JavaScript is disabled in your browser. Please enable JavaScript to view this website.
AB181216

Anti-CAND1 antibody [EPR14242(B)] - C-terminal

5

(1 Review)

|

(1 Publication)

Rabbit Recombinant Monoclonal CAND1 antibody. C-terminal. Suitable for IP, WB, ICC/IF, Flow Cyt (Intra), IHC-P and reacts with Human samples. Cited in 1 publication.

View Alternative Names

KIAA0829, TIP120, TIP120A, CAND1, Cullin-associated NEDD8-dissociated protein 1, Cullin-associated and neddylation-dissociated protein 1, TBP-interacting protein of 120 kDa A, p120 CAND1, TBP-interacting protein 120A

5 Images
Flow Cytometry (Intracellular) - Anti-CAND1 antibody [EPR14242(B)] - C-terminal (AB181216)
  • Flow Cyt (Intra)

Supplier Data

Flow Cytometry (Intracellular) - Anti-CAND1 antibody [EPR14242(B)] - C-terminal (AB181216)

Intracellular flow cytometric analysis of Jurkat cells (2% paraformaldehyde-fixed) labeling CAND1 with ab181216 at 1/20 dilution (red)or a rabbit IgG (negative) (green), followed by Goat anti rabbit IgG (FITC) secondary at 1/150 dilution.

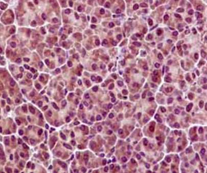
Immunohistochemistry (Formalin/PFA-fixed paraffin-embedded sections) - Anti-CAND1 antibody [EPR14242(B)] - C-terminal (AB181216)
  • IHC-P

Supplier Data

Immunohistochemistry (Formalin/PFA-fixed paraffin-embedded sections) - Anti-CAND1 antibody [EPR14242(B)] - C-terminal (AB181216)

Immunohistochemical analysis of paraffin-embedded Human prostatic hyperplasia tissue labeling CAND1 with ab181216 at 1/100 dilution followed by pre-diluted HRP-conjugated secondary antibody and counter-stained with Hematoxylin.

Perform heat mediated antigen retrieval with EDTA buffer pH 9 before commencing with IHC staining protocol.

Immunocytochemistry/ Immunofluorescence - Anti-CAND1 antibody [EPR14242(B)] - C-terminal (AB181216)
  • ICC/IF

Supplier Data

Immunocytochemistry/ Immunofluorescence - Anti-CAND1 antibody [EPR14242(B)] - C-terminal (AB181216)

Immunofluorescent analysis of HeLa cells (-20°C Acetone-fixed) labeling CAND1 with ab181216 at 1/250 dilution followed by Goat anti rabbit IgG (Alexa Fluor® 555) at 1/200 dilution and counterstained with Dapi (blue).

Immunoprecipitation - Anti-CAND1 antibody [EPR14242(B)] - C-terminal (AB181216)
  • IP

Supplier Data

Immunoprecipitation - Anti-CAND1 antibody [EPR14242(B)] - C-terminal (AB181216)

Western blot analysis of immunoprecipitation pellet from Hela cell lysate immunoprecipitated using ab181216 at 1/50 dilution.
Secondary : Goat Anti-Rabbit IgG, (H+L), Peroxidase conjugate at 1/1000 dilution.

All lanes:

Immunoprecipitation - Anti-CAND1 antibody [EPR14242(B)] - C-terminal (ab181216)

Predicted band size: 136 kDa

false

Western blot - Anti-CAND1 antibody [EPR14242(B)] - C-terminal (AB181216)
  • WB

Supplier Data

Western blot - Anti-CAND1 antibody [EPR14242(B)] - C-terminal (AB181216)

All lanes:

Western blot - Anti-CAND1 antibody [EPR14242(B)] - C-terminal (ab181216) at 1/50000 dilution

Lane 1:

293T cell lysate at 20 µg

Lane 2:

HeLa cell lysate at 20 µg

Lane 3:

Jurkat cell lysate at 20 µg

Lane 4:

Saos-2 cell lysate at 20 µg

Secondary

All lanes:

Goat Anti-Rabbit IgG, (H+L), Peroxidase conjugated at 1/1000 dilution

Predicted band size: 136 kDa

false

Key facts

Host species

Rabbit

Clonality

Monoclonal

Clone number

EPR14242(B)

Isotype

IgG

Carrier free

No

Reacts with

Human

Applications

IP, ICC/IF, WB, Flow Cyt (Intra), IHC-P

applications

Immunogen

The exact immunogen used to generate this antibody is proprietary information.

Reactivity data

{ "title": "Reactivity Data", "filters": { "stats": ["", "Species", "Dilution Info", "Notes"], "tabs": { "all-applications": {"fullname" : "All Applications", "shortname": "All Applications"}, "IP" : {"fullname" : "Immunoprecipitation", "shortname":"IP"}, "WB" : {"fullname" : "Western blot", "shortname":"WB"}, "ICCIF" : {"fullname" : "Immunocytochemistry/ Immunofluorescence", "shortname":"ICC/IF"}, "FlowCytIntra" : {"fullname" : "Flow Cytometry (Intracellular)", "shortname":"Flow Cyt (Intra)"}, "IHCP" : {"fullname" : "Immunohistochemistry (Formalin/PFA-fixed paraffin-embedded sections)", "shortname":"IHC-P"} }, "product-promise": { "all": "all", "testedAndGuaranteed": "tested", "guaranteed": "expected", "predicted": "predicted", "notRecommended": "not-recommended" } }, "values": { "Human": { "IP-species-checked": "testedAndGuaranteed", "IP-species-dilution-info": "1/40 - 1/60", "IP-species-notes": "<p></p>", "WB-species-checked": "testedAndGuaranteed", "WB-species-dilution-info": "1/10000 - 1/50000", "WB-species-notes": "<p></p>", "ICCIF-species-checked": "testedAndGuaranteed", "ICCIF-species-dilution-info": "1/100 - 1/250", "ICCIF-species-notes": "<p></p>", "FlowCytIntra-species-checked": "testedAndGuaranteed", "FlowCytIntra-species-dilution-info": "1/20", "FlowCytIntra-species-notes": "<p><a href='/en-us/products/primary-antibodies/rabbit-igg-monoclonal-epr25a-isotype-control-ab172730'>ab172730</a> - Rabbit monoclonal IgG, is suitable for use as an isotype control with this antibody.</p>", "IHCP-species-checked": "testedAndGuaranteed", "IHCP-species-dilution-info": "1/50 - 1/100", "IHCP-species-notes": "<p></p>" }, "Mouse": { "IP-species-checked": "predicted", "IP-species-dilution-info": "", "IP-species-notes": "", "WB-species-checked": "predicted", "WB-species-dilution-info": "", "WB-species-notes": "", "ICCIF-species-checked": "predicted", "ICCIF-species-dilution-info": "", "ICCIF-species-notes": "", "FlowCytIntra-species-checked": "predicted", "FlowCytIntra-species-dilution-info": "", "FlowCytIntra-species-notes": "", "IHCP-species-checked": "predicted", "IHCP-species-dilution-info": "", "IHCP-species-notes": "" }, "Rat": { "IP-species-checked": "predicted", "IP-species-dilution-info": "", "IP-species-notes": "", "WB-species-checked": "predicted", "WB-species-dilution-info": "", "WB-species-notes": "", "ICCIF-species-checked": "predicted", "ICCIF-species-dilution-info": "", "ICCIF-species-notes": "", "FlowCytIntra-species-checked": "predicted", "FlowCytIntra-species-dilution-info": "", "FlowCytIntra-species-notes": "", "IHCP-species-checked": "predicted", "IHCP-species-dilution-info": "", "IHCP-species-notes": "" } } }

Product details

Patented technology
Our RabMAb® technology is a patented hybridoma-based technology for making rabbit monoclonal antibodies. For details on our patents, please refer to RabMAb® patents.

What are the advantages of a recombinant monoclonal antibody?
This product is a recombinant monoclonal antibody, which offers several advantages including:

  • - High batch-to-batch consistency and reproducibility
  • - Improved sensitivity and specificity
  • - Long-term security of supply
  • - Animal-free batch production

For more information, read more on recombinant antibodies.

Properties and storage information

Form
Liquid
Purification technique
Affinity purification Protein A
Storage buffer
Preservative: 0.01% Sodium azide Constituents: PBS, 40% Glycerol (glycerin, glycerine), 0.05% BSA
Shipped at conditions
Blue Ice
Appropriate short-term storage duration
1-2 weeks
Appropriate short-term storage conditions
+4°C
Appropriate long-term storage conditions
-20°C
Aliquoting information
Upon delivery aliquot
Storage information
Avoid freeze / thaw cycle

Supplementary information

This supplementary information is collated from multiple sources and compiled automatically.

CAND1 also known as cullin-associated and neddylation-dissociated 1 is a scaffolding protein with a molecular mass of approximately 130 kDa. It is found in the cytoplasm and nucleus of eukaryotic cells. CAND1 plays a critical role in regulating the activity of cullin-RING ubiquitin ligases (CRLs) which are important for protein degradation processes. By interacting with neddylated cullin proteins CAND1 modulates the assembly and disassembly of these CRL complexes therefore influencing their activity.
Biological function summary

CAND1 mediates the dynamics of CRL complexes acting as a regulator of substrate specificity and turnover. CAND1 does not function alone; it is integral to a complex that includes cullin proteins and various CRL adaptors. This interaction ensures the right substrates are targeted for ubiquitination leading to proteasomal degradation. The ability of CAND1 to bind to cullin substrates is influenced by cullin neddylation and deneddylation cycles making it essential for the proper function of the ubiquitin-proteasome system.

Pathways

Studies have shown that CAND1 is important in the ubiquitin-proteasome pathway along with the neddylation pathway. Within these pathways it primarily interacts with proteins such as cullins 1 3 and 4 which are central to CRLs. By regulating these interactions CAND1 ensures that protein turnover is controlled which is important for processes like cell cycle progression and signal transduction.

Research suggests a connection between CAND1 dysregulation and certain cancers as well as neurodegenerative disorders. In cancer aberrant regulation of CAND1 can lead to uncontrolled cell proliferation due to faulty protein degradation. In neurodegenerative diseases ineffective CAND1-mediated pathways may contribute to the accumulation of damaged proteins. Understanding CAND1's relationship with key proteins in these conditions such as p53 in cancer highlights its potential as a therapeutic target.

Product protocols

For this product, it's our understanding that no specific protocols are required. You can visit:

Target data

Key assembly factor of SCF (SKP1-CUL1-F-box protein) E3 ubiquitin ligase complexes that promotes the exchange of the substrate-recognition F-box subunit in SCF complexes, thereby playing a key role in the cellular repertoire of SCF complexes. Acts as a F-box protein exchange factor. The exchange activity of CAND1 is coupled with cycles of neddylation conjugation : in the deneddylated state, cullin-binding CAND1 binds CUL1-RBX1, increasing dissociation of the SCF complex and promoting exchange of the F-box protein. Probably plays a similar role in other cullin-RING E3 ubiquitin ligase complexes.
See full target information CAND1

Publications (1)

Recent publications for all applications. Explore the full list and refine your search

Oncotarget 9:17645-17655 PubMed29707137

2018

CNPY2 inhibits MYLIP-mediated AR protein degradation in prostate cancer cells.

Applications

Unspecified application

Species

Unspecified reactive species

Saya Ito,Akihisa Ueno,Takashi Ueda,Hideo Nakagawa,Hidefumi Taniguchi,Naruhiro Kayukawa,Atsuko Fujihara-Iwata,Fumiya Hongo,Koji Okihara,Osamu Ukimura
View all publications

Product promise

We are committed to supporting your work with high-quality reagents, and we're here for you every step of the way. In the unlikely event that one of our products does not perform as expected, you're protected by our Product Promise.
For full details, please see our Terms & Conditions

Please note: All products are 'FOR RESEARCH USE ONLY. NOT FOR USE IN DIAGNOSTIC OR THERAPEUTIC PROCEDURES'.

For licensing inquiries, please contact partnerships@abcam.com