JavaScript is disabled in your browser. Please enable JavaScript to view this website.
AB124687

Anti-Carbonic anhydrase 2/CA2 antibody [EPR5195]

  • BOND RX™ Validated
  • RabMAb
  • Recombinant
  • KO Validated
  • What is this?

5

(3 Reviews)

|

(33 Publications)

Rabbit Recombinant Monoclonal CAH2 antibody. Suitable for IHC-P, WB and reacts with Human, Mouse, Rat samples. Cited in 33 publications.

View Alternative Names

Carbonic anhydrase 2, Carbonate dehydratase II, Carbonic anhydrase C, Carbonic anhydrase II, Cyanamide hydratase CA2, CAC, CA-II, CA2

8 Images
Immunohistochemistry (Formalin/PFA-fixed paraffin-embedded sections) - Anti-Carbonic anhydrase 2/CA2 antibody [EPR5195] (AB124687)
  • IHC-P

Supplier Data

Immunohistochemistry (Formalin/PFA-fixed paraffin-embedded sections) - Anti-Carbonic anhydrase 2/CA2 antibody [EPR5195] (AB124687)

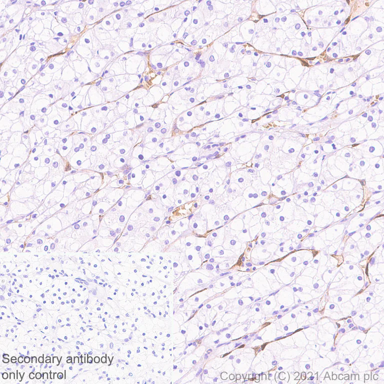
Immunohistochemistry (Formalin/PFA-fixed paraffin-embedded sections) analysis of human clear cell carcinoma tissue sections labeling Carbonic anhydrase 2/CA2 with purified ab124687 at 1/1600 (0.063 μg/ml). Heat mediated antigen retrieval was performed Bond™ Epitope Retrieval Solution 2 (pH 9.0). Tissue was counterstained with Hematoxylin. Rabbit specific IHC polymer detection kit HRP/DAB (ab209101) secondary antibody was used. PBS instead of the primary antibody was used as the negative control. The immunostaining was performed on a Leica Biosystems BOND® RX instrument.

Immunohistochemistry (Formalin/PFA-fixed paraffin-embedded sections) - Anti-Carbonic anhydrase 2/CA2 antibody [EPR5195] (AB124687)
  • IHC-P

Supplier Data

Immunohistochemistry (Formalin/PFA-fixed paraffin-embedded sections) - Anti-Carbonic anhydrase 2/CA2 antibody [EPR5195] (AB124687)

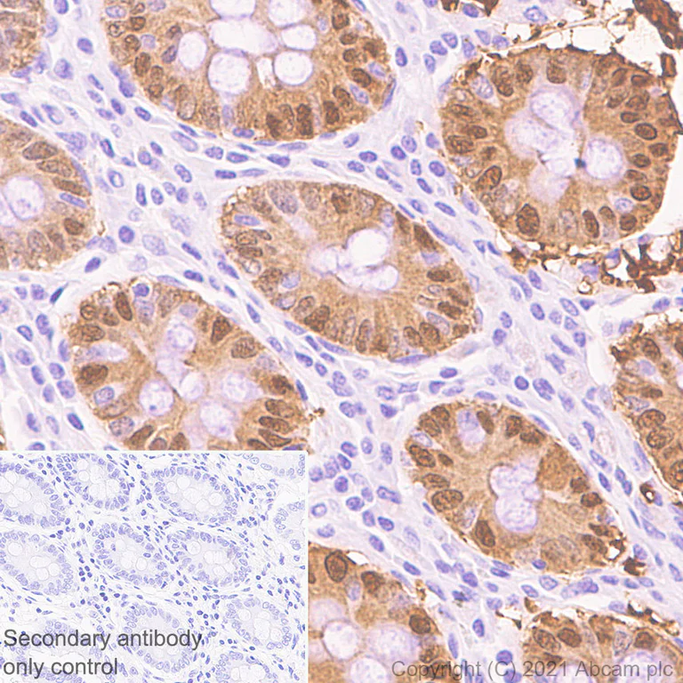
Immunohistochemistry (Formalin/PFA-fixed paraffin-embedded sections) analysis of human colon tissue sections labeling Carbonic anhydrase 2/CA2 with purified ab124687 at 1/1600 (0.063 μg/ml). Heat mediated antigen retrieval was performed using Bond™ Epitope Retrieval Solution 2 (pH 9.0). Tissue was counterstained with Hematoxylin. Rabbit specific IHC polymer detection kit HRP/DAB (ab209101) secondary antibody was used. PBS instead of the primary antibody was used as the negative control. The immunostaining was performed on a Leica Biosystems BOND® RX instrument.

Immunohistochemistry (Formalin/PFA-fixed paraffin-embedded sections) - Anti-Carbonic anhydrase 2/CA2 antibody [EPR5195] (AB124687)
  • IHC-P

Supplier Data

Immunohistochemistry (Formalin/PFA-fixed paraffin-embedded sections) - Anti-Carbonic anhydrase 2/CA2 antibody [EPR5195] (AB124687)

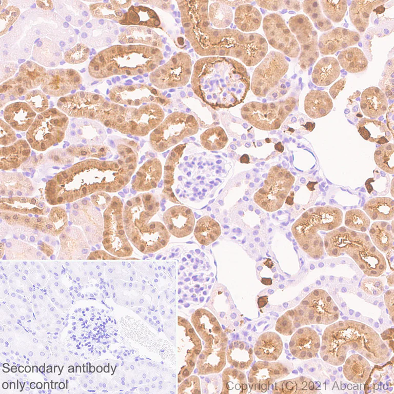
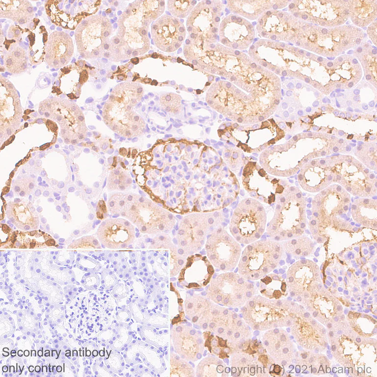
Immunohistochemistry (Formalin/PFA-fixed paraffin-embedded sections) analysis of rat kindey tissue sections labeling Carbonic anhydrase 2/CA2 with purified ab124687 at 1/1600 (0.063 μg/ml). Heat mediated antigen retrieval was performed using Bond™ Epitope Retrieval Solution 2 (pH 9.0). Tissue was counterstained with Hematoxylin. Rabbit specific IHC polymer detection kit HRP/DAB (ab209101) secondary antibody was used. PBS instead of the primary antibody was used as the negative control. The immunostaining was performed on a Leica Biosystems BOND® RX instrument.

Immunohistochemistry (Formalin/PFA-fixed paraffin-embedded sections) - Anti-Carbonic anhydrase 2/CA2 antibody [EPR5195] (AB124687)
  • IHC-P

Supplier Data

Immunohistochemistry (Formalin/PFA-fixed paraffin-embedded sections) - Anti-Carbonic anhydrase 2/CA2 antibody [EPR5195] (AB124687)

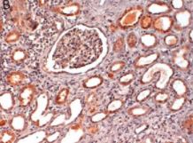
Immunohistochemistry (Formalin/PFA-fixed paraffin-embedded sections) analysis of mouse kidney tissue sections labeling Carbonic anhydrase 2/CA2 with Purified ab124687 at 1/1600 (0.063 μg/ml). Heat mediated antigen retrieval was performed using Bond™ Epitope Retrieval Solution 2 (pH 9.0). Tissue was counterstained with Hematoxylin. Rabbit specific IHC polymer detection kit HRP/DAB (ab209101) secondary antibody was used. PBS instead of the primary antibody was used as the negative control. The immunostaining was performed on a Leica Biosystems BOND® RX instrument.

Western blot - Anti-Carbonic anhydrase 2/CA2 antibody [EPR5195] (AB124687)
  • WB

Lab

Western blot - Anti-Carbonic anhydrase 2/CA2 antibody [EPR5195] (AB124687)

Lanes 1-4 : Merged signal (red and green). Green - ab124687 observed at 29 kDa. Red - loading control ab8245 observed at 36 kDa.

ab124687 Anti-Carbonic anhydrase 2/CA2 antibody [EPR5195] was shown to specifically react with Carbonic anhydrase 2/CA2 in wild-type HEK293T cells. Loss of signal was observed when knockout cell line ab265072 (knockout cell lysate ab257084) was used. Wild-type and Carbonic anhydrase 2/CA2 knockout samples were subjected to SDS-PAGE. ab124687 and Anti-GAPDH antibody [6C5] - Loading Control (ab8245) were incubated at room temperature for 2. 5 hours at 1 in 1000 dilution and 1 in 20000 dilution respectively. Blots were developed with Goat anti-Rabbit IgG H&L (IRDye® 800CW) preadsorbed (ab216773) and Goat anti-Mouse IgG H&L (IRDye® 680RD) preadsorbed (ab216776) secondary antibodies at 1 in 20000 dilution for 1 hour at room temperature before imaging.

All lanes:

Western blot - Anti-Carbonic anhydrase 2/CA2 antibody [EPR5195] (ab124687) at 1/1000 dilution

Lane 1:

Wild-type HEK293T cell lysate at 20 µg

Lane 2:

CA2 knockout HEK293T cell lysate at 20 µg

Lane 2:

Western blot - Human CA2 (Carbonic anhydrase 2) knockout HEK-293T cell line (<a href='/en-us/products/cell-lines/human-ca2-carbonic-anhydrase-2-knockout-hek-293t-cell-line-ab265072'>ab265072</a>)

Lane 3:

A431 cell lysate at 20 µg

Lane 4:

Caco-2 cell lysate at 20 µg

Secondary

All lanes:

Western blot - Goat anti-Rabbit IgG H&L (IRDye® 800CW) preadsorbed (<a href='/en-us/products/secondary-antibodies/goat-rabbit-igg-h-l-irdye-800cw-preadsorbed-ab216773'>ab216773</a>) at 1/10000 dilution

Predicted band size: 29 kDa

Observed band size: 29 kDa

false

Western blot - Anti-Carbonic anhydrase 2/CA2 antibody [EPR5195] (AB124687)
  • WB

Supplier Data

Western blot - Anti-Carbonic anhydrase 2/CA2 antibody [EPR5195] (AB124687)

All lanes:

Western blot - Anti-Carbonic anhydrase 2/CA2 antibody [EPR5195] (ab124687) at 1/5000 dilution

Lane 1:

HEK-293 (Human embryonic kidney epithelial cell) whole cell lysate at 20 µg

Lane 2:

Caco-2 (Human colorectal adenocarcinoma epithelial cell) whole cell lysate at 20 µg

Lane 3:

Human heart lysate at 20 µg

Secondary

All lanes:

Goat Anti-Rabbit IgG (HRP) with minimal cross-reactivity with human IgG at 1/2000 dilution

Predicted band size: 29 kDa

Observed band size: 29 kDa

false

Western blot - Anti-Carbonic anhydrase 2/CA2 antibody [EPR5195] (AB124687)
  • WB

Lab

Western blot - Anti-Carbonic anhydrase 2/CA2 antibody [EPR5195] (AB124687)

Lane 1 : Wild-type HAP1 cell lysate (40 μg)
Lane 2 : Carbonic anhydrase 2/CA2 knockout HAP1 cell lysate (40 μg)
Lane 3 : A431 cell lysate (40 μg)
Lane 4 : HEK293 cell lysate (40 μg)
Lanes 1 - 4 : Merged signal (red and green). Green - ab124687 observed at 32 kDa. Red - loading control, ab8245, observed at 37 kDa.

ab124687 was shown to specifically react with Carbonic anhydrase 2/CA2 when Carbonic anhydrase 2/CA2 knockout samples were used. Wild-type and Carbonic anhydrase 2/CA2 knockout samples were subjected to SDS-PAGE. ab124687 and ab8245 (loading control to GAPDH) were diluted at 1/1000 and 1/10,000 dilution respectively and incubated overnight at 4C. Blots were developed with IRDye® 800CW Goat anti-Rabbit IgG (H + L) and IRDye® 680 Goat anti-Mouse IgG (H + L) secondary antibodies at 1/10,000 dilution for 1 hour at room temperature before imaging.

All lanes:

Western blot - Anti-Carbonic anhydrase 2/CA2 antibody [EPR5195] (ab124687)

Predicted band size: 29 kDa

false

Western blot - Anti-Carbonic anhydrase 2/CA2 antibody [EPR5195] (AB124687)
  • WB

Supplier Data

Western blot - Anti-Carbonic anhydrase 2/CA2 antibody [EPR5195] (AB124687)

All lanes:

Western blot - Anti-Carbonic anhydrase 2/CA2 antibody [EPR5195] (ab124687) at 1/5000 dilution

Lane 1:

Mouse brain lysate at 20 µg

Lane 2:

Mouse heart lysate at 20 µg

Lane 3:

Rat brain lysate at 20 µg

Lane 4:

Rat spleen lysate at 20 µg

Lane 5:

Rat kidney lysate at 20 µg

Secondary

All lanes:

Goat Anti-Rabbit IgG (HRP) with minimal cross-reactivity with human IgG at 1/2000 dilution

Predicted band size: 29 kDa

Observed band size: 29 kDa

false

  • Carrier free

    Anti-Carbonic anhydrase 2/CA2 antibody [EPR5195] - BSA and Azide free

  • 665 Alexa Fluor® 647

    Alexa Fluor® 647 Anti-Carbonic anhydrase 2/CA2 antibody [EPR5195]

  • 519 Alexa Fluor® 488

    Alexa Fluor® 488 Anti-Carbonic anhydrase 2/CA2 antibody [EPR5195]

Key facts

Host species

Rabbit

Clonality

Monoclonal

Clone number

EPR5195

Isotype

IgG

Carrier free

No

Reacts with

Human, Rat, Mouse

Applications

IHC-P, WB

applications

Immunogen

The exact immunogen used to generate this antibody is proprietary information.

Reactivity data

{ "title": "Reactivity Data", "filters": { "stats": ["", "Species", "Dilution Info", "Notes"], "tabs": { "all-applications": {"fullname" : "All Applications", "shortname": "All Applications"}, "IHCP" : {"fullname" : "Immunohistochemistry (Formalin/PFA-fixed paraffin-embedded sections)", "shortname":"IHC-P"}, "WB" : {"fullname" : "Western blot", "shortname":"WB"} }, "product-promise": { "all": "all", "testedAndGuaranteed": "tested", "guaranteed": "expected", "predicted": "predicted", "notRecommended": "not-recommended" } }, "values": { "Human": { "IHCP-species-checked": "testedAndGuaranteed", "IHCP-species-dilution-info": "1/1600", "IHCP-species-notes": "<p>The mouse and rat recommendation is based on the WB results. We do not guarantee IHC-P for mouse and rat.</p><p><strong>For unpurified use at 1/250 - 1/500.</strong></p> Perform heat-mediated antigen retrieval before commencing with IHC staining protocol.", "WB-species-checked": "testedAndGuaranteed", "WB-species-dilution-info": "1/1000 - 1/10000", "WB-species-notes": "<p></p>" }, "Mouse": { "IHCP-species-checked": "testedAndGuaranteed", "IHCP-species-dilution-info": "1/1600", "IHCP-species-notes": "<p>The mouse and rat recommendation is based on the WB results. We do not guarantee IHC-P for mouse and rat.</p><p><strong>For unpurified use at 1/250 - 1/500.</strong></p> Perform heat-mediated antigen retrieval before commencing with IHC staining protocol.", "WB-species-checked": "testedAndGuaranteed", "WB-species-dilution-info": "1/1000 - 1/10000", "WB-species-notes": "<p></p>" }, "Rat": { "IHCP-species-checked": "testedAndGuaranteed", "IHCP-species-dilution-info": "1/1600", "IHCP-species-notes": "<p>The mouse and rat recommendation is based on the WB results. We do not guarantee IHC-P for mouse and rat.</p><p><strong>For unpurified use at 1/250 - 1/500.</strong></p> Perform heat-mediated antigen retrieval before commencing with IHC staining protocol.", "WB-species-checked": "testedAndGuaranteed", "WB-species-dilution-info": "1/1000 - 1/10000", "WB-species-notes": "<p></p>" } } }

Product details

Patented technology
Our RabMAb® technology is a patented hybridoma-based technology for making rabbit monoclonal antibodies. For details on our patents, please refer to RabMAb® patents.

What are the advantages of a recombinant monoclonal antibody?
This product is a recombinant monoclonal antibody, which offers several advantages including:

  • - High batch-to-batch consistency and reproducibility
  • - Improved sensitivity and specificity
  • - Long-term security of supply
  • - Animal-free batch production

For more information, read more on recombinant antibodies.

Properties and storage information

Form
Liquid
Purification technique
Affinity purification Protein A
Storage buffer
pH: 7.2 - 7.4 Preservative: 0.01% Sodium azide Constituents: PBS, 40% Glycerol (glycerin, glycerine), 0.05% BSA
Shipped at conditions
Blue Ice
Appropriate short-term storage duration
1-2 weeks
Appropriate short-term storage conditions
+4°C
Appropriate long-term storage conditions
-20°C
Aliquoting information
Upon delivery aliquot
Storage information
Avoid freeze / thaw cycle|Stable for 12 months at -20°C

Product protocols

For this product, it's our understanding that no specific protocols are required. You can visit:

Target data

Catalyzes the reversible hydration of carbon dioxide (PubMed : 11327835, PubMed : 11802772, PubMed : 11831900, PubMed : 12056894, PubMed : 12171926, PubMed : 1336460, PubMed : 14736236, PubMed : 15300855, PubMed : 15453828, PubMed : 15667203, PubMed : 15865431, PubMed : 16106378, PubMed : 16214338, PubMed : 16290146, PubMed : 16686544, PubMed : 16759856, PubMed : 16807956, PubMed : 17127057, PubMed : 17251017, PubMed : 17314045, PubMed : 17330962, PubMed : 17346964, PubMed : 17540563, PubMed : 17588751, PubMed : 17705204, PubMed : 18024029, PubMed : 18162396, PubMed : 18266323, PubMed : 18374572, PubMed : 18481843, PubMed : 18618712, PubMed : 18640037, PubMed : 18942852, PubMed : 1909891, PubMed : 1910042, PubMed : 19170619, PubMed : 19186056, PubMed : 19206230, PubMed : 19520834, PubMed : 19778001, PubMed : 7761440, PubMed : 7901850, PubMed : 8218160, PubMed : 8262987, PubMed : 8399159, PubMed : 8451242, PubMed : 8485129, PubMed : 8639494, PubMed : 9265618, PubMed : 9398308). Can also hydrate cyanamide to urea (PubMed : 10550681, PubMed : 11015219). Stimulates the chloride-bicarbonate exchange activity of SLC26A6 (PubMed : 15990874). Essential for bone resorption and osteoclast differentiation (PubMed : 15300855). Involved in the regulation of fluid secretion into the anterior chamber of the eye. Contributes to intracellular pH regulation in the duodenal upper villous epithelium during proton-coupled peptide absorption.
See full target information CA2

Publications (33)

Recent publications for all applications. Explore the full list and refine your search

JBMR plus 9:ziaf104 PubMed40735289

2025

Direct and indirect effects of transforming growth factor-beta on osteoclast-mediated bone remodeling using a new in vitro bone matrix model.

Applications

Unspecified application

Species

Unspecified reactive species

Risako Chiba-Ohkuma,Takeo Karakida,Ryuji Yamamoto,Yasuo Yamakoshi

Glia 73:38-56 PubMed39344832

2024

Developmental maturation and regional heterogeneity but no sexual dimorphism of the murine CNS myelin proteome.

Applications

Unspecified application

Species

Unspecified reactive species

Sophie B Siems,Vasiliki-Ilya Gargareta,Leonie C Schadt,Vinicius Daguano Gastaldi,Ramona B Jung,Lars Piepkorn,Patrizia Casaccia,Ting Sun,Olaf Jahn,Hauke B Werner

Nature neuroscience 27:1668-1674 PubMed39103558

2024

Oligodendrocytes produce amyloid-β and contribute to plaque formation alongside neurons in Alzheimer's disease model mice.

Applications

Unspecified application

Species

Unspecified reactive species

Andrew Octavian Sasmita,Constanze Depp,Taisiia Nazarenko,Ting Sun,Sophie B Siems,Erinne Cherisse Ong,Yakum B Nkeh,Carolin Böhler,Xuan Yu,Bastian Bues,Lisa Evangelista,Shuying Mao,Barbara Morgado,Zoe Wu,Torben Ruhwedel,Swati Subramanian,Friederike Börensen,Katharina Overhoff,Lena Spieth,Stefan A Berghoff,Katherine Rose Sadleir,Robert Vassar,Simone Eggert,Sandra Goebbels,Takashi Saito,Takaomi Saido,Gesine Saher,Wiebke Möbius,Gonçalo Castelo-Branco,Hans-Wolfgang Klafki,Oliver Wirths,Jens Wiltfang,Sarah Jäkel,Riqiang Yan,Klaus-Armin Nave

Function (Oxford, England) 5: PubMed38984989

2024

Dmxl1 Is an Essential Mammalian Gene that Is Required for V-ATPase Assembly and Function In Vivo.

Applications

Unspecified application

Species

Unspecified reactive species

Amity F Eaton,Elizabeth C Danielson,Diane Capen,Maria Merkulova,Dennis Brown

Science advances 10:eadk9884 PubMed38507480

2024

Reactive astrocytes secrete the chaperone HSPB1 to mediate neuroprotection.

Applications

Unspecified application

Species

Unspecified reactive species

Fangjia Yang,Paula Beltran-Lobo,Katherine Sung,Caoimhe Goldrick,Cara L Croft,Agnes Nishimura,Erin Hedges,Farah Mahiddine,Claire Troakes,Todd E Golde,Beatriz G Perez-Nievas,Diane P Hanger,Wendy Noble,Maria Jimenez-Sanchez

The Journal of dermatology 51:e160-e161 PubMed38009840

2023

A case of acquired idiopathic generalized anhidrosis with perspiration maintained at sites of brodalumab injection to treat psoriasis vulgaris.

Applications

Unspecified application

Species

Unspecified reactive species

Asuka Mikoshiba,Shiho Katsuie,Kosuke Satake,Shoya Kitamura,Yuki Sato,Yukiko Kiniwa,Kenji Sano,Ryuhei Okuyama

Cells 12: PubMed37443768

2023

TMEM106B Puncta Is Increased in Multiple Sclerosis Plaques, and Reduced Protein in Mice Results in Delayed Lipid Clearance Following CNS Injury.

Applications

Unspecified application

Species

Unspecified reactive species

Bridget Shafit-Zagardo,Simone Sidoli,James E Goldman,Juwen C DuBois,John R Corboy,Stephen M Strittmatter,Hillary Guzik,Ukuemi Edema,Anita G Arackal,Yair M Botbol,Emilio Merheb,Rashed M Nagra,Sarah Graff

eLife 12: PubMed37272417

2023

Calcium and bicarbonate signaling pathways have pivotal, resonating roles in matching ATP production to demand.

Applications

Unspecified application

Species

Unspecified reactive species

Maura Greiser,Mariusz Karbowski,Aaron David Kaplan,Andrew Kyle Coleman,Nicolas Verhoeven,Carmen A Mannella,W Jonathan Lederer,Liron Boyman

Nephron 147:496-509 PubMed36716737

2023

Piceatannol Protects against High Glucose-Induced Injury of Renal Tubular Epithelial Cells via Regulating Carbonic Anhydrase 2.

Applications

Unspecified application

Species

Unspecified reactive species

Xin Zhang,Qian Wang,Fagen Li,Suna Li,Hepu Lin,Yanhong Huo

BMC biology 20:163 PubMed35840963

2022

Proton export upregulates aerobic glycolysis.

Applications

Unspecified application

Species

Unspecified reactive species

Shonagh Russell,Liping Xu,Yoonseok Kam,Dominique Abrahams,Bryce Ordway,Alex S Lopez,Marilyn M Bui,Joseph Johnson,Tamir Epstein,Epifanio Ruiz,Mark C Lloyd,Pawel Swietach,Daniel Verduzco,Jonathan Wojtkowiak,Robert J Gillies
View all publications

Product promise

We are committed to supporting your work with high-quality reagents, and we're here for you every step of the way. In the unlikely event that one of our products does not perform as expected, you're protected by our Product Promise.
For full details, please see our Terms & Conditions

Please note: All products are 'FOR RESEARCH USE ONLY. NOT FOR USE IN DIAGNOSTIC OR THERAPEUTIC PROCEDURES'.

For licensing inquiries, please contact partnerships@abcam.com