JavaScript is disabled in your browser. Please enable JavaScript to view this website.
AB244309

Anti-Carbonic Anhydrase 12/CA12 antibody

Be the first to review this product! Submit a review

|

(1 Publication)

Rabbit Polyclonal CAH12 antibody. Suitable for IHC-P, ICC/IF and reacts with Human samples. Cited in 1 publication. Immunogen corresponding to Recombinant Fragment Protein within Human CA12 aa 150-300.

View Alternative Names

Carbonic anhydrase 12, Carbonate dehydratase XII, Carbonic anhydrase XII, Tumor antigen HOM-RCC-3.1.3, CA-XII, CA12

2 Images
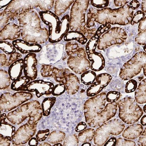
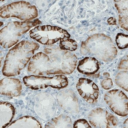
Immunohistochemistry (Formalin/PFA-fixed paraffin-embedded sections) - Anti-Carbonic Anhydrase 12/CA12 antibody (AB244309)
  • IHC-P

Unknown

Immunohistochemistry (Formalin/PFA-fixed paraffin-embedded sections) - Anti-Carbonic Anhydrase 12/CA12 antibody (AB244309)

Formalin-fixed, paraffin-embedded human kidney tissue stained for Carbonic Anhydrase 12/CA12 using ab244309 at 1/200 dilution in immunohistochemical analysis.

Immunocytochemistry/ Immunofluorescence - Anti-Carbonic Anhydrase 12/CA12 antibody (AB244309)
  • ICC/IF

Unknown

Immunocytochemistry/ Immunofluorescence - Anti-Carbonic Anhydrase 12/CA12 antibody (AB244309)

PFA-fixed, Triton X-100 permeabilized RT4 (human urinary bladder cancer cell line) cells stained for Carbonic Anhydrase 12/CA12 (green) using ab244309 at 4 μg/ml in ICC/IF.

Key facts

Host species

Rabbit

Clonality

Polyclonal

Isotype

IgG

Carrier free

No

Reacts with

Human

Applications

IHC-P, ICC/IF

applications

Immunogen

Recombinant Fragment Protein within Human CA12 aa 150-300. The exact immunogen used to generate this antibody is proprietary information.

O43570

Reactivity data

{ "title": "Reactivity Data", "filters": { "stats": ["", "Species", "Dilution Info", "Notes"], "tabs": { "all-applications": {"fullname" : "All Applications", "shortname": "All Applications"}, "IHCP" : {"fullname" : "Immunohistochemistry (Formalin/PFA-fixed paraffin-embedded sections)", "shortname":"IHC-P"}, "ICCIF" : {"fullname" : "Immunocytochemistry/ Immunofluorescence", "shortname":"ICC/IF"} }, "product-promise": { "all": "all", "testedAndGuaranteed": "tested", "guaranteed": "expected", "predicted": "predicted", "notRecommended": "not-recommended" } }, "values": { "Human": { "IHCP-species-checked": "testedAndGuaranteed", "IHCP-species-dilution-info": "1/200 - 1/500", "IHCP-species-notes": "<p></p> Perform heat-mediated antigen retrieval with citrate buffer pH 6 before commencing with IHC staining protocol.", "ICCIF-species-checked": "testedAndGuaranteed", "ICCIF-species-dilution-info": "0.25-2 µg/mL", "ICCIF-species-notes": "<p>Fixation/Permeabilization: PFA/Triton X-100.</p>" } } }

Properties and storage information

Form
Liquid
Purification technique
Affinity purification Immunogen
Storage buffer
pH: 7.2 Preservative: 0.02% Sodium azide Constituents: PBS, 40% Glycerol (glycerin, glycerine)
Shipped at conditions
Blue Ice
Appropriate short-term storage duration
1-2 weeks
Appropriate short-term storage conditions
+4°C
Appropriate long-term storage conditions
-20°C
Aliquoting information
Upon delivery aliquot
Storage information
Avoid freeze / thaw cycle

Product protocols

For this product, it's our understanding that no specific protocols are required. You can visit:

Target data

Reversible hydration of carbon dioxide.
See full target information CA12

Publications (1)

Recent publications for all applications. Explore the full list and refine your search

Journal of cellular and molecular medicine 25:11039-11052 PubMed34791807

2021

Pharmacological inhibition of Carbonic Anhydrase IX and XII to enhance targeting of acute myeloid leukaemia cells under hypoxic conditions.

Applications

Unspecified application

Species

Unspecified reactive species

Fangli Chen,Emilia Licarete,Xue Wu,Daniela Petrusca,Callista Maguire,Max Jacobsen,Austyn Colter,George E Sandusky,Magdalena Czader,Maegan L Capitano,James P Ropa,H Scott Boswell,Fabrizio Carta,Claudiu T Supuran,Brian Parkin,Melissa L Fishel,Heiko Konig
View all publications

Product promise

We are committed to supporting your work with high-quality reagents, and we're here for you every step of the way. In the unlikely event that one of our products does not perform as expected, you're protected by our Product Promise.
For full details, please see our Terms & Conditions

Please note: All products are 'FOR RESEARCH USE ONLY. NOT FOR USE IN DIAGNOSTIC OR THERAPEUTIC PROCEDURES'.

For licensing inquiries, please contact partnerships@abcam.com