JavaScript is disabled in your browser. Please enable JavaScript to view this website.
AB155079

Anti-CAP1 antibody [EPR8339(B)]

4

(5 Reviews)

|

(9 Publications)

Rabbit Recombinant Monoclonal CAP1 antibody. Suitable for IHC-P, WB, Flow Cyt (Intra) and reacts with Human, Mouse, Rat samples. Cited in 9 publications.

View Alternative Names

CAP, CAP1, Adenylyl cyclase-associated protein 1, CAP 1

7 Images
Western blot - Anti-CAP1 antibody [EPR8339(B)] (AB155079)
  • WB

Unknown

Western blot - Anti-CAP1 antibody [EPR8339(B)] (AB155079)

All lanes:

Western blot - Anti-CAP1 antibody [EPR8339(B)] (ab155079) at 1/1000 dilution

Lane 1:

HeLa cell lysate at 10 µg

Lane 2:

293T cell lysate at 10 µg

Lane 3:

A431 cell lysate at 10 µg

Lane 4:

HepG2 cell lysate at 10 µg

Lane 5:

Caco-2 cell lysate at 10 µg

Predicted band size: 52 kDa

false

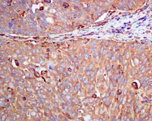
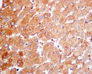
Immunohistochemistry (Formalin/PFA-fixed paraffin-embedded sections) - Anti-CAP1 antibody [EPR8339(B)] (AB155079)
  • IHC-P

Unknown

Immunohistochemistry (Formalin/PFA-fixed paraffin-embedded sections) - Anti-CAP1 antibody [EPR8339(B)] (AB155079)

Immunohistochemical analysis of paraffin embedded Human normal liver tissue using ab155079 showing +ve staining.

Perform heat mediated antigen retrieval with citrate buffer pH 6 before commencing with IHC staining protocol.

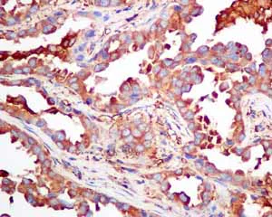
Immunohistochemistry (Formalin/PFA-fixed paraffin-embedded sections) - Anti-CAP1 antibody [EPR8339(B)] (AB155079)
  • IHC-P

Unknown

Immunohistochemistry (Formalin/PFA-fixed paraffin-embedded sections) - Anti-CAP1 antibody [EPR8339(B)] (AB155079)

Immunohistochemical analysis of paraffin embedded Human lung adenocarcinoma tissue using ab155079 showing +ve staining.

Perform heat mediated antigen retrieval with citrate buffer pH 6 before commencing with IHC staining protocol.

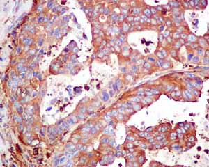
Immunohistochemistry (Formalin/PFA-fixed paraffin-embedded sections) - Anti-CAP1 antibody [EPR8339(B)] (AB155079)
  • IHC-P

Unknown

Immunohistochemistry (Formalin/PFA-fixed paraffin-embedded sections) - Anti-CAP1 antibody [EPR8339(B)] (AB155079)

Immunohistochemical analysis of paraffin embedded Human gastric adenocarcinoma tissue using ab155079 showing +ve staining.

Perform heat mediated antigen retrieval with citrate buffer pH 6 before commencing with IHC staining protocol.

Flow Cytometry (Intracellular) - Anti-CAP1 antibody [EPR8339(B)] (AB155079)
  • Flow Cyt (Intra)

Unknown

Flow Cytometry (Intracellular) - Anti-CAP1 antibody [EPR8339(B)] (AB155079)

Intracellular flow cytometric analysis of permeabilized 293 cells, labeling CAP1 with ab155079 at 1/10 dilution (red) or Rabiit IgG negative control (green).

Immunohistochemistry (Formalin/PFA-fixed paraffin-embedded sections) - Anti-CAP1 antibody [EPR8339(B)] (AB155079)
  • IHC-P

Unknown

Immunohistochemistry (Formalin/PFA-fixed paraffin-embedded sections) - Anti-CAP1 antibody [EPR8339(B)] (AB155079)

Immunohistochemical analysis of paraffin-embedded prostate tissue labeling CAP1 with ab155079 at 1/100 dilution.

Perform heat mediated antigen retrieval with citrate buffer pH 6 before commencing with IHC staining protocol.

Immunohistochemistry (Formalin/PFA-fixed paraffin-embedded sections) - Anti-CAP1 antibody [EPR8339(B)] (AB155079)
  • IHC-P

Unknown

Immunohistochemistry (Formalin/PFA-fixed paraffin-embedded sections) - Anti-CAP1 antibody [EPR8339(B)] (AB155079)

Immunohistochemical analysis of paraffin embedded Human cervical carcinoma tissue using ab155079 showing +ve staining.

Perform heat mediated antigen retrieval with citrate buffer pH 6 before commencing with IHC staining protocol.

  • Carrier free

    Anti-CAP1 antibody [EPR8339(B)] - BSA and Azide free

Key facts

Host species

Rabbit

Clonality

Monoclonal

Clone number

EPR8339(B)

Isotype

IgG

Carrier free

No

Reacts with

Human

Applications

IHC-P, WB, Flow Cyt (Intra)

applications

Immunogen

The exact immunogen used to generate this antibody is proprietary information.

Reactivity data

{ "title": "Reactivity Data", "filters": { "stats": ["", "Species", "Dilution Info", "Notes"], "tabs": { "all-applications": {"fullname" : "All Applications", "shortname": "All Applications"}, "IHCP" : {"fullname" : "Immunohistochemistry (Formalin/PFA-fixed paraffin-embedded sections)", "shortname":"IHC-P"}, "IP" : {"fullname" : "Immunoprecipitation", "shortname":"IP"}, "WB" : {"fullname" : "Western blot", "shortname":"WB"}, "ICCIF" : {"fullname" : "Immunocytochemistry/ Immunofluorescence", "shortname":"ICC/IF"}, "FlowCytIntra" : {"fullname" : "Flow Cytometry (Intracellular)", "shortname":"Flow Cyt (Intra)"} }, "product-promise": { "all": "all", "testedAndGuaranteed": "tested", "guaranteed": "expected", "predicted": "predicted", "notRecommended": "not-recommended" } }, "values": { "Human": { "IHCP-species-checked": "testedAndGuaranteed", "IHCP-species-dilution-info": "1/100 - 1/250", "IHCP-species-notes": "<p></p> Perform heat-mediated antigen retrieval with citrate buffer pH 6 before commencing with IHC staining protocol.", "IP-species-checked": "notRecommended", "IP-species-dilution-info": "", "IP-species-notes": "<p></p>", "WB-species-checked": "testedAndGuaranteed", "WB-species-dilution-info": "1/1000 - 1/10000", "WB-species-notes": "<p></p>", "ICCIF-species-checked": "notRecommended", "ICCIF-species-dilution-info": "", "ICCIF-species-notes": "<p></p>", "FlowCytIntra-species-checked": "testedAndGuaranteed", "FlowCytIntra-species-dilution-info": "1/10 - 1/100", "FlowCytIntra-species-notes": "<p><a href='/en-us/products/primary-antibodies/rabbit-igg-monoclonal-epr25a-isotype-control-ab172730'>ab172730</a> - Rabbit monoclonal IgG, is suitable for use as an isotype control with this antibody.</p>" }, "Mouse": { "IHCP-species-checked": "predicted", "IHCP-species-dilution-info": "", "IHCP-species-notes": "", "IP-species-checked": "notRecommended", "IP-species-dilution-info": "", "IP-species-notes": "", "WB-species-checked": "guaranteed", "WB-species-dilution-info": "", "WB-species-notes": "<p></p>", "ICCIF-species-checked": "notRecommended", "ICCIF-species-dilution-info": "", "ICCIF-species-notes": "", "FlowCytIntra-species-checked": "predicted", "FlowCytIntra-species-dilution-info": "", "FlowCytIntra-species-notes": "" }, "Rat": { "IHCP-species-checked": "predicted", "IHCP-species-dilution-info": "", "IHCP-species-notes": "", "IP-species-checked": "notRecommended", "IP-species-dilution-info": "", "IP-species-notes": "", "WB-species-checked": "guaranteed", "WB-species-dilution-info": "", "WB-species-notes": "<p></p>", "ICCIF-species-checked": "notRecommended", "ICCIF-species-dilution-info": "", "ICCIF-species-notes": "", "FlowCytIntra-species-checked": "predicted", "FlowCytIntra-species-dilution-info": "", "FlowCytIntra-species-notes": "" } } }

Product details

Patented technology
Our RabMAb® technology is a patented hybridoma-based technology for making rabbit monoclonal antibodies. For details on our patents, please refer to RabMAb® patents.

What are the advantages of a recombinant monoclonal antibody?
This product is a recombinant monoclonal antibody, which offers several advantages including:

  • - High batch-to-batch consistency and reproducibility
  • - Improved sensitivity and specificity
  • - Long-term security of supply
  • - Animal-free batch production

For more information, read more on recombinant antibodies.

Properties and storage information

Form
Liquid
Purification technique
Affinity purification Protein A
Storage buffer
pH: 7.2 - 7.4 Preservative: 0.01% Sodium azide Constituents: 50% Tissue culture supernatant, 40% Glycerol (glycerin, glycerine), 9% PBS, 0.05% BSA
Shipped at conditions
Blue Ice
Appropriate short-term storage conditions
+4°C
Appropriate long-term storage conditions
-20°C
Aliquoting information
Upon delivery aliquot
Storage information
Avoid freeze / thaw cycle

Supplementary information

This supplementary information is collated from multiple sources and compiled automatically.

The CAP1 protein also known as Cyclase-associated protein 1 is a dynamic actin-binding protein found in various tissues throughout the body. CAP1 has a mass of approximately 53 kDa. It is predominantly expressed in immune cells and muscle tissue. Mechanically CAP1 interacts with actin filaments promoting their disassembly and turnover therefore facilitating cytoskeletal restructuring critical for cell motility and shape changes.
Biological function summary

CAP1 plays a significant role in cellular signaling and organization. It does not exist as an isolated entity but instead forms complexes with actin and other cytoskeletal proteins to exert its functions. By promoting actin turnover CAP1 influences processes like intracellular trafficking and cell migration. This protein also contributes to the regulation of signal transduction pathways connected to cell proliferation and differentiation.

Pathways

CAP1 is involved in the reorganization of the actin cytoskeleton and the Wnt signaling pathway. In actin reorganization CAP1 works closely with cofilin another actin-binding protein to enhance actin dynamics. Through the Wnt pathway CAP1 modulates transcriptional activity and cellular responses to growth signals. These interactions highlight CAP1's integration into important pathways that regulate cell behavior.

CAP1 is relevant in cancer progression and rheumatoid arthritis. In cancer abnormal regulation of CAP1 can lead to enhanced cell migration and invasion which are hallmarks of metastasis. Its interaction with proteins such as cofilin in cytoskeletal rearrangement impacts tumor cell dynamics. In rheumatoid arthritis altered CAP1 activity affects immune cell function and joint degradation. These connections highlight CAP1's importance in pathological conditions where actin dynamics and immune responses play critical roles.

Product protocols

For this product, it's our understanding that no specific protocols are required. You can visit:

Target data

Directly regulates filament dynamics and has been implicated in a number of complex developmental and morphological processes, including mRNA localization and the establishment of cell polarity.
See full target information CAP1

Publications (9)

Recent publications for all applications. Explore the full list and refine your search

Arthritis research & therapy 27:99 PubMed40301946

2025

Resistin upregulates fatty acid oxidation in synoviocytes of metabolic syndrome-associated knee osteoarthritis via CAP1/PKA/CREB to promote inflammation and catabolism.

Applications

Unspecified application

Species

Unspecified reactive species

Lu Ding,Jin-Yi Ren,Yi-Fan Huang,Jian-Zeng Zhang,Zi-Ran Bai,Yi Leng,Jun-Wei Tian,Jing Wei,Min-Li Jin,Guan Wang,Xia Li,Xin Qi

Biology direct 20:46 PubMed40189560

2025

CAP1: a novel extracellular vesicle marker linked to endothelial senescence in atherosclerosis.

Applications

Unspecified application

Species

Unspecified reactive species

Ignacio Hernandez,Laura Botana,Javier Diez-Mata,Laura Tesoro,Beatriz Jimenez-Guirado,Claudia Gonzalez-Cucharero,Nunzio Alcharani,Jose Luis Zamorano,Marta Saura,Carlos Zaragoza

Journal of biomedical research 37:213-224 PubMed37226274

2023

A pilot study of the relative number of circulating tumor cells and leukocytes containing actin-binding proteins in head and neck cancer patients.

Applications

Unspecified application

Species

Unspecified reactive species

Gelena Kakurina,Marina Stakheeva,Elena Sereda,Evgenia Sidenko,Olga Cheremisina,Evgeny Choinzonov,Irina Kondakova

Nature communications 13:2499 PubMed35523800

2022

An instantly fixable and self-adaptive scaffold for skull regeneration by autologous stem cell recruitment and angiogenesis.

Applications

Unspecified application

Species

Unspecified reactive species

Gonggong Lu,Yang Xu,Quanying Liu,Manyu Chen,Huan Sun,Peilei Wang,Xing Li,Yuxiang Wang,Xiang Li,Xuhui Hui,En Luo,Jun Liu,Qing Jiang,Jie Liang,Yujiang Fan,Yong Sun,Xingdong Zhang

Microbes and environments 35: PubMed31969530

2020

Persistent Infection of Simian Foamy Virus Derived from the Japanese Macaque Leads to the High-Level Expression of microRNA that Resembles the miR-1 microRNA Precursor Family.

Applications

Unspecified application

Species

Unspecified reactive species

Akira Hashimoto-Gotoh,Koichi Kitao,Takayuki Miyazawa

International journal of oncology 55:462-472 PubMed31173184

2019

Adenylyl cyclase‑associated protein 1‑targeted nanoparticles as a novel strategy for the treatment of metastatic non‑small cell lung cancer.

Applications

Unspecified application

Species

Unspecified reactive species

Yang Liu,Shuanshuan Xie,Jie Zeng,Xiaolian Song,Min Tan,Dannong He,Jie Wang,Ping Wang,Jun Zhu,Changhui Wang

Arthritis research & therapy 19:263 PubMed29191223

2017

Resistin upregulates chemokine production by fibroblast-like synoviocytes from patients with rheumatoid arthritis.

Applications

WB, IHC

Species

Human, Human

Hiroshi Sato,Sei Muraoka,Natsuko Kusunoki,Shotaro Masuoka,Soichi Yamada,Hideaki Ogasawara,Toshio Imai,Yoshikiyo Akasaka,Naobumi Tochigi,Hiroshi Takahashi,Kazuaki Tsuchiya,Shinichi Kawai,Toshihiro Nanki

Scientific reports 7:9091 PubMed28831120

2017

Identification of novel molecular signatures of IgA nephropathy through an integrative -omics analysis.

Applications

Unspecified application

Species

Unspecified reactive species

Magdalena Krochmal,Katryna Cisek,Szymon Filip,Katerina Markoska,Clare Orange,Jerome Zoidakis,Chara Gakiopoulou,Goce Spasovski,Harald Mischak,Christian Delles,Antonia Vlahou,Joachim Jankowski

The Journal of neuroscience : the official journal 37:3127-3137 PubMed28193690

2017

LINGO-1 Regulates Oligodendrocyte Differentiation through the Cytoplasmic Gelsolin Signaling Pathway.

Applications

Unspecified application

Species

Unspecified reactive species

Zhaohui Shao,Xinhua Lee,Guanrong Huang,Guoqing Sheng,Christopher E Henderson,Daniel Louvard,Jiho Sohn,Blake Pepinsky,Sha Mi
View all publications

Product promise

We are committed to supporting your work with high-quality reagents, and we're here for you every step of the way. In the unlikely event that one of our products does not perform as expected, you're protected by our Product Promise.
For full details, please see our Terms & Conditions

Please note: All products are 'FOR RESEARCH USE ONLY. NOT FOR USE IN DIAGNOSTIC OR THERAPEUTIC PROCEDURES'.

For licensing inquiries, please contact partnerships@abcam.com