JavaScript is disabled in your browser. Please enable JavaScript to view this website.
AB216503

Anti-CaMKII antibody

Be the first to review this product! Submit a review

|

(2 Publications)

Rabbit Polyclonal KCC2A antibody. Suitable for IHC-P and reacts with Mouse, Rat samples. Cited in 2 publications. Immunogen corresponding to Synthetic Peptide within Human CAMK2A aa 100-200 conjugated to Keyhole Limpet Haemocyanin.

View Alternative Names

CAMKA, KIAA0968, CAMK2A, Calcium/calmodulin-dependent protein kinase type II subunit alpha, CaM kinase II subunit alpha, CaMK-II subunit alpha

2 Images
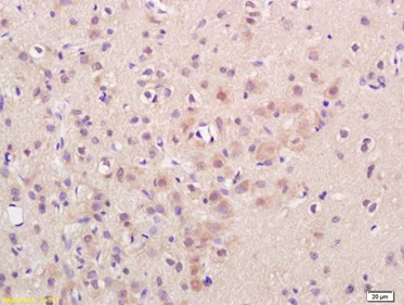
Immunohistochemistry (Formalin/PFA-fixed paraffin-embedded sections) - Anti-CaMKII antibody (AB216503)
  • IHC-P

Supplier Data

Immunohistochemistry (Formalin/PFA-fixed paraffin-embedded sections) - Anti-CaMKII antibody (AB216503)

Immunohistochemical analysis of formalin-fixed and paraffin embedded rat brain tissue labeling CamK2 alpha using ab216503 at 1/200, followed by secondary detection and DAB staining.

Immunohistochemistry (Formalin/PFA-fixed paraffin-embedded sections) - Anti-CaMKII antibody (AB216503)
  • IHC-P

Supplier Data

Immunohistochemistry (Formalin/PFA-fixed paraffin-embedded sections) - Anti-CaMKII antibody (AB216503)

Immunohistochemical analysis of formalin-fixed and paraffin embedded mouse kidney tissue labeling CamK2 alpha using ab216503 at 1/200, followed by secondary detection and DAB staining.

Key facts

Host species

Rabbit

Clonality

Polyclonal

Isotype

IgG

Carrier free

No

Reacts with

Mouse, Rat

Applications

IHC-P

applications

Immunogen

Synthetic Peptide within Human CAMK2A aa 100-200 conjugated to Keyhole Limpet Haemocyanin. The exact immunogen used to generate this antibody is proprietary information.

Q9UQM7

Specificity

The peptide immunogen is highly conserved between CaMKII alpha, beta, gamma, and delta.

Reactivity data

{ "title": "Reactivity Data", "filters": { "stats": ["", "Species", "Dilution Info", "Notes"], "tabs": { "all-applications": {"fullname" : "All Applications", "shortname": "All Applications"}, "IHCP" : {"fullname" : "Immunohistochemistry (Formalin/PFA-fixed paraffin-embedded sections)", "shortname":"IHC-P"} }, "product-promise": { "all": "all", "testedAndGuaranteed": "tested", "guaranteed": "expected", "predicted": "predicted", "notRecommended": "not-recommended" } }, "values": { "Human": { "IHCP-species-checked": "predicted", "IHCP-species-dilution-info": "", "IHCP-species-notes": "" }, "Mouse": { "IHCP-species-checked": "testedAndGuaranteed", "IHCP-species-dilution-info": "1/100 - 1/500", "IHCP-species-notes": "<p></p>" }, "Rat": { "IHCP-species-checked": "testedAndGuaranteed", "IHCP-species-dilution-info": "1/100 - 1/500", "IHCP-species-notes": "<p></p>" } } }

Properties and storage information

Form
Liquid
Purification technique
Affinity purification Protein A
Storage buffer
pH: 7.4 Preservative: 0.02% Proclin 300 Constituents: 50% Glycerol (glycerin, glycerine), 48.98% TBS, 1X, 1% BSA
Shipped at conditions
Blue Ice
Appropriate short-term storage duration
1-2 weeks
Appropriate short-term storage conditions
+4°C
Appropriate long-term storage conditions
-20°C
Aliquoting information
Upon delivery aliquot
Storage information
Avoid freeze / thaw cycle

Supplementary information

This supplementary information is collated from multiple sources and compiled automatically.

CaMKII also known as calcium/calmodulin-dependent protein kinase II is an enzyme functioning critically in cellular signaling. It consists of multiple isoforms including alpha beta gamma and delta with the delta isoform Delta 1829 frequently highlighted for its specific roles. The molecular weight of CaMKII is approximately 50 to 60 kDa varying slightly between isoforms. CaMKII is widely expressed in the brain but is also present in the heart skeletal muscle and other tissues. Its structure includes a catalytic domain regulatory segment and association domain which allows auto-regulation and interaction with other molecules.
Biological function summary

CaMKII plays a vital role in cellular processes such as learning memory and muscle contraction. It can form a complex structure involving multiple subunits which allows for its unique ability to signal in response to calcium influx and calmodulin binding. This causes autophosphorylation of CaMKII allowing it to remain active even when calcium levels diminish. This property makes CaMKII essential for long-term potentiation (LTP) in neuron synapses influencing cognitive functions deeply.

Pathways

CaMKII is an important component of both the calcium signaling and synaptic plasticity pathways. In the calcium signaling pathway CaMKII interacts with calmodulin and other kinases to modulate calcium entry and signaling. In synaptic plasticity CaMKII works closely with proteins like NMDA receptors which regulate synaptic strength and modulation essential for encoding learning and memory. These interactions highlight its significance as a mediator between signaling cascades and cellular responses.

Abnormal regulation or expression of CaMKII links to Alzheimer's disease and cardiac arrhythmias. In Alzheimer's the dysregulation of CaMKII affects synaptic integrity and memory formation involving interaction with beta-amyloid plaques. In cardiac arrhythmias CaMKII dysfunction leads to improper cardiac muscle contractions often linked to the protein phospholamban. These associations highlight the clinical relevance of CaMKII in addressing and understanding mechanisms underpinning these diseases.

Product protocols

For this product, it's our understanding that no specific protocols are required. You can visit:

Target data

Calcium/calmodulin-dependent protein kinase that functions autonomously after Ca(2+)/calmodulin-binding and autophosphorylation, and is involved in various processes, such as synaptic plasticity, neurotransmitter release and long-term potentiation (PubMed : 14722083). Member of the NMDAR signaling complex in excitatory synapses, it regulates NMDAR-dependent potentiation of the AMPAR and therefore excitatory synaptic transmission (By similarity). Regulates dendritic spine development (PubMed : 28130356). Also regulates the migration of developing neurons (PubMed : 29100089). Phosphorylates the transcription factor FOXO3 to activate its transcriptional activity (PubMed : 23805378). Phosphorylates the transcription factor ETS1 in response to calcium signaling, thereby decreasing ETS1 affinity for DNA (By similarity). In response to interferon-gamma (IFN-gamma) stimulation, catalyzes phosphorylation of STAT1, stimulating the JAK-STAT signaling pathway (PubMed : 11972023). In response to interferon-beta (IFN-beta) stimulation, stimulates the JAK-STAT signaling pathway (PubMed : 35568036). Acts as a negative regulator of 2-arachidonoylglycerol (2-AG)-mediated synaptic signaling via modulation of DAGLA activity (By similarity).
See full target information CAMK2A

Publications (2)

Recent publications for all applications. Explore the full list and refine your search

Research (Washington, D.C.) 8:0766 PubMed40785967

2025

Transcranial High-Frequency Terahertz Stimulation Alleviates Anxiety-like Behavior in Mice via a Noninvasive Approach.

Applications

Unspecified application

Species

Unspecified reactive species

Pan Wang,Chaoyang Tan,Wenyu Peng,Zekun Yan,Wenrui Jiang,Han Zhao,Huaxing Si,Jingchen Jia,Chunkui Zhang,Jian Wang,Yuchen Tian,Kun Chen,Yuefan Yang,Zhenyu Wu,Kangning Xie,Yuanming Wu,Mingming Zhang,Tao Chen

Molecular therapy. Nucleic acids 13:154-163 PubMed30290307

2018

miR-409 Inhibits Human Non-Small-Cell Lung Cancer Progression by Directly Targeting SPIN1.

Applications

Unspecified application

Species

Unspecified reactive species

Qi Song,Quanbo Ji,Jingbo Xiao,Fang Li,Lingxiong Wang,Yin Chen,Yameng Xu,Shunchang Jiao
View all publications

Product promise

We are committed to supporting your work with high-quality reagents, and we're here for you every step of the way. In the unlikely event that one of our products does not perform as expected, you're protected by our Product Promise.
For full details, please see our Terms & Conditions

Please note: All products are 'FOR RESEARCH USE ONLY. NOT FOR USE IN DIAGNOSTIC OR THERAPEUTIC PROCEDURES'.

For licensing inquiries, please contact partnerships@abcam.com