JavaScript is disabled in your browser. Please enable JavaScript to view this website.
AB259323

Anti-Cannabinoid Receptor I antibody [EPR23934-20]

4

(1 Review)

|

(17 Publications)

Anti-Cannabinoid Receptor I antibody [EPR23934-20] (ab259323) is a rabbit monoclonal antibody detecting Cannabinoid Receptor I in Western Blot, Flow Cytometry (Intra), Flow Cytometry, ICC/IF. Suitable for Human, Mouse, Rat.

- Biophysical QC for unrivalled batch-batch consistency

View Alternative Names

CNR, CNR1, Cannabinoid receptor 1, CB-R, CB1, CANN6

7 Images
Flow Cytometry (Intracellular) - Anti-Cannabinoid Receptor I antibody [EPR23934-20] (AB259323)
  • Flow Cyt (Intra)

Supplier Data

Flow Cytometry (Intracellular) - Anti-Cannabinoid Receptor I antibody [EPR23934-20] (AB259323)

Intracellular flow cytometric analysis of 4% paraformaldehyde fixed 90% methanol permeabilized SH-SY5Y (Human neuroblastoma epithelial cell) cells labelling Cannabinoid receptor 1 with ab259323 at 1/500 dilution (0.1ug) (Red) compared with a Rabbit monoclonal IgG (ab172730) (Black) isotype control and an unlabelled control (cells without incubation with primary antibody and secondary antibody) (Blue). A Goat anti rabbit IgG (Alexa Fluor® 488, ab150077) at 1/2000 dilution was used as the secondary antibody.

Immunocytochemistry/ Immunofluorescence - Anti-Cannabinoid Receptor I antibody [EPR23934-20] (AB259323)
  • ICC/IF

Supplier Data

Immunocytochemistry/ Immunofluorescence - Anti-Cannabinoid Receptor I antibody [EPR23934-20] (AB259323)

Immunofluorescent analysis of 4% Paraformaldehyde-fixed, 0.1% TritonX-100 permeabilized SH-SY5Y cells labelling Cannabinoid receptor 1 with ab259323 at 1/100 (5.44 ug/ml) dilution, followed by ab150077 Goat Anti-Rabbit IgG H&L (Alexa Fluor® 488) antibody at 1/1000 dilution (Green). Confocal image showing cytoplasmic staining in SH-SY5Y cell line is observed. ab195889 Anti-alpha Tubulin mouse monoclonal antibody - Microtubule Marker (Alexa Fluor® 594) was used to counterstain tubulin at 1/200 dilution (Red). The Nuclear counterstain was DAPI (Blue).

Secondary antibody only control : Secondary antibody is ab150077 Goat Anti-Rabbit IgG H&L (Alexa Fluor® 488) at 1/1000 dilution.

Immunocytochemistry/ Immunofluorescence - Anti-Cannabinoid Receptor I antibody [EPR23934-20] (AB259323)
  • ICC/IF

Supplier Data

Immunocytochemistry/ Immunofluorescence - Anti-Cannabinoid Receptor I antibody [EPR23934-20] (AB259323)

Immunofluorescent analysis of 4% Paraformaldehyde-fixed, 0.1% TritonX-100 permeabilized mouse primary neuron cells labelling Cannabinoid receptor 1 with ab259323 at 1/500 (1.088 ug/ml) dilution, followed by ab150077 Goat Anti-Rabbit IgG H&L (Alexa Fluor® 488) antibody at 1/1000 dilution (Green). Confocal image showing cytoplasmic staining in mouse primary neuron. Confocal scanning Z step was set as 0.3 μm followed by image processing with maximum Z projection is observed. ab11267 Anti-MAP2 mouse monoclonal antibody was used as counterstain at 1/500 dilution (Red). The Nuclear counterstain was DAPI (Blue).

Secondary antibody only control : Secondary antibody is ab150077 Goat Anti-Rabbit IgG H&L (Alexa Fluor® 488) at 1/1000 dilution.

Immunocytochemistry/ Immunofluorescence - Anti-Cannabinoid Receptor I antibody [EPR23934-20] (AB259323)
  • ICC/IF

Supplier Data

Immunocytochemistry/ Immunofluorescence - Anti-Cannabinoid Receptor I antibody [EPR23934-20] (AB259323)

Immunofluorescent analysis of 4% Paraformaldehyde-fixed, 0.1% TritonX-100 permeabilized rat primary neuron cells labelling Cannabinoid receptor 1 with ab259323 at 1/500 (1.088 ug/ml) dilution, followed by ab150077 Goat Anti-Rabbit IgG H&L (Alexa Fluor® 488) antibody at 1/1000 dilution (Green). Confocal image showing cytoplasmic staining in rat primary neuron. Confocal scanning Z step was set as 0.3 μm followed by image processing with maximum Z projection is observed. ab11267 Anti-MAP2 mouse monoclonal antibody was used as counterstain at 1/500 dilution (Red). The Nuclear counterstain was DAPI (Blue).

Secondary antibody only control : Secondary antibody is ab150077 Goat Anti-Rabbit IgG H&L (Alexa Fluor® 488) at 1/1000 dilution.

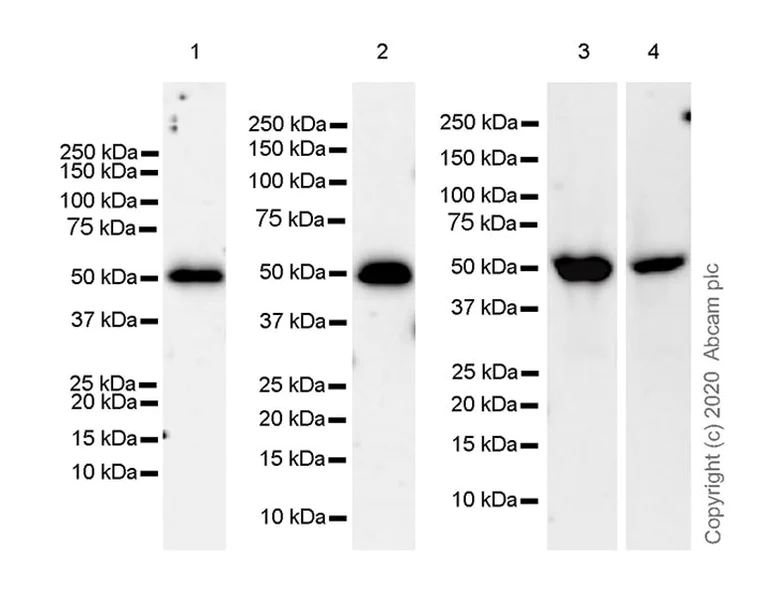
Western blot - Anti-Cannabinoid Receptor I antibody [EPR23934-20] (AB259323)
  • WB

Lab

Western blot - Anti-Cannabinoid Receptor I antibody [EPR23934-20] (AB259323)

Blocking and diluting buffer and concentration : 5% NFDM/TBST

Exposure time : Lane 1 : 3 minutes; Lanes 2-4 : 70 seconds.

All lanes:

Western blot - Anti-Cannabinoid Receptor I antibody [EPR23934-20] (ab259323) at 1/1000 dilution

Lane 1:

Human brain tissue lysate

Lane 2:

Human hippocampus tissue lysate

Lane 3:

Mouse brain tissue lysate

Lane 4:

Rat brain tissue lysate

Secondary

All lanes:

Western blot - VeriBlot for IP Detection Reagent (HRP) (<a href='/en-us/products/reagents/veriblot-for-ip-detection-reagent-hrp-ab131366'>ab131366</a>) at 1/1000 dilution

Predicted band size: 53 kDa

false

Western blot - Anti-Cannabinoid Receptor I antibody [EPR23934-20] (AB259323)
  • WB

Lab

Western blot - Anti-Cannabinoid Receptor I antibody [EPR23934-20] (AB259323)

Blocking and diluting buffer and concentration : 5% NFDM/TBST

Exposure time : Lane 1 : 67 seconds; Lane 2 : 3 minutes.

All lanes:

Western blot - Anti-Cannabinoid Receptor I antibody [EPR23934-20] (ab259323) at 1/1000 dilution

Lane 1:

SH-SY5Y (human neuroblastoma epithelial cell) whole cell lysate

Lane 2:

NIH/3T3 (mouse embryonic fibroblast) whole cell lysate

Secondary

All lanes:

Western blot - VeriBlot for IP Detection Reagent (HRP) (<a href='/en-us/products/reagents/veriblot-for-ip-detection-reagent-hrp-ab131366'>ab131366</a>) at 1/5000 dilution

Predicted band size: 53 kDa

false

Western blot - Anti-Cannabinoid Receptor I antibody [EPR23934-20] (AB259323)
  • WB

Lab

Western blot - Anti-Cannabinoid Receptor I antibody [EPR23934-20] (AB259323)

Blocking and diluting buffer and concentration : 5% NFDM/TBST

The expression profile observed is consistent with what has been described in the literature (PMID : 9655502).

Negative control : mouse liver (PMID : 9655502).

Exposure time : 70 seconds

All lanes:

Western blot - Anti-Cannabinoid Receptor I antibody [EPR23934-20] (ab259323) at 1/1000 dilution

Lane 1:

Mouse brain tissue lysate

Lane 2:

Mouse liver tissue lysate

Secondary

All lanes:

Western blot - VeriBlot for IP Detection Reagent (HRP) (<a href='/en-us/products/reagents/veriblot-for-ip-detection-reagent-hrp-ab131366'>ab131366</a>) at 1/1000 dilution

Predicted band size: 53 kDa

false

  • Carrier free

    Anti-Cannabinoid Receptor I antibody [EPR23934-20] - BSA and Azide free

Key facts

Host species

Rabbit

Clonality

Monoclonal

Clone number

EPR23934-20

Isotype

IgG

Carrier free

No

Reacts with

Mouse, Rat, Human

Applications

ICC/IF, WB, Flow Cyt (Intra)

applications

Immunogen

The exact immunogen used to generate this antibody is proprietary information.

Reactivity data

{ "title": "Reactivity Data", "filters": { "stats": ["", "Species", "Dilution Info", "Notes"], "tabs": { "all-applications": {"fullname" : "All Applications", "shortname": "All Applications"}, "ICCIF" : {"fullname" : "Immunocytochemistry/ Immunofluorescence", "shortname":"ICC/IF"}, "IP" : {"fullname" : "Immunoprecipitation", "shortname":"IP"}, "WB" : {"fullname" : "Western blot", "shortname":"WB"}, "IHCP" : {"fullname" : "Immunohistochemistry (Formalin/PFA-fixed paraffin-embedded sections)", "shortname":"IHC-P"}, "IHCFr" : {"fullname" : "Immunohistochemistry (Frozen sections)", "shortname":"IHC-Fr"}, "FlowCytIntra" : {"fullname" : "Flow Cytometry (Intracellular)", "shortname":"Flow Cyt (Intra)"} }, "product-promise": { "all": "all", "testedAndGuaranteed": "tested", "guaranteed": "expected", "predicted": "predicted", "notRecommended": "not-recommended" } }, "values": { "Human": { "ICCIF-species-checked": "testedAndGuaranteed", "ICCIF-species-dilution-info": "1/100", "ICCIF-species-notes": "<p></p>", "IP-species-checked": "notRecommended", "IP-species-dilution-info": "", "IP-species-notes": "<p></p>", "WB-species-checked": "testedAndGuaranteed", "WB-species-dilution-info": "1/1000", "WB-species-notes": "<p></p>", "IHCP-species-checked": "notRecommended", "IHCP-species-dilution-info": "", "IHCP-species-notes": "<p></p>", "IHCFr-species-checked": "notRecommended", "IHCFr-species-dilution-info": "", "IHCFr-species-notes": "<p></p>", "FlowCytIntra-species-checked": "testedAndGuaranteed", "FlowCytIntra-species-dilution-info": "1/500", "FlowCytIntra-species-notes": "<p></p>" }, "Mouse": { "ICCIF-species-checked": "testedAndGuaranteed", "ICCIF-species-dilution-info": "1/100", "ICCIF-species-notes": "<p></p>", "IP-species-checked": "notRecommended", "IP-species-dilution-info": "", "IP-species-notes": "<p></p>", "WB-species-checked": "testedAndGuaranteed", "WB-species-dilution-info": "1/1000", "WB-species-notes": "<p></p>", "IHCP-species-checked": "notRecommended", "IHCP-species-dilution-info": "", "IHCP-species-notes": "<p></p>", "IHCFr-species-checked": "notRecommended", "IHCFr-species-dilution-info": "", "IHCFr-species-notes": "<p></p>", "FlowCytIntra-species-checked": "guaranteed", "FlowCytIntra-species-dilution-info": "", "FlowCytIntra-species-notes": "" }, "Rat": { "ICCIF-species-checked": "testedAndGuaranteed", "ICCIF-species-dilution-info": "1/100", "ICCIF-species-notes": "<p></p>", "IP-species-checked": "notRecommended", "IP-species-dilution-info": "", "IP-species-notes": "<p></p>", "WB-species-checked": "testedAndGuaranteed", "WB-species-dilution-info": "1/1000", "WB-species-notes": "<p></p>", "IHCP-species-checked": "notRecommended", "IHCP-species-dilution-info": "", "IHCP-species-notes": "<p></p>", "IHCFr-species-checked": "notRecommended", "IHCFr-species-dilution-info": "", "IHCFr-species-notes": "<p></p>", "FlowCytIntra-species-checked": "guaranteed", "FlowCytIntra-species-dilution-info": "", "FlowCytIntra-species-notes": "" } } }

Product details

What is this antibody validated in?
Anti-Cannabinoid Receptor I antibody [EPR23934-20] (ab259323) is a rabbit recombinant monoclonal antibody and is validated for use in Western Blot (WB), Flow Cytometry (Intra), Flow Cytometry (Flow Cyt), Immunocytochemistry/immunofluorescence (ICC/IF) in Human, Mouse, Rat samples.

What is the molecular weight of Cannabinoid Receptor I?
Anti-Cannabinoid Receptor I [EPR23934-20] (ab259323) specifically detects a band for Cannabinoid Receptor I (UniProt: P21554) at a molecular weight of 53kDa.

Trial sizes available!
Test your antibody or perform pre-screening before committing to a larger quantity. Sold in 10µl. Discover our selection of trial-size antibodies.

Other related products
We have a range of other formats of antibody clone [EPR23934-20] also available for your convenience: ab259323, Carrier free - ab278508

Patented technology
Our RabMAb® technology is a patented hybridoma-based technology for making rabbit monoclonal antibodies. For details on our patents, please refer to RabMAb® patents.

What are the advantages of a recombinant monoclonal antibody?
This product is a recombinant monoclonal antibody, which offers several advantages including:

  • - High batch-to-batch consistency and reproducibility
  • - Improved sensitivity and specificity
  • - Long-term security of supply
  • - Animal-free batch production

For more information, read more on recombinant antibodies.

Properties and storage information

Form
Liquid
Purification technique
Affinity purification Protein A
Storage buffer
Preservative: 0.01% Sodium azide Constituents: PBS, 40% Glycerol (glycerin, glycerine), 0.05% BSA
Shipped at conditions
Blue Ice
Appropriate short-term storage duration
1-2 weeks
Appropriate short-term storage conditions
+4°C
Appropriate long-term storage conditions
-20°C
Aliquoting information
Upon delivery aliquot
Storage information
Avoid freeze / thaw cycle

Product protocols

For this product, it's our understanding that no specific protocols are required. You can visit:

Target data

G-protein coupled receptor for endogenous cannabinoids (eCBs), including N-arachidonoylethanolamide (also called anandamide or AEA) and 2-arachidonoylglycerol (2-AG), as well as phytocannabinoids, such as delta(9)-tetrahydrocannabinol (THC) (PubMed : 15620723, PubMed : 27768894, PubMed : 27851727). Mediates many cannabinoid-induced effects, acting, among others, on food intake, memory loss, gastrointestinal motility, catalepsy, ambulatory activity, anxiety, chronic pain. Signaling typically involves reduction in cyclic AMP (PubMed : 1718258, PubMed : 21895628, PubMed : 27768894). In the hypothalamus, may have a dual effect on mitochondrial respiration depending upon the agonist dose and possibly upon the cell type. Increases respiration at low doses, while decreases respiration at high doses. At high doses, CNR1 signal transduction involves G-protein alpha-i protein activation and subsequent inhibition of mitochondrial soluble adenylate cyclase, decrease in cyclic AMP concentration, inhibition of protein kinase A (PKA)-dependent phosphorylation of specific subunits of the mitochondrial electron transport system, including NDUFS2. In the hypothalamus, inhibits leptin-induced reactive oxygen species (ROS) formation and mediates cannabinoid-induced increase in SREBF1 and FASN gene expression. In response to cannabinoids, drives the release of orexigenic beta-endorphin, but not that of melanocyte-stimulating hormone alpha/alpha-MSH, from hypothalamic POMC neurons, hence promoting food intake. In the hippocampus, regulates cellular respiration and energy production in response to cannabinoids. Involved in cannabinoid-dependent depolarization-induced suppression of inhibition (DSI), a process in which depolarization of CA1 postsynaptic pyramidal neurons mobilizes eCBs, which retrogradely activate presynaptic CB1 receptors, transiently decreasing GABAergic inhibitory neurotransmission. Also reduces excitatory synaptic transmission (By similarity). In superior cervical ganglions and cerebral vascular smooth muscle cells, inhibits voltage-gated Ca(2+) channels in a constitutive, as well as agonist-dependent manner (PubMed : 17895407). In cerebral vascular smooth muscle cells, cannabinoid-induced inhibition of voltage-gated Ca(2+) channels leads to vasodilation and decreased vascular tone (By similarity). Induces leptin production in adipocytes and reduces LRP2-mediated leptin clearance in the kidney, hence participating in hyperleptinemia. In adipose tissue, CNR1 signaling leads to increased expression of SREBF1, ACACA and FASN genes (By similarity). In the liver, activation by endocannabinoids leads to increased de novo lipogenesis and reduced fatty acid catabolism, associated with increased expression of SREBF1/SREBP-1, GCK, ACACA, ACACB and FASN genes. May also affect de novo cholesterol synthesis and HDL-cholesteryl ether uptake. Peripherally modulates energy metabolism (By similarity). In high carbohydrate diet-induced obesity, may decrease the expression of mitochondrial dihydrolipoyl dehydrogenase/DLD in striated muscles, as well as that of selected glucose/ pyruvate metabolic enzymes, hence affecting energy expenditure through mitochondrial metabolism (By similarity). In response to cannabinoid anandamide, elicits a pro-inflammatory response in macrophages, which involves NLRP3 inflammasome activation and IL1B and IL18 secretion (By similarity). In macrophages infiltrating pancreatic islets, this process may participate in the progression of type-2 diabetes and associated loss of pancreatic beta-cells (PubMed : 23955712).. Isoform 1. Binds both 2-arachidonoylglycerol (2-AG) and anandamide.. Isoform 2. Only binds 2-arachidonoylglycerol (2-AG) with high affinity. Contrary to its effect on isoform 1, 2-AG behaves as an inverse agonist on isoform 2 in assays measuring GTP binding to membranes.. Isoform 3. Only binds 2-arachidonoylglycerol (2-AG) with high affinity. Contrary to its effect on isoform 1, 2-AG behaves as an inverse agonist on isoform 3 in assays measuring GTP binding to membranes.
See full target information CNR1

Publications (17)

Recent publications for all applications. Explore the full list and refine your search

Translational neuroscience 16:20250381 PubMed40919222

2025

DIA-based proteomics reveals anti-inflammatory role of DL-3--butylphthalide in cerebral small vessel disease-induced brain injury in hypertensive rat.

Applications

Unspecified application

Species

Unspecified reactive species

Juan Sun,Zhe Su,Yingxiao Ji,Fangming Wang,Jingru Zhao,Jian Zhang,Litao Li

Frontiers in neuroscience 19:1629351 PubMed40787242

2025

Endocannabinoid-mediated regulation of depression in the ovBNST.

Applications

Unspecified application

Species

Unspecified reactive species

Riming Zhu,Jie Li,Xia Zhang,Bin Zhang

Biology 14: PubMed40563893

2025

Cannabinoid Modulation of Excitability and Short-Term Neuronal Dynamics in the Dorsal and Ventral Hippocampus.

Applications

Unspecified application

Species

Unspecified reactive species

Giota Tsotsokou,Ioanna-Maria Sotiropoulou,Klearchos Stampolitis,George D Oikonomou,Aikaterini-Paraskevi Avdi,Costas Papatheodoropoulos

Pharmacology research & perspectives 13:e70079 PubMed39996441

2025

Psilocin, A Psychedelic Drug, Exerts Anticonvulsant Effects Against PTZ- and MES-Induced Seizures in Mice via 5-HT1A and CB1 Receptors: Involvement of Nitrergic, Opioidergic, and Kynurenine Pathways.

Applications

Unspecified application

Species

Unspecified reactive species

Mohammad Balabandian,Mohammad Amin Manavi,Ali Lesani,Razieh Mohammad Jafari,Hamed Shafaroodi,Navid Heidari,Javad Mirnajafi-Zadeh,Alireza Foroumadi,Arya Afrooghe,Ahmad Reza Dehpour

Journal of neurochemistry 169:e16256 PubMed39556462

2024

Alterations of endocannabinoid signaling and microglia reactivity in the retinas of AD-like mice precede the onset of hippocampal β-amyloid plaques.

Applications

Unspecified application

Species

Unspecified reactive species

Annamaria Tisi,Lucia Scipioni,Giulia Carozza,Lucia Di Re,Giacomo Cimino,Camilla Di Meo,Sakthimala Palaniappan,Francesco Della Valle,Federico Fanti,Giacomo Giacovazzo,Dario Compagnone,Rita Maccarone,Sergio Oddi,Mauro Maccarrone

Experimental and therapeutic medicine 27:268 PubMed38756904

2024

CB1 receptor mediates anesthetic drug ketamine‑induced neuroprotection against glutamate in HT22 cells.

Applications

Unspecified application

Species

Unspecified reactive species

He Bao,Chen Wang,Xiaorong Xue,Bin Hu,Qi Guo

Pharmacological reports : PR 76:424-434 PubMed38519732

2024

Cannabidiol may prevent the development of congestive hepatopathy secondary to right ventricular hypertrophy associated with pulmonary hypertension in rats.

Applications

Unspecified application

Species

Unspecified reactive species

Anna Krzyżewska,Marta Baranowska-Kuczko,Anna Galicka,Irena Kasacka,Krzysztof Mińczuk,Hanna Kozłowska

International journal of molecular sciences 25: PubMed38474266

2024

The Expression and Functionality of CBR-NMDAR Complexes Are Decreased in A Parkinson's Disease Model.

Applications

Unspecified application

Species

Unspecified reactive species

Irene Reyes-Resina,Jaume Lillo,Iu Raïch,Joan Biel Rebassa,Gemma Navarro

Journal of applied physiology (Bethesda, Md. : 1985) 134:569-580 PubMed36701485

2023

Regulation of the endocannabinoid system by endurance and resistance exercise in hypoxia in human skeletal muscle.

Applications

Unspecified application

Species

Unspecified reactive species

Sophie van Doorslaer de Ten Ryen,Sebastiaan Dalle,Romano Terrasi,Katrien Koppo,Giulio G Muccioli,Louise Deldicque

International journal of molecular sciences 24: PubMed36768564

2023

Gestational Diabetes Mellitus and Small-for-Gestational-Age: An Insight into the Placental Molecular Biomarkers.

Applications

Unspecified application

Species

Unspecified reactive species

Christian Giommi,Marta Lombό,Nina Montik,Michela Paolucci,Valentina Notarstefano,Giovanni Delli Carpini,Andrea Ciavattini,Antonio Ragusa,Francesca Maradonna,Elisabetta Giorgini,Oliana Carnevali
View all publications

Product promise

We are committed to supporting your work with high-quality reagents, and we're here for you every step of the way. In the unlikely event that one of our products does not perform as expected, you're protected by our Product Promise.
For full details, please see our Terms & Conditions

Please note: All products are 'FOR RESEARCH USE ONLY. NOT FOR USE IN DIAGNOSTIC OR THERAPEUTIC PROCEDURES'.

For licensing inquiries, please contact partnerships@abcam.com