JavaScript is disabled in your browser. Please enable JavaScript to view this website.
AB314898

Anti-CaMKII beta antibody [EPR28076-54] - BSA and Azide free

  • BOND RX™ Validated
  • Advanced Validation
  • RabMAb
  • Recombinant
  • What is this?

Be the first to review this product! Submit a review

|

(0 Publication)

Rabbit Recombinant Monoclonal KCC2B antibody. Carrier free. Suitable for mIHC, WB, IHC-P, Dot, Flow Cyt (Intra) and reacts with Mouse, Human, Rat, Recombinant fragment - Mouse samples.

View Alternative Names

Camk2d, Camk2b, Calcium/calmodulin-dependent protein kinase type II subunit beta, CaM kinase II subunit beta, CaMK-II subunit beta

15 Images
Immunohistochemistry (Formalin/PFA-fixed paraffin-embedded sections) - Anti-CaMKII beta antibody [EPR28076-54] - BSA and Azide free (AB314898)
  • IHC-P

Supplier Data

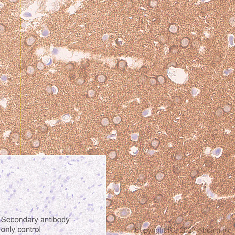
Immunohistochemistry (Formalin/PFA-fixed paraffin-embedded sections) - Anti-CaMKII beta antibody [EPR28076-54] - BSA and Azide free (AB314898)

This data was developed using ab314897, the same antibody clone in a different buffer formulation.

Immunohistochemical analysis of paraffin-embedded human cerebrum tissue labeling CaMKII beta with ab314897 at 1/500 (1.05 ug/ml) followed by a ready to use LeicaDS9800 (Bond™ Polymer Refine Detection). Positive staining on human cerebrum. The section was incubated with ab314897 for 30 mins at room temperature. The immunostaining was performed on a Leica Biosystems BOND® RX instrument. Counterstained with Hematoxylin.

Secondary antibody only control : Secondary antibody is a ready to use LeicaDS9800 (Bond™ Polymer Refine Detection).

Heat mediated antigen retrieval was performed with Tris-EDTA buffer (pH 9.0, Epitope Retrieval Solution2) for 20 mins.

Immunohistochemistry (Formalin/PFA-fixed paraffin-embedded sections) - Anti-CaMKII beta antibody [EPR28076-54] - BSA and Azide free (AB314898)
  • IHC-P

Supplier Data

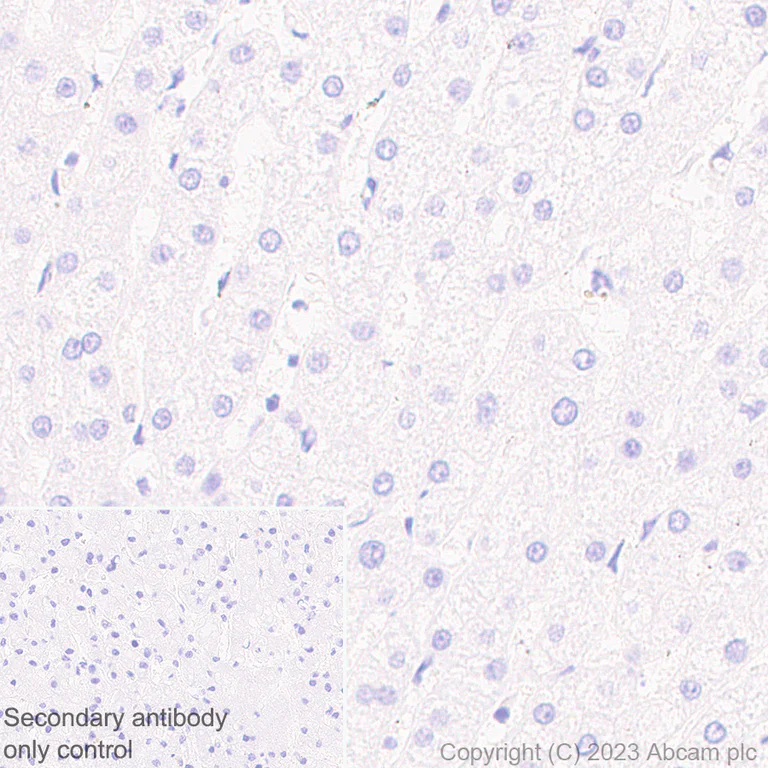
Immunohistochemistry (Formalin/PFA-fixed paraffin-embedded sections) - Anti-CaMKII beta antibody [EPR28076-54] - BSA and Azide free (AB314898)

This data was developed using ab314897, the same antibody clone in a different buffer formulation.

Immunohistochemical analysis of paraffin-embedded human liver tissue labeling CaMKII beta with ab314897 at 1/500 (1.05 ug/ml) followed by a ready to use LeicaDS9800 (Bond™ Polymer Refine Detection). Negative control : no staining on human liver. The section was incubated with ab314897 for 30 mins at room temperature. The immunostaining was performed on a Leica Biosystems BOND® RX instrument. Counterstained with Hematoxylin.

Secondary antibody only control : Secondary antibody is a ready to use LeicaDS9800 (Bond™ Polymer Refine Detection).

Heat mediated antigen retrieval was performed with Tris-EDTA buffer (pH 9.0, Epitope Retrieval Solution2) for 20 mins.

Immunohistochemistry (Formalin/PFA-fixed paraffin-embedded sections) - Anti-CaMKII beta antibody [EPR28076-54] - BSA and Azide free (AB314898)
  • IHC-P

Supplier Data

Immunohistochemistry (Formalin/PFA-fixed paraffin-embedded sections) - Anti-CaMKII beta antibody [EPR28076-54] - BSA and Azide free (AB314898)

This data was developed using ab314897, the same antibody clone in a different buffer formulation.

Immunohistochemical analysis of paraffin-embedded human astrocytoma tissue labeling CaMKII beta with ab314897 at 1/500 (1.05 ug/ml) followed by a ready to use LeicaDS9800 (Bond™ Polymer Refine Detection). Positive staining on human astrocytoma (PMID : 30816530). The section was incubated with ab314897 for 30 mins at room temperature. The immunostaining was performed on a Leica Biosystems BOND® RX instrument. Counterstained with Hematoxylin.

Secondary antibody only control : Secondary antibody is a ready to use LeicaDS9800 (Bond™ Polymer Refine Detection).

Heat mediated antigen retrieval was performed with Tris-EDTA buffer (pH 9.0, Epitope Retrieval Solution2) for 20 mins.

Immunohistochemistry (Formalin/PFA-fixed paraffin-embedded sections) - Anti-CaMKII beta antibody [EPR28076-54] - BSA and Azide free (AB314898)
  • IHC-P

Supplier Data

Immunohistochemistry (Formalin/PFA-fixed paraffin-embedded sections) - Anti-CaMKII beta antibody [EPR28076-54] - BSA and Azide free (AB314898)

This data was developed using ab314897, the same antibody clone in a different buffer formulation.

Immunohistochemical analysis of paraffin-embedded rat cerebrum tissue labeling CaMKII beta with ab314897 at 1/5000 (0.105 ug/ml) followed by a ready to use LeicaDS9800 (Bond™ Polymer Refine Detection). Positive staining on rat cerebrum (PMID : 29784938). The section was incubated with ab314897 for 30 mins at room temperature. The immunostaining was performed on a Leica Biosystems BOND® RX instrument. Counterstained with Hematoxylin.

Secondary antibody only control : Secondary antibody is a ready to use LeicaDS9800 (Bond™ Polymer Refine Detection).

Heat mediated antigen retrieval was performed with Tris-EDTA buffer (pH 9.0, Epitope Retrieval Solution2) for 20 mins.

Immunohistochemistry (Formalin/PFA-fixed paraffin-embedded sections) - Anti-CaMKII beta antibody [EPR28076-54] - BSA and Azide free (AB314898)
  • IHC-P

Supplier Data

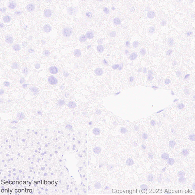
Immunohistochemistry (Formalin/PFA-fixed paraffin-embedded sections) - Anti-CaMKII beta antibody [EPR28076-54] - BSA and Azide free (AB314898)

This data was developed using ab314897, the same antibody clone in a different buffer formulation.

Immunohistochemical analysis of paraffin-embedded mouse liver tissue labeling CaMKII beta with ab314897 at 1/5000 (0.105 ug/ml) followed by a ready to use LeicaDS9800 (Bond™ Polymer Refine Detection). Negative control : no staining on mouse liver. The section was incubated with ab314897 for 30 mins at room temperature. The immunostaining was performed on a Leica Biosystems BOND® RX instrument. Counterstained with Hematoxylin.

Secondary antibody only control : Secondary antibody is a ready to use LeicaDS9800 (Bond™ Polymer Refine Detection).

Heat mediated antigen retrieval was performed with Tris-EDTA buffer (pH 9.0, Epitope Retrieval Solution2) for 20 mins.

Immunohistochemistry (Formalin/PFA-fixed paraffin-embedded sections) - Anti-CaMKII beta antibody [EPR28076-54] - BSA and Azide free (AB314898)
  • IHC-P

Supplier Data

Immunohistochemistry (Formalin/PFA-fixed paraffin-embedded sections) - Anti-CaMKII beta antibody [EPR28076-54] - BSA and Azide free (AB314898)

This data was developed using ab314897, the same antibody clone in a different buffer formulation.

Immunohistochemical analysis of paraffin-embedded rat liver tissue labeling CaMKII beta with ab314897 at 1/5000 (0.105 ug/ml) followed by a ready to use LeicaDS9800 (Bond™ Polymer Refine Detection). Negative control : no staining on rat liver. The section was incubated with ab314897 for 30 mins at room temperature. The immunostaining was performed on a Leica Biosystems BOND® RX instrument. Counterstained with Hematoxylin.

Secondary antibody only control : Secondary antibody is a ready to use LeicaDS9800 (Bond™ Polymer Refine Detection).

Heat mediated antigen retrieval was performed with Tris-EDTA buffer (pH 9.0, Epitope Retrieval Solution2) for 20 mins.

Immunohistochemistry (Formalin/PFA-fixed paraffin-embedded sections) - Anti-CaMKII beta antibody [EPR28076-54] - BSA and Azide free (AB314898)
  • IHC-P

Supplier Data

Immunohistochemistry (Formalin/PFA-fixed paraffin-embedded sections) - Anti-CaMKII beta antibody [EPR28076-54] - BSA and Azide free (AB314898)

This data was developed using ab314897, the same antibody clone in a different buffer formulation.

Immunohistochemical analysis of paraffin-embedded mouse cerebrum tissue labeling CaMKII beta with ab314897 at 1/5000 (0.105 ug/ml) followed by a ready to use LeicaDS9800 (Bond™ Polymer Refine Detection). Positive staining on mouse cerebrum (PMID : 21752990; PMID : 31064859). The section was incubated with ab314897 for 30 mins at room temperature. The immunostaining was performed on a Leica Biosystems BOND® RX instrument. Counterstained with Hematoxylin.

Secondary antibody only control : Secondary antibody is a ready to use LeicaDS9800 (Bond™ Polymer Refine Detection).

Heat mediated antigen retrieval was performed with Tris-EDTA buffer (pH 9.0, Epitope Retrieval Solution2) for 20 mins.

Multiplex immunohistochemistry - Anti-CaMKII beta antibody [EPR28076-54] - BSA and Azide free (AB314898)
  • mIHC

Lab

Multiplex immunohistochemistry - Anti-CaMKII beta antibody [EPR28076-54] - BSA and Azide free (AB314898)

This data was developed using ab314897, the same antibody clone in a different buffer formulation.

Multiplex immunohistochemistry analysis of formalin/PFA-fixed paraffin-embedded mouse stomach tissue staining CaMKII beta with ab314897 at 1/5000 dilution, ab315150 anti-Serotonin used at 1/5000 dilution and ab287960 anti-Aurora B used at a 1/300 dilution. Opal Polymer HRP Ms + Rb was used as a secondary antibody, and DAPI was used for a nuclear counter stain. Heat mediated antigen retrieval with Tris-EDTA buffer (pH 9.0, epitope retrieval solution2) for 20 mins.

Panel A : merged staining of anti-CaMKII beta (magenta; Opal690), anti-Serotonin (green; Opal520) and anti-Aurora B (gray; Opal570) on mouse stomach.
Panel B : anti-CaMKII beta staining endocrine cells in mouse stomach.
Panel C : anti-Serotonin staining enterochromaffin cells in mouse stomach.
Panel D : anti-Aurora B staining proliferating cells in mouse stomach.
Nuclear DNA was labeled with DAPI (shown in blue).

The section was incubated in three rounds of staining : in the order of ab314897, ab315150 and ab287960 for 30 mins at room temperature. Each round was followed by a separate fluorescent tyramide signal amplification system.

The immunostaining was performed on a Leica Biosystems BOND® RX instrument with an Opal 4-color kit. Image acquisition was performed with Leica SP8 confocal microscope.

Multiplex immunohistochemistry - Anti-CaMKII beta antibody [EPR28076-54] - BSA and Azide free (AB314898)
  • mIHC

Lab

Multiplex immunohistochemistry - Anti-CaMKII beta antibody [EPR28076-54] - BSA and Azide free (AB314898)

This data was developed using ab314897, the same antibody clone in a different buffer formulation.

Multiplex immunohistochemistry analysis of formalin/PFA-fixed paraffin-embedded mouse small intestine tissue staining CaMKII beta with ab314897 at a 1/5000 dilution, ab315150 anti-Serotonin used at 1/5000 dilution and ab238123 anti-MPTX used at a 1/2000 dilution. Opal Polymer HRP Ms + Rb was used as a secondary antibody.

Panel A : merged staining of anti-CaMKII beta (green; Opal690), anti-Serotonin (magenta; Opal520) and anti-MPTX (grey; Opal570) on mouse small intestine.
Panel B : anti-CaMKII beta staining myenteric nerve plexus and endocrine cells in mouse small intestine.
Panel C : anti-Serotonin staining enterochromaffin cells in mouse small intestine.
Panel D : anti-MPTX staining membrane of Paneth cells in mouse small intestine.
Nuclear DNA was labeled with DAPI (shown in blue).
The section was incubated in three rounds of staining : in the order of ab314897, ab315150 and ab238123 for 30 mins at room temperature. Each round was followed by a separate fluorescent tyramide signal amplification system.

Heat mediated antigen retrieval with Tris-EDTA buffer (pH 9.0, epitope retrieval solution2) for 20 mins.

Multiplex immunohistochemistry - Anti-CaMKII beta antibody [EPR28076-54] - BSA and Azide free (AB314898)
  • mIHC

Lab

Multiplex immunohistochemistry - Anti-CaMKII beta antibody [EPR28076-54] - BSA and Azide free (AB314898)

This data was developed using ab314897, the same antibody clone in a different buffer formulation.

Multiplex immunohistochemistry analysis of formalin/PFA-fixed paraffin-embedded mouse small intestine tissue staining Eph receptor B2 with ab252935 at 1/500 dilution, ab314897 anti-CaMKII beta used at 1/5000 dilution and ab238123 anti-MPTX used at a 1/2000 dilution. Opal Polymer HRP Ms + Rb was used as a secondary antibody.

Panel A : merged staining of anti-Eph receptor B2 (green; Opal™520), anti-CaMKII beta (magenta; Opal™690) and anti-MPTX (gray; Opal™570) on mouse small intestine.
Panel B : anti-Eph receptor B2 staining membrane of stem cells in mouse small intestine.
Panel C : anti-CaMKII beta staining endocrine cells in mouse small intestine.
Panel D : anti-MPTX staining membrane of Paneth cells in mouse small intestine.
Nuclear DNA was labeled with DAPI (shown in blue).

The section was incubated in three rounds of staining : in the order of ab259935, ab314897 and ab238123 for 30 mins at room temperature. Each round was followed by a separate fluorescent tyramide signal amplification system.

Heat mediated antigen retrieval with Tris-EDTA buffer (pH 9.0, epitope retrieval solution2) for 20 mins.

Flow Cytometry (Intracellular) - Anti-CaMKII beta antibody [EPR28076-54] - BSA and Azide free (AB314898)
  • Flow Cyt (Intra)

Supplier Data

Flow Cytometry (Intracellular) - Anti-CaMKII beta antibody [EPR28076-54] - BSA and Azide free (AB314898)

This data was developed using ab314897, the same antibody clone in a different buffer formulation.

Flow cytometric analysis of 4% paraformaldehyde fixed 90% methanol permeabilized mouse primary neuron cells labelling CaMKII beta with ab314897 at 1/50 dilution (1 ug)/Right compared with a Rabbit monoclonal IgG (ab172730) / Left isotype control and an unlabelled control (cells without incubation with primary antibody and secondary antibody). A Goat Anti-Rabbit IgG (Alexa Fluor® 488, ab150081) at 1/5000 dilution was used as the secondary antibody.

Multiplex immunohistochemistry - Anti-CaMKII beta antibody [EPR28076-54] - BSA and Azide free (AB314898)
  • mIHC

Lab

Multiplex immunohistochemistry - Anti-CaMKII beta antibody [EPR28076-54] - BSA and Azide free (AB314898)

This data was developed using ab314897, the same antibody clone in a different buffer formulation.

Multiplex immunohistochemistry analysis of formalin/PFA-fixed paraffin-embedded mouse stomach tissue staining CaMKII beta with ab314897 at 1/5000 dilution, ab315150 anti-Serotonin used at 1/5000 dilution and ab209790 anti-Ghrelin used at a 1/40000 dilution. Opal Polymer HRP Ms + Rb was used as a secondary antibody, and DAPI was used for a nuclear counter stain. Heat mediated antigen retrieval with Tris-EDTA buffer (pH 9.0, epitope retrieval solution2) for 20 mins.

Panel A : merged staining of anti-CaMKII beta (magenta; Opal690), anti-Serotonin (green; Opal520) and anti-Ghrelin (gray; Opal570) on mouse stomach.
Panel B : anti-CaMKII beta staining endocrine cells in mouse stomach.
Panel C : anti-Serotonin staining enterochromaffin cells in mouse stomach.
Panel D : anti-Ghrelin staining ghrelin in mouse stomach.
Nuclear DNA was labeled with DAPI (shown in blue).

The section was incubated in three rounds of staining : in the order of ab314897, ab315150 and ab209790 for 30 mins at room temperature. Each round was followed by a separate fluorescent tyramide signal amplification system.

The immunostaining was performed on a Leica Biosystems BOND® RX instrument with an Opal 4-color kit. Image acquisition was performed with Leica SP8 confocal microscope.

Western blot - Anti-CaMKII beta antibody [EPR28076-54] - BSA and Azide free (AB314898)
  • WB

Supplier Data

Western blot - Anti-CaMKII beta antibody [EPR28076-54] - BSA and Azide free (AB314898)

This data was developed using ab314897, the same antibody clone in a different buffer formulation.

Blocking and diluting buffer and concentration : 5% NFDM/TBST

Negative control : spleen (PMID : 1321343), liver(PMID : 1321343).

In Western blot, Anti-GAPDH antibody [EPR16891] - Loading Control (ab181602) staining at 1/200000 dilution.

All lanes:

Western blot - Anti-CaMKII beta antibody [EPR28076-54] (<a href='/en-us/products/primary-antibodies/camkii-beta-antibody-epr28076-54-ab314897'>ab314897</a>) at 1/1000 dilution

Lane 1:

Human hippocampus tissue lysate at 20 µg

Lane 2:

Human liver tissue lysate at 20 µg

Lane 3:

Human spleen tissue lysate at 20 µg

Secondary

All lanes:

Western blot - Goat Anti-Rabbit IgG H&L (HRP) (<a href='/en-us/products/secondary-antibodies/goat-rabbit-igg-h-l-hrp-ab97051'>ab97051</a>) at 1/100000 dilution

Observed band size: 60 kDa,36 kDa

false

Exposure time: 10s

Western blot - Anti-CaMKII beta antibody [EPR28076-54] - BSA and Azide free (AB314898)
  • WB

Supplier Data

Western blot - Anti-CaMKII beta antibody [EPR28076-54] - BSA and Azide free (AB314898)

This data was developed using ab314897, the same antibody clone in a different buffer formulation.

Blocking and diluting buffer and concentration : 5% NFDM/TBST

Negative control : spleen (PMID : 1321343), liver(PMID : 1321343).

In Western blot, Anti-GAPDH antibody [EPR16891] - Loading Control (ab181602) staining at 1/200000 dilution.

All lanes:

Western blot - Anti-CaMKII beta antibody [EPR28076-54] (<a href='/en-us/products/primary-antibodies/camkii-beta-antibody-epr28076-54-ab314897'>ab314897</a>) at 1/1000 dilution

Lane 1:

Mouse brain tissue lysate at 20 µg

Lane 2:

Mouse hippocampus tissue lysate at 20 µg

Lane 3:

Mouse liver tissue lysate at 20 µg

Lane 4:

Mouse spleen tissue lysate at 20 µg

Lane 5:

Rat brain tissue lysate at 20 µg

Lane 6:

Rat hippocampus tissue lysate at 20 µg

Lane 7:

Rat liver tissue lysate at 20 µg

Lane 8:

Rat spleen tissue lysate at 20 µg

Secondary

All lanes:

Western blot - Goat Anti-Rabbit IgG H&L (HRP) (<a href='/en-us/products/secondary-antibodies/goat-rabbit-igg-h-l-hrp-ab97051'>ab97051</a>) at 1/100000 dilution

Observed band size: 60 kDa,36 kDa

false

Exposure time: 10s

Dot Blot - Anti-CaMKII beta antibody [EPR28076-54] - BSA and Azide free (AB314898)
  • Dot

Supplier Data

Dot Blot - Anti-CaMKII beta antibody [EPR28076-54] - BSA and Azide free (AB314898)

This data was developed using ab314897, the same antibody clone in a different buffer formulation.

Dot blot analysis of CaMKII beta using ab314897 at 1 : 1000 (0.525 ug/ml) followed by a Goat Anti-Rabbit IgG, (H+L), Peroxidase conjugated (ab97051) at 1 : 100,000 dilution.

Exposure time : 180 seconds

Blocking and diluting buffer and concentration : 5% NFDM/TBST

Key facts

Host species

Rabbit

Clonality

Monoclonal

Clone number

EPR28076-54

Isotype

IgG

Carrier free

Yes

Reacts with

Human, Mouse, Rat

Applications

WB, Dot, mIHC, IHC-P, Flow Cyt (Intra)

applications

Immunogen

The exact immunogen used to generate this antibody is proprietary information.

Reactivity data

{ "title": "Reactivity Data", "filters": { "stats": ["", "Species", "Dilution Info", "Notes"], "tabs": { "all-applications": {"fullname" : "All Applications", "shortname": "All Applications"}, "mIHC" : {"fullname" : "Multiplex immunohistochemistry", "shortname":"mIHC"}, "WB" : {"fullname" : "Western blot", "shortname":"WB"}, "IHCP" : {"fullname" : "Immunohistochemistry (Formalin/PFA-fixed paraffin-embedded sections)", "shortname":"IHC-P"}, "Dot" : {"fullname" : "Dot Blot", "shortname":"Dot"}, "FlowCytIntra" : {"fullname" : "Flow Cytometry (Intracellular)", "shortname":"Flow Cyt (Intra)"}, "IP" : {"fullname" : "Immunoprecipitation", "shortname":"IP"}, "ICCIF" : {"fullname" : "Immunocytochemistry/ Immunofluorescence", "shortname":"ICC/IF"} }, "product-promise": { "all": "all", "testedAndGuaranteed": "tested", "guaranteed": "expected", "predicted": "predicted", "notRecommended": "not-recommended" } }, "values": { "Human": { "mIHC-species-checked": "guaranteed", "mIHC-species-dilution-info": "", "mIHC-species-notes": "", "WB-species-checked": "testedAndGuaranteed", "WB-species-dilution-info": "", "WB-species-notes": "<p></p>", "IHCP-species-checked": "testedAndGuaranteed", "IHCP-species-dilution-info": "", "IHCP-species-notes": "<p></p>", "Dot-species-checked": "guaranteed", "Dot-species-dilution-info": "", "Dot-species-notes": "", "FlowCytIntra-species-checked": "guaranteed", "FlowCytIntra-species-dilution-info": "", "FlowCytIntra-species-notes": "", "IP-species-checked": "notRecommended", "IP-species-dilution-info": "", "IP-species-notes": "", "ICCIF-species-checked": "notRecommended", "ICCIF-species-dilution-info": "", "ICCIF-species-notes": "" }, "Mouse": { "mIHC-species-checked": "testedAndGuaranteed", "mIHC-species-dilution-info": "", "mIHC-species-notes": "<p></p>", "WB-species-checked": "testedAndGuaranteed", "WB-species-dilution-info": "", "WB-species-notes": "<p></p>", "IHCP-species-checked": "testedAndGuaranteed", "IHCP-species-dilution-info": "", "IHCP-species-notes": "<p></p>", "Dot-species-checked": "guaranteed", "Dot-species-dilution-info": "", "Dot-species-notes": "", "FlowCytIntra-species-checked": "testedAndGuaranteed", "FlowCytIntra-species-dilution-info": "", "FlowCytIntra-species-notes": "<p></p>", "IP-species-checked": "notRecommended", "IP-species-dilution-info": "", "IP-species-notes": "<p></p>", "ICCIF-species-checked": "notRecommended", "ICCIF-species-dilution-info": "", "ICCIF-species-notes": "<p></p>" }, "Rat": { "mIHC-species-checked": "guaranteed", "mIHC-species-dilution-info": "", "mIHC-species-notes": "", "WB-species-checked": "testedAndGuaranteed", "WB-species-dilution-info": "", "WB-species-notes": "<p></p>", "IHCP-species-checked": "testedAndGuaranteed", "IHCP-species-dilution-info": "", "IHCP-species-notes": "<p></p>", "Dot-species-checked": "guaranteed", "Dot-species-dilution-info": "", "Dot-species-notes": "", "FlowCytIntra-species-checked": "guaranteed", "FlowCytIntra-species-dilution-info": "", "FlowCytIntra-species-notes": "", "IP-species-checked": "notRecommended", "IP-species-dilution-info": "", "IP-species-notes": "", "ICCIF-species-checked": "notRecommended", "ICCIF-species-dilution-info": "", "ICCIF-species-notes": "<p></p>" }, "Recombinant fragment - Mouse": { "mIHC-species-checked": "notRecommended", "mIHC-species-dilution-info": "", "mIHC-species-notes": "", "WB-species-checked": "notRecommended", "WB-species-dilution-info": "", "WB-species-notes": "", "IHCP-species-checked": "notRecommended", "IHCP-species-dilution-info": "", "IHCP-species-notes": "", "Dot-species-checked": "testedAndGuaranteed", "Dot-species-dilution-info": "", "Dot-species-notes": "<p></p>", "FlowCytIntra-species-checked": "notRecommended", "FlowCytIntra-species-dilution-info": "", "FlowCytIntra-species-notes": "", "IP-species-checked": "notRecommended", "IP-species-dilution-info": "", "IP-species-notes": "", "ICCIF-species-checked": "notRecommended", "ICCIF-species-dilution-info": "", "ICCIF-species-notes": "" } } }

Product details

ab314898 is the carrier-free version of ab314897.

Patented technology
Our RabMAb® technology is a patented hybridoma-based technology for making rabbit monoclonal antibodies. For details on our patents, please refer to RabMAb® patents.

What are the advantages of a recombinant monoclonal antibody?
This product is a recombinant monoclonal antibody, which offers several advantages including:

  • - High batch-to-batch consistency and reproducibility
  • - Improved sensitivity and specificity
  • - Long-term security of supply
  • - Animal-free batch production

For more information, read more on recombinant antibodies.

Conjugation ready
Our carrier-free antibodies are typically supplied in a PBS-only formulation, purified and free of BSA, sodium azide and glycerol. This conjugation-ready format is designed for use with fluorochromes, metal isotopes, oligonucleotides, and enzymes, which makes them ideal for antibody labelling, functional and cell-based assays, flow-based assays (e.g. mass cytometry) and Multiplex Imaging applications.

Use our conjugation kits for antibody conjugates that are ready-to-use in as little as 20 minutes with 1 minute hands-on-time and 100% antibody recovery: available for fluorescent dyes, HRP, biotin and gold.

Compatibility
This product is compatible with the Maxpar® Antibody Labeling Kit from Fluidigm, without the need for antibody preparation. Maxpar® is a trademark of Fluidigm Canada Inc.

Properties and storage information

Form
Liquid
Purification technique
Affinity purification Protein A
Storage buffer
pH: 7.2 - 7.4 Constituents: PBS
Shipped at conditions
Blue Ice
Appropriate short-term storage conditions
+4°C
Appropriate long-term storage conditions
+4°C

Supplementary information

This supplementary information is collated from multiple sources and compiled automatically.

CaMKII beta also called CaM-K 2B is a calcium/calmodulin-dependent protein kinase involved in many cellular processes. It is known for its molecular weight of approximately 73 kDa. Expressed widely in tissues CaMKII beta is particularly important in brain and heart tissues. CaMKII family which includes CaMK plays a role in catalyzing the phosphorylation of serine and threonine residues in proteins influencing varied cellular activities.
Biological function summary

Without referring directly to CaMKII beta this protein contributes to synaptic plasticity which influences learning and memory in neural cells. It functions as part of a multimeric complex forming a holoenzyme with other CaMKII isoforms like CaMKII alpha gamma and delta. The structural dynamics of its autophosphorylation regulate its prolonged activity independent of calcium and calmodulin affecting downstream signaling.

Pathways

Without directly mentioning CaMKII beta it is essential in the Ca2+/calmodulin signaling pathway critical for regulating neuronal activity. Additionally this kinase participates in the cardiac conduction system influencing the heartbeat. Related proteins like calcineurin and protein kinase A interact in these signaling pathways amplifying the role of CaMKII beta in translating calcium bursts into longer-term cellular responses.

Without direct mention CaMKII beta's involvement is evident in conditions such as Alzheimer's disease and arrhythmias. In neurodegenerative diseases its deregulation affects the balance of phosphorylation involving proteins like tau which contribute to disease progression. In cardiac disorders its role in arrhythmias interacts with ion channels affecting heart rhythm stability. Understanding these interactions helps in therapeutic approaches targeting CaMKII beta-related pathways.

Product protocols

For this product, it's our understanding that no specific protocols are required. You can visit:

Target data

Calcium/calmodulin-dependent protein kinase that functions autonomously after Ca(2+)/calmodulin-binding and autophosphorylation, and is involved in dendritic spine and synapse formation, neuronal plasticity and regulation of sarcoplasmic reticulum Ca(2+) transport in skeletal muscle. In neurons, plays an essential structural role in the reorganization of the actin cytoskeleton during plasticity by binding and bundling actin filaments in a kinase-independent manner. This structural function is required for correct targeting of CaMK2A, which acts downstream of NMDAR to promote dendritic spine and synapse formation and maintain synaptic plasticity which enables long-term potentiation (LTP) and hippocampus-dependent learning. In developing hippocampal neurons, promotes arborization of the dendritic tree and in mature neurons, promotes dendritic remodeling. Also regulates the migration of developing neurons (PubMed : 29100089). Participates in the modulation of skeletal muscle function in response to exercise. In slow-twitch muscles, is involved in regulation of sarcoplasmic reticulum (SR) Ca(2+) transport and in fast-twitch muscle participates in the control of Ca(2+) release from the SR through phosphorylation of triadin, a ryanodine receptor-coupling factor, and phospholamban (PLN/PLB), an endogenous inhibitor of SERCA2A/ATP2A2 (PubMed : 21752990). In response to interferon-gamma (IFN-gamma) stimulation, catalyzes phosphorylation of STAT1, stimulating the JAK-STAT signaling pathway (By similarity). Phosphorylates reticulophagy regulator RETREG1 at 'Thr-134' under endoplasmic reticulum stress conditions which enhances RETREG1 oligomerization and its membrane scission and reticulophagy activity (By similarity).
See full target information Camk2b

Product promise

We are committed to supporting your work with high-quality reagents, and we're here for you every step of the way. In the unlikely event that one of our products does not perform as expected, you're protected by our Product Promise.
For full details, please see our Terms & Conditions

Please note: All products are 'FOR RESEARCH USE ONLY. NOT FOR USE IN DIAGNOSTIC OR THERAPEUTIC PROCEDURES'.

For licensing inquiries, please contact partnerships@abcam.com