JavaScript is disabled in your browser. Please enable JavaScript to view this website.
AB191588

Anti-CaMKII delta antibody [EPR13095] - BSA and Azide free

Be the first to review this product! Submit a review

|

(2 Publications)

Rabbit Recombinant Monoclonal CaMKII delta antibody. Carrier free. Suitable for IHC-P, WB and reacts with Human, Mouse, Rat samples. Cited in 2 publications.

View Alternative Names

CAMKD, CAMK2D, Calcium/calmodulin-dependent protein kinase type II subunit delta, CaM kinase II subunit delta, CaMK-II subunit delta

6 Images
Immunohistochemistry (Formalin/PFA-fixed paraffin-embedded sections) - Anti-CaMKII delta antibody [EPR13095] - BSA and Azide free (AB191588)
  • IHC-P

Unknown

Immunohistochemistry (Formalin/PFA-fixed paraffin-embedded sections) - Anti-CaMKII delta antibody [EPR13095] - BSA and Azide free (AB191588)

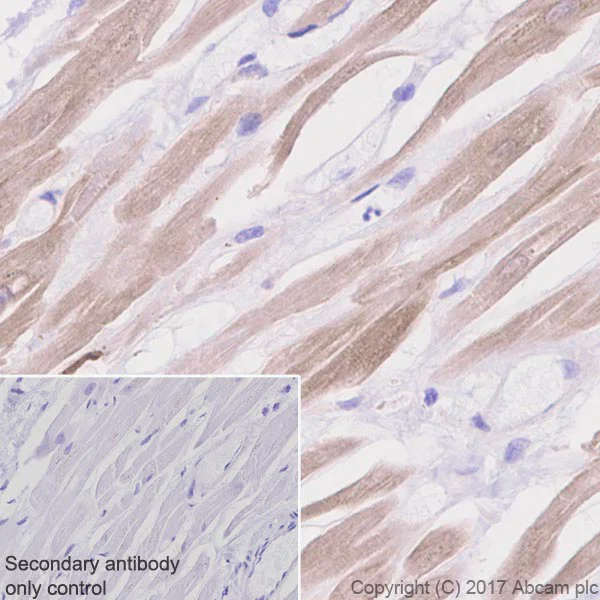
Immunohistochemistry (Formalin/PFA-fixed paraffin-embedded sections) analysis of Human cardiac muscle tissue sections labeling CaMKII delta with Purified ab181052 at 1 : 100 dilution (1.82 μg/ml). Heat mediated antigen retrieval was performed using ab93684 (Tris/EDTA buffer, pH 9.0). Tissue was counterstained with Hematoxylin. ImmunoHistoProbe one step HRP Polymer (ready to use) secondary antibody was used at 1 : 0 dilution. PBS instead of the primary antibody was used as the negative control.

This data was developed using the same antibody clone in a different buffer formulation containing PBS, BSA, glycerol, and sodium azide (ab181052).

Immunohistochemistry (Formalin/PFA-fixed paraffin-embedded sections) - Anti-CaMKII delta antibody [EPR13095] - BSA and Azide free (AB191588)
  • IHC-P

Unknown

Immunohistochemistry (Formalin/PFA-fixed paraffin-embedded sections) - Anti-CaMKII delta antibody [EPR13095] - BSA and Azide free (AB191588)

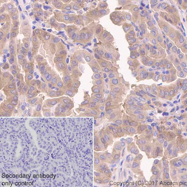
Immunohistochemistry (Formalin/PFA-fixed paraffin-embedded sections) analysis of Human thyroid carcinoma tissue sections labeling CaMKII delta with Purified ab181052 at 1 : 100 dilution (1.82 μg/ml). Heat mediated antigen retrieval was performed using ab93684 (Tris/EDTA buffer, pH 9.0). Tissue was counterstained with Hematoxylin. ImmunoHistoProbe one step HRP Polymer (ready to use) secondary antibody was used at 1 : 0 dilution. PBS instead of the primary antibody was used as the negative control.

This data was developed using the same antibody clone in a different buffer formulation containing PBS, BSA, glycerol, and sodium azide (ab181052).

Immunohistochemistry (Formalin/PFA-fixed paraffin-embedded sections) - Anti-CaMKII delta antibody [EPR13095] - BSA and Azide free (AB191588)
  • IHC-P

Supplier Data

Immunohistochemistry (Formalin/PFA-fixed paraffin-embedded sections) - Anti-CaMKII delta antibody [EPR13095] - BSA and Azide free (AB191588)

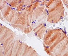
Immunohistochemical analysis of paraffin embedded Human skeletal muscle tissue sections labeling CaMKII delta using unpurified ab181052 at a 1/100 dilution. A ready to use HRP Polymer for Rabbit IgG was used as the secondary. Hematoxylin counterstain.

This data was developed using the same antibody clone in a different buffer formulation containing PBS, BSA, glycerol, and sodium azide (ab181052).

Heat mediated antigen retrieval was performed with citrate buffer pH 6 before commencing with IHC staining protocol.

Western blot - Anti-CaMKII delta antibody [EPR13095] - BSA and Azide free (AB191588)
  • WB

Lab

Western blot - Anti-CaMKII delta antibody [EPR13095] - BSA and Azide free (AB191588)

This data was developed using the same antibody clone in a different buffer formulation containing PBS, BSA, glycerol, and sodium azide (ab181052).

Lanes 1- 2 : Merged signal (red and green). Green - ab181052 observed at 50 kDa. Red - Anti-GAPDH antibody [6C5] - Loading Control (ab8245) observed at 37 kDa.

ab181052 was shown to react with CaM-kinase II in wild-type HEK-293T cells in western blot. Loss of signal was observed when knockout cell line ab267322 (knockout cell lysate ab257376) was used. Wild-type HEK-293T and CAMK2D knockout HEK-293T cell lysates were subjected to SDS-PAGE. ab181052 and Anti-GAPDH antibody [6C5] - Loading Control (ab8245) overnight at 4°C at a 1 in 1000 dilution and a 1 in 20000 dilution respectively. Blots were developed with Goat anti-Rabbit IgG H&L (IRDye®800CW) preadsorbed (ab216773) and Goat anti-Mouse IgG H&L (IRDye®680RD) preadsorbed (ab216776) secondary antibodies at 1 in 20000 dilution for 1 hour at room temperature before imaging.

All lanes:

Western blot - Anti-CaMKII delta antibody [EPR13095] (<a href='/en-us/products/primary-antibodies/camkii-delta-antibody-epr13095-ab181052'>ab181052</a>) at 1/1000 dilution

Lane 1:

Wild-type HEK-293T cell lysate at 20 µg

Lane 2:

CAMK2D knockout HEK-293T cell lysate at 20 µg

Lane 2:

Western blot - Human CAMK2D (CaMKII delta) knockout HEK-293T cell line (<a href='/en-us/products/cell-lines/human-camk2d-camkii-delta-knockout-hek-293t-cell-line-ab267322'>ab267322</a>)

Predicted band size: 56 kDa

Observed band size: 50 kDa

false

Western blot - Anti-CaMKII delta antibody [EPR13095] - BSA and Azide free (AB191588)
  • WB

Lab

Western blot - Anti-CaMKII delta antibody [EPR13095] - BSA and Azide free (AB191588)

This WB data was generated using the same anti-CAKII delta antibody clone [EPR13095] in a different buffer formulation (cat# ab181052).

Lane 1 : Wild-type HAP1 cell lysate (20 μg)
Lane 2 : CaMKII delta knockout HAP1 cell lysate (20 μg)
Lane 3 : HeLa cell lysate (20 μg)
Lane 4 : A431 cell lysate (20 μg)

Lanes 1 - 4 : Merged signal (red and green). Green - ab181052 observed at 56 kDa. Red - loading control, ab8245, observed at 37 kDa.

ab181052 was shown to recognize CaMKII delta when CaMKII delta knockout samples were used, along with additional cross-reactive bands. Wild-type and CaMKII delta knockout samples were subjected to SDS-PAGE. ab181052 and ab8245 (loading control to GAPDH) were diluted 1/1000 and 1/10000 respectively and incubated overnight at 4°C. Blots were developed with Goat anti-Rabbit IgG H&L (IRDye® 800CW) preadsorbed (ab216773) and Goat anti-Mouse IgG H&L (IRDye® 680RD) preadsorbed (ab216776) secondary antibodies at 1/10000 dilution for 1 h at room temperature before imaging.

All lanes:

Western blot - Anti-CaMKII delta antibody [EPR13095] (<a href='/en-us/products/primary-antibodies/camkii-delta-antibody-epr13095-ab181052'>ab181052</a>)

Predicted band size: 56 kDa

false

Western blot - Anti-CaMKII delta antibody [EPR13095] - BSA and Azide free (AB191588)
  • WB

Lab

Western blot - Anti-CaMKII delta antibody [EPR13095] - BSA and Azide free (AB191588)

This data was developed using ab181052, the same antibody clone in a different buffer formulation.

ab181052 was shown to react with CAMK2D in wild-type HAP1 cells in Western blot with loss of signal observed in a CAMK2D knockout cell line. Wild-type HAP1 and CAMK2D knockout cell lysates were subjected to SDS-PAGE. Membranes were blocked in 5% milk in TBST for 1 hr before incubation with ab181052 overnight at 4 °C at a 1/1000 dilution. Blots were incubated with secondary antibodies at 0.2 µg/mL before imaging.

These data were provided by YCharOS Inc., an open science company with the mission of characterizing commercially available antibody reagents for all human proteins. Abcam and YCharOS are working together to help address the reproducibility crisis by enabling the life science community to better evaluate commercially available antibodies.

All lanes:

Western blot - Anti-CaMKII delta antibody [EPR13095] (<a href='/en-us/products/primary-antibodies/camkii-delta-antibody-epr13095-ab181052'>ab181052</a>) at 1/1000 dilution

Lane 1:

Wild-type HAP1 lysate at 40 µg

Lane 2:

CAMK2D knock-out HAP1 lysate at 40 µg

false

  • Unconjugated

    Anti-CaMKII delta antibody [EPR13095]

  • 519 Alexa Fluor® 488

    Alexa Fluor® 488 Anti-CaMKII delta antibody [EPR13095]

  • 665 Alexa Fluor® 647

    Alexa Fluor® 647 Anti-CaMKII delta antibody [EPR13095]

  • 565 Alexa Fluor® 555

    Alexa Fluor® 555 Anti-CaMKII delta antibody [EPR13095]

  • 617 Alexa Fluor® 594

    Alexa Fluor® 594 Anti-CaMKII delta antibody [EPR13095]

  • 578 PE

    PE Anti-CaMKII delta antibody [EPR13095]

  • 660 APC

    APC Anti-CaMKII delta antibody [EPR13095]

  • 775 Alexa Fluor® 750

    Alexa Fluor® 750 Anti-CaMKII delta antibody [EPR13095]

Key facts

Host species

Rabbit

Clonality

Monoclonal

Clone number

EPR13095

Isotype

IgG

Carrier free

Yes

Reacts with

Mouse, Rat, Human

Applications

WB, IHC-P

applications

Immunogen

The exact immunogen used to generate this antibody is proprietary information.

Specificity

The mouse and rat recommendation is based on the WB results. We do not guarantee IHC-P for mouse and rat.

Reactivity data

{ "title": "Reactivity Data", "filters": { "stats": ["", "Species", "Dilution Info", "Notes"], "tabs": { "all-applications": {"fullname" : "All Applications", "shortname": "All Applications"}, "IHCP" : {"fullname" : "Immunohistochemistry (Formalin/PFA-fixed paraffin-embedded sections)", "shortname":"IHC-P"}, "WB" : {"fullname" : "Western blot", "shortname":"WB"} }, "product-promise": { "all": "all", "testedAndGuaranteed": "tested", "guaranteed": "expected", "predicted": "predicted", "notRecommended": "not-recommended" } }, "values": { "Human": { "IHCP-species-checked": "testedAndGuaranteed", "IHCP-species-dilution-info": "", "IHCP-species-notes": "<p></p>", "WB-species-checked": "testedAndGuaranteed", "WB-species-dilution-info": "", "WB-species-notes": "<p>Can be blocked with <a href='/en-us/products/unavailable/camkii-delta-peptide-ab188479'>ab188479</a></p>" }, "Mouse": { "IHCP-species-checked": "guaranteed", "IHCP-species-dilution-info": "", "IHCP-species-notes": "", "WB-species-checked": "testedAndGuaranteed", "WB-species-dilution-info": "", "WB-species-notes": "<p>Can be blocked with <a href='/en-us/products/unavailable/camkii-delta-peptide-ab188479'>ab188479</a></p>" }, "Rat": { "IHCP-species-checked": "guaranteed", "IHCP-species-dilution-info": "", "IHCP-species-notes": "", "WB-species-checked": "testedAndGuaranteed", "WB-species-dilution-info": "", "WB-species-notes": "<p>Can be blocked with <a href='/en-us/products/unavailable/camkii-delta-peptide-ab188479'>ab188479</a></p>" } } }

Product details

ab191588 is the carrier-free version of ab181052.

Patented technology
Our RabMAb® technology is a patented hybridoma-based technology for making rabbit monoclonal antibodies. For details on our patents, please refer to RabMAb® patents.

Conjugation ready
Our carrier-free antibodies are typically supplied in a PBS-only formulation, purified and free of BSA, sodium azide and glycerol. This conjugation-ready format is designed for use with fluorochromes, metal isotopes, oligonucleotides, and enzymes, which makes them ideal for antibody labelling, functional and cell-based assays, flow-based assays (e.g. mass cytometry) and Multiplex Imaging applications.

Use our conjugation kits for antibody conjugates that are ready-to-use in as little as 20 minutes with 1 minute hands-on-time and 100% antibody recovery: available for fluorescent dyes, HRP, biotin and gold.

Compatibility
This product is compatible with the Maxpar® Antibody Labeling Kit from Fluidigm, without the need for antibody preparation. Maxpar® is a trademark of Fluidigm Canada Inc.

Properties and storage information

Form
Liquid
Purification technique
Affinity purification Protein A
Storage buffer
pH: 7.2 - 7.4 Constituents: PBS
Shipped at conditions
Blue Ice
Appropriate short-term storage conditions
+4°C
Appropriate long-term storage conditions
+4°C
Storage information
Do Not Freeze

Supplementary information

This supplementary information is collated from multiple sources and compiled automatically.

CaMKII delta also known as CaMKIIδ or CaMK2D is a member of the CaMKII family of proteins recognized for its role as a serine/threonine protein kinase. This protein has a molecular mass of approximately 55 kDa. It is highly expressed in the brain and the heart where it plays essential roles in cellular functions. The domain structure of CaMKII delta allows for calcium/calmodulin activation which is important for its activity in phosphorylating substrates. This protein can bind to other intracellular molecules and is sensitive to regulation by its surrounding environment.
Biological function summary

CaMKII delta participates in several critical processes such as calcium signaling and regulation of gene expression. This protein influences synaptic plasticity muscle contraction and cell cycle control. It forms part of larger complexes interacting with other proteins and playing a role in adjusting cellular responses to various stimuli. It is also subject to inhibition with the compound Bisindolylmaleimide II known to influence its activity. Understanding the biological roles of CaMKII delta allows for insights into its effects on cellular mechanisms especially in neuronal and muscular tissues.

Pathways

CaMKII delta is significant in pathways like the calcium signaling pathway and the PI3K/Akt pathway. It serves as a modulator allowing the integration of various signals which is necessary for maintaining cellular homeostasis. CaMKII delta interacts with proteins such as protein kinase C (PKC) inhibitors affecting cellular signaling outputs. Its role in these pathways highlights the importance of CaMKII delta in regulating processes critical to cell survival growth and adaptation.

CaMKII delta is associated with conditions such as cardiac hypertrophy and Alzheimer's disease. These diseases often involve dysregulation of calcium signaling where CaMKII delta plays a part. CaMKII delta's association with proteins like PKC and their dysregulation contributes to the pathogenesis observed in these conditions. Understanding these interactions can aid in developing therapeutic strategies focused on modulating CaMKII delta activity to mitigate disease progression.

Product protocols

For this product, it's our understanding that no specific protocols are required. You can visit:

Target data

Calcium/calmodulin-dependent protein kinase involved in the regulation of Ca(2+) homeostatis and excitation-contraction coupling (ECC) in heart by targeting ion channels, transporters and accessory proteins involved in Ca(2+) influx into the myocyte, Ca(2+) release from the sarcoplasmic reticulum (SR), SR Ca(2+) uptake and Na(+) and K(+) channel transport. Targets also transcription factors and signaling molecules to regulate heart function. In its activated form, is involved in the pathogenesis of dilated cardiomyopathy and heart failure. Contributes to cardiac decompensation and heart failure by regulating SR Ca(2+) release via direct phosphorylation of RYR2 Ca(2+) channel on 'Ser-2808'. In the nucleus, phosphorylates the MEF2 repressor HDAC4, promoting its nuclear export and binding to 14-3-3 protein, and expression of MEF2 and genes involved in the hypertrophic program (PubMed : 17179159). Is essential for left ventricular remodeling responses to myocardial infarction. In pathological myocardial remodeling acts downstream of the beta adrenergic receptor signaling cascade to regulate key proteins involved in ECC. Regulates Ca(2+) influx to myocytes by binding and phosphorylating the L-type Ca(2+) channel subunit beta-2 CACNB2. In addition to Ca(2+) channels, can target and regulate the cardiac sarcolemmal Na(+) channel Nav1.5/SCN5A and the K+ channel Kv4.3/KCND3, which contribute to arrhythmogenesis in heart failure. Phosphorylates phospholamban (PLN/PLB), an endogenous inhibitor of SERCA2A/ATP2A2, contributing to the enhancement of SR Ca(2+) uptake that may be important in frequency-dependent acceleration of relaxation (FDAR) and maintenance of contractile function during acidosis (PubMed : 16690701). May participate in the modulation of skeletal muscle function in response to exercise, by regulating SR Ca(2+) transport through phosphorylation of PLN/PLB and triadin, a ryanodine receptor-coupling factor. In response to interferon-gamma (IFN-gamma) stimulation, catalyzes phosphorylation of STAT1, stimulating the JAK-STAT signaling pathway (By similarity).
See full target information CAMK2D

Publications (2)

Recent publications for all applications. Explore the full list and refine your search

Biomedicines 11: PubMed37509699

2023

Inflammatory Forms of Cardiomyocyte Cell Death in the Rat Model of Isoprenaline-Induced Takotsubo Syndrome.

Applications

Unspecified application

Species

Unspecified reactive species

Sonia Borodzicz-Jażdżyk,Agnieszka Kołodzińska,Katarzyna Czarzasta,Małgorzata Wojciechowska,Renata Główczyńska,Benedykt Szczepankiewicz,Liana Puchalska,Grzegorz Opolski,Agnieszka Cudnoch-Jędrzejewska

American journal of translational research 9:3224-3244 PubMed28804542

2017

Significant association of TREM-1 with HMGB1, TLRs and RAGE in the pathogenesis of insulin resistance in obese diabetic populations.

Applications

Unspecified application

Species

Unspecified reactive species

Saravanan Subramanian,Pradeep K Pallati,Poonam Sharma,Devendra K Agrawal,Kalyana C Nandipati
View all publications

Product promise

We are committed to supporting your work with high-quality reagents, and we're here for you every step of the way. In the unlikely event that one of our products does not perform as expected, you're protected by our Product Promise.
For full details, please see our Terms & Conditions

Please note: All products are 'FOR RESEARCH USE ONLY. NOT FOR USE IN DIAGNOSTIC OR THERAPEUTIC PROCEDURES'.

For licensing inquiries, please contact partnerships@abcam.com