JavaScript is disabled in your browser. Please enable JavaScript to view this website.
AB232037

Anti-CAP1 antibody [EPR8338] - BSA and Azide free

Be the first to review this product! Submit a review

|

(1 Publication)

Rabbit Recombinant Monoclonal CAP1 antibody. Carrier free. Suitable for IHC-P, WB, ICC/IF and reacts with Human samples. Cited in 1 publication.

View Alternative Names

CAP, CAP1, Adenylyl cyclase-associated protein 1, CAP 1

4 Images
Immunohistochemistry (Formalin/PFA-fixed paraffin-embedded sections) - Anti-CAP1 antibody [EPR8338] - BSA and Azide free (AB232037)
  • IHC-P

Unknown

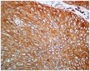
Immunohistochemistry (Formalin/PFA-fixed paraffin-embedded sections) - Anti-CAP1 antibody [EPR8338] - BSA and Azide free (AB232037)

Immunohistochemical analysis of paraffin-embedded human bladder carcinoma tissue labelling CAP1 with ab133655 at 1/100 dilution.

This data was developed using the same antibody clone in a different buffer formulation containing PBS, BSA, glycerol, and sodium azide (ab133655).

Immunohistochemistry (Formalin/PFA-fixed paraffin-embedded sections) - Anti-CAP1 antibody [EPR8338] - BSA and Azide free (AB232037)
  • IHC-P

Supplier Data

Immunohistochemistry (Formalin/PFA-fixed paraffin-embedded sections) - Anti-CAP1 antibody [EPR8338] - BSA and Azide free (AB232037)

Immunohistochemical analysis of paraffin-embedded human bladder carcinoma tissue labelling CAP1 with ab133655 at 1/100 dilution.

This data was developed using the same antibody clone in a different buffer formulation containing PBS, BSA, glycerol, and sodium azide (ab133655).

Heat mediated antigen retrieval was performed before commencing with IHC staining protocol.

Immunocytochemistry/ Immunofluorescence - Anti-CAP1 antibody [EPR8338] - BSA and Azide free (AB232037)
  • ICC/IF

Lab

Immunocytochemistry/ Immunofluorescence - Anti-CAP1 antibody [EPR8338] - BSA and Azide free (AB232037)

Immunocytochemistry/Immunofluorescence analysis of HepG2 (human hepatocellular carcinoma) cells labelling CAP1 with purified ab133655 at a dilution of 1/500. Cells were fixed with 4% Paraformaldehyde and permeabilised with 0.1% tritonX-100. An Alexa Fluor® 488-conjugated goat anti-rabbit IgG (ab150077) at dilution of 1/1000 was used as the secondary antibody. Nuclei counterstained with DAPI (blue).

Secondary Only Control : PBS was used instead of the primary antibody as the negative control.

This data was developed using the same antibody clone in a different buffer formulation containing PBS, BSA, glycerol, and sodium azide (ab133655).

OI-RD Scanning - Anti-CAP1 antibody [EPR8338] - BSA and Azide free (AB232037)
  • OI-RD Scanning

Unknown

OI-RD Scanning - Anti-CAP1 antibody [EPR8338] - BSA and Azide free (AB232037)

We have systematically measured KD (the equilibrium dissociation constant between the antibody and its antigen), of more than 840 recombinant antibodies to assess not only their individual KD values but also to see the average affinity of antibody. Based on the comparison with published literature values for mouse monoclonal antibodies, Recombinant antibodies appear to be on average 1-2 order of magnitude higher affinity.

Key facts

Host species

Rabbit

Clonality

Monoclonal

Clone number

EPR8338

Isotype

IgG

Carrier free

Yes

Reacts with

Human

Applications

IHC-P, ICC/IF, WB

applications

Immunogen

The exact immunogen used to generate this antibody is proprietary information.

Reactivity data

{ "title": "Reactivity Data", "filters": { "stats": ["", "Species", "Dilution Info", "Notes"], "tabs": { "all-applications": {"fullname" : "All Applications", "shortname": "All Applications"}, "IHCP" : {"fullname" : "Immunohistochemistry (Formalin/PFA-fixed paraffin-embedded sections)", "shortname":"IHC-P"}, "WB" : {"fullname" : "Western blot", "shortname":"WB"}, "ICCIF" : {"fullname" : "Immunocytochemistry/ Immunofluorescence", "shortname":"ICC/IF"} }, "product-promise": { "all": "all", "testedAndGuaranteed": "tested", "guaranteed": "expected", "predicted": "predicted", "notRecommended": "not-recommended" } }, "values": { "Human": { "IHCP-species-checked": "testedAndGuaranteed", "IHCP-species-dilution-info": "", "IHCP-species-notes": "<p></p>", "WB-species-checked": "guaranteed", "WB-species-dilution-info": "", "WB-species-notes": "<p></p>", "ICCIF-species-checked": "testedAndGuaranteed", "ICCIF-species-dilution-info": "", "ICCIF-species-notes": "<p></p>" } } }

Product details

ab232037 is the carrier-free version of ab133655.

Patented technology
Our RabMAb® technology is a patented hybridoma-based technology for making rabbit monoclonal antibodies. For details on our patents, please refer to RabMAb® patents.

What are the advantages of a recombinant monoclonal antibody?
This product is a recombinant monoclonal antibody, which offers several advantages including:

  • - High batch-to-batch consistency and reproducibility
  • - Improved sensitivity and specificity
  • - Long-term security of supply
  • - Animal-free batch production

For more information, read more on recombinant antibodies.

Conjugation ready
Our carrier-free antibodies are typically supplied in a PBS-only formulation, purified and free of BSA, sodium azide and glycerol. This conjugation-ready format is designed for use with fluorochromes, metal isotopes, oligonucleotides, and enzymes, which makes them ideal for antibody labelling, functional and cell-based assays, flow-based assays (e.g. mass cytometry) and Multiplex Imaging applications.

Use our conjugation kits for antibody conjugates that are ready-to-use in as little as 20 minutes with 1 minute hands-on-time and 100% antibody recovery: available for fluorescent dyes, HRP, biotin and gold.

Compatibility
This product is compatible with the Maxpar® Antibody Labeling Kit from Fluidigm, without the need for antibody preparation. Maxpar® is a trademark of Fluidigm Canada Inc.

Properties and storage information

Form
Liquid
Purification technique
Affinity purification Protein A
Storage buffer
pH: 7.2 - 7.4 Constituents: PBS
Shipped at conditions
Blue Ice
Appropriate short-term storage conditions
+4°C
Appropriate long-term storage conditions
+4°C
Storage information
Do Not Freeze

Supplementary information

This supplementary information is collated from multiple sources and compiled automatically.

The CAP1 protein also known as Cyclase-associated protein 1 is a dynamic actin-binding protein found in various tissues throughout the body. CAP1 has a mass of approximately 53 kDa. It is predominantly expressed in immune cells and muscle tissue. Mechanically CAP1 interacts with actin filaments promoting their disassembly and turnover therefore facilitating cytoskeletal restructuring critical for cell motility and shape changes.
Biological function summary

CAP1 plays a significant role in cellular signaling and organization. It does not exist as an isolated entity but instead forms complexes with actin and other cytoskeletal proteins to exert its functions. By promoting actin turnover CAP1 influences processes like intracellular trafficking and cell migration. This protein also contributes to the regulation of signal transduction pathways connected to cell proliferation and differentiation.

Pathways

CAP1 is involved in the reorganization of the actin cytoskeleton and the Wnt signaling pathway. In actin reorganization CAP1 works closely with cofilin another actin-binding protein to enhance actin dynamics. Through the Wnt pathway CAP1 modulates transcriptional activity and cellular responses to growth signals. These interactions highlight CAP1's integration into important pathways that regulate cell behavior.

CAP1 is relevant in cancer progression and rheumatoid arthritis. In cancer abnormal regulation of CAP1 can lead to enhanced cell migration and invasion which are hallmarks of metastasis. Its interaction with proteins such as cofilin in cytoskeletal rearrangement impacts tumor cell dynamics. In rheumatoid arthritis altered CAP1 activity affects immune cell function and joint degradation. These connections highlight CAP1's importance in pathological conditions where actin dynamics and immune responses play critical roles.

Product protocols

For this product, it's our understanding that no specific protocols are required. You can visit:

Target data

Directly regulates filament dynamics and has been implicated in a number of complex developmental and morphological processes, including mRNA localization and the establishment of cell polarity.
See full target information CAP1

Publications (1)

Recent publications for all applications. Explore the full list and refine your search

Translational lung cancer research 10:2523-2538 PubMed34295659

2021

One carbon metabolism in human lung cancer.

Applications

Unspecified application

Species

Unspecified reactive species

Sha Yao,Luogen Peng,Omar Elakad,Stefan Küffer,Marc Hinterthaner,Bernhard C Danner,Alexander von Hammerstein-Equord,Philipp Ströbel,Hanibal Bohnenberger
View all publications

Product promise

We are committed to supporting your work with high-quality reagents, and we're here for you every step of the way. In the unlikely event that one of our products does not perform as expected, you're protected by our Product Promise.
For full details, please see our Terms & Conditions

Please note: All products are 'FOR RESEARCH USE ONLY. NOT FOR USE IN DIAGNOSTIC OR THERAPEUTIC PROCEDURES'.

For licensing inquiries, please contact partnerships@abcam.com