JavaScript is disabled in your browser. Please enable JavaScript to view this website.
AB133655

Anti-CAP1 antibody [EPR8338]

Be the first to review this product! Submit a review

|

(6 Publications)

Rabbit Recombinant Monoclonal CAP1 antibody. Suitable for IHC-P, WB, ICC/IF and reacts with Human samples. Cited in 6 publications.

View Alternative Names

CAP, CAP1, Adenylyl cyclase-associated protein 1, CAP 1

5 Images
Immunohistochemistry (Formalin/PFA-fixed paraffin-embedded sections) - Anti-CAP1 antibody [EPR8338] (AB133655)
  • IHC-P

Unknown

Immunohistochemistry (Formalin/PFA-fixed paraffin-embedded sections) - Anti-CAP1 antibody [EPR8338] (AB133655)

Immunohistochemical analysis of paraffin-embedded human bladder carcinoma tissue labelling CAP1 with ab133655 at 1/100 dilution.

Perform heat mediated antigen retrieval before commencing with IHC staining protocol.

Immunocytochemistry/ Immunofluorescence - Anti-CAP1 antibody [EPR8338] (AB133655)
  • ICC/IF

Lab

Immunocytochemistry/ Immunofluorescence - Anti-CAP1 antibody [EPR8338] (AB133655)

Immunocytochemistry/Immunofluorescence analysis of HepG2 (human hepatocellular carcinoma) cells labelling CAP1 with purified ab133655 at a dilution of 1/500. Cells were fixed with 4% Paraformaldehyde and permeabilised with 0.1% tritonX-100. An Alexa Fluor® 488-conjugated goat anti-rabbit IgG (ab150077) at dilution of 1/1000 was used as the secondary antibody. Nuclei counterstained with DAPI (blue).

Secondary Only Control : PBS was used instead of the primary antibody as the negative control.

Western blot - Anti-CAP1 antibody [EPR8338] (AB133655)
  • WB

Unknown

Western blot - Anti-CAP1 antibody [EPR8338] (AB133655)

All lanes:

Western blot - Anti-CAP1 antibody [EPR8338] (ab133655) at 1/10000 dilution

Lane 1:

HepG2 cell lysate at 10 µg

Lane 2:

293T cell lysate at 10 µg

Lane 3:

K562 cell lysate at 10 µg

Lane 4:

Raji cell lysate at 10 µg

Secondary

All lanes:

HRP labelled goat anti-rabbit at 1/2000 dilution

Predicted band size: 52 kDa

Observed band size: 52 kDa

false

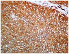
Immunohistochemistry (Formalin/PFA-fixed paraffin-embedded sections) - Anti-CAP1 antibody [EPR8338] (AB133655)
  • IHC-P

Unknown

Immunohistochemistry (Formalin/PFA-fixed paraffin-embedded sections) - Anti-CAP1 antibody [EPR8338] (AB133655)

Immunohistochemical analysis of paraffin-embedded human bladder carcinoma tissue labelling CAP1 with ab133655 at 1/100 dilution.

Perform heat mediated antigen retrieval before commencing with IHC staining protocol.

OI-RD Scanning - Anti-CAP1 antibody [EPR8338] (AB133655)
  • OI-RD Scanning

Unknown

OI-RD Scanning - Anti-CAP1 antibody [EPR8338] (AB133655)

We have systematically measured KD (the equilibrium dissociation constant between the antibody and its antigen), of more than 840 recombinant antibodies to assess not only their individual KD values but also to see the average affinity of antibody. Based on the comparison with published literature values for mouse monoclonal antibodies, Recombinant antibodies appear to be on average 1-2 order of magnitude higher affinity.

  • Carrier free

    Anti-CAP1 antibody [EPR8338] - BSA and Azide free

Key facts

Host species

Rabbit

Clonality

Monoclonal

Clone number

EPR8338

Isotype

IgG

Carrier free

No

Reacts with

Human

Applications

WB, ICC/IF, IHC-P

applications

Immunogen

The exact immunogen used to generate this antibody is proprietary information.

Reactivity data

{ "title": "Reactivity Data", "filters": { "stats": ["", "Species", "Dilution Info", "Notes"], "tabs": { "all-applications": {"fullname" : "All Applications", "shortname": "All Applications"}, "IHCP" : {"fullname" : "Immunohistochemistry (Formalin/PFA-fixed paraffin-embedded sections)", "shortname":"IHC-P"}, "FlowCyt" : {"fullname" : "Flow Cytometry", "shortname":"Flow Cyt"}, "WB" : {"fullname" : "Western blot", "shortname":"WB"}, "ICCIF" : {"fullname" : "Immunocytochemistry/ Immunofluorescence", "shortname":"ICC/IF"} }, "product-promise": { "all": "all", "testedAndGuaranteed": "tested", "guaranteed": "expected", "predicted": "predicted", "notRecommended": "not-recommended" } }, "values": { "Human": { "IHCP-species-checked": "testedAndGuaranteed", "IHCP-species-dilution-info": "1/100 - 1/250", "IHCP-species-notes": "<p></p> Perform heat-mediated antigen retrieval before commencing with IHC staining protocol.", "FlowCyt-species-checked": "notRecommended", "FlowCyt-species-dilution-info": "", "FlowCyt-species-notes": "<p></p>", "WB-species-checked": "testedAndGuaranteed", "WB-species-dilution-info": "1/10000 - 1/50000", "WB-species-notes": "<p></p>", "ICCIF-species-checked": "testedAndGuaranteed", "ICCIF-species-dilution-info": "1/250 - 1/500", "ICCIF-species-notes": "<p></p>" } } }

Product details

Patented technology
Our RabMAb® technology is a patented hybridoma-based technology for making rabbit monoclonal antibodies. For details on our patents, please refer to RabMAb® patents.

What are the advantages of a recombinant monoclonal antibody?
This product is a recombinant monoclonal antibody, which offers several advantages including:

  • - High batch-to-batch consistency and reproducibility
  • - Improved sensitivity and specificity
  • - Long-term security of supply
  • - Animal-free batch production

For more information, read more on recombinant antibodies.

Properties and storage information

Form
Liquid
Purity
Tissue culture supernatant
Storage buffer
pH: 7.2 - 7.4 Preservative: 0.01% Sodium azide Constituents: 50% Tissue culture supernatant, 40% Glycerol (glycerin, glycerine), 9% PBS, 0.05% BSA
Shipped at conditions
Blue Ice
Appropriate short-term storage conditions
+4°C
Appropriate long-term storage conditions
-20°C
Storage information
Stable for 12 months at -20°C

Supplementary information

This supplementary information is collated from multiple sources and compiled automatically.

The CAP1 protein also known as Cyclase-associated protein 1 is a dynamic actin-binding protein found in various tissues throughout the body. CAP1 has a mass of approximately 53 kDa. It is predominantly expressed in immune cells and muscle tissue. Mechanically CAP1 interacts with actin filaments promoting their disassembly and turnover therefore facilitating cytoskeletal restructuring critical for cell motility and shape changes.
Biological function summary

CAP1 plays a significant role in cellular signaling and organization. It does not exist as an isolated entity but instead forms complexes with actin and other cytoskeletal proteins to exert its functions. By promoting actin turnover CAP1 influences processes like intracellular trafficking and cell migration. This protein also contributes to the regulation of signal transduction pathways connected to cell proliferation and differentiation.

Pathways

CAP1 is involved in the reorganization of the actin cytoskeleton and the Wnt signaling pathway. In actin reorganization CAP1 works closely with cofilin another actin-binding protein to enhance actin dynamics. Through the Wnt pathway CAP1 modulates transcriptional activity and cellular responses to growth signals. These interactions highlight CAP1's integration into important pathways that regulate cell behavior.

CAP1 is relevant in cancer progression and rheumatoid arthritis. In cancer abnormal regulation of CAP1 can lead to enhanced cell migration and invasion which are hallmarks of metastasis. Its interaction with proteins such as cofilin in cytoskeletal rearrangement impacts tumor cell dynamics. In rheumatoid arthritis altered CAP1 activity affects immune cell function and joint degradation. These connections highlight CAP1's importance in pathological conditions where actin dynamics and immune responses play critical roles.

Product protocols

For this product, it's our understanding that no specific protocols are required. You can visit:

Target data

Directly regulates filament dynamics and has been implicated in a number of complex developmental and morphological processes, including mRNA localization and the establishment of cell polarity.
See full target information CAP1

Publications (6)

Recent publications for all applications. Explore the full list and refine your search

Frontiers in oncology 11:628653 PubMed33738261

2021

Adipocytes Under Obese-Like Conditions Change Cell Cycle Distribution and Phosphorylation Profiles of Breast Cancer Cells: The Adipokine Receptor CAP1 Matters.

Applications

Unspecified application

Species

Unspecified reactive species

Malin Bergqvist,Karin Elebro,Signe Borgquist,Ann H Rosendahl

Breast cancer research : BCR 22:67 PubMed32560703

2020

Effects of tumor-specific CAP1 expression and body constitution on clinical outcomes in patients with early breast cancer.

Applications

Unspecified application

Species

Unspecified reactive species

Malin Bergqvist,Karin Elebro,Malte Sandsveden,Signe Borgquist,Ann H Rosendahl

Platelets 31:913-924 PubMed31801396

2019

Biochemical and immunocytochemical characterization of coronins in platelets.

Applications

Unspecified application

Species

Unspecified reactive species

David R J Riley,Jawad S Khalil,Khalid M Naseem,Francisco Rivero

Scientific reports 8:10804 PubMed30018317

2018

The membrane-associated fraction of cyclase associate protein 1 translocates to the cytosol upon platelet stimulation.

Applications

Unspecified application

Species

Unspecified reactive species

Pooja Joshi,David R J Riley,Jawad S Khalil,Huajiang Xiong,Wei Ji,Francisco Rivero

Molecular carcinogenesis 56:1344-1360 PubMed27891679

2016

Adenylyl cyclase 3/adenylyl cyclase-associated protein 1 (CAP1) complex mediates the anti-migratory effect of forskolin in pancreatic cancer cells.

Applications

Unspecified application

Species

Unspecified reactive species

Sierra N Quinn,Sarai H Graves,Clayton Dains-McGahee,Emilee M Friedman,Humma Hassan,Piotr Witkowski,Maria E Sabbatini

International journal of proteomics 2015:841769 PubMed26060582

2015

SILAC-Based Quantitative Proteomic Analysis of Diffuse Large B-Cell Lymphoma Patients.

Applications

WB

Species

Unspecified reactive species

Ulla Rüetschi,Martin Stenson,Sverker Hasselblom,Herman Nilsson-Ehle,Ulrika Hansson,Henrik Fagman,Per-Ola Andersson
View all publications

Product promise

We are committed to supporting your work with high-quality reagents, and we're here for you every step of the way. In the unlikely event that one of our products does not perform as expected, you're protected by our Product Promise.
For full details, please see our Terms & Conditions

Please note: All products are 'FOR RESEARCH USE ONLY. NOT FOR USE IN DIAGNOSTIC OR THERAPEUTIC PROCEDURES'.

For licensing inquiries, please contact partnerships@abcam.com