JavaScript is disabled in your browser. Please enable JavaScript to view this website.
AB69794

Anti-CAPS2 antibody

Be the first to review this product! Submit a review

|

(3 Publications)

Rabbit Polyclonal CAPS2 antibody. Suitable for WB, IHC-P, ICC/IF and reacts with Human samples. Cited in 3 publications. Immunogen corresponding to Synthetic Peptide within Human CADPS2.

View Alternative Names

CAPS2, KIAA1591, CADPS2, Calcium-dependent secretion activator 2, Calcium-dependent activator protein for secretion 2, CAPS-2

3 Images
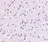
Immunohistochemistry (Formalin/PFA-fixed paraffin-embedded sections) - Anti-CAPS2 antibody (AB69794)
  • IHC-P

Unknown

Immunohistochemistry (Formalin/PFA-fixed paraffin-embedded sections) - Anti-CAPS2 antibody (AB69794)

ab69794 at 5 μg/ml staining CAPS2 in human brain tissue section by Immunohistochemistry (Formalin/ PFA fixed paraffin-embedded sections).

Immunocytochemistry/ Immunofluorescence - Anti-CAPS2 antibody (AB69794)
  • ICC/IF

Unknown

Immunocytochemistry/ Immunofluorescence - Anti-CAPS2 antibody (AB69794)

Immunofluorescence of CAPS2 in Human Brain cells using ab69794 at 20 ug/ml.

Western blot - Anti-CAPS2 antibody (AB69794)
  • WB

Unknown

Western blot - Anti-CAPS2 antibody (AB69794)

Lane 1:

Western blot - Anti-CAPS2 antibody (ab69794) at 0.5 µg/mL

Lane 2:

Western blot - Anti-CAPS2 antibody (ab69794) at 1 µg/mL

All lanes:

Human brain tissue lysate at 15 µg

Predicted band size: 147 kDa

Observed band size: 148 kDa

false

Key facts

Host species

Rabbit

Clonality

Polyclonal

Isotype

IgG

Carrier free

No

Reacts with

Human

Applications

WB, IHC-P, ICC/IF

applications

Immunogen

Synthetic Peptide within Human CADPS2. The exact immunogen used to generate this antibody is proprietary information.

Q86UW7

Specificity

specific to CAPS2 and does not recognize CADPS1

Reactivity data

{ "title": "Reactivity Data", "filters": { "stats": ["", "Species", "Dilution Info", "Notes"], "tabs": { "all-applications": {"fullname" : "All Applications", "shortname": "All Applications"}, "WB" : {"fullname" : "Western blot", "shortname":"WB"}, "IHCP" : {"fullname" : "Immunohistochemistry (Formalin/PFA-fixed paraffin-embedded sections)", "shortname":"IHC-P"}, "ICCIF" : {"fullname" : "Immunocytochemistry/ Immunofluorescence", "shortname":"ICC/IF"} }, "product-promise": { "all": "all", "testedAndGuaranteed": "tested", "guaranteed": "expected", "predicted": "predicted", "notRecommended": "not-recommended" } }, "values": { "Human": { "WB-species-checked": "testedAndGuaranteed", "WB-species-dilution-info": "0.5-1 µg/mL", "WB-species-notes": "<p></p>", "IHCP-species-checked": "testedAndGuaranteed", "IHCP-species-dilution-info": "5 µg/mL", "IHCP-species-notes": "<p></p>", "ICCIF-species-checked": "testedAndGuaranteed", "ICCIF-species-dilution-info": "20 µg/mL", "ICCIF-species-notes": "<p></p>" } } }

Properties and storage information

Form
Liquid
Purification technique
Affinity purification Immunogen
Storage buffer
pH: 7.2 Preservative: 0.02% Sodium azide Constituents: PBS
Shipped at conditions
Blue Ice
Appropriate short-term storage conditions
+4°C
Appropriate long-term storage conditions
+4°C

Supplementary information

This supplementary information is collated from multiple sources and compiled automatically.

CAPS2 also known as Calcium-Dependent Secretion Activator 2 is a protein that facilitates the release of neuropeptides and hormones by enhancing dense core vesicle exocytosis. The molecular mass of CAPS2 is approximately 145 kDa. It is expressed mainly in the brain including areas such as the cerebellum and hippocampus. CAPS2 acts by interacting with SNARE proteins which are essential for vesicle fusion and release processes at synaptic sites.
Biological function summary

The protein CAPS2 plays an important role in synaptic transmission and the regulation of neurotransmitter secretion. It promotes the priming and fusion of vesicles allowing their contents to be released into the synaptic cleft. CAPS2 is often linked with other synaptic and regulatory proteins within a protein complex that orchestrates the efficient release of neurotransmitters and neuropeptides necessary for proper neuronal signaling.

Pathways

CAPS2 takes part in the secretory pathway critical for synaptic activity and signaling in neurons. It interacts with important proteins such as synaptotagmin and Munc13 which are involved in the regulation of vesicle priming and exocytosis. Moreover CAPS2 is implicated in the calcium-dependent pathways that regulate neurotransmitter release enhancing functional communication between neurons.

CAPS2 has been associated with autism spectrum disorders and schizophrenia. Studies indicate altered expression of CAPS2 may disrupt synaptic function potentially leading to these neurological conditions. The protein also interacts with voltage-gated calcium channels which are important for neuronal communication and are often involved in the pathophysiology of these disorders. Understanding CAPS2's involvement in these conditions offers potential targets for therapeutic intervention.

Product protocols

For this product, it's our understanding that no specific protocols are required. You can visit:

Target data

Calcium-binding protein involved in exocytosis of vesicles filled with neurotransmitters and neuropeptides. Probably acts upstream of fusion in the biogenesis or maintenance of mature secretory vesicles. Regulates neurotrophin release from granule cells leading to regulate cell differentiation and survival during cerebellar development. May specifically mediate the Ca(2+)-dependent exocytosis of large dense-core vesicles (DCVs) and other dense-core vesicles (By similarity).
See full target information CADPS2

Publications (3)

Recent publications for all applications. Explore the full list and refine your search

Neuron 109:2091-2105.e6 PubMed34051145

2021

Resolving cellular and molecular diversity along the hippocampal anterior-to-posterior axis in humans.

Applications

Unspecified application

Species

Unspecified reactive species

Fatma Ayhan,Ashwinikumar Kulkarni,Stefano Berto,Karthigayini Sivaprakasam,Connor Douglas,Bradley C Lega,Genevieve Konopka

Scientific reports 11:3700 PubMed33580180

2021

Down-regulation of habenular calcium-dependent secretion activator 2 induces despair-like behavior.

Applications

Unspecified application

Species

Unspecified reactive species

Hyeijung Yoo,Soo Hyun Yang,Jin Yong Kim,Esther Yang,Hyung Sun Park,Se Jeong Lee,Im Joo Rhyu,Gustavo Turecki,Hyun Woo Lee,Hyun Kim

Cardiovascular pathology : the official journal of the Society for Cardiovascular Pathology 26:12-20 PubMed27837684

2016

Altered protein levels in the isolated extracellular matrix of failing human hearts with dilated cardiomyopathy.

Applications

Unspecified application

Species

Unspecified reactive species

Joshua L DeAguero,Elizabeth N McKown,Liwen Zhang,Jeremy Keirsey,Edgar G Fischer,Von G Samedi,Benjamin D Canan,Ahmet Kilic,Paul M L Janssen,Dawn A Delfín
View all publications

Product promise

We are committed to supporting your work with high-quality reagents, and we're here for you every step of the way. In the unlikely event that one of our products does not perform as expected, you're protected by our Product Promise.
For full details, please see our Terms & Conditions

Please note: All products are 'FOR RESEARCH USE ONLY. NOT FOR USE IN DIAGNOSTIC OR THERAPEUTIC PROCEDURES'.

For licensing inquiries, please contact partnerships@abcam.com