JavaScript is disabled in your browser. Please enable JavaScript to view this website.
AB134041

Anti-CaMKII antibody [EPR6686(2)]

Be the first to review this product! Submit a review

|

(23 Publications)

Anti-CaMKII antibody [EPR6686(2)] (ab134041) is a rabbit monoclonal antibody detecting CaMKII in Western Blot, Flow Cytometry (Intra), Flow Cytometry, IHC-P, ICC/IF. Suitable for Human, Mouse, Rat.

- Biophysical QC for unrivalled batch-batch consistency
- Over 20 publications

View Alternative Names

CAM2, CAMK2, CAMKB, CAMK2B, Calcium/calmodulin-dependent protein kinase type II subunit beta, CaM kinase II subunit beta, CaMK-II subunit beta

8 Images
Flow Cytometry (Intracellular) - Anti-CaMKII antibody [EPR6686(2)] (AB134041)
  • Flow Cyt (Intra)

Supplier Data

Flow Cytometry (Intracellular) - Anti-CaMKII antibody [EPR6686(2)] (AB134041)

Intracellular Flow Cytometry analysis of SH-SY5Y (Human neuroblastoma epithelial cell) cells labeling CaMKII with purified ab134041 at 1/70 dilution (10 μg/ml) (red). Cells were fixed with 4% Paraformaldehyde and then permeabilized with 90% methanol for 30min. A Goat anti rabbit IgG (Alexa Fluor® 488) secondary antibody was used at 1/2000 dilution. Isotype control - Rabbit monoclonal IgG (Black). Unlabeled control - Cell without incubation with primary antibody and secondary antibody (Blue).

Western blot - Anti-CaMKII antibody [EPR6686(2)] (AB134041)
  • WB

Unknown

Western blot - Anti-CaMKII antibody [EPR6686(2)] (AB134041)

All lanes:

Western blot - Anti-CaMKII antibody [EPR6686(2)] (ab134041) at 1/1000 dilution

Lane 1:

Human fetal brain lysate at 10 µg

Lane 2:

HeLa lysate at 10 µg

Secondary

All lanes:

HRP labelled goat anti- rabbit at 1/2000 dilution

Predicted band size: 54 kDa

false

Western blot - Anti-CaMKII antibody [EPR6686(2)] (AB134041)
  • WB

Unknown

Western blot - Anti-CaMKII antibody [EPR6686(2)] (AB134041)

Blocking and diluting buffer : 5% NFDM/TBST.

This antibody might cross-react with family members based on the high immunogen homology. That might be the reason why doublet are detected.

All lanes:

Western blot - Anti-CaMKII antibody [EPR6686(2)] (ab134041) at 0.08 µg/mL

Lane 1:

HeLa (Human cervix adenocarcinoma epithelial cell) whole cell lysates at 15 µg

Lane 2:

Rat brain lysates at 15 µg

Lane 3:

Mouse brain lysates at 15 µg

Secondary

All lanes:

Western blot - Goat Anti-Rabbit IgG H&L (HRP) (<a href='/en-us/products/secondary-antibodies/goat-rabbit-igg-h-l-hrp-ab97051'>ab97051</a>) at 1/20000 dilution

Predicted band size: 54 kDa

false

Immunohistochemistry (Formalin/PFA-fixed paraffin-embedded sections) - Anti-CaMKII antibody [EPR6686(2)] (AB134041)
  • IHC-P

Unknown

Immunohistochemistry (Formalin/PFA-fixed paraffin-embedded sections) - Anti-CaMKII antibody [EPR6686(2)] (AB134041)

Immunohistochemical analysis of paraffin-embedded Human brain tissue labelling CaMKII with unpurified ab134041 at 1/250 dilution.

Perform heat mediated antigen retrieval with citrate buffer pH 6 before commencing with IHC staining protocol.

Immunohistochemistry (Formalin/PFA-fixed paraffin-embedded sections) - Anti-CaMKII antibody [EPR6686(2)] (AB134041)
  • IHC-P

Unknown

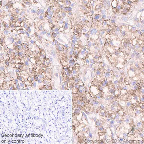
Immunohistochemistry (Formalin/PFA-fixed paraffin-embedded sections) - Anti-CaMKII antibody [EPR6686(2)] (AB134041)

Immunohistochemistry (Formalin/PFA-fixed paraffin-embedded sections) analysis of Human clear cell cancer of kidney tissue sections labeling CaMKII with Purified ab134041 at 1 : 500 dilution (1.5 µg/ml). Heat mediated antigen retrieval was performed using ab93684 (Tris/EDTA buffer, pH 9.0)ImmunoHistoProbe one step HRP Polymer (ready to use)was used as the secondary antibody.Negative control : PBS instead of the primary antibody.Hematoxylinwas used as a counterstain

Flow Cytometry (Intracellular) - Anti-CaMKII antibody [EPR6686(2)] (AB134041)
  • Flow Cyt (Intra)

Unknown

Flow Cytometry (Intracellular) - Anti-CaMKII antibody [EPR6686(2)] (AB134041)

Overlay histogram showing SH-SY5Y cells stained with ab134041 (red line). The cells were fixed with 4% paraformaldehyde (10 min) and then permeabilized with 0.1% PBS-Tween for 20 min. The cells were then incubated in 1x PBS / 10% normal goat serum / 0.3M glycine to block non-specific protein-protein interactions followed by the antibody (unpurified ab134041, 1/1000 dilution) for 30 min at 22°C. The secondary antibody used was Alexa Fluor® 488 goat anti-rabbit IgG (H&L) (ab150077) at 1/2000 dilution for 30 min at 22°C. Isotype control antibody (black line) was rabbit IgG (monoclonal) (0.1μg/1x106 cells) used under the same conditions. Unlabelled sample (blue line) was also used as a control. Acquisition of >5,000 events were collected using a 20mW Argon ion laser (488nm) and 525/30 bandpass filter. This antibody gave a positive signal in SH-SY5Y cells fixed with 80% methanol (5 min)/permeabilized with 0.1% PBS-Tween for 20 min used under the same conditions.

Immunocytochemistry/ Immunofluorescence - Anti-CaMKII antibody [EPR6686(2)] (AB134041)
  • ICC/IF

Unknown

Immunocytochemistry/ Immunofluorescence - Anti-CaMKII antibody [EPR6686(2)] (AB134041)

Immunofluorescent analysis of U87-MG cells labelling CaMKII with unpurified ab134041 at 1/250 dilution.

Immunocytochemistry/ Immunofluorescence - Anti-CaMKII antibody [EPR6686(2)] (AB134041)
  • ICC/IF

Lab

Immunocytochemistry/ Immunofluorescence - Anti-CaMKII antibody [EPR6686(2)] (AB134041)

ab134041 staining CaMKII in Neuro-2A cells. The cells were differentiated with 20μM Trans-retinoic acid and serum starved (0.1%FBS/DMEM) for 48hours. They were then fixed with 100% methanol (5 min), permeabilized with 0.1% Triton X-100 for 5 minutes and then blocked with 1% BSA/10% normal goat serum/0.3M glycine in 0.1%PBS-Tween for 1h. The cells were then incubated overnight at +4°C with purified ab134041 at a 5μg/ml concentration and ab78078, Mouse monoclonal [2G10] to beta III Tubulin, at 5μg/ml concentration, followed by a further incubation at room temperature for 1h with an anti-rabbit AlexaFluor® 488 (ab150081) at 2 μg/ml (shown in green) and an anti-mouse AlexaFluor® 594 (ab150120) at 2 μg/ml (shown in pseudocolor red). Nuclear DNA was labelled with DAPI (shown in blue).

Image was taken with a confocal microscope (Leica-Microsystems, TCS SP8).

  • 660 APC

    APC Anti-CaMKII antibody [EPR6686(2)]

  • 519 Alexa Fluor® 488

    Alexa Fluor® 488 Anti-CaMKII antibody [EPR6686(2)]

  • 665 Alexa Fluor® 647

    Alexa Fluor® 647 Anti-CaMKII antibody [EPR6686(2)]

  • Carrier free

    Anti-CaMKII antibody [EPR6686(2)] - BSA and Azide free

Key facts

Host species

Rabbit

Clonality

Monoclonal

Clone number

EPR6686(2)

Isotype

IgG

Carrier free

No

Reacts with

Mouse, Rat, Human

Applications

WB, ICC/IF, Flow Cyt (Intra), IHC-P

applications

Immunogen

The exact immunogen used to generate this antibody is proprietary information.

Specificity

The immunogen shares 100% homology with CaMK2 beta, 93% homology with CaMK2 gamma and 73% homology with CaMK2 alpha and delta.
The mouse and rat recommendation is based on the WB results. We do not guarantee IHC-P for mouse and rat.

Reactivity data

{ "title": "Reactivity Data", "filters": { "stats": ["", "Species", "Dilution Info", "Notes"], "tabs": { "all-applications": {"fullname" : "All Applications", "shortname": "All Applications"}, "IHCP" : {"fullname" : "Immunohistochemistry (Formalin/PFA-fixed paraffin-embedded sections)", "shortname":"IHC-P"}, "WB" : {"fullname" : "Western blot", "shortname":"WB"}, "ICCIF" : {"fullname" : "Immunocytochemistry/ Immunofluorescence", "shortname":"ICC/IF"}, "FlowCytIntra" : {"fullname" : "Flow Cytometry (Intracellular)", "shortname":"Flow Cyt (Intra)"} }, "product-promise": { "all": "all", "testedAndGuaranteed": "tested", "guaranteed": "expected", "predicted": "predicted", "notRecommended": "not-recommended" } }, "values": { "Human": { "IHCP-species-checked": "testedAndGuaranteed", "IHCP-species-dilution-info": "1/250 - 1/500", "IHCP-species-notes": "<p>The mouse and rat recommendation is based on the WB results. We do not guarantee IHC-P for mouse and rat.</p> Perform heat-mediated antigen retrieval with citrate buffer pH 6 before commencing with IHC staining protocol.", "WB-species-checked": "testedAndGuaranteed", "WB-species-dilution-info": "1/1000 - 1/10000", "WB-species-notes": "<p></p>", "ICCIF-species-checked": "testedAndGuaranteed", "ICCIF-species-dilution-info": "5 µg/mL", "ICCIF-species-notes": "<p></p>", "FlowCytIntra-species-checked": "testedAndGuaranteed", "FlowCytIntra-species-dilution-info": "1/10 - 1/1000", "FlowCytIntra-species-notes": "<p><a href='/en-us/products/primary-antibodies/rabbit-igg-monoclonal-epr25a-isotype-control-ab172730'>ab172730</a> - Rabbit monoclonal IgG, is suitable for use as an isotype control with this antibody.</p>" }, "Mouse": { "IHCP-species-checked": "guaranteed", "IHCP-species-dilution-info": "", "IHCP-species-notes": "", "WB-species-checked": "testedAndGuaranteed", "WB-species-dilution-info": "1/1000 - 1/10000", "WB-species-notes": "<p></p>", "ICCIF-species-checked": "testedAndGuaranteed", "ICCIF-species-dilution-info": "5 µg/mL", "ICCIF-species-notes": "<p></p>", "FlowCytIntra-species-checked": "guaranteed", "FlowCytIntra-species-dilution-info": "", "FlowCytIntra-species-notes": "" }, "Rat": { "IHCP-species-checked": "guaranteed", "IHCP-species-dilution-info": "", "IHCP-species-notes": "", "WB-species-checked": "testedAndGuaranteed", "WB-species-dilution-info": "1/1000 - 1/10000", "WB-species-notes": "<p></p>", "ICCIF-species-checked": "guaranteed", "ICCIF-species-dilution-info": "", "ICCIF-species-notes": "", "FlowCytIntra-species-checked": "guaranteed", "FlowCytIntra-species-dilution-info": "", "FlowCytIntra-species-notes": "" } } }

You may be interested in:

AB234572

Human CAMK2B ELISA Kit

0

0 Reviews

View product

We recommend this product because it’s often used in the same experiment or related research.

We advise that you always check the datasheet to ensure it fits your experiments, or contact ourtechnical teamfor help.

Product details

What is this antibody validated in?
Anti-CaMKII antibody [EPR6686(2)] (ab134041) is a rabbit recombinant monoclonal antibody and is validated for use in Western Blot (WB), Flow Cytometry (Intra), Flow Cytometry (Flow Cyt), Immunohistochemistry (IHC-P), Immunocytochemistry/immunofluorescence (ICC/IF) in Human, Mouse, Rat samples.

What is the molecular weight of CaMKII?
Anti-CaMKII [EPR6686(2)] (ab134041) specifically detects a band for CaMKII (UniProt: Q13554) at a molecular weight of 54kDa.

Trusted by the scientific community
Anti-CaMKII [EPR6686(2)] (ab134041) was first used in a scientific publication in 2012 and has been cited over 20 times in peer-reviewed journals.

Trial sizes available!
Test your antibody or perform pre-screening before committing to a larger quantity. Sold in 10µl. Discover our selection of trial-size antibodies.

Other related products
We have a range of other formats of antibody clone [EPR6686(2)] also available for your convenience: ab134041, Alexa Fluor® 488 - ab205862, Alexa Fluor® 647 - ab205863, APC - ab225178, Carrier free - ab227108

Patented technology
Our RabMAb® technology is a patented hybridoma-based technology for making rabbit monoclonal antibodies. For details on our patents, please refer to RabMAb® patents.

What are the advantages of a recombinant monoclonal antibody?
This product is a recombinant monoclonal antibody, which offers several advantages including:

  • - High batch-to-batch consistency and reproducibility
  • - Improved sensitivity and specificity
  • - Long-term security of supply
  • - Animal-free batch production

For more information, read more on recombinant antibodies.

Properties and storage information

Form
Liquid
Purification technique
Affinity purification Protein A
Storage buffer
pH: 7.2 - 7.4 Preservative: 0.01% Sodium azide Constituents: 59% PBS, 40% Glycerol (glycerin, glycerine), 0.05% BSA
Shipped at conditions
Conditional Ambient
Appropriate short-term storage duration
1-2 weeks
Appropriate short-term storage conditions
+4°C
Appropriate long-term storage conditions
-20°C
Aliquoting information
Upon delivery aliquot
Storage information
Avoid freeze / thaw cycle

Supplementary information

This supplementary information is collated from multiple sources and compiled automatically.

CaMKII also known as calcium/calmodulin-dependent protein kinase II is an enzyme functioning critically in cellular signaling. It consists of multiple isoforms including alpha beta gamma and delta with the delta isoform Delta 1829 frequently highlighted for its specific roles. The molecular weight of CaMKII is approximately 50 to 60 kDa varying slightly between isoforms. CaMKII is widely expressed in the brain but is also present in the heart skeletal muscle and other tissues. Its structure includes a catalytic domain regulatory segment and association domain which allows auto-regulation and interaction with other molecules.
Biological function summary

CaMKII plays a vital role in cellular processes such as learning memory and muscle contraction. It can form a complex structure involving multiple subunits which allows for its unique ability to signal in response to calcium influx and calmodulin binding. This causes autophosphorylation of CaMKII allowing it to remain active even when calcium levels diminish. This property makes CaMKII essential for long-term potentiation (LTP) in neuron synapses influencing cognitive functions deeply.

Pathways

CaMKII is an important component of both the calcium signaling and synaptic plasticity pathways. In the calcium signaling pathway CaMKII interacts with calmodulin and other kinases to modulate calcium entry and signaling. In synaptic plasticity CaMKII works closely with proteins like NMDA receptors which regulate synaptic strength and modulation essential for encoding learning and memory. These interactions highlight its significance as a mediator between signaling cascades and cellular responses.

Abnormal regulation or expression of CaMKII links to Alzheimer's disease and cardiac arrhythmias. In Alzheimer's the dysregulation of CaMKII affects synaptic integrity and memory formation involving interaction with beta-amyloid plaques. In cardiac arrhythmias CaMKII dysfunction leads to improper cardiac muscle contractions often linked to the protein phospholamban. These associations highlight the clinical relevance of CaMKII in addressing and understanding mechanisms underpinning these diseases.

Product protocols

For this product, it's our understanding that no specific protocols are required. You can visit:

Target data

Calcium/calmodulin-dependent protein kinase that functions autonomously after Ca(2+)/calmodulin-binding and autophosphorylation, and is involved in dendritic spine and synapse formation, neuronal plasticity and regulation of sarcoplasmic reticulum Ca(2+) transport in skeletal muscle (PubMed : 16690701). In neurons, plays an essential structural role in the reorganization of the actin cytoskeleton during plasticity by binding and bundling actin filaments in a kinase-independent manner. This structural function is required for correct targeting of CaMK2A, which acts downstream of NMDAR to promote dendritic spine and synapse formation and maintain synaptic plasticity which enables long-term potentiation (LTP) and hippocampus-dependent learning. In developing hippocampal neurons, promotes arborization of the dendritic tree and in mature neurons, promotes dendritic remodeling. Also regulates the migration of developing neurons (PubMed : 29100089). Participates in the modulation of skeletal muscle function in response to exercise (PubMed : 16690701). In slow-twitch muscles, is involved in regulation of sarcoplasmic reticulum (SR) Ca(2+) transport and in fast-twitch muscle participates in the control of Ca(2+) release from the SR through phosphorylation of triadin, a ryanodine receptor-coupling factor, and phospholamban (PLN/PLB), an endogenous inhibitor of SERCA2A/ATP2A2. In response to interferon-gamma (IFN-gamma) stimulation, catalyzes phosphorylation of STAT1, stimulating the JAK-STAT signaling pathway (By similarity). Phosphorylates reticulophagy regulator RETREG1 at 'Ser-151' under endoplasmic reticulum stress conditions which enhances RETREG1 oligomerization and its membrane scission and reticulophagy activity (PubMed : 31930741).
See full target information CAMK2B

Additional targets

CAMK2A,CAMK2G,CAMK2D

Publications (23)

Recent publications for all applications. Explore the full list and refine your search

Journal of bone and mineral research : the official journal of the American Society for Bone and Mineral Research 38:1015-1031 PubMed37129025

2023

Magnesium Ascorbyl Phosphate Promotes Bone Formation Via CaMKII Signaling.

Applications

Unspecified application

Species

Unspecified reactive species

Yongheng Xie,Zhiteng Bao,Zhenmin Wang,Danfeng Du,Gaoyang Chen,Chungeng Liu,Hongyu Wang,Naibo Feng,Xiao Xiao,Song Wang,Xin Zhang,Yong Zhu,Zhengbin Yuan,Houqing Long,Dazhi Yang,Songlin Peng

Metabolites 13: PubMed36837844

2023

Projections from the Rostral Zona Incerta to the Thalamic Paraventricular Nucleus Mediate Nociceptive Neurotransmission in Mice.

Applications

Unspecified application

Species

Unspecified reactive species

Feng-Ling Wu,Si-Hai Chen,Jia-Ni Li,Liu-Jie Zhao,Xue-Mei Wu,Jie Hong,Ke-Hua Zhu,Han-Xue Sun,Su-Juan Shi,E Mao,Wei-Dong Zang,Jing Cao,Zhen-Zhen Kou,Yun-Qing Li

Redox biology 59:102594 PubMed36603528

2023

Diminished α7 nicotinic acetylcholine receptor (α7nAChR) rescues amyloid-β induced atrial remodeling by oxi-CaMKII/MAPK/AP-1 axis-mediated mitochondrial oxidative stress.

Applications

Unspecified application

Species

Unspecified reactive species

Jikai Zhao,Liming Yu,Xiaodong Xue,Yinli Xu,Tao Huang,Dengyue Xu,Zhishang Wang,Linyu Luo,Huishan Wang

Environmental science and pollution research international 30:37427-37439 PubMed36574118

2022

The dose-dependent effect of 1.5-GHz microwave exposure on spatial memory and the NMDAR pathway in Wistar rats.

Applications

Unspecified application

Species

Unspecified reactive species

Hui Wang,Lequan Song,Li Zhao,Haoyu Wang,Xinping Xu,Ji Dong,Jing Zhang,Binwei Yao,Xuelong Zhao,Ruiyun Peng

Frontiers in neuroanatomy 16:1074310 PubMed36620195

2022

Perioperative sleep deprivation activates the paraventricular thalamic nucleus resulting in persistent postoperative incisional pain in mice.

Applications

Unspecified application

Species

Unspecified reactive species

Lei Li,Huijie Zhang,Zhenli Zheng,Nan Ma,Yidan Zhang,Yaping Liu,Jingjing Zhang,Songxue Su,Weidong Zang,Jinping Shao,Jing Cao

Pharmaceutical biology 60:2145-2154 PubMed36373991

2022

Veratramine ameliorates pain symptoms in rats with diabetic peripheral neuropathy by inhibiting activation of the SIGMAR1-NMDAR pathway.

Applications

Unspecified application

Species

Unspecified reactive species

Yu Zhang,Guangyao Ye,Yuebo Chen,Chaoxu Sheng,Jianlin Wang,Lingsi Kong,Liyong Yuan,Chunyan Lin

Cardiovascular diabetology 21:197 PubMed36171554

2022

Dapagliflozin reduces the vulnerability of rats with pulmonary arterial hypertension-induced right heart failure to ventricular arrhythmia by restoring calcium handling.

Applications

Unspecified application

Species

Unspecified reactive species

Jinchun Wu,Tao Liu,Shaobo Shi,Zhixing Fan,Roddy Hiram,Feng Xiong,Bo Cui,Xiaoling Su,Rong Chang,Wei Zhang,Min Yan,Yanhong Tang,He Huang,Gang Wu,Congxin Huang

BMC complementary medicine and therapies 22:115 PubMed35468773

2022

Trans-cinnamaldehyde protects against phenylephrine-induced cardiomyocyte hypertrophy through the CaMKII/ERK pathway.

Applications

Unspecified application

Species

Unspecified reactive species

Dongdong Qian,Jing Tian,Sining Wang,Xiaoli Shan,Pei Zhao,Huihua Chen,Ming Xu,Wei Guo,Chen Zhang,Rong Lu

Alcoholism, clinical and experimental research 46:707-723 PubMed35315077

2022

Impact and potential mechanism of effects of chronic moderate alcohol consumption on cardiac function in aldehyde dehydrogenase 2 gene heterozygous mice.

Applications

Unspecified application

Species

Unspecified reactive species

Qinfeng Hu,Hang Chen,Cheng Shen,Beijian Zhang,Xinyu Weng,Xiaolei Sun,Jin Liu,Zhen Dong,Kai Hu,Junbo Ge,Aijun Sun

Frontiers in aging neuroscience 14:814560 PubMed35264943

2022

Low-Intensity Focused Ultrasound Stimulation Ameliorates Working Memory Dysfunctions in Vascular Dementia Rats Improving Neuronal Environment.

Applications

Unspecified application

Species

Unspecified reactive species

Faqi Wang,Qian Wang,Ling Wang,Jing Ren,Xizi Song,Yutao Tian,Chenguang Zheng,Jiajia Yang,Dong Ming
View all publications

Product promise

We are committed to supporting your work with high-quality reagents, and we're here for you every step of the way. In the unlikely event that one of our products does not perform as expected, you're protected by our Product Promise.
For full details, please see our Terms & Conditions

Associated Products

Select an associated product type
Alternative Product
Primary Antibodies

AB171095

Anti-CaMKII (phospho T286) antibody [22B1]

primary-antibodies

camkii-phospho-t286-antibody-22b1-ab171095

4

(2 reviews)

Alternative Product
Primary Antibodies

AB32678

Anti-CaMKII (phospho T286) antibody

primary-antibodies

camkii-phospho-t286-antibody-ab32678

5

(28 reviews)

Alternative Product
Primary Antibodies

AB216503

Anti-CaMKII antibody

primary-antibodies

camkii-antibody-ab216503

0

(0 reviews)

Alternative Product
Primary Antibodies

AB187488

Anti-CaMKII alpha antibody [6G9] - BSA and Azide free

primary-antibodies

camkii-alpha-antibody-6g9-bsa-and-azide-free-ab187488

5

(1 reviews)

Alternative Product
Primary Antibodies

AB22609

Anti-CaMKII alpha antibody [6G9]

primary-antibodies

camkii-alpha-antibody-6g9-ab22609

4

(6 reviews)

Alternative Product
Primary Antibodies

AB196378

Alexa Fluor® 488 Anti-CaMKII antibody [EP1829Y]

primary-antibodies

alexa-fluor-488-camkii-antibody-ep1829y-ab196378

0

(0 reviews)

Alternative Product
Primary Antibodies

AB197499

Alexa Fluor® 647 Anti-CaMKII alpha antibody [6G9]

primary-antibodies

alexa-fluor-647-camkii-alpha-antibody-6g9-ab197499

0

(0 reviews)

Alternative Product
Primary Antibodies

AB197497

Alexa Fluor® 488 Anti-CaMKII alpha antibody [6G9]

primary-antibodies

alexa-fluor-488-camkii-alpha-antibody-6g9-ab197497

0

(0 reviews)

Alternative Product
Primary Antibodies

AB197500

HRP Anti-CaMKII alpha antibody [6G9]

primary-antibodies

hrp-camkii-alpha-antibody-6g9-ab197500

0

(0 reviews)

Alternative Product
Primary Antibodies

AB195518

HRP Anti-CaMKII antibody [EP1829Y]

primary-antibodies

hrp-camkii-antibody-ep1829y-ab195518

0

(0 reviews)

Alternative Product
Primary Antibodies

AB196165

Alexa Fluor® 647 Anti-CaMKII antibody [EP1829Y]

primary-antibodies

alexa-fluor-647-camkii-antibody-ep1829y-ab196165

0

(0 reviews)

Alternative Product
Primary Antibodies

AB206883

Alexa Fluor® 555 Anti-CaMKII antibody [EP1829Y]

primary-antibodies

alexa-fluor-555-camkii-antibody-ep1829y-ab206883

0

(0 reviews)

Alternative Product
Primary Antibodies

AB52476

Anti-CaMKII antibody [EP1829Y]

primary-antibodies

camkii-antibody-ep1829y-ab52476

4

(7 reviews)

Alternative Product
Primary Antibodies

AB126789

Anti-CaMKII antibody [EPR6685(B)]

primary-antibodies

camkii-antibody-epr6685b-ab126789

0

(0 reviews)

Alternative Product
Primary Antibodies

AB271841

Anti-CaMKII antibody [EP1829Y] - BSA and Azide free

primary-antibodies

camkii-antibody-ep1829y-bsa-and-azide-free-ab271841

0

(0 reviews)

Please note: All products are 'FOR RESEARCH USE ONLY. NOT FOR USE IN DIAGNOSTIC OR THERAPEUTIC PROCEDURES'.

For licensing inquiries, please contact partnerships@abcam.com