JavaScript is disabled in your browser. Please enable JavaScript to view this website.
AB269951

Anti-Carbonic Anhydrase 1/CA1 antibody [EPR23232-286] - BSA and Azide free

Be the first to review this product! Submit a review

|

(0 Publication)

Rabbit Recombinant Monoclonal CAH1 antibody. Carrier free. Suitable for WB, IHC-P, Flow Cyt (Intra) and reacts with Mouse, Rat, Human samples.

View Alternative Names

Carbonic anhydrase 1, Carbonate dehydratase I, Carbonic anhydrase B, Carbonic anhydrase I, Cyanamide hydratase CA1, CAB, CA-I, CA1

6 Images
Flow Cytometry (Intracellular) - Anti-Carbonic Anhydrase 1/CA1 antibody [EPR23232-286] - BSA and Azide free (AB269951)
  • Flow Cyt (Intra)

Unknown

Flow Cytometry (Intracellular) - Anti-Carbonic Anhydrase 1/CA1 antibody [EPR23232-286] - BSA and Azide free (AB269951)

Intracellular flow cytometric analysis of 4% paraformaldehyde fixed 90% methanol permeabilized HEL (Human Erythroleukemia erythroblast) cells labelling Carbonic Anhydrase 1/CA with ab267475 at 1/600 (Red) compared with a Rabbit monoclonal IgG (ab172730, Black) isotype control and an unlabelled control (cells without incubation with primary antibody and secondary antibody) (Blue). A Goat anti rabbit IgG (Alexa Fluor® 488, ab150077) at 1/2000 was used as the secondary antibody.

This data was developed using the same antibody clone in a different buffer formulation containing PBS, BSA, glycerol, and sodium azide (ab267475).

Immunohistochemistry (Formalin/PFA-fixed paraffin-embedded sections) - Anti-Carbonic Anhydrase 1/CA1 antibody [EPR23232-286] - BSA and Azide free (AB269951)
  • IHC-P

Unknown

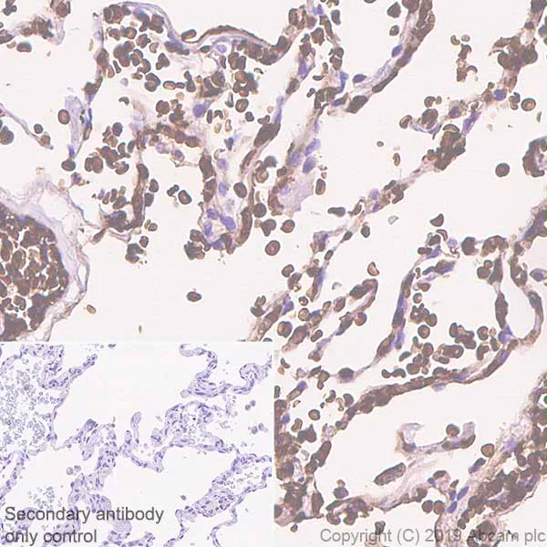
Immunohistochemistry (Formalin/PFA-fixed paraffin-embedded sections) - Anti-Carbonic Anhydrase 1/CA1 antibody [EPR23232-286] - BSA and Azide free (AB269951)

Immunohistochemical analysis of paraffin-embedded Human lung tissue labeling Carbonic Anhydrase 1/CA with ab267475 at 1/2000 dilution followed by a ready to use Rabbit specific IHC polymer detection kit HRP/DAB (ab209101). Positive staining on red blood cells in human lung is observed. The section was incubated with ab267475 for 30 mins at RT. The immunostaining staining was performed on a Leica Biosystems BOND® RX instrument. Counterstained with Hematoxylin.

Secondary antibody only control : Secondary antibody is a ready to use Rabbit specific IHC polymer detection kit HRP/DAB (ab209101).

Heat mediated antigen retrieval with Tris-EDTA buffer (pH 9.0, epitope retrieval solution 2) for 20 mins.

This data was developed using the same antibody clone in a different buffer formulation containing PBS, BSA, glycerol, and sodium azide (ab267475).

Immunohistochemistry (Formalin/PFA-fixed paraffin-embedded sections) - Anti-Carbonic Anhydrase 1/CA1 antibody [EPR23232-286] - BSA and Azide free (AB269951)
  • IHC-P

Unknown

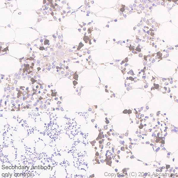
Immunohistochemistry (Formalin/PFA-fixed paraffin-embedded sections) - Anti-Carbonic Anhydrase 1/CA1 antibody [EPR23232-286] - BSA and Azide free (AB269951)

Immunohistochemical analysis of paraffin-embedded Human bone marrow tissue labeling Carbonic Anhydrase 1/CA with ab267475 at 1/2000 dilution followed by a ready to use Rabbit specific IHC polymer detection kit HRP/DAB (ab209101). Positive staining on human bone marrow is observed. The section was incubated with ab267475 for 30 mins at RT. The immunostaining staining was performed on a Leica Biosystems BOND® RX instrument. Counterstained with Hematoxylin.

Secondary antibody only control : Secondary antibody is a ready to use Rabbit specific IHC polymer detection kit HRP/DAB (ab209101).

Heat mediated antigen retrieval with Tris-EDTA buffer (pH 9.0, epitope retrieval solution 2) for 20 mins.

This data was developed using the same antibody clone in a different buffer formulation containing PBS, BSA, glycerol, and sodium azide (ab267475).

Immunohistochemistry (Formalin/PFA-fixed paraffin-embedded sections) - Anti-Carbonic Anhydrase 1/CA1 antibody [EPR23232-286] - BSA and Azide free (AB269951)
  • IHC-P

Unknown

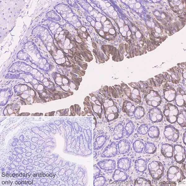
Immunohistochemistry (Formalin/PFA-fixed paraffin-embedded sections) - Anti-Carbonic Anhydrase 1/CA1 antibody [EPR23232-286] - BSA and Azide free (AB269951)

Immunohistochemical analysis of paraffin-embedded Human colon tissue labeling Carbonic Anhydrase 1/CA with ab267475 at 1/2000 dilution followed by a ready to use Rabbit specific IHC polymer detection kit HRP/DAB (ab209101). Positive staining on human colon (PMID : 21763241). The section was incubated with ab267475 for 30 mins at RT. The immunostaining staining was performed on a Leica Biosystems BOND® RX instrument. Counterstained with Hematoxylin.

Secondary antibody only control : Secondary antibody is a ready to use Rabbit specific IHC polymer detection kit HRP/DAB (ab209101).

Heat mediated antigen retrieval with Tris-EDTA buffer (pH 9.0, epitope retrieval solution 2) for 20 mins.

This data was developed using the same antibody clone in a different buffer formulation containing PBS, BSA, glycerol, and sodium azide (ab267475).

Immunohistochemistry (Formalin/PFA-fixed paraffin-embedded sections) - Anti-Carbonic Anhydrase 1/CA1 antibody [EPR23232-286] - BSA and Azide free (AB269951)
  • IHC-P

Unknown

Immunohistochemistry (Formalin/PFA-fixed paraffin-embedded sections) - Anti-Carbonic Anhydrase 1/CA1 antibody [EPR23232-286] - BSA and Azide free (AB269951)

Immunohistochemical analysis of paraffin-embedded Mouse colon tissue labeling Carbonic Anhydrase 1/CA with ab267475 at 1/2000 dilution followed by a ready to use Rabbit specific IHC polymer detection kit HRP/DAB (ab209101). Positive staining on mouse colon (PMID : 21763241). The section was incubated with ab267475 for 30 mins at RT. The immunostaining staining was performed on a Leica Biosystems BOND® RX instrument. Counterstained with Hematoxylin.

Secondary antibody only control : Secondary antibody is a ready to use Rabbit specific IHC polymer detection kit HRP/DAB (ab209101).

Heat mediated antigen retrieval with Tris-EDTA buffer (pH 9.0, epitope retrieval solution 2) for 20 mins.

This data was developed using the same antibody clone in a different buffer formulation containing PBS, BSA, glycerol, and sodium azide (ab267475).

Immunohistochemistry (Formalin/PFA-fixed paraffin-embedded sections) - Anti-Carbonic Anhydrase 1/CA1 antibody [EPR23232-286] - BSA and Azide free (AB269951)
  • IHC-P

Unknown

Immunohistochemistry (Formalin/PFA-fixed paraffin-embedded sections) - Anti-Carbonic Anhydrase 1/CA1 antibody [EPR23232-286] - BSA and Azide free (AB269951)

Immunohistochemical analysis of paraffin-embedded Rat colon tissue labeling Carbonic Anhydrase 1/CA with ab267475 at 1/2000 dilution followed by a ready to use Rabbit specific IHC polymer detection kit HRP/DAB (ab209101). Positive staining on rat colon (PMID : 21763241). The section was incubated with ab267475 for 30 mins at RT. The immunostaining staining was performed on a Leica Biosystems BOND® RX instrument. Counterstained with Hematoxylin.

Secondary antibody only control : Secondary antibody is a ready to use Rabbit specific IHC polymer detection kit HRP/DAB (ab209101).

Heat mediated antigen retrieval with Tris-EDTA buffer (pH 9.0, epitope retrieval solution 2) for 20 mins.

This data was developed using the same antibody clone in a different buffer formulation containing PBS, BSA, glycerol, and sodium azide (ab267475).

Key facts

Host species

Rabbit

Clonality

Monoclonal

Clone number

EPR23232-286

Isotype

IgG

Carrier free

Yes

Reacts with

Mouse, Rat, Human

Applications

WB, Flow Cyt (Intra), IHC-P

applications

Immunogen

The exact immunogen used to generate this antibody is proprietary information.

Reactivity data

{ "title": "Reactivity Data", "filters": { "stats": ["", "Species", "Dilution Info", "Notes"], "tabs": { "all-applications": {"fullname" : "All Applications", "shortname": "All Applications"}, "IP" : {"fullname" : "Immunoprecipitation", "shortname":"IP"}, "WB" : {"fullname" : "Western blot", "shortname":"WB"}, "IHCP" : {"fullname" : "Immunohistochemistry (Formalin/PFA-fixed paraffin-embedded sections)", "shortname":"IHC-P"}, "ICCIF" : {"fullname" : "Immunocytochemistry/ Immunofluorescence", "shortname":"ICC/IF"}, "FlowCytIntra" : {"fullname" : "Flow Cytometry (Intracellular)", "shortname":"Flow Cyt (Intra)"} }, "product-promise": { "all": "all", "testedAndGuaranteed": "tested", "guaranteed": "expected", "predicted": "predicted", "notRecommended": "not-recommended" } }, "values": { "Human": { "IP-species-checked": "notRecommended", "IP-species-dilution-info": "", "IP-species-notes": "<p></p>", "WB-species-checked": "guaranteed", "WB-species-dilution-info": "", "WB-species-notes": "<p></p>", "IHCP-species-checked": "testedAndGuaranteed", "IHCP-species-dilution-info": "", "IHCP-species-notes": "<p></p>", "ICCIF-species-checked": "notRecommended", "ICCIF-species-dilution-info": "", "ICCIF-species-notes": "<p></p>", "FlowCytIntra-species-checked": "testedAndGuaranteed", "FlowCytIntra-species-dilution-info": "", "FlowCytIntra-species-notes": "<p></p>" }, "Mouse": { "IP-species-checked": "notRecommended", "IP-species-dilution-info": "", "IP-species-notes": "<p></p>", "WB-species-checked": "guaranteed", "WB-species-dilution-info": "", "WB-species-notes": "<p></p>", "IHCP-species-checked": "testedAndGuaranteed", "IHCP-species-dilution-info": "", "IHCP-species-notes": "<p></p>", "ICCIF-species-checked": "notRecommended", "ICCIF-species-dilution-info": "", "ICCIF-species-notes": "<p></p>", "FlowCytIntra-species-checked": "guaranteed", "FlowCytIntra-species-dilution-info": "", "FlowCytIntra-species-notes": "" }, "Rat": { "IP-species-checked": "notRecommended", "IP-species-dilution-info": "", "IP-species-notes": "<p></p>", "WB-species-checked": "guaranteed", "WB-species-dilution-info": "", "WB-species-notes": "<p></p>", "IHCP-species-checked": "testedAndGuaranteed", "IHCP-species-dilution-info": "", "IHCP-species-notes": "<p></p>", "ICCIF-species-checked": "notRecommended", "ICCIF-species-dilution-info": "", "ICCIF-species-notes": "<p></p>", "FlowCytIntra-species-checked": "guaranteed", "FlowCytIntra-species-dilution-info": "", "FlowCytIntra-species-notes": "" } } }

Product details

ab269951 is the carrier-free version of ab267475.

Patented technology
Our RabMAb® technology is a patented hybridoma-based technology for making rabbit monoclonal antibodies. For details on our patents, please refer to RabMAb® patents.

What are the advantages of a recombinant monoclonal antibody?
This product is a recombinant monoclonal antibody, which offers several advantages including:

  • - High batch-to-batch consistency and reproducibility
  • - Improved sensitivity and specificity
  • - Long-term security of supply
  • - Animal-free batch production

For more information, read more on recombinant antibodies.

Conjugation ready
Our carrier-free antibodies are typically supplied in a PBS-only formulation, purified and free of BSA, sodium azide and glycerol. This conjugation-ready format is designed for use with fluorochromes, metal isotopes, oligonucleotides, and enzymes, which makes them ideal for antibody labelling, functional and cell-based assays, flow-based assays (e.g. mass cytometry) and Multiplex Imaging applications.

Use our conjugation kits for antibody conjugates that are ready-to-use in as little as 20 minutes with 1 minute hands-on-time and 100% antibody recovery: available for fluorescent dyes, HRP, biotin and gold.

Compatibility
This product is compatible with the Maxpar® Antibody Labeling Kit from Fluidigm, without the need for antibody preparation. Maxpar® is a trademark of Fluidigm Canada Inc.

Properties and storage information

Form
Liquid
Purification technique
Affinity purification Protein A
Storage buffer
pH: 7.2 - 7.4 Constituents: PBS
Shipped at conditions
Blue Ice
Appropriate short-term storage conditions
+4°C
Appropriate long-term storage conditions
+4°C
Storage information
Do Not Freeze

Product protocols

For this product, it's our understanding that no specific protocols are required. You can visit:

Target data

Catalyzes the reversible hydration of carbon dioxide (PubMed : 10550681, PubMed : 16506782, PubMed : 16686544, PubMed : 16807956, PubMed : 17127057, PubMed : 17314045, PubMed : 17407288, PubMed : 18618712, PubMed : 19186056, PubMed : 19206230). Can hydrate cyanamide to urea (PubMed : 10550681).
See full target information Carbonic anhydrase 1

Product promise

We are committed to supporting your work with high-quality reagents, and we're here for you every step of the way. In the unlikely event that one of our products does not perform as expected, you're protected by our Product Promise.
For full details, please see our Terms & Conditions

Please note: All products are 'FOR RESEARCH USE ONLY. NOT FOR USE IN DIAGNOSTIC OR THERAPEUTIC PROCEDURES'.

For licensing inquiries, please contact partnerships@abcam.com