JavaScript is disabled in your browser. Please enable JavaScript to view this website.
AB236579

Anti-Carbonic Anhydrase 13/CA13 antibody

Be the first to review this product! Submit a review

|

(1 Publication)

Rabbit Polyclonal CAH13 antibody. Suitable for WB, IHC-P and reacts with Mouse, Human samples. Cited in 1 publication. Immunogen corresponding to Recombinant Full Length Protein corresponding to Human Carbonic anhydrase 13.

View Alternative Names

Carbonic anhydrase 13, Carbonate dehydratase XIII, Carbonic anhydrase XIII, CA-XIII, CA13

2 Images
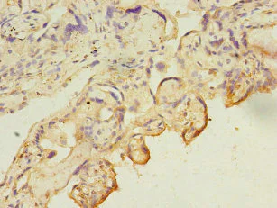
Immunohistochemistry (Formalin/PFA-fixed paraffin-embedded sections) - Anti-Carbonic Anhydrase 13/CA13 antibody (AB236579)
  • IHC-P

Supplier Data

Immunohistochemistry (Formalin/PFA-fixed paraffin-embedded sections) - Anti-Carbonic Anhydrase 13/CA13 antibody (AB236579)

Paraffin-embedded human placenta tissue stained for Carbonic Anhydrase 13/CA13 using ab236579 at 1/100 dilution in immunohistochemical analysis.

Western blot - Anti-Carbonic Anhydrase 13/CA13 antibody (AB236579)
  • WB

Supplier Data

Western blot - Anti-Carbonic Anhydrase 13/CA13 antibody (AB236579)

All lanes:

Western blot - Anti-Carbonic Anhydrase 13/CA13 antibody (ab236579) at 1/500 dilution

All lanes:

NIH/3T3 (mouse embryo fibroblast cell line) cell lysate

Secondary

All lanes:

Goat polyclonal to rabbit IgG at 1/10000 dilution

Predicted band size: 29 kDa

false

Key facts

Host species

Rabbit

Clonality

Polyclonal

Isotype

IgG

Carrier free

No

Reacts with

Mouse, Human

Applications

IHC-P, WB

applications

Immunogen

Recombinant Full Length Protein corresponding to Human Carbonic anhydrase 13.

Q8N1Q1

Reactivity data

{ "title": "Reactivity Data", "filters": { "stats": ["", "Species", "Dilution Info", "Notes"], "tabs": { "all-applications": {"fullname" : "All Applications", "shortname": "All Applications"}, "WB" : {"fullname" : "Western blot", "shortname":"WB"}, "IHCP" : {"fullname" : "Immunohistochemistry (Formalin/PFA-fixed paraffin-embedded sections)", "shortname":"IHC-P"} }, "product-promise": { "all": "all", "testedAndGuaranteed": "tested", "guaranteed": "expected", "predicted": "predicted", "notRecommended": "not-recommended" } }, "values": { "Human": { "WB-species-checked": "guaranteed", "WB-species-dilution-info": "", "WB-species-notes": "", "IHCP-species-checked": "testedAndGuaranteed", "IHCP-species-dilution-info": "1/20 - 1/200", "IHCP-species-notes": "<p></p>" }, "Mouse": { "WB-species-checked": "testedAndGuaranteed", "WB-species-dilution-info": "1/500 - 1/2000", "WB-species-notes": "<p></p>", "IHCP-species-checked": "guaranteed", "IHCP-species-dilution-info": "", "IHCP-species-notes": "" } } }

Properties and storage information

Form
Liquid
Purification technique
Affinity purification Protein G
Purification notes
Purity >95%.
Storage buffer
pH: 7.4 Preservative: 0.03% Proclin 300 Constituents: PBS, 50% Glycerol (glycerin, glycerine)
Shipped at conditions
Blue Ice
Appropriate short-term storage duration
1-2 weeks
Appropriate short-term storage conditions
+4°C
Appropriate long-term storage conditions
-20°C
Aliquoting information
Upon delivery aliquot
Storage information
Avoid freeze / thaw cycle

Product protocols

For this product, it's our understanding that no specific protocols are required. You can visit:

Target data

Reversible hydration of carbon dioxide.
See full target information Carbonic anhydrase 13

Publications (1)

Recent publications for all applications. Explore the full list and refine your search

Frontiers in cellular and infection microbiology 10:328 PubMed32714882

2020

Impairs Antibacterial Innate Immunity to Systemic Infections in Part Through Hemozoin-Bound Bioactive Molecules.

Applications

Unspecified application

Species

Unspecified reactive species

Christopher L Harding,Nicolas F Villarino,Elena Valente,Evelin Schwarzer,Nathan W Schmidt
View all publications

Product promise

We are committed to supporting your work with high-quality reagents, and we're here for you every step of the way. In the unlikely event that one of our products does not perform as expected, you're protected by our Product Promise.
For full details, please see our Terms & Conditions

Please note: All products are 'FOR RESEARCH USE ONLY. NOT FOR USE IN DIAGNOSTIC OR THERAPEUTIC PROCEDURES'.

For licensing inquiries, please contact partnerships@abcam.com