JavaScript is disabled in your browser. Please enable JavaScript to view this website.
AB69564

Anti-CAMKV antibody

Be the first to review this product! Submit a review

|

(2 Publications)

Rabbit Polyclonal CAMKV antibody. Suitable for WB, IHC-P, ICC/IF and reacts with Human samples. Cited in 2 publications. Immunogen corresponding to Synthetic Peptide within Human CaM kinase-like vesicle-associated protein.

View Alternative Names

CaM kinase-like vesicle-associated protein, CAMKV

3 Images
Western blot - Anti-CAMKV antibody (AB69564)
  • WB

Unknown

Western blot - Anti-CAMKV antibody (AB69564)

All lanes:

Western blot - Anti-CAMKV antibody (ab69564) at 1/500 dilution

Lane 1:

HepG2 cells extracts at 30 µg

Lane 2:

HUVEC cells extracts at 30 µg

Lane 3:

HepG2 cells extracts at 30 µg with immunizing peptide

Predicted band size: 53 kDa,54 kDa,57 kDa

Observed band size: 100 kDa,35 kDa,40 kDa,53 kDa,54 kDa,55 kDa,85 kDa

false

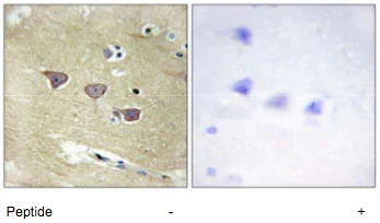
Immunohistochemistry (Formalin/PFA-fixed paraffin-embedded sections) - Anti-CAMKV antibody (AB69564)
  • IHC-P

Unknown

Immunohistochemistry (Formalin/PFA-fixed paraffin-embedded sections) - Anti-CAMKV antibody (AB69564)

Immunohistochemistry analysis of paraffin-embedded human brain tissue using 1/50 ab69564. For the image on the right, the antibody was pre-incubated with the immunizing peptide.

Immunocytochemistry/ Immunofluorescence - Anti-CAMKV antibody (AB69564)
  • ICC/IF

Unknown

Immunocytochemistry/ Immunofluorescence - Anti-CAMKV antibody (AB69564)

Immunofluorescence analysis of HeLa cells, using 1/500 ab69564. For the image on the right, the antibody was pre-incubated with the immunizing peptide.

Key facts

Host species

Rabbit

Clonality

Polyclonal

Isotype

IgG

Carrier free

No

Reacts with

Human

Applications

WB, IHC-P, ICC/IF

applications

Immunogen

Synthetic Peptide within Human CaM kinase-like vesicle-associated protein. The exact immunogen used to generate this antibody is proprietary information.

Q8NCB2

Reactivity data

{ "title": "Reactivity Data", "filters": { "stats": ["", "Species", "Dilution Info", "Notes"], "tabs": { "all-applications": {"fullname" : "All Applications", "shortname": "All Applications"}, "WB" : {"fullname" : "Western blot", "shortname":"WB"}, "IHCP" : {"fullname" : "Immunohistochemistry (Formalin/PFA-fixed paraffin-embedded sections)", "shortname":"IHC-P"}, "ICCIF" : {"fullname" : "Immunocytochemistry/ Immunofluorescence", "shortname":"ICC/IF"} }, "product-promise": { "all": "all", "testedAndGuaranteed": "tested", "guaranteed": "expected", "predicted": "predicted", "notRecommended": "not-recommended" } }, "values": { "Human": { "WB-species-checked": "testedAndGuaranteed", "WB-species-dilution-info": "1/500 - 1/1000", "WB-species-notes": "<p></p>", "IHCP-species-checked": "testedAndGuaranteed", "IHCP-species-dilution-info": "1/50 - 1/100", "IHCP-species-notes": "<p></p>", "ICCIF-species-checked": "testedAndGuaranteed", "ICCIF-species-dilution-info": "1/500 - 1/1000", "ICCIF-species-notes": "<p></p>" } } }

Properties and storage information

Form
Liquid
Purification technique
Affinity purification Immunogen
Storage buffer
pH: 7.4 Preservative: 0.02% Sodium azide Constituents: PBS, 50% Glycerol (glycerin, glycerine), 0.87% Sodium chloride
Shipped at conditions
Blue Ice
Appropriate short-term storage conditions
+4°C
Appropriate long-term storage conditions
-20°C
Aliquoting information
Upon delivery aliquot
Storage information
Avoid freeze / thaw cycle

Supplementary information

This supplementary information is collated from multiple sources and compiled automatically.

CAMKV also known as CaM kinase-like vesicle-associated protein plays a role in cellular signaling. This protein has an approximate mass of 38 kDa. It is expressed in the brain suggesting its potential importance in neural processes. CAMKV possesses structural similarities with the family of calcium/calmodulin-dependent protein kinases although its exact kinase activity remains uncertain.
Biological function summary

CAMKV contributes to neuronal functioning and development impacting processes such as synaptic plasticity and dendritic spine morphology. CAMKV might associate with protein complexes that regulate these neuronal processes providing structural support rather than catalytic action. Its involvement in synaptic functions indicates a role in optimizing signal transduction and maintaining neural connectivity.

Pathways

CAMKV impacts intracellular signaling networks that are important for brain development and synaptic plasticity. It is involved in the calcium signaling pathway and may interact with proteins like CaMKII or calmodulin to modulate calcium-mediated responses. This interaction helps manage calcium ions' flow affecting neuronal excitability and transmission.

CAMKV connects to neurological conditions like autism spectrum disorder and schizophrenia. Altered expression or dysfunction of CAMKV may intersect with proteins such as CaMKII and calmodulin which are also implicated in these disorders. Understanding CAMKV's role in these diseases could identify new therapeutic targets and strategies.

Product protocols

For this product, it's our understanding that no specific protocols are required. You can visit:

Target data

Does not appear to have detectable kinase activity.
See full target information CaM kinase-like vesicle-associated protein

Publications (2)

Recent publications for all applications. Explore the full list and refine your search

Cell reports 42:112633 PubMed37314927

2023

Phosphatidylinositol 4-kinase IIα is a glycogen synthase kinase 3-regulated interaction hub for activity-dependent bulk endocytosis.

Applications

Unspecified application

Species

Unspecified reactive species

Eva-Maria Blumrich,Jessica C Nicholson-Fish,Marie Pronot,Elizabeth C Davenport,Dominic Kurian,Adam Cole,Karen J Smillie,Michael A Cousin

Molecular & cellular proteomics : MCP 9:1118-32 PubMed20068228

2010

Integrated protein array screening and high throughput validation of 70 novel neural calmodulin-binding proteins.

Applications

WB

Species

Mouse

David J O'Connell,Mikael C Bauer,John O'Brien,Winifred M Johnson,Catherine A Divizio,Sara L O'Kane,Tord Berggård,Alejandro Merino,Karin S Akerfeldt,Sara Linse,Dolores J Cahill
View all publications

Product promise

We are committed to supporting your work with high-quality reagents, and we're here for you every step of the way. In the unlikely event that one of our products does not perform as expected, you're protected by our Product Promise.
For full details, please see our Terms & Conditions

Please note: All products are 'FOR RESEARCH USE ONLY. NOT FOR USE IN DIAGNOSTIC OR THERAPEUTIC PROCEDURES'.

For licensing inquiries, please contact partnerships@abcam.com