JavaScript is disabled in your browser. Please enable JavaScript to view this website.
AB175212

Anti-CAPZB antibody [EPR10236]

4

(1 Review)

|

(3 Publications)

Rabbit Recombinant Monoclonal CAPZB antibody. Suitable for IHC-P, IP, WB, Flow Cyt (Intra) and reacts with Human, Mouse, Rat samples. Cited in 3 publications.

View Alternative Names

F-actin-capping protein subunit beta, CapZ beta, CAPZB

5 Images
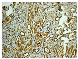
Immunohistochemistry (Formalin/PFA-fixed paraffin-embedded sections) - Anti-CAPZB antibody [EPR10236] (AB175212)
  • IHC-P

Supplier Data

Immunohistochemistry (Formalin/PFA-fixed paraffin-embedded sections) - Anti-CAPZB antibody [EPR10236] (AB175212)

Immunohistochemical analysis of paraffin-embedded Human kidney tissue labeling CAPZB with ab175212 at 1/100 dilution.

Perform heat mediated antigen retrieval with citrate buffer pH 6 before commencing with IHC staining protocol.

Immunohistochemistry (Formalin/PFA-fixed paraffin-embedded sections) - Anti-CAPZB antibody [EPR10236] (AB175212)
  • IHC-P

Supplier Data

Immunohistochemistry (Formalin/PFA-fixed paraffin-embedded sections) - Anti-CAPZB antibody [EPR10236] (AB175212)

Immunohistochemical analysis of paraffin-embedded Human placenta tissue labeling CAPZB with ab175212 at 1/100 dilution.

Perform heat mediated antigen retrieval with citrate buffer pH 6 before commencing with IHC staining protocol.

Flow Cytometry (Intracellular) - Anti-CAPZB antibody [EPR10236] (AB175212)
  • Flow Cyt (Intra)

Supplier Data

Flow Cytometry (Intracellular) - Anti-CAPZB antibody [EPR10236] (AB175212)

Intracellular flow cytometric analysis of permeabilized Jurkat cells labeling CAPZB with ab175212at 1/10 dilution (red) compared toa Rabbit IgG negative control (green).

Immunoprecipitation - Anti-CAPZB antibody [EPR10236] (AB175212)
  • IP

Supplier Data

Immunoprecipitation - Anti-CAPZB antibody [EPR10236] (AB175212)

Western blot analysis on immunoprecipitation pellet from Jurkat cell lysate using ab175212.

All lanes:

Immunoprecipitation - Anti-CAPZB antibody [EPR10236] (ab175212)

Predicted band size: 26 kDa,31 kDa

false

Western blot - Anti-CAPZB antibody [EPR10236] (AB175212)
  • WB

Supplier Data

Western blot - Anti-CAPZB antibody [EPR10236] (AB175212)

All lanes:

Western blot - Anti-CAPZB antibody [EPR10236] (ab175212) at 1/1000 dilution

Lane 1:

HeLa cell lysate at 10 µg

Lane 2:

293T cell lysate at 10 µg

Lane 3:

Jurkat cell lysate at 10 µg

Lane 4:

A431 cell lysate at 10 µg

Predicted band size: 31 kDa

false

  • Carrier free

    Anti-CAPZB antibody [EPR10236] - BSA and Azide free

Key facts

Host species

Rabbit

Clonality

Monoclonal

Clone number

EPR10236

Isotype

IgG

Carrier free

No

Reacts with

Human

Applications

IP, WB, Flow Cyt (Intra), IHC-P

applications

Immunogen

The exact immunogen used to generate this antibody is proprietary information.

Reactivity data

{ "title": "Reactivity Data", "filters": { "stats": ["", "Species", "Dilution Info", "Notes"], "tabs": { "all-applications": {"fullname" : "All Applications", "shortname": "All Applications"}, "IHCP" : {"fullname" : "Immunohistochemistry (Formalin/PFA-fixed paraffin-embedded sections)", "shortname":"IHC-P"}, "IP" : {"fullname" : "Immunoprecipitation", "shortname":"IP"}, "WB" : {"fullname" : "Western blot", "shortname":"WB"}, "ICCIF" : {"fullname" : "Immunocytochemistry/ Immunofluorescence", "shortname":"ICC/IF"}, "FlowCytIntra" : {"fullname" : "Flow Cytometry (Intracellular)", "shortname":"Flow Cyt (Intra)"} }, "product-promise": { "all": "all", "testedAndGuaranteed": "tested", "guaranteed": "expected", "predicted": "predicted", "notRecommended": "not-recommended" } }, "values": { "Human": { "IHCP-species-checked": "testedAndGuaranteed", "IHCP-species-dilution-info": "1/100 - 1/250", "IHCP-species-notes": "<p></p> Perform heat-mediated antigen retrieval with citrate buffer pH 6 before commencing with IHC staining protocol.", "IP-species-checked": "testedAndGuaranteed", "IP-species-dilution-info": "1/10 - 1/100", "IP-species-notes": "<p></p>", "WB-species-checked": "testedAndGuaranteed", "WB-species-dilution-info": "1/1000 - 1/10000", "WB-species-notes": "<p></p>", "ICCIF-species-checked": "notRecommended", "ICCIF-species-dilution-info": "", "ICCIF-species-notes": "<p></p>", "FlowCytIntra-species-checked": "testedAndGuaranteed", "FlowCytIntra-species-dilution-info": "1/10 - 1/100", "FlowCytIntra-species-notes": "<p><a href='/en-us/products/primary-antibodies/rabbit-igg-monoclonal-epr25a-isotype-control-ab172730'>ab172730</a> - Rabbit monoclonal IgG, is suitable for use as an isotype control with this antibody.</p>" }, "Mouse": { "IHCP-species-checked": "predicted", "IHCP-species-dilution-info": "", "IHCP-species-notes": "", "IP-species-checked": "predicted", "IP-species-dilution-info": "", "IP-species-notes": "", "WB-species-checked": "guaranteed", "WB-species-dilution-info": "", "WB-species-notes": "<p></p>", "ICCIF-species-checked": "notRecommended", "ICCIF-species-dilution-info": "", "ICCIF-species-notes": "", "FlowCytIntra-species-checked": "predicted", "FlowCytIntra-species-dilution-info": "", "FlowCytIntra-species-notes": "" }, "Rat": { "IHCP-species-checked": "predicted", "IHCP-species-dilution-info": "", "IHCP-species-notes": "", "IP-species-checked": "predicted", "IP-species-dilution-info": "", "IP-species-notes": "", "WB-species-checked": "guaranteed", "WB-species-dilution-info": "", "WB-species-notes": "<p></p>", "ICCIF-species-checked": "notRecommended", "ICCIF-species-dilution-info": "", "ICCIF-species-notes": "", "FlowCytIntra-species-checked": "predicted", "FlowCytIntra-species-dilution-info": "", "FlowCytIntra-species-notes": "" } } }

Product details

Patented technology
Our RabMAb® technology is a patented hybridoma-based technology for making rabbit monoclonal antibodies. For details on our patents, please refer to RabMAb® patents.

What are the advantages of a recombinant monoclonal antibody?
This product is a recombinant monoclonal antibody, which offers several advantages including:

  • - High batch-to-batch consistency and reproducibility
  • - Improved sensitivity and specificity
  • - Long-term security of supply
  • - Animal-free batch production

For more information, read more on recombinant antibodies.

Properties and storage information

Form
Liquid
Purity
Tissue culture supernatant
Storage buffer
pH: 7.2 - 7.4 Preservative: 0.01% Sodium azide Constituents: PBS, 50% Tissue culture supernatant, 40% Glycerol (glycerin, glycerine), 0.05% BSA
Shipped at conditions
Blue Ice
Appropriate short-term storage duration
1-2 weeks
Appropriate short-term storage conditions
+4°C
Appropriate long-term storage conditions
-20°C
Aliquoting information
Upon delivery aliquot
Storage information
Avoid freeze / thaw cycle

Supplementary information

This supplementary information is collated from multiple sources and compiled automatically.

CAPZB also known as the capping protein beta subunit is an essential component of the actin cytoskeleton. It has a molecular mass of about 31 kDa and is expressed ubiquitously across various human tissues. CAPZB partners with CAPZA to form a heterodimeric complex called the capping protein which binds to the barbed ends of actin filaments. This binding is essential for regulating actin filament growth and stability by preventing the addition and loss of actin monomers at these ends.
Biological function summary

The capping of actin filaments by CAPZB helps maintain cellular structures and enables extensive processes like cell motility. CAPZB is an important part of the actin-capping activity within the capping protein complex. It directly affects processes such as muscle contraction cell migration and cell adhesion by modulating actin dynamics. Through these functions CAPZB impacts various cell types including muscle cells and neurons by ensuring proper assembly and function of actin networks.

Pathways

CAPZB plays a prominent role in the regulation of actin-associated pathways including the Arp2/3 complex pathway and the WAVE regulatory complex pathway. These pathways are involved in the control of actin nucleation and branching which are vital for reshaping the actin cytoskeleton in response to cellular signals. CAPZB interacts with proteins such as profilin and cofilin which are important for actin polymerization and depolymerization dynamics in these pathways.

CAPZB has shown links to cardiac hypertrophy and neurological disorders like Alzheimer's disease. Aberrations in CAPZB function can lead to disrupted actin dynamics affecting cardiac tissue structure and neuron morphology. In cardiac hypertrophy CAPZB's interactions with sarcomeric proteins like troponin are important while in Alzheimer's disease altered CAPZB function may connect with tau protein modifications impacting the cytoskeletal network within neurons.

Product protocols

For this product, it's our understanding that no specific protocols are required. You can visit:

Target data

F-actin-capping proteins bind in a Ca(2+)-independent manner to the fast growing ends of actin filaments (barbed end) thereby blocking the exchange of subunits at these ends. Unlike other capping proteins (such as gelsolin and severin), these proteins do not sever actin filaments. Plays a role in the regulation of cell morphology and cytoskeletal organization. Forms, with CAPZB, the barbed end of the fast growing ends of actin filaments in the dynactin complex and stabilizes dynactin structure. The dynactin multiprotein complex activates the molecular motor dynein for ultra-processive transport along microtubules (By similarity).
See full target information F-actin-capping protein subunit beta

Publications (3)

Recent publications for all applications. Explore the full list and refine your search

Cell death & disease 9:302 PubMed29467473

2018

Embryonic lethality in mice lacking Trim59 due to impaired gastrulation development.

Applications

Unspecified application

Species

Unspecified reactive species

Xiaomin Su,Chenglei Wu,Xiaoying Ye,Ming Zeng,Zhujun Zhang,Yongzhe Che,Yuan Zhang,Lin Liu,Yushuang Lin,Rongcun Yang

PloS one 12:e0169260 PubMed28056051

2017

Mapping the Interactome of a Major Mammalian Endoplasmic Reticulum Heat Shock Protein 90.

Applications

Unspecified application

Species

Unspecified reactive species

Feng Hong,Saleh Mohammad Rachidi,Debbie Lundgren,David Han,Xiu Huang,Hongyu Zhao,Yayoi Kimura,Hisashi Hirano,Osamu Ohara,Heichiiro Udono,Songdong Meng,Bei Liu,Zihai Li

PloS one 10:e0116270 PubMed25643152

2015

Alpha-enolase is upregulated on the cell surface and responds to plasminogen activation in mice expressing a ∆133p53α mimic.

Applications

WB

Species

Mouse

Sonal Sawhney,Kylie Hood,Alisha Shaw,Antony W Braithwaite,Richard Stubbs,Noelyn A Hung,Janice A Royds,Tania L Slatter
View all publications

Product promise

We are committed to supporting your work with high-quality reagents, and we're here for you every step of the way. In the unlikely event that one of our products does not perform as expected, you're protected by our Product Promise.
For full details, please see our Terms & Conditions

Please note: All products are 'FOR RESEARCH USE ONLY. NOT FOR USE IN DIAGNOSTIC OR THERAPEUTIC PROCEDURES'.

For licensing inquiries, please contact partnerships@abcam.com