JavaScript is disabled in your browser. Please enable JavaScript to view this website.
AB251843

Anti-CAMTA1 antibody

Be the first to review this product! Submit a review

|

(1 Publication)

Rabbit Polyclonal CAMTA1 antibody. Suitable for IHC-P, ICC/IF and reacts with Human samples. Cited in 1 publication. Immunogen corresponding to Recombinant Fragment Protein within Human CAMTA1 aa 450-550.

View Alternative Names

KIAA0833, MSTP023, CAMTA1, Calmodulin-binding transcription activator 1

5 Images
Immunohistochemistry (Formalin/PFA-fixed paraffin-embedded sections) - Anti-CAMTA1 antibody (AB251843)
  • IHC-P

Unknown

Immunohistochemistry (Formalin/PFA-fixed paraffin-embedded sections) - Anti-CAMTA1 antibody (AB251843)

Paraffin-embedded human cerebral cortex tissue stained for CAMTA1 using ab251843 at 1/50 dilution in immunohistochemical analysis.

Immunocytochemistry/ Immunofluorescence - Anti-CAMTA1 antibody (AB251843)
  • ICC/IF

Unknown

Immunocytochemistry/ Immunofluorescence - Anti-CAMTA1 antibody (AB251843)

PFA-fixed, Triton X-100 permeabilized A431 (human epidermoid carcinoma cell line) cells stained for CAMTA1 (green) using ab251843 at 4 µg/ml in ICC/IF.

Immunohistochemistry (Formalin/PFA-fixed paraffin-embedded sections) - Anti-CAMTA1 antibody (AB251843)
  • IHC-P

Unknown

Immunohistochemistry (Formalin/PFA-fixed paraffin-embedded sections) - Anti-CAMTA1 antibody (AB251843)

Paraffin-embedded human cerebellum tissue stained for CAMTA1 using ab251843 at 1/50 dilution in immunohistochemical analysis.

Immunohistochemistry (Formalin/PFA-fixed paraffin-embedded sections) - Anti-CAMTA1 antibody (AB251843)
  • IHC-P

Unknown

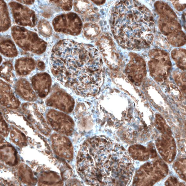
Immunohistochemistry (Formalin/PFA-fixed paraffin-embedded sections) - Anti-CAMTA1 antibody (AB251843)

Paraffin-embedded human kidney tissue stained for CAMTA1 using ab251843 at 1/50 dilution in immunohistochemical analysis.

Immunohistochemistry (Formalin/PFA-fixed paraffin-embedded sections) - Anti-CAMTA1 antibody (AB251843)
  • IHC-P

Unknown

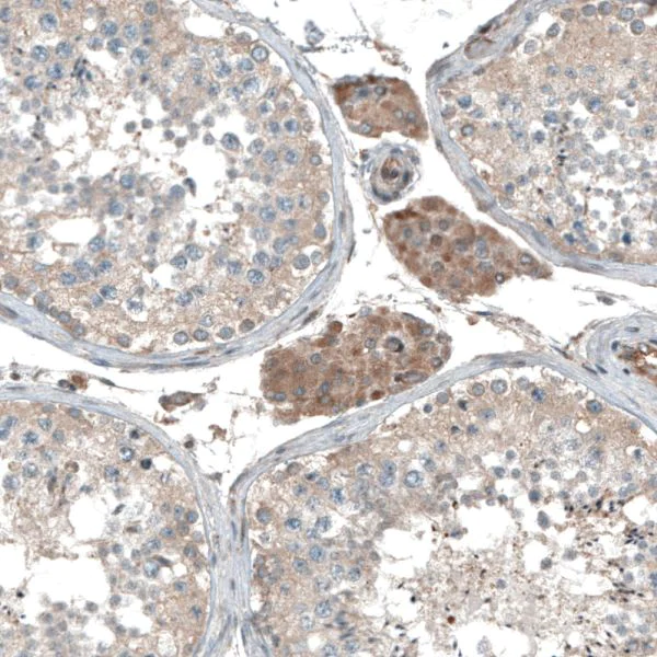
Immunohistochemistry (Formalin/PFA-fixed paraffin-embedded sections) - Anti-CAMTA1 antibody (AB251843)

Paraffin-embedded human testis tissue stained for CAMTA1 using ab251843 at 1/50 dilution in immunohistochemical analysis.

Key facts

Host species

Rabbit

Clonality

Polyclonal

Isotype

IgG

Carrier free

No

Reacts with

Human

Applications

IHC-P, ICC/IF

applications

Immunogen

Recombinant Fragment Protein within Human CAMTA1 aa 450-550. The exact immunogen used to generate this antibody is proprietary information.

Q9Y6Y1

Reactivity data

{ "title": "Reactivity Data", "filters": { "stats": ["", "Species", "Dilution Info", "Notes"], "tabs": { "all-applications": {"fullname" : "All Applications", "shortname": "All Applications"}, "IHCP" : {"fullname" : "Immunohistochemistry (Formalin/PFA-fixed paraffin-embedded sections)", "shortname":"IHC-P"}, "ICCIF" : {"fullname" : "Immunocytochemistry/ Immunofluorescence", "shortname":"ICC/IF"} }, "product-promise": { "all": "all", "testedAndGuaranteed": "tested", "guaranteed": "expected", "predicted": "predicted", "notRecommended": "not-recommended" } }, "values": { "Human": { "IHCP-species-checked": "testedAndGuaranteed", "IHCP-species-dilution-info": "1/200 - 1/500", "IHCP-species-notes": "<p></p> Perform heat-mediated antigen retrieval with citrate buffer pH 6 before commencing with IHC staining protocol.", "ICCIF-species-checked": "testedAndGuaranteed", "ICCIF-species-dilution-info": "0.25-2 µg/mL", "ICCIF-species-notes": "<p>Fixation/Permeabilization: PFA/Triton X-100.</p>" }, "Mouse": { "IHCP-species-checked": "predicted", "IHCP-species-dilution-info": "", "IHCP-species-notes": "", "ICCIF-species-checked": "predicted", "ICCIF-species-dilution-info": "", "ICCIF-species-notes": "" } } }

Properties and storage information

Form
Liquid
Purification technique
Affinity purification Immunogen
Storage buffer
pH: 7.2 Preservative: 0.02% Sodium azide Constituents: PBS, 40% Glycerol (glycerin, glycerine)
Shipped at conditions
Blue Ice
Appropriate short-term storage duration
1-2 weeks
Appropriate short-term storage conditions
+4°C
Appropriate long-term storage conditions
-20°C
Aliquoting information
Upon delivery aliquot
Storage information
Avoid freeze / thaw cycle

Supplementary information

This supplementary information is collated from multiple sources and compiled automatically.

CAMTA1 also known as calmodulin-binding transcription activator 1 is a transcription factor with a mass of approximately 130 kDa. CAMTA1 plays an important role in gene regulation through its DNA-binding domain. This protein is highly expressed in the brain heart and skeletal muscle indicating its importance in these tissues. CAMTA1 contains a CG-1 DNA-binding domain ankyrin repeats and a calmodulin-binding IQ motif which help in its interaction with different cellular components.
Biological function summary

CAMTA1 regulates the expression of genes involved in the response to environmental stress and the development of neuronal and cardiac tissues. As part of a transcriptional regulatory complex CAMTA1 can recruit other co-factors to modulate gene expression. It influences processes such as neuronal differentiation and cardiac hypertrophy. Its expression pattern and transcriptional activity suggest that it helps maintain cellular homeostasis under varying physiological conditions.

Pathways

CAMTA1 has significant roles in two central biological pathways: calcium signaling and stress response pathways. These pathways are important for neuronal and cardiac function. In calcium signaling CAMTA1 acts alongside other proteins like calmodulin to modulate the expression of genes critical for calcium homeostasis. In stress response pathways it helps regulate genes that protect against cellular stress often collaborating with transcription factors such as MEF2C to mediate stress responses.

CAMTA1 is associated with neurodevelopmental disorders and cardiac diseases. Mutations or dysregulation of CAMTA1 expression might contribute to conditions such as ataxia and congenital heart defects. Studies have linked CAMTA1 with other proteins including MEF2C in the context of cardiac development issues suggesting a complex network of interactions essential for normal physiological function.

Product protocols

For this product, it's our understanding that no specific protocols are required. You can visit:

Target data

Transcriptional activator.
See full target information CAMTA1

Publications (1)

Recent publications for all applications. Explore the full list and refine your search

Frontiers in cellular neuroscience 16:868291 PubMed36159397

2022

gene affects the ischemia-reperfusion injury by regulating .

Applications

Unspecified application

Species

Unspecified reactive species

Yang Liu,Guohui Shang,Xuran Zhang,Fuyong Liu,Chi Zhang,Zhihao Li,Jing Jia,Yan Xu,Zhaojing Zhang,Shangdong Yang,Baixue Zhou,Yingying Luan,Yanyang Huang,Yue Peng,Tianyi Han,Ying He,Hong Zheng
View all publications

Product promise

We are committed to supporting your work with high-quality reagents, and we're here for you every step of the way. In the unlikely event that one of our products does not perform as expected, you're protected by our Product Promise.
For full details, please see our Terms & Conditions

Please note: All products are 'FOR RESEARCH USE ONLY. NOT FOR USE IN DIAGNOSTIC OR THERAPEUTIC PROCEDURES'.

For licensing inquiries, please contact partnerships@abcam.com