JavaScript is disabled in your browser. Please enable JavaScript to view this website.
AB236138

Anti-Carbonic Anhydrase 12/CA12 antibody [EPR14861] - BSA and Azide free

Be the first to review this product! Submit a review

|

(1 Publication)

Rabbit Recombinant Monoclonal CAH12 antibody. Carrier free. Suitable for WB, Flow Cyt (Intra), IHC-P and reacts with Human samples. Cited in 1 publication.

View Alternative Names

Carbonic anhydrase 12, Carbonate dehydratase XII, Carbonic anhydrase XII, Tumor antigen HOM-RCC-3.1.3, CA-XII, CA12

9 Images
Immunohistochemistry (Formalin/PFA-fixed paraffin-embedded sections) - Anti-Carbonic Anhydrase 12/CA12 antibody [EPR14861] - BSA and Azide free (AB236138)
  • IHC-P

Supplier Data

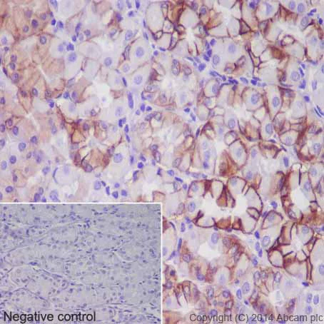
Immunohistochemistry (Formalin/PFA-fixed paraffin-embedded sections) - Anti-Carbonic Anhydrase 12/CA12 antibody [EPR14861] - BSA and Azide free (AB236138)

Immunohistochemical analysis of paraffin-embedded Human stomach tissue labeling CA12 with ab195233 at 1/100 dilution followed by Goat Anti-Rabbit IgG H&L (HRP) (ab97051) at 1/500 dilution and counter-stained with Hematoxylin. (inset : negative control).

Note : Cell membrane and cytoplasm staining on human stomach tissue was observed.

This data was developed using the same antibody clone in a different buffer formulation containing PBS, BSA, glycerol, and sodium azide (ab195233).

Heat mediated antigen retrieval was performed with Tris/EDTA buffer pH 9.0 before commencing with IHC staining protocol.

Immunohistochemistry (Formalin/PFA-fixed paraffin-embedded sections) - Anti-Carbonic Anhydrase 12/CA12 antibody [EPR14861] - BSA and Azide free (AB236138)
  • IHC-P

Supplier Data

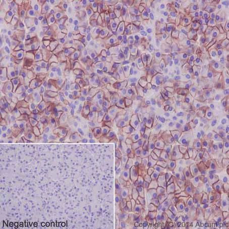
Immunohistochemistry (Formalin/PFA-fixed paraffin-embedded sections) - Anti-Carbonic Anhydrase 12/CA12 antibody [EPR14861] - BSA and Azide free (AB236138)

Immunohistochemical analysis of paraffin-embedded Human ovarian carcinoma tissue labeling CA12 with ab195233 at 1/100 dilution followed by Goat Anti-Rabbit IgG H&L (HRP) (ab97051) at 1/500 dilution and counter-stained with Hematoxylin. (inset : negative control).

Note : Cell membrane and weakly cytoplasm staining on human ovarian carcinoma tissue was observed.

This data was developed using the same antibody clone in a different buffer formulation containing PBS, BSA, glycerol, and sodium azide (ab195233).

Heat mediated antigen retrieval was performed with Tris/EDTA buffer pH 9.0 before commencing with IHC staining protocol.

Immunohistochemistry (Formalin/PFA-fixed paraffin-embedded sections) - Anti-Carbonic Anhydrase 12/CA12 antibody [EPR14861] - BSA and Azide free (AB236138)
  • IHC-P

Supplier Data

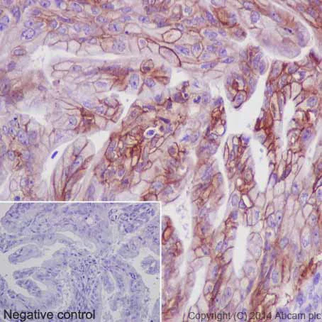
Immunohistochemistry (Formalin/PFA-fixed paraffin-embedded sections) - Anti-Carbonic Anhydrase 12/CA12 antibody [EPR14861] - BSA and Azide free (AB236138)

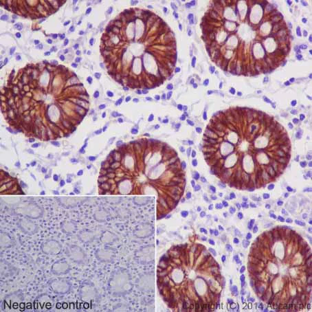
Immunohistochemical analysis of paraffin-embedded human colon tissue labeling CA12 with ab195233 at 1/100 dilution followed by Goat Anti-Rabbit IgG H&L (HRP) (ab97051) at 1/500 dilution and counter-stained with Hematoxylin. (inset : negative control).

Note : Cell membrane and cytoplasm staining on human colon tissue was observed.

This data was developed using the same antibody clone in a different buffer formulation containing PBS, BSA, glycerol, and sodium azide (ab195233).

Heat mediated antigen retrieval was performed with Tris/EDTA buffer pH 9.0 before commencing with IHC staining protocol.

Flow Cytometry (Intracellular) - Anti-Carbonic Anhydrase 12/CA12 antibody [EPR14861] - BSA and Azide free (AB236138)
  • Flow Cyt (Intra)

Supplier Data

Flow Cytometry (Intracellular) - Anti-Carbonic Anhydrase 12/CA12 antibody [EPR14861] - BSA and Azide free (AB236138)

Intracellular flow cytometric analysis of SK-OV-3 cells (paraformaldehyde-fixed, 2%) labeling CA12 with ab195233 at 1/130 dilution (red) or a Rabbit monoclonal IgG (negative) (black), followed by Goat anti rabbit IgG (FITC) secondary at 1/150 dilution. Unlabeled cells (Blue).

This data was developed using the same antibody clone in a different buffer formulation containing PBS, BSA, glycerol, and sodium azide (ab195233).

Immunohistochemistry (Formalin/PFA-fixed paraffin-embedded sections) - Anti-Carbonic Anhydrase 12/CA12 antibody [EPR14861] - BSA and Azide free (AB236138)
  • IHC-P

Supplier Data

Immunohistochemistry (Formalin/PFA-fixed paraffin-embedded sections) - Anti-Carbonic Anhydrase 12/CA12 antibody [EPR14861] - BSA and Azide free (AB236138)

Immunohistochemical analysis of paraffin-embedded Human pancreas tissue labeling CA12 with ab195233 at 1/100 dilution followed by Goat Anti-Rabbit IgG H&L (HRP) (ab97051) at 1/500 dilution and counter-stained with Hematoxylin. (inset : negative control).

Note : Cell membrane and weakly cytoplasm staining on human pancreas tissue was observed.

This data was developed using the same antibody clone in a different buffer formulation containing PBS, BSA, glycerol, and sodium azide (ab195233).

Heat mediated antigen retrieval was performed with Tris/EDTA buffer pH 9.0 before commencing with IHC staining protocol.

Immunohistochemistry (Formalin/PFA-fixed paraffin-embedded sections) - Anti-Carbonic Anhydrase 12/CA12 antibody [EPR14861] - BSA and Azide free (AB236138)
  • IHC-P

Supplier Data

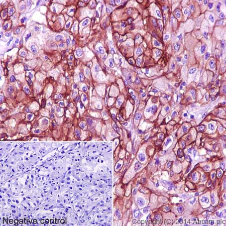
Immunohistochemistry (Formalin/PFA-fixed paraffin-embedded sections) - Anti-Carbonic Anhydrase 12/CA12 antibody [EPR14861] - BSA and Azide free (AB236138)

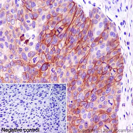
Immunohistochemical analysis of paraffin-embedded Human renal adenocarcinoma tissue labeling CA12 with ab195233 at 1/100 dilution followed by Goat Anti-Rabbit IgG H&L (HRP) (ab97051) at 1/500 dilution and counter-stained with Hematoxylin. (inset : negative control).

Note : Cell membrane and cytoplasm staining on human renal adenocarcinoma tissue was observed.

This data was developed using the same antibody clone in a different buffer formulation containing PBS, BSA, glycerol, and sodium azide (ab195233).

Heat mediated antigen retrieval was performed with Tris/EDTA buffer pH 9.0 before commencing with IHC staining protocol.

Immunohistochemistry (Formalin/PFA-fixed paraffin-embedded sections) - Anti-Carbonic Anhydrase 12/CA12 antibody [EPR14861] - BSA and Azide free (AB236138)
  • IHC-P

Supplier Data

Immunohistochemistry (Formalin/PFA-fixed paraffin-embedded sections) - Anti-Carbonic Anhydrase 12/CA12 antibody [EPR14861] - BSA and Azide free (AB236138)

Immunohistochemical analysis of paraffin-embedded Human bladder transitional cell carcinoma tissue labeling CA12 with ab195233 at 1/100 dilution followed by Goat Anti-Rabbit IgG H&L (HRP) (ab97051) at 1/500 dilution and counter-stained with Hematoxylin. (inset : negative control).

Note : Cell membrane and weakly cytoplasm staining on human transitional cell carcinoma of bladder tissue was observed.

This data was developed using the same antibody clone in a different buffer formulation containing PBS, BSA, glycerol, and sodium azide (ab195233).

Heat mediated antigen retrieval was performed with Tris/EDTA buffer pH 9.0 before commencing with IHC staining protocol.

Western blot - Anti-Carbonic Anhydrase 12/CA12 antibody [EPR14861] - BSA and Azide free (AB236138)
  • WB

Lab

Western blot - Anti-Carbonic Anhydrase 12/CA12 antibody [EPR14861] - BSA and Azide free (AB236138)

This data was developed using the same antibody clone in a different buffer formulation (ab195233).

Lanes 1 - 3 : Merged signal (red and green). Green - ab195233 observed at 40 kDa. Red - loading control ab7291 (Mouse anti-Alpha Tubulin [DM1A]) observed at 55 kDa.

ab195233 was shown to react with Carbonic Anhydrase 12/CA12 in wild-type A549 cells in Western blot with loss of signal observed in Ca12 knockout knockout cell line ab273738 (knockout cell lysate ab273778). Wild-type A549 and Ca12 knockout cell lysates were subjected to SDS-PAGE. Membranes were blocked in 3 % milk in TBS-T (0.1 % Tween®) before incubation with ab195233 and ab7291 (Mouse anti-Alpha Tubulin [DM1A]) overnight at 4 °C at a 1 in 10000 dilution and a 1 in 20000 dilution respectively. Blots were incubated with Goat anti-Rabbit IgG H&L (IRDye® 800CW) preabsorbed (ab216773) and Goat anti-Mouse IgG H&L (IRDye® 680RD) preabsorbed (ab216776) secondary antibodies at 1 in 20000 dilution for 1 h at room temperature before imaging.

All lanes:

Western blot - Anti-Carbonic Anhydrase 12/CA12 antibody [EPR14861] - C-terminal (<a href='/en-us/products/primary-antibodies/carbonic-anhydrase-12-ca12-antibody-epr14861-c-terminal-ab195233'>ab195233</a>) at 1/10000 dilution

Lane 1:

Wild-type A549 (Human lung carcinoma cell line) whole cell lysate at 20 µg

Lane 2:

Ca12 knockout A549 (Human lung carcinoma cell line) whole cell lysate at 20 µg

Lane 2:

Western blot - Human CA12 knockout A549 cell line (<a href='/en-us/products/cell-lines/human-ca12-knockout-a549-cell-line-ab273738'>ab273738</a>)

Lane 3:

HeLa (Human epithelial cell line from cervix adenocarcinoma) whole cell lysate at 20 µg

Predicted band size: 39 kDa

Observed band size: 40 kDa

false

Western blot - Anti-Carbonic Anhydrase 12/CA12 antibody [EPR14861] - BSA and Azide free (AB236138)
  • WB

Supplier Data

Western blot - Anti-Carbonic Anhydrase 12/CA12 antibody [EPR14861] - BSA and Azide free (AB236138)

This data was developed using the same antibody clone in a different buffer formulation (ab195233)

All lanes:

Western blot - Anti-Carbonic Anhydrase 12/CA12 antibody [EPR14861] - BSA and Azide free (ab236138) at 1/10000 dilution

Lane 1:

MCF7 cell lysate at 10 µg

Lanes 2 and 5:

SKOV3 cell lysate at 10 µg

Lane 3:

293 cell lysate at 10 µg

Lane 4:

HeLa cell lysate at 10 µg

Lane 6:

Human fetal kidney lysate at 10 µg

Lane 7:

Human ovary cancer lysate at 10 µg

Lane 8:

Human breast cancer lysate at 10 µg

Secondary

All lanes:

Goat Anti-Rabbit IgG, (H+L), Peroxidase conjugate at 1/1000 dilution

Predicted band size: 39 kDa

true

Exposure time: 10s

Key facts

Host species

Rabbit

Clonality

Monoclonal

Clone number

EPR14861

Isotype

IgG

Carrier free

Yes

Reacts with

Human

Applications

IHC-P, Flow Cyt (Intra), WB

applications

Immunogen

The exact immunogen used to generate this antibody is proprietary information.

Reactivity data

{ "title": "Reactivity Data", "filters": { "stats": ["", "Species", "Dilution Info", "Notes"], "tabs": { "all-applications": {"fullname" : "All Applications", "shortname": "All Applications"}, "WB" : {"fullname" : "Western blot", "shortname":"WB"}, "FlowCytIntra" : {"fullname" : "Flow Cytometry (Intracellular)", "shortname":"Flow Cyt (Intra)"}, "IHCP" : {"fullname" : "Immunohistochemistry (Formalin/PFA-fixed paraffin-embedded sections)", "shortname":"IHC-P"} }, "product-promise": { "all": "all", "testedAndGuaranteed": "tested", "guaranteed": "expected", "predicted": "predicted", "notRecommended": "not-recommended" } }, "values": { "Human": { "WB-species-checked": "testedAndGuaranteed", "WB-species-dilution-info": "", "WB-species-notes": "<p></p>", "FlowCytIntra-species-checked": "testedAndGuaranteed", "FlowCytIntra-species-dilution-info": "", "FlowCytIntra-species-notes": "<p><a href='/en-us/products/primary-antibodies/rabbit-igg-monoclonal-epr25a-isotype-control-ab172730'>ab172730</a> - Rabbit monoclonal IgG, is suitable for use as an isotype control with this antibody.</p>", "IHCP-species-checked": "testedAndGuaranteed", "IHCP-species-dilution-info": "", "IHCP-species-notes": "<p></p>" } } }

Product details

ab236138 is the carrier-free version of ab195233.

Patented technology
Our RabMAb® technology is a patented hybridoma-based technology for making rabbit monoclonal antibodies. For details on our patents, please refer to RabMAb® patents.

What are the advantages of a recombinant monoclonal antibody?
This product is a recombinant monoclonal antibody, which offers several advantages including:

  • - High batch-to-batch consistency and reproducibility
  • - Improved sensitivity and specificity
  • - Long-term security of supply
  • - Animal-free batch production

For more information, read more on recombinant antibodies.

Conjugation ready
Our carrier-free antibodies are typically supplied in a PBS-only formulation, purified and free of BSA, sodium azide and glycerol. This conjugation-ready format is designed for use with fluorochromes, metal isotopes, oligonucleotides, and enzymes, which makes them ideal for antibody labelling, functional and cell-based assays, flow-based assays (e.g. mass cytometry) and Multiplex Imaging applications.

Use our conjugation kits for antibody conjugates that are ready-to-use in as little as 20 minutes with 1 minute hands-on-time and 100% antibody recovery: available for fluorescent dyes, HRP, biotin and gold.

Compatibility
This product is compatible with the Maxpar® Antibody Labeling Kit from Fluidigm, without the need for antibody preparation. Maxpar® is a trademark of Fluidigm Canada Inc.

Properties and storage information

Form
Liquid
Purification technique
Affinity purification Protein A
Storage buffer
pH: 7.2 - 7.4 Constituents: PBS
Shipped at conditions
Blue Ice
Appropriate short-term storage conditions
+4°C
Appropriate long-term storage conditions
+4°C
Storage information
Do Not Freeze

Product protocols

For this product, it's our understanding that no specific protocols are required. You can visit:

Target data

Reversible hydration of carbon dioxide.
See full target information CA12

Publications (1)

Recent publications for all applications. Explore the full list and refine your search

eLife 9: PubMed32163370

2020

ATR expands embryonic stem cell fate potential in response to replication stress.

Applications

Unspecified application

Species

Unspecified reactive species

Sina Atashpaz,Sara Samadi Shams,Javier Martin Gonzalez,Endre Sebestyén,Negar Arghavanifard,Andrea Gnocchi,Eliene Albers,Simone Minardi,Giovanni Faga,Paolo Soffientini,Elisa Allievi,Valeria Cancila,Angela Bachi,Óscar Fernández-Capetillo,Claudio Tripodo,Francesco Ferrari,Andrés Joaquin López-Contreras,Vincenzo Costanzo
View all publications

Product promise

We are committed to supporting your work with high-quality reagents, and we're here for you every step of the way. In the unlikely event that one of our products does not perform as expected, you're protected by our Product Promise.
For full details, please see our Terms & Conditions

Please note: All products are 'FOR RESEARCH USE ONLY. NOT FOR USE IN DIAGNOSTIC OR THERAPEUTIC PROCEDURES'.

For licensing inquiries, please contact partnerships@abcam.com