JavaScript is disabled in your browser. Please enable JavaScript to view this website.
AB219365

Anti-CaMKII antibody [EP1829Y] - Low endotoxin, Azide free

Be the first to review this product! Submit a review

|

(1 Publication)

Rabbit Recombinant Monoclonal KCC2A antibody. Carrier free. Suitable for WB, ICC/IF, IHC-P and reacts with Rat, Human, Mouse samples. Cited in 1 publication.

View Alternative Names

CAMKA, KIAA0968, CAMK2A, Calcium/calmodulin-dependent protein kinase type II subunit alpha, CaM kinase II subunit alpha, CaMK-II subunit alpha

3 Images
Immunocytochemistry/ Immunofluorescence - Anti-CaMKII antibody [EP1829Y] - Low endotoxin, Azide free (AB219365)
  • ICC/IF

Unknown

Immunocytochemistry/ Immunofluorescence - Anti-CaMKII antibody [EP1829Y] - Low endotoxin, Azide free (AB219365)

Immunocytochemistry/Immunofluorescence analysis of U87-MG cells labelling CaMKII with purified ab52476 at 1/250. Cells were fixed with 4% paraformaldehyde and permeabilized with 0.1% aTriton X-100. An Alexa Fluor® 555-conjugated goat anti-rabbit IgG (1/500) was used as the secondary antibody. DAPI (blue) was used as the nuclear counterstain.

Control : primary antibody (1/250) and secondary antibody ab150113 an Alexa Fluor® 488-conjugated goat anti-mouse IgG (1/500).

This data was developed using the same antibody clone in a different buffer formulation containing PBS BSA glycerol and sodium azide (ab52476).

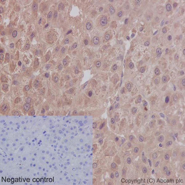
Immunohistochemistry (Formalin/PFA-fixed paraffin-embedded sections) - Anti-CaMKII antibody [EP1829Y] - Low endotoxin, Azide free (AB219365)
  • IHC-P

Unknown

Immunohistochemistry (Formalin/PFA-fixed paraffin-embedded sections) - Anti-CaMKII antibody [EP1829Y] - Low endotoxin, Azide free (AB219365)

Immunohistochemistry (Formalin/PFA-fixed paraffin-embedded sections) analysis of human hepatocellular carcinoma tissue labelling CaMKII with purified ab52476 at 1/500. Heat mediated antigen retrieval was performed using Tris/EDTA buffer pH 9. A prediluted HRP-polymer conjugated anti-rabbit IgG was used as the secondary antibody. Negative control using PBS instead of primary antibody. Counterstained with hematoxylin.

This data was developed using the same antibody clone in a different buffer formulation containing PBS BSA glycerol and sodium azide (ab52476).

Immunocytochemistry/ Immunofluorescence - Anti-CaMKII antibody [EP1829Y] - Low endotoxin, Azide free (AB219365)
  • ICC/IF

Unknown

Immunocytochemistry/ Immunofluorescence - Anti-CaMKII antibody [EP1829Y] - Low endotoxin, Azide free (AB219365)

ICC/IF image of unpurified ab52476 stained PC12 cells. The cells were 4% PFA fixed (10 min) and then incubated in 1% BSA / 10% normal goat serum / 0.3M glycine in 0.1% PBS-Tween for 1h to permeabilise the cells and block non-specific protein-protein interactions. The cells were then incubated with the antibody (ab52476 1μg/ml) overnight at +4°C. The secondary antibody (green) was Alexa Fluor® 488 goat anti-rabbit IgG (H+L) used at a 1/1000 dilution for 1h. Alexa Fluor® 594 WGA was used to label plasma membranes (red) at a 1/200 dilution for 1h. DAPI was used to stain the cell nuclei (blue) at a concentration of 1.43μM.

This data was developed using the same antibody clone in a different buffer formulation containing PBS BSA glycerol and sodium azide (ab52476).

Key facts

Host species

Rabbit

Clonality

Monoclonal

Clone number

EP1829Y

Isotype

IgG

Carrier free

Yes

Reacts with

Mouse, Rat, Human

Applications

IHC-P, WB, ICC/IF

applications

Immunogen

The exact immunogen used to generate this antibody is proprietary information.

Specificity

The peptide immunogen is highly conserved between CaMKII alpha, beta, gamma, and delta.

Reactivity data

{ "title": "Reactivity Data", "filters": { "stats": ["", "Species", "Dilution Info", "Notes"], "tabs": { "all-applications": {"fullname" : "All Applications", "shortname": "All Applications"}, "IP" : {"fullname" : "Immunoprecipitation", "shortname":"IP"}, "FlowCyt" : {"fullname" : "Flow Cytometry", "shortname":"Flow Cyt"}, "WB" : {"fullname" : "Western blot", "shortname":"WB"}, "ICCIF" : {"fullname" : "Immunocytochemistry/ Immunofluorescence", "shortname":"ICC/IF"}, "IHCP" : {"fullname" : "Immunohistochemistry (Formalin/PFA-fixed paraffin-embedded sections)", "shortname":"IHC-P"} }, "product-promise": { "all": "all", "testedAndGuaranteed": "tested", "guaranteed": "expected", "predicted": "predicted", "notRecommended": "not-recommended" } }, "values": { "Human": { "IP-species-checked": "notRecommended", "IP-species-dilution-info": "", "IP-species-notes": "<p></p>", "FlowCyt-species-checked": "notRecommended", "FlowCyt-species-dilution-info": "", "FlowCyt-species-notes": "<p><a href='/en-us/products/primary-antibodies/rabbit-igg-monoclonal-epr25a-isotype-control-low-endotoxin-azide-free-ab199376'>ab199376</a> - Rabbit monoclonal IgG, is suitable for use as an isotype control with this antibody.</p>", "WB-species-checked": "testedAndGuaranteed", "WB-species-dilution-info": "", "WB-species-notes": "<p><strong>For unpurified use at 1/20000.</strong></p>", "ICCIF-species-checked": "testedAndGuaranteed", "ICCIF-species-dilution-info": "", "ICCIF-species-notes": "<p></p>", "IHCP-species-checked": "testedAndGuaranteed", "IHCP-species-dilution-info": "", "IHCP-species-notes": "<p></p>" }, "Mouse": { "IP-species-checked": "notRecommended", "IP-species-dilution-info": "", "IP-species-notes": "<p></p>", "FlowCyt-species-checked": "notRecommended", "FlowCyt-species-dilution-info": "", "FlowCyt-species-notes": "<p><a href='/en-us/products/primary-antibodies/rabbit-igg-monoclonal-epr25a-isotype-control-ab172730'>ab172730</a> - Rabbit monoclonal IgG, is suitable for use as an isotype control with this antibody.</p>", "WB-species-checked": "testedAndGuaranteed", "WB-species-dilution-info": "", "WB-species-notes": "<p><strong>For unpurified use at 1/20000.</strong></p>", "ICCIF-species-checked": "guaranteed", "ICCIF-species-dilution-info": "", "ICCIF-species-notes": "", "IHCP-species-checked": "guaranteed", "IHCP-species-dilution-info": "", "IHCP-species-notes": "" }, "Rat": { "IP-species-checked": "notRecommended", "IP-species-dilution-info": "", "IP-species-notes": "<p></p>", "FlowCyt-species-checked": "notRecommended", "FlowCyt-species-dilution-info": "", "FlowCyt-species-notes": "<p><a href='/en-us/products/primary-antibodies/rabbit-igg-monoclonal-epr25a-isotype-control-low-endotoxin-azide-free-ab199376'>ab199376</a> - Rabbit monoclonal IgG, is suitable for use as an isotype control with this antibody.</p>", "WB-species-checked": "testedAndGuaranteed", "WB-species-dilution-info": "", "WB-species-notes": "<p><strong>For unpurified use at 1/20000.</strong></p>", "ICCIF-species-checked": "testedAndGuaranteed", "ICCIF-species-dilution-info": "", "ICCIF-species-notes": "<p></p>", "IHCP-species-checked": "guaranteed", "IHCP-species-dilution-info": "", "IHCP-species-notes": "" } } }

Product details

ab219365 is the carrier-free version of ab52476.

Patented technology
Our RabMAb® technology is a patented hybridoma-based technology for making rabbit monoclonal antibodies. For details on our patents, please refer to RabMAb® patents.

What are the advantages of a recombinant monoclonal antibody?
This product is a recombinant monoclonal antibody, which offers several advantages including:

  • - High batch-to-batch consistency and reproducibility
  • - Improved sensitivity and specificity
  • - Long-term security of supply
  • - Animal-free batch production

For more information, read more on recombinant antibodies.

Conjugation ready
Our carrier-free antibodies are typically supplied in a PBS-only formulation, purified and free of BSA, sodium azide and glycerol. This conjugation-ready format is designed for use with fluorochromes, metal isotopes, oligonucleotides, and enzymes, which makes them ideal for antibody labelling, functional and cell-based assays, flow-based assays (e.g. mass cytometry) and Multiplex Imaging applications.

Use our conjugation kits for antibody conjugates that are ready-to-use in as little as 20 minutes with 1 minute hands-on-time and 100% antibody recovery: available for fluorescent dyes, HRP, biotin and gold.

Compatibility
This product is compatible with the Maxpar® Antibody Labeling Kit from Fluidigm, without the need for antibody preparation. Maxpar® is a trademark of Fluidigm Canada Inc.

What does low endotoxin mean?
Our low endotoxin, azide-free formats have low endotoxin level (1 EU/mg, determined by the TAL assay) and are free from azide, to achieve consistent experimental results in functional assays.

Properties and storage information

Form
Liquid
Purification technique
Affinity purification Protein A
Storage buffer
pH: 7.2 - 7.4 Constituents: PBS
Shipped at conditions
Blue Ice
Appropriate short-term storage conditions
+4°C
Appropriate long-term storage conditions
+4°C
Storage information
Do Not Freeze

Supplementary information

This supplementary information is collated from multiple sources and compiled automatically.

CaMKII also known as calcium/calmodulin-dependent protein kinase II is an enzyme functioning critically in cellular signaling. It consists of multiple isoforms including alpha beta gamma and delta with the delta isoform Delta 1829 frequently highlighted for its specific roles. The molecular weight of CaMKII is approximately 50 to 60 kDa varying slightly between isoforms. CaMKII is widely expressed in the brain but is also present in the heart skeletal muscle and other tissues. Its structure includes a catalytic domain regulatory segment and association domain which allows auto-regulation and interaction with other molecules.
Biological function summary

CaMKII plays a vital role in cellular processes such as learning memory and muscle contraction. It can form a complex structure involving multiple subunits which allows for its unique ability to signal in response to calcium influx and calmodulin binding. This causes autophosphorylation of CaMKII allowing it to remain active even when calcium levels diminish. This property makes CaMKII essential for long-term potentiation (LTP) in neuron synapses influencing cognitive functions deeply.

Pathways

CaMKII is an important component of both the calcium signaling and synaptic plasticity pathways. In the calcium signaling pathway CaMKII interacts with calmodulin and other kinases to modulate calcium entry and signaling. In synaptic plasticity CaMKII works closely with proteins like NMDA receptors which regulate synaptic strength and modulation essential for encoding learning and memory. These interactions highlight its significance as a mediator between signaling cascades and cellular responses.

Abnormal regulation or expression of CaMKII links to Alzheimer's disease and cardiac arrhythmias. In Alzheimer's the dysregulation of CaMKII affects synaptic integrity and memory formation involving interaction with beta-amyloid plaques. In cardiac arrhythmias CaMKII dysfunction leads to improper cardiac muscle contractions often linked to the protein phospholamban. These associations highlight the clinical relevance of CaMKII in addressing and understanding mechanisms underpinning these diseases.

Product protocols

For this product, it's our understanding that no specific protocols are required. You can visit:

Target data

Calcium/calmodulin-dependent protein kinase that functions autonomously after Ca(2+)/calmodulin-binding and autophosphorylation, and is involved in various processes, such as synaptic plasticity, neurotransmitter release and long-term potentiation (PubMed : 14722083). Member of the NMDAR signaling complex in excitatory synapses, it regulates NMDAR-dependent potentiation of the AMPAR and therefore excitatory synaptic transmission (By similarity). Regulates dendritic spine development (PubMed : 28130356). Also regulates the migration of developing neurons (PubMed : 29100089). Phosphorylates the transcription factor FOXO3 to activate its transcriptional activity (PubMed : 23805378). Phosphorylates the transcription factor ETS1 in response to calcium signaling, thereby decreasing ETS1 affinity for DNA (By similarity). In response to interferon-gamma (IFN-gamma) stimulation, catalyzes phosphorylation of STAT1, stimulating the JAK-STAT signaling pathway (PubMed : 11972023). In response to interferon-beta (IFN-beta) stimulation, stimulates the JAK-STAT signaling pathway (PubMed : 35568036). Acts as a negative regulator of 2-arachidonoylglycerol (2-AG)-mediated synaptic signaling via modulation of DAGLA activity (By similarity).
See full target information CAMK2A

Publications (1)

Recent publications for all applications. Explore the full list and refine your search

Journal of comparative pathology 155:299-304 PubMed27567927

2016

Epithelial Cell Adhesion Molecule Expression in Canine Tumours.

Applications

Unspecified application

Species

Unspecified reactive species

D H Thamm,D F Hayes,T Meuten,T Laver,D G Thomas
View all publications

Product promise

We are committed to supporting your work with high-quality reagents, and we're here for you every step of the way. In the unlikely event that one of our products does not perform as expected, you're protected by our Product Promise.
For full details, please see our Terms & Conditions

Please note: All products are 'FOR RESEARCH USE ONLY. NOT FOR USE IN DIAGNOSTIC OR THERAPEUTIC PROCEDURES'.

For licensing inquiries, please contact partnerships@abcam.com