JavaScript is disabled in your browser. Please enable JavaScript to view this website.
AB52476

Anti-CaMKII antibody [EP1829Y]

4

(7 Reviews)

|

(109 Publications)

Anti-CaMKII antibody [EP1829Y] (ab52476) is a rabbit monoclonal antibody detecting CaMKII in Western Blot, IHC-P, ICC/IF. Suitable for Human, Mouse, Rat.

- Biophysical QC for unrivalled batch-batch consistency
- Over 100 publications
- Trusted since 2007

View Alternative Names

CAMKA, KIAA0968, CAMK2A, Calcium/calmodulin-dependent protein kinase type II subunit alpha, CaM kinase II subunit alpha, CaMK-II subunit alpha

6 Images
Western blot - Anti-CaMKII antibody [EP1829Y] (AB52476)
  • WB

Lab

Western blot - Anti-CaMKII antibody [EP1829Y] (AB52476)

Blocking buffer and concentration : 5% NFDM/TBST.

Diluting buffer and concentration : 5% NFDM /TBST.

All lanes:

Western blot - Anti-CaMKII antibody [EP1829Y] (ab52476) at 1/1000 dilution

Lane 1:

Mouse brain tissue lysate at 20 µg

Lane 2:

Rat brain tissue lysate at 20 µg

Secondary

All lanes:

HRP-conjugated anti-rabbit IgG, specific to the non-reduced form of IgG at 1/1000 dilution

Predicted band size: 54 kDa

Observed band size: 45 kDa,70 kDa

false

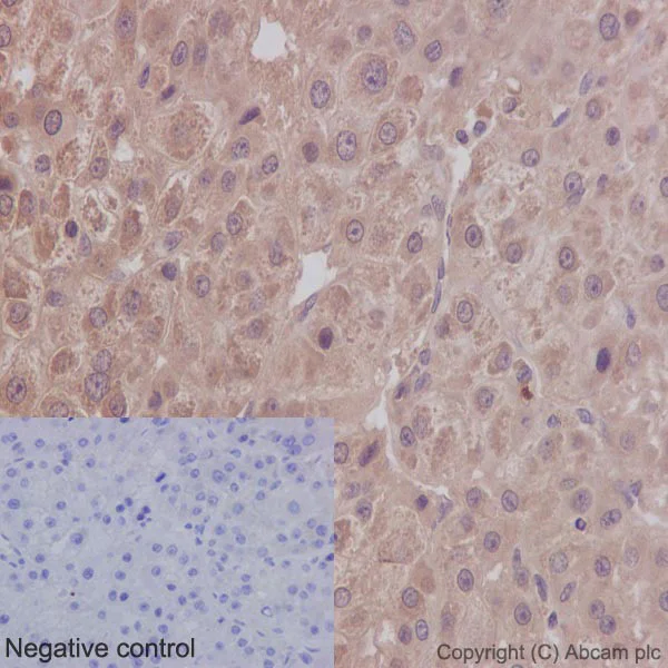
Immunohistochemistry (Formalin/PFA-fixed paraffin-embedded sections) - Anti-CaMKII antibody [EP1829Y] (AB52476)
  • IHC-P

Unknown

Immunohistochemistry (Formalin/PFA-fixed paraffin-embedded sections) - Anti-CaMKII antibody [EP1829Y] (AB52476)

Immunohistochemistry (Formalin/PFA-fixed paraffin-embedded sections) analysis of human hepatocellular carcinoma tissue labelling CaMKII with purified ab52476 at 1/500. Heat mediated antigen retrieval was performed using Tris/EDTA buffer pH 9. A prediluted HRP-polymer conjugated anti-rabbit IgG was used as the secondary antibody. Negative control using PBS instead of primary antibody. Counterstained with hematoxylin.

Immunocytochemistry/ Immunofluorescence - Anti-CaMKII antibody [EP1829Y] (AB52476)
  • ICC/IF

Unknown

Immunocytochemistry/ Immunofluorescence - Anti-CaMKII antibody [EP1829Y] (AB52476)

Immunocytochemistry/Immunofluorescence analysis of U87-MG cells labelling CaMKII with purified ab52476 at 1/250. Cells were fixed with 4% paraformaldehyde and permeabilized with 0.1% aTriton X-100. An Alexa Fluor® 555-conjugated goat anti-rabbit IgG (1/500) was used as the secondary antibody. DAPI (blue) was used as the nuclear counterstain.

Control : primary antibody (1/250) and secondary antibody ab150113 an Alexa Fluor® 488-conjugated goat anti-mouse IgG (1/500).

Immunocytochemistry/ Immunofluorescence - Anti-CaMKII antibody [EP1829Y] (AB52476)
  • ICC/IF

Unknown

Immunocytochemistry/ Immunofluorescence - Anti-CaMKII antibody [EP1829Y] (AB52476)

ICC/IF image of unpurified ab52476 stained PC12 cells. The cells were 4% PFA fixed (10 min) and then incubated in 1% BSA / 10% normal goat serum / 0.3M glycine in 0.1% PBS-Tween for 1h to permeabilise the cells and block non-specific protein-protein interactions. The cells were then incubated with the antibody (ab52476 1μg/ml) overnight at +4°C. The secondary antibody (green)ÿwas Alexa Fluor® 488 goat anti-rabbit IgG (H+L) used at a 1/1000 dilution for 1h. Alexa Fluor® 594 WGA was used to label plasma membranes (red) at a 1/200 dilution for 1h. DAPI was used to stain the cell nuclei (blue) at a concentration of 1.43μM.

Western blot - Anti-CaMKII antibody [EP1829Y] (AB52476)
  • WB

Unknown

Western blot - Anti-CaMKII antibody [EP1829Y] (AB52476)

All lanes:

Western blot - Anti-CaMKII antibody [EP1829Y] (ab52476) at 1/20000 dilution

All lanes:

Mouse brain lysate at 10 µg

Secondary

All lanes:

Goat anti-rabbit HRP labeled at 1/2000 dilution

Predicted band size: 54 kDa

Observed band size: 45 kDa,70 kDa

false

Western blot - Anti-CaMKII antibody [EP1829Y] (AB52476)
  • WB

Lab

Western blot - Anti-CaMKII antibody [EP1829Y] (AB52476)

Blocking buffer and concentration : 5% NFDM/TBST.

Diluting buffer and concentration : 5% NFDM /TBST.

All lanes:

Western blot - Anti-CaMKII antibody [EP1829Y] (ab52476) at 1/5000 dilution

All lanes:

Human fetal brain tissue lysate at 20 µg

Secondary

All lanes:

HRP-conjugated anti-rabbit IgG, specific to the non-reduced form of IgG at 1/1000 dilution

Predicted band size: 54 kDa

Observed band size: 45 kDa,70 kDa

false

Key facts

Host species

Rabbit

Clonality

Monoclonal

Clone number

EP1829Y

Isotype

IgG

Carrier free

No

Reacts with

Mouse, Rat, Human

Applications

WB, IHC-P, ICC/IF

applications

Immunogen

The exact immunogen used to generate this antibody is proprietary information.

Specificity

The peptide immunogen is highly conserved between CaMKII alpha, beta, gamma, and delta.

Reactivity data

{ "title": "Reactivity Data", "filters": { "stats": ["", "Species", "Dilution Info", "Notes"], "tabs": { "all-applications": {"fullname" : "All Applications", "shortname": "All Applications"}, "IP" : {"fullname" : "Immunoprecipitation", "shortname":"IP"}, "FlowCyt" : {"fullname" : "Flow Cytometry", "shortname":"Flow Cyt"}, "WB" : {"fullname" : "Western blot", "shortname":"WB"}, "ICCIF" : {"fullname" : "Immunocytochemistry/ Immunofluorescence", "shortname":"ICC/IF"}, "IHCP" : {"fullname" : "Immunohistochemistry (Formalin/PFA-fixed paraffin-embedded sections)", "shortname":"IHC-P"} }, "product-promise": { "all": "all", "testedAndGuaranteed": "tested", "guaranteed": "expected", "predicted": "predicted", "notRecommended": "not-recommended" } }, "values": { "Human": { "IP-species-checked": "notRecommended", "IP-species-dilution-info": "1/50", "IP-species-notes": "<p></p>", "FlowCyt-species-checked": "notRecommended", "FlowCyt-species-dilution-info": "1/80", "FlowCyt-species-notes": "<p><a href='/en-us/products/primary-antibodies/rabbit-igg-monoclonal-epr25a-isotype-control-ab172730'>ab172730</a> - Rabbit monoclonal IgG, is suitable for use as an isotype control with this antibody.</p>", "WB-species-checked": "testedAndGuaranteed", "WB-species-dilution-info": "1/1000 - 1/5000", "WB-species-notes": "<p><strong>For unpurified use at 1/20000.</strong></p>", "ICCIF-species-checked": "testedAndGuaranteed", "ICCIF-species-dilution-info": "1/250", "ICCIF-species-notes": "<p></p>", "IHCP-species-checked": "testedAndGuaranteed", "IHCP-species-dilution-info": "1/500", "IHCP-species-notes": "<p></p> Perform heat-mediated antigen retrieval with Tris/EDTA buffer pH 9.0 before commencing with IHC staining protocol." }, "Mouse": { "IP-species-checked": "notRecommended", "IP-species-dilution-info": "1/50", "IP-species-notes": "<p></p>", "FlowCyt-species-checked": "notRecommended", "FlowCyt-species-dilution-info": "1/80", "FlowCyt-species-notes": "<p><a href='/en-us/products/primary-antibodies/rabbit-igg-monoclonal-epr25a-isotype-control-ab172730'>ab172730</a> - Rabbit monoclonal IgG, is suitable for use as an isotype control with this antibody.</p>", "WB-species-checked": "testedAndGuaranteed", "WB-species-dilution-info": "1/1000 - 1/5000", "WB-species-notes": "<p><strong>For unpurified use at 1/20000.</strong></p>", "ICCIF-species-checked": "guaranteed", "ICCIF-species-dilution-info": "", "ICCIF-species-notes": "", "IHCP-species-checked": "guaranteed", "IHCP-species-dilution-info": "", "IHCP-species-notes": "" }, "Rat": { "IP-species-checked": "notRecommended", "IP-species-dilution-info": "1/50", "IP-species-notes": "<p></p>", "FlowCyt-species-checked": "notRecommended", "FlowCyt-species-dilution-info": "1/80", "FlowCyt-species-notes": "<p><a href='/en-us/products/primary-antibodies/rabbit-igg-monoclonal-epr25a-isotype-control-ab172730'>ab172730</a> - Rabbit monoclonal IgG, is suitable for use as an isotype control with this antibody.</p>", "WB-species-checked": "testedAndGuaranteed", "WB-species-dilution-info": "1/1000 - 1/5000", "WB-species-notes": "<p><strong>For unpurified use at 1/20000.</strong></p>", "ICCIF-species-checked": "testedAndGuaranteed", "ICCIF-species-dilution-info": "1/250", "ICCIF-species-notes": "<p></p>", "IHCP-species-checked": "guaranteed", "IHCP-species-dilution-info": "", "IHCP-species-notes": "" } } }

Product details

What is this antibody validated in?
Anti-CaMKII antibody [EP1829Y] (ab52476) is a rabbit recombinant monoclonal antibody and is validated for use in Western Blot (WB), Immunohistochemistry (IHC-P), Immunocytochemistry/immunofluorescence (ICC/IF) in Human, Mouse, Rat samples.

What is the molecular weight of CaMKII?
Anti-CaMKII [EP1829Y] (ab52476) specifically detects a band for CaMKII (UniProt: Q13554) at a molecular weight of 54kDa.

Trusted by the scientific community
Anti-CaMKII [EP1829Y] (ab52476) was first used in a scientific publication in 2007 and has been cited over 100 times in peer-reviewed journals.

Reviewed by scientists
Anti-CaMKII [EP1829Y] (ab52476) has over 5 independent reviews from customers.

Trial sizes available!
Test your antibody or perform pre-screening before committing to a larger quantity. Sold in 10µl. Discover our selection of trial-size antibodies.

Other related products
We have a range of other formats of antibody clone [EP1829Y] also available for your convenience: ab52476, HRP - ab195518, Alexa Fluor® 647 - ab196165, Alexa Fluor® 488 - ab196378, Alexa Fluor® 555 - ab206883, Carrier free - ab219365, Carrier free - ab271841

Patented technology
Our RabMAb® technology is a patented hybridoma-based technology for making rabbit monoclonal antibodies. For details on our patents, please refer to RabMAb® patents.

What are the advantages of a recombinant monoclonal antibody?
This product is a recombinant monoclonal antibody, which offers several advantages including:

  • - High batch-to-batch consistency and reproducibility
  • - Improved sensitivity and specificity
  • - Long-term security of supply
  • - Animal-free batch production

For more information, read more on recombinant antibodies.

Properties and storage information

Form
Liquid
Purification technique
Affinity purification Protein A
Storage buffer
pH: 7.2 - 7.4 Preservative: 0.01% Sodium azide Constituents: 59% PBS, 40% Glycerol (glycerin, glycerine), 0.05% BSA
Shipped at conditions
Blue Ice
Appropriate short-term storage duration
1-2 weeks
Appropriate short-term storage conditions
+4°C
Appropriate long-term storage conditions
-20°C
Aliquoting information
Upon delivery aliquot
Storage information
Avoid freeze / thaw cycle

Supplementary information

This supplementary information is collated from multiple sources and compiled automatically.

CaMKII also known as calcium/calmodulin-dependent protein kinase II is an enzyme functioning critically in cellular signaling. It consists of multiple isoforms including alpha beta gamma and delta with the delta isoform Delta 1829 frequently highlighted for its specific roles. The molecular weight of CaMKII is approximately 50 to 60 kDa varying slightly between isoforms. CaMKII is widely expressed in the brain but is also present in the heart skeletal muscle and other tissues. Its structure includes a catalytic domain regulatory segment and association domain which allows auto-regulation and interaction with other molecules.
Biological function summary

CaMKII plays a vital role in cellular processes such as learning memory and muscle contraction. It can form a complex structure involving multiple subunits which allows for its unique ability to signal in response to calcium influx and calmodulin binding. This causes autophosphorylation of CaMKII allowing it to remain active even when calcium levels diminish. This property makes CaMKII essential for long-term potentiation (LTP) in neuron synapses influencing cognitive functions deeply.

Pathways

CaMKII is an important component of both the calcium signaling and synaptic plasticity pathways. In the calcium signaling pathway CaMKII interacts with calmodulin and other kinases to modulate calcium entry and signaling. In synaptic plasticity CaMKII works closely with proteins like NMDA receptors which regulate synaptic strength and modulation essential for encoding learning and memory. These interactions highlight its significance as a mediator between signaling cascades and cellular responses.

Abnormal regulation or expression of CaMKII links to Alzheimer's disease and cardiac arrhythmias. In Alzheimer's the dysregulation of CaMKII affects synaptic integrity and memory formation involving interaction with beta-amyloid plaques. In cardiac arrhythmias CaMKII dysfunction leads to improper cardiac muscle contractions often linked to the protein phospholamban. These associations highlight the clinical relevance of CaMKII in addressing and understanding mechanisms underpinning these diseases.

Product protocols

For this product, it's our understanding that no specific protocols are required. You can visit:

Target data

Calcium/calmodulin-dependent protein kinase that functions autonomously after Ca(2+)/calmodulin-binding and autophosphorylation, and is involved in various processes, such as synaptic plasticity, neurotransmitter release and long-term potentiation (PubMed : 14722083). Member of the NMDAR signaling complex in excitatory synapses, it regulates NMDAR-dependent potentiation of the AMPAR and therefore excitatory synaptic transmission (By similarity). Regulates dendritic spine development (PubMed : 28130356). Also regulates the migration of developing neurons (PubMed : 29100089). Phosphorylates the transcription factor FOXO3 to activate its transcriptional activity (PubMed : 23805378). Phosphorylates the transcription factor ETS1 in response to calcium signaling, thereby decreasing ETS1 affinity for DNA (By similarity). In response to interferon-gamma (IFN-gamma) stimulation, catalyzes phosphorylation of STAT1, stimulating the JAK-STAT signaling pathway (PubMed : 11972023). In response to interferon-beta (IFN-beta) stimulation, stimulates the JAK-STAT signaling pathway (PubMed : 35568036). Acts as a negative regulator of 2-arachidonoylglycerol (2-AG)-mediated synaptic signaling via modulation of DAGLA activity (By similarity).
See full target information CAMK2A

Publications (109)

Recent publications for all applications. Explore the full list and refine your search

Biological research 56:65 PubMed38041203

2023

Electroacupuncture promotes neurogenesis in the dentate gyrus and improves pattern separation in an early Alzheimer's disease mouse model.

Applications

Unspecified application

Species

Unspecified reactive species

Yanyi Ding,Long Li,Sinuo Wang,Yajun Cao,Minguang Yang,Yaling Dai,Huawei Lin,Jianhong Li,Yulu Liu,Zhifu Wang,Weilin Liu,Jing Tao

Nature communications 14:7108 PubMed37925453

2023

Daily rhythm in cortical chloride homeostasis underpins functional changes in visual cortex excitability.

Applications

Unspecified application

Species

Unspecified reactive species

Enrico Pracucci,Robert T Graham,Laura Alberio,Gabriele Nardi,Olga Cozzolino,Vinoshene Pillai,Giacomo Pasquini,Luciano Saieva,Darren Walsh,Silvia Landi,Jinwei Zhang,Andrew J Trevelyan,Gian-Michele Ratto

Diabetes & vascular disease research 20:14791641231197106 PubMed37589258

2023

Dapagliflozin attenuates cardiac remodeling and dysfunction in rats with β-adrenergic receptor overactivation through restoring calcium handling and suppressing cardiomyocyte apoptosis.

Applications

Unspecified application

Species

Unspecified reactive species

Tao Liu,Jinchun Wu,Shaobo Shi,Bo Cui,Feng Xiong,Shuang Yang,Min Yan

JCI insight 8: PubMed37192007

2023

MiR-431 attenuates synaptic plasticity and memory deficits in APPswe/PS1dE9 mice.

Applications

Unspecified application

Species

Unspecified reactive species

Jianwei Ge,Zhiwei Xue,Shu Shu,Linjie Yu,Ruomeng Qin,Wenyuan Tao,Pinyi Liu,Xiaohong Dong,Zhen Lan,Xinyu Bao,Lei Ye,Yun Xu,Xiaolei Zhu

Pharmaceutics 15: PubMed37376018

2023

The Protective Effect of Mangiferin on Formaldehyde-Induced HT22 Cell Damage and Cognitive Impairment.

Applications

Unspecified application

Species

Unspecified reactive species

Fan Chen,Na Wang,Xinyan Tian,Juan Su,Yan Qin,Rongqiao He,Xiaping He

Glia 71:2137-2153 PubMed37183905

2023

Astrocytic A receptors silencing negatively impacts hippocampal synaptic plasticity and memory of adult mice.

Applications

Unspecified application

Species

Unspecified reactive species

Daniela Madeira,Cátia R Lopes,Ana P Simões,Paula M Canas,Rodrigo A Cunha,Paula Agostinho

Cell death discovery 9:59 PubMed36774369

2023

NMDARs antagonist MK801 suppresses LPS-induced apoptosis and mitochondrial dysfunction by regulating subunits of NMDARs via the CaM/CaMKII/ERK pathway.

Applications

Unspecified application

Species

Unspecified reactive species

Wei-Min Han,Xiao-Bin Hao,Yi-Xiang Hong,Shan-Shan Zhao,Xu-Chang Chen,Ruiying Wang,Yan Wang,Gang Li

Frontiers in molecular neuroscience 16:1107355 PubMed36846565

2023

Neural mechanism underlies CYLD modulation of morphology and synaptic function of medium spiny neurons in dorsolateral striatum.

Applications

Unspecified application

Species

Unspecified reactive species

Shu-Yi Tan,Jin-Xiang Jiang,Hui-Xian Huang,Xiu-Ping Mo,Jing-Ru Feng,Yu Chen,Li Yang,Cheng Long

EMBO molecular medicine 14:e15795 PubMed36385502

2022

Acetate supplementation restores cognitive deficits caused by ARID1A haploinsufficiency in excitatory neurons.

Applications

Unspecified application

Species

Unspecified reactive species

Pei-Pei Liu,Shang-Kun Dai,Ting-Wei Mi,Gang-Bin Tang,Zhuo Wang,Hui Wang,Hong-Zhen Du,Yi Tang,Zhao-Qian Teng,Chang-Mei Liu

Cardiovascular drugs and therapy 38:237-252 PubMed36350487

2022

Calsyntenin-1 Promotes Doxorubicin-induced Dilated Cardiomyopathy in Rats.

Applications

Unspecified application

Species

Unspecified reactive species

Mingxiang Zhu,Yibing Chen,Liting Cheng,Xin Li,Yanying Shen,Ge Guo,Xiang Xu,Hanlu Li,Hao Yang,Chunlei Liu,Kunlun He
View all publications

Product promise

We are committed to supporting your work with high-quality reagents, and we're here for you every step of the way. In the unlikely event that one of our products does not perform as expected, you're protected by our Product Promise.
For full details, please see our Terms & Conditions

Associated Products

Select an associated product type
Alternative Product
Primary Antibodies

AB171095

Anti-CaMKII (phospho T286) antibody [22B1]

primary-antibodies

camkii-phospho-t286-antibody-22b1-ab171095

4

(2 reviews)

Alternative Product
Primary Antibodies

AB32678

Anti-CaMKII (phospho T286) antibody

primary-antibodies

camkii-phospho-t286-antibody-ab32678

5

(28 reviews)

Alternative Product
Primary Antibodies

AB216503

Anti-CaMKII antibody

primary-antibodies

camkii-antibody-ab216503

0

(0 reviews)

Alternative Product
Primary Antibodies

AB187488

Anti-CaMKII alpha antibody [6G9] - BSA and Azide free

primary-antibodies

camkii-alpha-antibody-6g9-bsa-and-azide-free-ab187488

5

(1 reviews)

Alternative Product
Primary Antibodies

AB22609

Anti-CaMKII alpha antibody [6G9]

primary-antibodies

camkii-alpha-antibody-6g9-ab22609

4

(6 reviews)

Alternative Product
Primary Antibodies

AB197499

Alexa Fluor® 647 Anti-CaMKII alpha antibody [6G9]

primary-antibodies

alexa-fluor-647-camkii-alpha-antibody-6g9-ab197499

0

(0 reviews)

Alternative Product
Primary Antibodies

AB197497

Alexa Fluor® 488 Anti-CaMKII alpha antibody [6G9]

primary-antibodies

alexa-fluor-488-camkii-alpha-antibody-6g9-ab197497

0

(0 reviews)

Alternative Product
Primary Antibodies

AB197500

HRP Anti-CaMKII alpha antibody [6G9]

primary-antibodies

hrp-camkii-alpha-antibody-6g9-ab197500

0

(0 reviews)

Alternative Product
Primary Antibodies

AB225178

APC Anti-CaMKII antibody [EPR6686(2)]

primary-antibodies

apc-camkii-antibody-epr66862-ab225178

0

(0 reviews)

Alternative Product
Primary Antibodies

AB205862

Alexa Fluor® 488 Anti-CaMKII antibody [EPR6686(2)]

primary-antibodies

alexa-fluor-488-camkii-antibody-epr66862-ab205862

0

(0 reviews)

Alternative Product
Primary Antibodies

AB205863

Alexa Fluor® 647 Anti-CaMKII antibody [EPR6686(2)]

primary-antibodies

alexa-fluor-647-camkii-antibody-epr66862-ab205863

0

(0 reviews)

Alternative Product
Primary Antibodies

AB134041

Anti-CaMKII antibody [EPR6686(2)]

primary-antibodies

camkii-antibody-epr66862-ab134041

0

(0 reviews)

Alternative Product
Primary Antibodies

AB227108

Anti-CaMKII antibody [EPR6686(2)] - BSA and Azide free

primary-antibodies

camkii-antibody-epr66862-bsa-and-azide-free-ab227108

5

(1 reviews)

Alternative Product
Primary Antibodies

AB126789

Anti-CaMKII antibody [EPR6685(B)]

primary-antibodies

camkii-antibody-epr6685b-ab126789

0

(0 reviews)

Alternative Version
Primary Antibodies

AB219365

Anti-CaMKII antibody [EP1829Y] - Low endotoxin, Azide free

primary-antibodies

camkii-antibody-ep1829y-low-endotoxin-azide-free-ab219365

0

(0 reviews)

Please note: All products are 'FOR RESEARCH USE ONLY. NOT FOR USE IN DIAGNOSTIC OR THERAPEUTIC PROCEDURES'.

For licensing inquiries, please contact partnerships@abcam.com