JavaScript is disabled in your browser. Please enable JavaScript to view this website.
AB124880

Anti-CaMKII alpha (phospho T286) antibody [EPR1830]

5

(1 Review)

|

(19 Publications)

Rabbit Recombinant Monoclonal KCC2A phospho T286 antibody. Suitable for WB, IHC-P and reacts with Rat, Mouse samples. Cited in 19 publications.

View Alternative Names

CAMKA, KIAA0968, CAMK2A, Calcium/calmodulin-dependent protein kinase type II subunit alpha, CaM kinase II subunit alpha, CaMK-II subunit alpha

6 Images
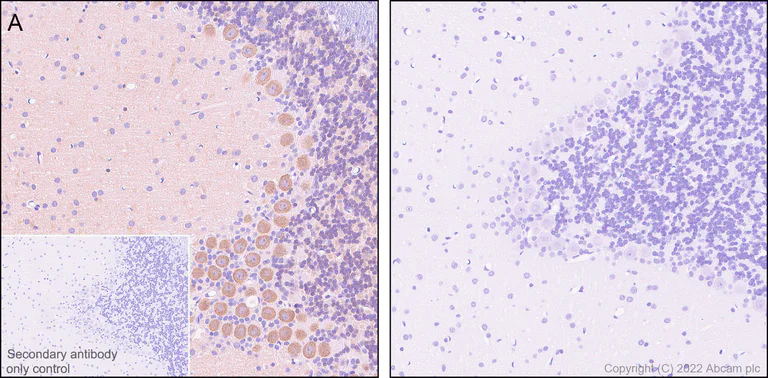
Immunohistochemistry (Formalin/PFA-fixed paraffin-embedded sections) - Anti-CaMKII alpha (phospho T286) antibody [EPR1830] (AB124880)
  • IHC-P

Lab

Immunohistochemistry (Formalin/PFA-fixed paraffin-embedded sections) - Anti-CaMKII alpha (phospho T286) antibody [EPR1830] (AB124880)

Immunohistochemical analysis of Paraffin-embedded sections Mouse Cerebellum tissue labelling CaMKII (pT286) with ab124880 at 1/5000 dilution, followed by Rabbit specific IHC polymer detection kit HRP/DAB (ab209101) at Ready to use dilution. Mouse cerebellum without Lambda Protein Phosphatase treatment staining on Mouse Cerebellum is observed. Counterstained with Hematoxylin.

Secondary antibody only control : Used PBS instead of primary antibody, secondary antibody is Rabbit specific IHC polymer detection kit HRP/DAB (ab209101) at Ready to use dilution.

Positive staining on mouse cerebellum without Lambda Protein Phosphatase treatment (image A); No signal was detected when tissues were treated with Lambda Protein Phosphatase (image B).

The section was incubated with ab124880 for 30 mins at room temperature.

The immunostaining was performed on a Leica Biosystems BOND® RX instrument.

Heat mediated antigen retrieval with Citrate buffer (pH 6.0, Epitope Retrieval Solution 1) for 20 mins.

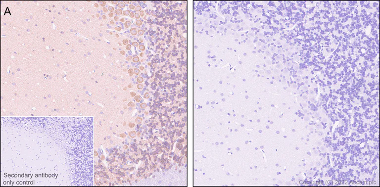
Immunohistochemistry (Formalin/PFA-fixed paraffin-embedded sections) - Anti-CaMKII alpha (phospho T286) antibody [EPR1830] (AB124880)
  • IHC-P

Lab

Immunohistochemistry (Formalin/PFA-fixed paraffin-embedded sections) - Anti-CaMKII alpha (phospho T286) antibody [EPR1830] (AB124880)

Immunohistochemical analysis of Paraffin-embedded sections Rat Cerebellum tissue labelling CaMKII (pT286) with ab124880 at 1/5000 dilution, followed by Rabbit specific IHC polymer detection kit HRP/DAB (ab209101)(Ready to use). Rat cerebellum without Lambda Protein Phosphatase treatment staining on Rat Cerebellum is observed. Counterstained with Hematoxylin. Secondary antibody only control : Used PBS instead of primary antibody, secondary antibody is Rabbit specific IHC polymer detection kit HRP/DAB (ab209101)(Ready to use). Positive staining on rat cerebellum without Lambda Protein Phosphatase treatment (image A); No signal was detected when tissues were treated with Lambda Protein Phosphatase (image B). The section was incubated with ab124880 for 30 mins at room temperature. The immunostaining was performed on a Leica Biosystems BOND® RX instrument. Heat mediated antigen retrieval with Citrate buffer (pH 6.0, Epitope Retrieval Solution 1) for 20 mins.

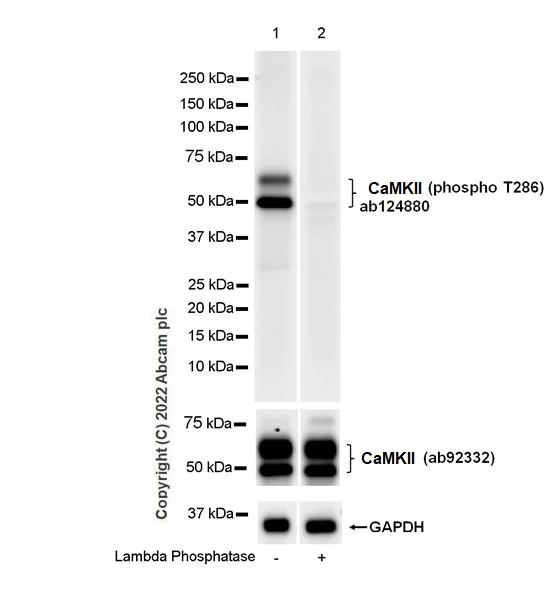
Western blot - Anti-CaMKII alpha (phospho T286) antibody [EPR1830] (AB124880)
  • WB

Lab

Western blot - Anti-CaMKII alpha (phospho T286) antibody [EPR1830] (AB124880)

Blocking and diluting buffer and concentration : 5% NFDM/TBST

All lanes:

Western blot - Anti-CaMKII alpha (phospho T286) antibody [EPR1830] (ab124880) at 1/4000 dilution

Lane 1:

Rat brain tissue lysate (untreated membrane) at 20 µg

Lane 2:

Rat brain tissue lysate (Lambda phosphatase treated membrane) at 20 µg

Secondary

All lanes:

Western blot - Goat Anti-Rabbit IgG H&L (HRP) (<a href='/en-us/products/secondary-antibodies/goat-rabbit-igg-h-l-hrp-ab97051'>ab97051</a>) at 1/100000 dilution

Observed band size: 50 kDa,54 kDa

false

Exposure time: 92s

Western blot - Anti-CaMKII alpha (phospho T286) antibody [EPR1830] (AB124880)
  • WB

Lab

Western blot - Anti-CaMKII alpha (phospho T286) antibody [EPR1830] (AB124880)

Blocking and diluting buffer and concentration : 5% NFDM/TBST.

All lanes:

Western blot - Anti-CaMKII alpha (phospho T286) antibody [EPR1830] (ab124880) at 1/4000 dilution

Lane 1:

Mouse brain tissue lysate (untreated membrane) at 20 µg

Lane 2:

Mouse brain tissue lysate (Lambda phosphatase treated membrane) at 20 µg

Secondary

All lanes:

Western blot - Goat Anti-Rabbit IgG H&L (HRP) (<a href='/en-us/products/secondary-antibodies/goat-rabbit-igg-h-l-hrp-ab97051'>ab97051</a>) at 1/100000 dilution

Predicted band size: 54 kDa

false

Exposure time: 15s

Western blot - Anti-CaMKII alpha (phospho T286) antibody [EPR1830] (AB124880)
  • WB

Lab

Western blot - Anti-CaMKII alpha (phospho T286) antibody [EPR1830] (AB124880)

Blocking and diluting buffer and concentration : 5% NFDM/TBST

Lane 1:

Anti-LMAN2 antibody (ab213529) at 0.25 µg/mL

Lanes 1 - 2:

Western blot - Anti-CaMKII alpha (phospho T286) antibody [EPR1830] (ab124880) at 1/4000 dilution

Lanes 1 - 2:

Western blot - Anti-CaMKII alpha + CaMKII beta (phospho T286) antibody [EPR1830] - BSA and Azide free (<a href='/en-us/products/primary-antibodies/camkii-alpha-phospho-t286-antibody-epr1830-bsa-and-azide-free-ab248035'>ab248035</a>) at 1/4000 dilution

Lanes 2 - 3:

Anti-LMAN2 antibody (ab213529) at 0.5 µg/mL

Lanes 1 - 2:

Whole extract of HEK-293T cells overexpressing Human LMAN2

Lane 1:

Mouse brain tissue lysate (untreated membrane) at 20 µg

Lane 2:

Mouse brain tissue lysate (Lambda phosphatase treated membrane) at 20 µg

Lane 3:

Whole extract of HEK-293T cells overexpressing Human LMAN2 with LMAN2 immunizing peptide

Secondary

Lanes 1 - 3:

Goat Anti-Rabbit IgG-Peroxidase

Lanes 1 - 2:

Western blot - Goat Anti-Rabbit IgG H&L (HRP) (<a href='/en-us/products/secondary-antibodies/goat-rabbit-igg-h-l-hrp-ab97051'>ab97051</a>) at 1/100000 dilution

false

OI-RD Scanning - Anti-CaMKII alpha (phospho T286) antibody [EPR1830] (AB124880)
  • OI-RD Scanning

Unknown

OI-RD Scanning - Anti-CaMKII alpha (phospho T286) antibody [EPR1830] (AB124880)

We have systematically measured KD (the equilibrium dissociation constant between the antibody and its antigen), of more than 840 recombinant antibodies to assess not only their individual KD values but also to see the average affinity of antibody. Based on the comparison with published literature values for mouse monoclonal antibodies, Recombinant antibodies appear to be on average 1-2 order of magnitude higher affinity.

  • Carrier free

    Anti-CaMKII alpha (phospho T286) antibody [EPR1830] - BSA and Azide free

  • 660 APC

    APC Anti-CaMKII alpha (phospho T286) antibody [EPR1830]

  • 565 Alexa Fluor® 555

    Alexa Fluor® 555 Anti-CaMKII alpha (phospho T286) antibody [EPR1830]

  • 617 Alexa Fluor® 594

    Alexa Fluor® 594 Anti-CaMKII alpha (phospho T286) antibody [EPR1830]

  • 519 Alexa Fluor® 488

    Alexa Fluor® 488 Anti-CaMKII alpha (phospho T286) antibody [EPR1830]

  • 665 Alexa Fluor® 647

    Alexa Fluor® 647 Anti-CaMKII alpha (phospho T286) antibody [EPR1830]

  • 578 PE

    PE Anti-CaMKII alpha (phospho T286) antibody [EPR1830]

  • 775 Alexa Fluor® 750

    Alexa Fluor® 750 Anti-CaMKII alpha (phospho T286) antibody [EPR1830]

Key facts

Host species

Rabbit

Clonality

Monoclonal

Clone number

EPR1830

Isotype

IgG

Carrier free

No

Reacts with

Mouse, Rat

Applications

WB, IHC-P

applications

Immunogen

The exact immunogen used to generate this antibody is proprietary information.

Specificity

Due to the homology between the immunogen peptide and other CAMKII isoforms, this antibody may cross react with CAMKII delta (KCC2D, 93% homology) and CAMKII gamma (KCC2G, 79% homology)

Reactivity data

{ "title": "Reactivity Data", "filters": { "stats": ["", "Species", "Dilution Info", "Notes"], "tabs": { "all-applications": {"fullname" : "All Applications", "shortname": "All Applications"}, "ICCIF" : {"fullname" : "Immunocytochemistry/ Immunofluorescence", "shortname":"ICC/IF"}, "IP" : {"fullname" : "Immunoprecipitation", "shortname":"IP"}, "WB" : {"fullname" : "Western blot", "shortname":"WB"}, "IHCP" : {"fullname" : "Immunohistochemistry (Formalin/PFA-fixed paraffin-embedded sections)", "shortname":"IHC-P"} }, "product-promise": { "all": "all", "testedAndGuaranteed": "tested", "guaranteed": "expected", "predicted": "predicted", "notRecommended": "not-recommended" } }, "values": { "Human": { "ICCIF-species-checked": "notRecommended", "ICCIF-species-dilution-info": "", "ICCIF-species-notes": "", "IP-species-checked": "notRecommended", "IP-species-dilution-info": "", "IP-species-notes": "", "WB-species-checked": "notRecommended", "WB-species-dilution-info": "1/4000", "WB-species-notes": "<p></p>", "IHCP-species-checked": "notRecommended", "IHCP-species-dilution-info": "1/5000", "IHCP-species-notes": "<p></p> Perform heat-mediated antigen retrieval with citrate buffer pH 6 before commencing with IHC staining protocol." }, "Mouse": { "ICCIF-species-checked": "notRecommended", "ICCIF-species-dilution-info": "", "ICCIF-species-notes": "", "IP-species-checked": "notRecommended", "IP-species-dilution-info": "", "IP-species-notes": "", "WB-species-checked": "testedAndGuaranteed", "WB-species-dilution-info": "1/4000", "WB-species-notes": "<p></p>", "IHCP-species-checked": "testedAndGuaranteed", "IHCP-species-dilution-info": "1/5000", "IHCP-species-notes": "<p></p> Perform heat-mediated antigen retrieval with citrate buffer pH 6 before commencing with IHC staining protocol." }, "Rat": { "ICCIF-species-checked": "notRecommended", "ICCIF-species-dilution-info": "", "ICCIF-species-notes": "<p></p>", "IP-species-checked": "notRecommended", "IP-species-dilution-info": "", "IP-species-notes": "<p></p>", "WB-species-checked": "testedAndGuaranteed", "WB-species-dilution-info": "1/4000", "WB-species-notes": "<p></p>", "IHCP-species-checked": "testedAndGuaranteed", "IHCP-species-dilution-info": "1/5000", "IHCP-species-notes": "<p></p> Perform heat-mediated antigen retrieval with citrate buffer pH 6 before commencing with IHC staining protocol." } } }

Product details

Patented technology
Our RabMAb® technology is a patented hybridoma-based technology for making rabbit monoclonal antibodies. For details on our patents, please refer to RabMAb® patents.

What are the advantages of a recombinant monoclonal antibody?
This product is a recombinant monoclonal antibody, which offers several advantages including:

  • - High batch-to-batch consistency and reproducibility
  • - Improved sensitivity and specificity
  • - Long-term security of supply
  • - Animal-free batch production

For more information, read more on recombinant antibodies.

Properties and storage information

Form
Liquid
Purity
Tissue culture supernatant
Purification technique
Affinity purification Protein A
Storage buffer
pH: 7.2 - 7.4 Preservative: 0.01% Sodium azide Constituents: PBS, 40% Glycerol (glycerin, glycerine), 0.05% BSA
Shipped at conditions
Blue Ice
Appropriate short-term storage conditions
+4°C
Appropriate long-term storage conditions
-20°C
Storage information
Stable for 12 months at -20°C

Supplementary information

This supplementary information is collated from multiple sources and compiled automatically.

CaMKII alpha also known as CAMK2A is an enzyme belonging to the CaMK kinase family. This protein is a calcium/calmodulin-dependent protein kinase and exhibits a molecular weight of approximately 50 to 60 kDa. CaMKII alpha is primarily expressed in the brain specifically in the hippocampus and other regions involved in synaptic activity. Due to its role as a serine/threonine kinase CaMKII alpha is significant in phosphorylating various substrates as part of cellular signaling.
Biological function summary

CaMKII alpha plays an important role in synaptic plasticity a process vital for learning and memory. The protein acts as an important component of the postsynaptic density complex where it interacts with other proteins to regulate synaptic strength. When calcium levels rise CaMKII alpha is activated through phosphorylation altering its conformation and allowing interactions with downstream substrates. This regulatory mechanism highlights its role in modulating neurotransmission synaptic potentiation and memory consolidation.

Pathways

CaMKII alpha functions within the calcium signaling pathway contributing to long-term potentiation (LTP) and long-term depression (LTD). It interacts with proteins such as NMDA receptors to facilitate changes in synaptic strength alongside other kinases. This pathway's activation leads to memory formation and synaptic plasticity in the central nervous system. Additionally CaMKII alpha connects with the MAPK signaling pathway integrating signals from various neurotransmitter systems which help coordinate neuronal response to stimuli.

Alterations in CaMKII alpha have been linked to neurological conditions such as Alzheimer's disease and schizophrenia. In Alzheimer's discourse in CaMKII alpha phosphorylation correlates with impaired memory and cognitive function. The protein also interfaces with tau another key protein related to neurofibrillary tangles in Alzheimer's. In schizophrenia abnormalities in CaMKII alpha expression and activity suggest its role in synaptic dysfunction and neurodevelopmental irregularities. Targeting CaMKII alpha may provide therapeutic opportunities for managing these and related neurological disorders.

Product protocols

For this product, it's our understanding that no specific protocols are required. You can visit:

Target data

Calcium/calmodulin-dependent protein kinase that functions autonomously after Ca(2+)/calmodulin-binding and autophosphorylation, and is involved in various processes, such as synaptic plasticity, neurotransmitter release and long-term potentiation (PubMed : 14722083). Member of the NMDAR signaling complex in excitatory synapses, it regulates NMDAR-dependent potentiation of the AMPAR and therefore excitatory synaptic transmission (By similarity). Regulates dendritic spine development (PubMed : 28130356). Also regulates the migration of developing neurons (PubMed : 29100089). Phosphorylates the transcription factor FOXO3 to activate its transcriptional activity (PubMed : 23805378). Phosphorylates the transcription factor ETS1 in response to calcium signaling, thereby decreasing ETS1 affinity for DNA (By similarity). In response to interferon-gamma (IFN-gamma) stimulation, catalyzes phosphorylation of STAT1, stimulating the JAK-STAT signaling pathway (PubMed : 11972023). In response to interferon-beta (IFN-beta) stimulation, stimulates the JAK-STAT signaling pathway (PubMed : 35568036). Acts as a negative regulator of 2-arachidonoylglycerol (2-AG)-mediated synaptic signaling via modulation of DAGLA activity (By similarity).
See full target information CAMK2A phospho T286

Publications (19)

Recent publications for all applications. Explore the full list and refine your search

Cellular and molecular life sciences : CMLS 82:259 PubMed40579608

2025

Piezo1 disrupts blood-brain barrier via CaMKII/Nrf2 in ischemic stroke.

Applications

Unspecified application

Species

Unspecified reactive species

Huimin Fu,Yang Yu,Shangyuan Wang,Peixian Xu,Yuting Sun,Jiaqi Li,Xiaoli Ge,Shuming Pan

Advanced science (Weinheim, Baden-Wurttemberg, Germany) 12:e01182 PubMed40387368

2025

Locus Coeruleus Noradrenergic-Spinal Projections Contribute to Electroacupuncture-Mediated Antinociception in Postoperative Pain in Mice.

Applications

Unspecified application

Species

Unspecified reactive species

Wen-Guang Chu,Ru Zhang,Hai-Tao Li,Ying-Chun Li,Hui Ding,Zhen-Zhen Li,Wen-Juan Han,Fei Wang,Xing-Xing Zheng,Hong-Hui Mao,Hua Yuan,Sheng-Xi Wu,Rou-Gang Xie,Ceng Luo

Redox biology 75:103254 PubMed38968922

2024

NADPH oxidase 2 activity disrupts Calmodulin/CaMKIIα complex via redox modifications of CaMKIIα-contained Cys30 and Cys289: Implications in Parkinson's disease.

Applications

Unspecified application

Species

Unspecified reactive species

Filippo Pullara,Madison C Forsmann,Ignacio J General,Joseph C Ayoob,Emily Furbee,Sandra L Castro,Xiaoping Hu,J Timothy Greenamyre,Roberto Di Maio

Communications biology 7:766 PubMed38918547

2024

Hub stability in the calcium calmodulin-dependent protein kinase II.

Applications

Unspecified application

Species

Unspecified reactive species

Chih-Ta Chien,Henry Puhl,Steven S Vogel,Justin E Molloy,Wah Chiu,Shahid Khan

Research (Washington, D.C.) 7:0316 PubMed38371274

2024

Bifunctional TRPV1 Targeted Magnetothermal Switch to Attenuate Osteoarthritis Progression.

Applications

Unspecified application

Species

Unspecified reactive species

Zhongyang Lv,Peng Wang,Weitong Li,Ya Xie,Wei Sun,Xiaoyu Jin,Ruiyang Jiang,Yuxiang Fei,Yuan Liu,Tianshu Shi,Hu Guo,Ziying Sun,Jintao Lin,Xucai Wang,Guihua Tan,Yizhang Wu,Nirong Bao,Dongquan Shi

American journal of human genetics 111:364-382 PubMed38272033

2024

Role of CAMK2D in neurodevelopment and associated conditions.

Applications

Unspecified application

Species

Unspecified reactive species

Pomme M F Rigter,Charlotte de Konink,Matthew J Dunn,Martina Proietti Onori,Jennifer B Humberson,Matthew Thomas,Caitlin Barnes,Carlos E Prada,K Nicole Weaver,Thomas D Ryan,Oana Caluseriu,Jennifer Conway,Emily Calamaro,Chin-To Fong,Wim Wuyts,Marije Meuwissen,Eva Hordijk,Carsten N Jonkers,Lucas Anderson,Berfin Yuseinova,Sarah Polonia,Diane Beysen,Zornitza Stark,Elena Savva,Cathryn Poulton,Fiona McKenzie,Elizabeth Bhoj,Caleb P Bupp,Stéphane Bézieau,Sandra Mercier,Amy Blevins,Ingrid M Wentzensen,Fan Xia,Jill A Rosenfeld,Tzung-Chien Hsieh,Peter M Krawitz,Miriam Elbracht,Danielle C M Veenma,Howard Schulman,Margaret M Stratton,Sébastien Küry,Geeske M van Woerden

Communications biology 6:238 PubMed36869204

2023

Opsin 3 mediates UVA-induced keratinocyte supranuclear melanin cap formation.

Applications

Unspecified application

Species

Unspecified reactive species

Yinghua Lan,Wen Zeng,Yu Wang,Xian Dong,Xiaoping Shen,Yangguang Gu,Wei Zhang,Hongguang Lu

Cell death discovery 9:59 PubMed36774369

2023

NMDARs antagonist MK801 suppresses LPS-induced apoptosis and mitochondrial dysfunction by regulating subunits of NMDARs via the CaM/CaMKII/ERK pathway.

Applications

Unspecified application

Species

Unspecified reactive species

Wei-Min Han,Xiao-Bin Hao,Yi-Xiang Hong,Shan-Shan Zhao,Xu-Chang Chen,Ruiying Wang,Yan Wang,Gang Li

EBioMedicine 84:104258 PubMed36137413

2022

Single cell RNA-seq analysis identifies ferroptotic chondrocyte cluster and reveals TRPV1 as an anti-ferroptotic target in osteoarthritis.

Applications

Unspecified application

Species

Unspecified reactive species

Zhongyang Lv,Jie Han,Jiawei Li,Hu Guo,Yuxiang Fei,Ziying Sun,Jian Dong,Maochun Wang,Chunmei Fan,Weitong Li,Ya Xie,Wei Sun,Jiaqi Chen,Yuan Liu,Fufei Chen,Zizheng Liu,Anlong Liu,Rui Wu,Xingquan Xu,Wenjin Yan,Qing Jiang,Shiro Ikegawa,Xiao Chen,Dongquan Shi

Theranostics 12:5034-5050 PubMed35836807

2022

SGLT2 inhibitor dapagliflozin reduces endothelial dysfunction and microvascular damage during cardiac ischemia/reperfusion injury through normalizing the XO-SERCA2-CaMKII-coffilin pathways.

Applications

Unspecified application

Species

Unspecified reactive species

Li Ma,Rongjun Zou,Wanting Shi,Na Zhou,Shaoxian Chen,Hao Zhou,Xinxin Chen,Yueheng Wu
View all publications

Product promise

We are committed to supporting your work with high-quality reagents, and we're here for you every step of the way. In the unlikely event that one of our products does not perform as expected, you're protected by our Product Promise.
For full details, please see our Terms & Conditions

Please note: All products are 'FOR RESEARCH USE ONLY. NOT FOR USE IN DIAGNOSTIC OR THERAPEUTIC PROCEDURES'.

For licensing inquiries, please contact partnerships@abcam.com