA and Azide free (AB187488)
  • IHC-Fr

Lab

Immunohistochemistry (Frozen sections) - Anti-CaMKII alpha antibody [6G9] - BSA and Azide free (AB187488)

This data was developed using ab22609, the same antibody clone in a different buffer formulation.

IHC image of CaMKII alpha staining in a section of frozen normal rat brain performed on a Leica BOND™ system using the standard protocol. The section was fixed in 10% paraformaldehyde (10 min) prior to staining. The section was incubated with ab22609, 1 µg/mL, for 15 mins at room temperature and detected using an HRP conjugated compact polymer system. DAB was used as the chromogen. The section was then counterstained with haematoxylin and mounted with DPX. The inset secondary-only control image is taken from an identical assay without primary antibody.

For other IHC staining systems (automated and non-automated) customers should optimize variable parameters such as antigen retrieval conditions, primary antibody concentration and antibody incubation times.

Western blot - Anti-CaMKII alpha antibody [6G9] - BSA and Azide free (AB187488)
  • WB

Lab

Western blot - Anti-CaMKII alpha antibody [6G9] - BSA and Azide free (AB187488)

This data was developed using ab22609, the same antibody clone in a different buffer formulation.

All lanes:

Western blot - Anti-CaMKII alpha antibody [6G9] (<a href='/en-us/products/primary-antibodies/camkii-alpha-antibody-6g9-ab22609'>ab22609</a>) at 10 µg/mL

Lane 1:

Brain (Rat) Tissue Lysate at 20 µg

Lane 2:

Brain (Mouse) Tissue Lysate at 20 µg

Lane 3:

Brain (Human) Tissue Lysate at 20 µg

Secondary

All lanes:

Goat polyclonal to Mouse IgG - H&L - Pre-Adsorbed (HRP) at 1/5000 dilution

Predicted band size: 54 kDa

Observed band size: 100 kDa,50 kDa,65 kDa,70 kDa

false

Exposure time: 5min

  • 519 Alexa Fluor® 488

    Alexa Fluor® 488 Anti-CaMKII alpha antibody [6G9]

  • HRP

    HRP Anti-CaMKII alpha antibody [6G9]

Key facts

Host species

Mouse

Clonality

Monoclonal

Clone number

6G9

Isotype

IgG1

Carrier free

Yes

Reacts with

Mouse, Rat, Human

Applications

IHC-Fr, WB, IHC-P

applications

Immunogen

The exact immunogen used to generate this antibody is proprietary information.

Reactivity data

{ "title": "Reactivity Data", "filters": { "stats": ["", "Species", "Dilution Info", "Notes"], "tabs": { "all-applications": {"fullname" : "All Applications", "shortname": "All Applications"}, "WB" : {"fullname" : "Western blot", "shortname":"WB"}, "IHCP" : {"fullname" : "Immunohistochemistry (Formalin/PFA-fixed paraffin-embedded sections)", "shortname":"IHC-P"}, "IHCFr" : {"fullname" : "Immunohistochemistry (Frozen sections)", "shortname":"IHC-Fr"} }, "product-promise": { "all": "all", "testedAndGuaranteed": "tested", "guaranteed": "expected", "predicted": "predicted", "notRecommended": "not-recommended" } }, "values": { "Human": { "WB-species-checked": "testedAndGuaranteed", "WB-species-dilution-info": "1/5000", "WB-species-notes": "<p></p>", "IHCP-species-checked": "guaranteed", "IHCP-species-dilution-info": "", "IHCP-species-notes": "<p></p>", "IHCFr-species-checked": "guaranteed", "IHCFr-species-dilution-info": "", "IHCFr-species-notes": "" }, "Mouse": { "WB-species-checked": "testedAndGuaranteed", "WB-species-dilution-info": "1/5000", "WB-species-notes": "<p></p>", "IHCP-species-checked": "guaranteed", "IHCP-species-dilution-info": "", "IHCP-species-notes": "<p></p>", "IHCFr-species-checked": "guaranteed", "IHCFr-species-dilution-info": "", "IHCFr-species-notes": "" }, "Rat": { "WB-species-checked": "testedAndGuaranteed", "WB-species-dilution-info": "1/5000", "WB-species-notes": "<p></p>", "IHCP-species-checked": "testedAndGuaranteed", "IHCP-species-dilution-info": "", "IHCP-species-notes": "<p></p>", "IHCFr-species-checked": "testedAndGuaranteed", "IHCFr-species-dilution-info": "", "IHCFr-species-notes": "<p></p>" }, "Cow": { "WB-species-checked": "predicted", "WB-species-dilution-info": "", "WB-species-notes": "", "IHCP-species-checked": "predicted", "IHCP-species-dilution-info": "", "IHCP-species-notes": "", "IHCFr-species-checked": "predicted", "IHCFr-species-dilution-info": "", "IHCFr-species-notes": "" } } }

Product details

ab187488 is the carrier-free version of ab22609.

Conjugation ready
Our carrier-free antibodies are typically supplied in a PBS-only formulation, purified and free of BSA, sodium azide and glycerol. This conjugation-ready format is designed for use with fluorochromes, metal isotopes, oligonucleotides, and enzymes, which makes them ideal for antibody labelling, functional and cell-based assays, flow-based assays (e.g. mass cytometry) and Multiplex Imaging applications.

Use our conjugation kits for antibody conjugates that are ready-to-use in as little as 20 minutes with 1 minute hands-on-time and 100% antibody recovery: available for fluorescent dyes, HRP, biotin and gold.

Compatibility
This product is compatible with the Maxpar® Antibody Labeling Kit from Fluidigm, without the need for antibody preparation. Maxpar® is a trademark of Fluidigm Canada Inc.

Properties and storage information

Form
Liquid
Purity
IgG fraction
Storage buffer
Constituents: PBS
Shipped at conditions
Blue Ice
Appropriate short-term storage conditions
+4°C
Appropriate long-term storage conditions
+4°C
Storage information
Do Not Freeze

Supplementary information

This supplementary information is collated from multiple sources and compiled automatically.

CaMKII alpha also known as CAMK2A is an enzyme belonging to the CaMK kinase family. This protein is a calcium/calmodulin-dependent protein kinase and exhibits a molecular weight of approximately 50 to 60 kDa. CaMKII alpha is primarily expressed in the brain specifically in the hippocampus and other regions involved in synaptic activity. Due to its role as a serine/threonine kinase CaMKII alpha is significant in phosphorylating various substrates as part of cellular signaling.
Biological function summary

CaMKII alpha plays an important role in synaptic plasticity a process vital for learning and memory. The protein acts as an important component of the postsynaptic density complex where it interacts with other proteins to regulate synaptic strength. When calcium levels rise CaMKII alpha is activated through phosphorylation altering its conformation and allowing interactions with downstream substrates. This regulatory mechanism highlights its role in modulating neurotransmission synaptic potentiation and memory consolidation.

Pathways

CaMKII alpha functions within the calcium signaling pathway contributing to long-term potentiation (LTP) and long-term depression (LTD). It interacts with proteins such as NMDA receptors to facilitate changes in synaptic strength alongside other kinases. This pathway's activation leads to memory formation and synaptic plasticity in the central nervous system. Additionally CaMKII alpha connects with the MAPK signaling pathway integrating signals from various neurotransmitter systems which help coordinate neuronal response to stimuli.

Alterations in CaMKII alpha have been linked to neurological conditions such as Alzheimer's disease and schizophrenia. In Alzheimer's discourse in CaMKII alpha phosphorylation correlates with impaired memory and cognitive function. The protein also interfaces with tau another key protein related to neurofibrillary tangles in Alzheimer's. In schizophrenia abnormalities in CaMKII alpha expression and activity suggest its role in synaptic dysfunction and neurodevelopmental irregularities. Targeting CaMKII alpha may provide therapeutic opportunities for managing these and related neurological disorders.

Product protocols

For this product, it's our understanding that no specific protocols are required. You can visit:

Target data

Calcium/calmodulin-dependent protein kinase that functions autonomously after Ca(2+)/calmodulin-binding and autophosphorylation, and is involved in various processes, such as synaptic plasticity, neurotransmitter release and long-term potentiation (PubMed : 14722083). Member of the NMDAR signaling complex in excitatory synapses, it regulates NMDAR-dependent potentiation of the AMPAR and therefore excitatory synaptic transmission (By similarity). Regulates dendritic spine development (PubMed : 28130356). Also regulates the migration of developing neurons (PubMed : 29100089). Phosphorylates the transcription factor FOXO3 to activate its transcriptional activity (PubMed : 23805378). Phosphorylates the transcription factor ETS1 in response to calcium signaling, thereby decreasing ETS1 affinity for DNA (By similarity). In response to interferon-gamma (IFN-gamma) stimulation, catalyzes phosphorylation of STAT1, stimulating the JAK-STAT signaling pathway (PubMed : 11972023). In response to interferon-beta (IFN-beta) stimulation, stimulates the JAK-STAT signaling pathway (PubMed : 35568036). Acts as a negative regulator of 2-arachidonoylglycerol (2-AG)-mediated synaptic signaling via modulation of DAGLA activity (By similarity).
See full target information CAMK2A

Product promise

We are committed to supporting your work with high-quality reagents, and we're here for you every step of the way. In the unlikely event that one of our products does not perform as expected, you're protected by our Product Promise.
For full details, please see our Terms & Conditions

Please note: All products are 'FOR RESEARCH USE ONLY. NOT FOR USE IN DIAGNOSTIC OR THERAPEUTIC PROCEDURES'.

For licensing inquiries, please contact partnerships@abcam.com