JavaScript is disabled in your browser. Please enable JavaScript to view this website.
AB222480

Anti-Carbonic anhydrase 2/CA2 antibody [EPR5195] - BSA and Azide free

  • BOND RX™ Validated
  • RabMAb
  • Recombinant
  • KO Validated
  • What is this?

Be the first to review this product! Submit a review

|

(1 Publication)

Rabbit Recombinant Monoclonal CAH2 antibody. Carrier free. Suitable for IHC-P, WB and reacts with Human, Mouse, Rat samples. Cited in 1 publication.

View Alternative Names

Carbonic anhydrase 2, Carbonate dehydratase II, Carbonic anhydrase C, Carbonic anhydrase II, Cyanamide hydratase CA2, CAC, CA-II, CA2

8 Images
Immunohistochemistry (Formalin/PFA-fixed paraffin-embedded sections) - Anti-Carbonic anhydrase 2/CA2 antibody [EPR5195] - BSA and Azide free (AB222480)
  • IHC-P

Supplier Data

Immunohistochemistry (Formalin/PFA-fixed paraffin-embedded sections) - Anti-Carbonic anhydrase 2/CA2 antibody [EPR5195] - BSA and Azide free (AB222480)

This data was developed using ab124687, the same antibody clone in a different buffer formulation.
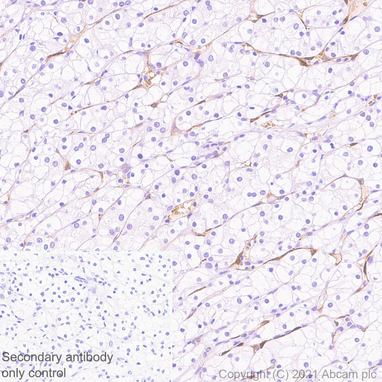
Immunohistochemistry (Formalin/PFA-fixed paraffin-embedded sections) analysis of human clear cell carcinoma tissue sections labeling Carbonic anhydrase 2/CA2 with purified ab124687 at 1/1600 (0.063 μg/ml). Heat mediated antigen retrieval was performed using Bond™ Epitope Retrieval Solution 2 (pH 9.0). Tissue was counterstained with Hematoxylin. Rabbit specific IHC polymer detection kit HRP/DAB (ab209101) was used. PBS instead of the primary antibody was used as the negative control. The immunostaining was performed on a Leica Biosystems BOND® RX instrument.

Immunohistochemistry (Formalin/PFA-fixed paraffin-embedded sections) - Anti-Carbonic anhydrase 2/CA2 antibody [EPR5195] - BSA and Azide free (AB222480)
  • IHC-P

Supplier Data

Immunohistochemistry (Formalin/PFA-fixed paraffin-embedded sections) - Anti-Carbonic anhydrase 2/CA2 antibody [EPR5195] - BSA and Azide free (AB222480)

This data was developed using ab124687, the same antibody clone in a different buffer formulation.
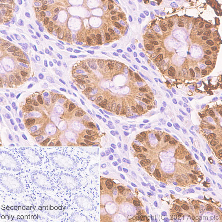
Immunohistochemistry (Formalin/PFA-fixed paraffin-embedded sections) analysis of human colon tissue sections labeling Carbonic anhydrase 2/CA2 with purified ab124687 at 1/1600 (0.063 μg/ml). Heat mediated antigen retrieval was performed using Bond™ Epitope Retrieval Solution 2 (pH 9.0). Tissue was counterstained with Hematoxylin. Rabbit specific IHC polymer detection kit HRP/DAB (ab209101) was used. PBS instead of the primary antibody was used as the negative control. The immunostaining was performed on a Leica Biosystems BOND® RX instrument.

Immunohistochemistry (Formalin/PFA-fixed paraffin-embedded sections) - Anti-Carbonic anhydrase 2/CA2 antibody [EPR5195] - BSA and Azide free (AB222480)
  • IHC-P

Supplier Data

Immunohistochemistry (Formalin/PFA-fixed paraffin-embedded sections) - Anti-Carbonic anhydrase 2/CA2 antibody [EPR5195] - BSA and Azide free (AB222480)

This data was developed using ab124687, the same antibody clone in a different buffer formulation.
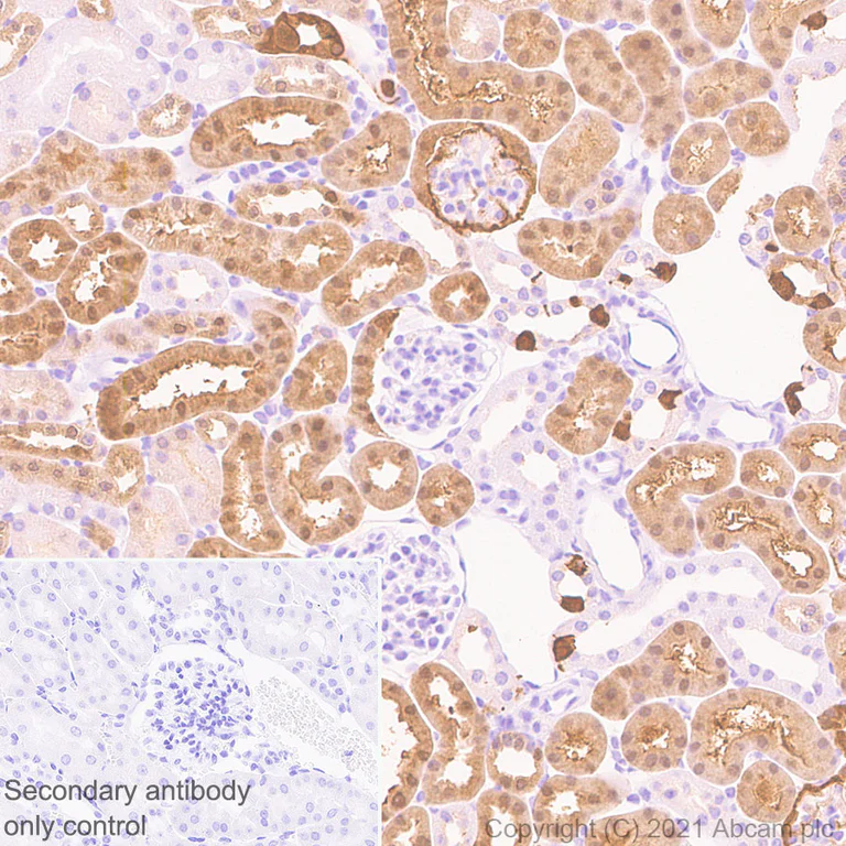
Immunohistochemistry (Formalin/PFA-fixed paraffin-embedded sections) analysis of rat kidney tissue sections labeling Carbonic anhydrase 2/CA2 with purified ab124687 at 1/1600 (0.063 μg/ml). Heat mediated antigen retrieval was performed using Bond™ Epitope Retrieval Solution 2 (pH 9.0). Tissue was counterstained with Hematoxylin. Rabbit specific IHC polymer detection kit HRP/DAB (ab209101) was used. PBS instead of the primary antibody was used as the negative control. The immunostaining was performed on a Leica Biosystems BOND® RX instrument.

Immunohistochemistry (Formalin/PFA-fixed paraffin-embedded sections) - Anti-Carbonic anhydrase 2/CA2 antibody [EPR5195] - BSA and Azide free (AB222480)
  • IHC-P

Supplier Data

Immunohistochemistry (Formalin/PFA-fixed paraffin-embedded sections) - Anti-Carbonic anhydrase 2/CA2 antibody [EPR5195] - BSA and Azide free (AB222480)

This data was developed using ab124687, the same antibody clone in a different buffer formulation.
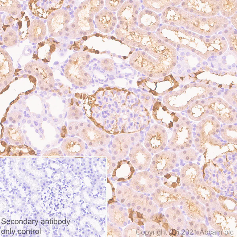
Immunohistochemistry (Formalin/PFA-fixed paraffin-embedded sections) analysis of mouse kidney tissue sections labeling Carbonic anhydrase 2/CA2 with purified ab124687 at 1/1600 (0.063 μg/ml). Heat mediated antigen retrieval was performed using Bond™ Epitope Retrieval Solution 2 (pH 9.0). Tissue was counterstained with Hematoxylin. Rabbit specific IHC polymer detection kit HRP/DAB (ab209101) was used. PBS instead of the primary antibody was used as the negative control. The immunostaining was performed on a Leica Biosystems BOND® RX instrument.

Western blot - Anti-Carbonic anhydrase 2/CA2 antibody [EPR5195] - BSA and Azide free (AB222480)
  • WB

Lab

Western blot - Anti-Carbonic anhydrase 2/CA2 antibody [EPR5195] - BSA and Azide free (AB222480)

This data was developed using the same antibody clone in a different buffer formulation (ab124687).

Lanes 1-4 : Merged signal (red and green). Green - ab124687 observed at 29 kDa. Red - loading control ab8245 observed at 36 kDa.

ab124687 Anti-Carbonic anhydrase 2/CA2 antibody [EPR5195] was shown to specifically react with Carbonic anhydrase 2/CA2 in wild-type HEK293T cells. Loss of signal was observed when knockout cell line ab265072 (knockout cell lysate ab257084) was used. Wild-type and Carbonic anhydrase 2/CA2 knockout samples were subjected to SDS-PAGE. ab124687 and Anti-GAPDH antibody [6C5] - Loading Control (ab8245) were incubated at room temperature for 2. 5 hours at 1 in 1000 dilution and 1 in 20000 dilution respectively. Blots were developed with Goat anti-Rabbit IgG H&L (IRDye® 800CW) preadsorbed (ab216773) and Goat anti-Mouse IgG H&L (IRDye® 680RD) preadsorbed (ab216776) secondary antibodies at 1 in 20000 dilution for 1 hour at room temperature before imaging.

All lanes:

Western blot - Anti-Carbonic anhydrase 2/CA2 antibody [EPR5195] (<a href='/en-us/products/primary-antibodies/carbonic-anhydrase-2-ca2-antibody-epr5195-ab124687'>ab124687</a>) at 1/1000 dilution

Lane 1:

Wild-type HEK293T cell lysate at 20 µg

Lane 2:

CA2 knockout HEK293T cell lysate at 20 µg

Lane 2:

Western blot - Human CA2 (Carbonic anhydrase 2) knockout HEK-293T cell line (<a href='/en-us/products/cell-lines/human-ca2-carbonic-anhydrase-2-knockout-hek-293t-cell-line-ab265072'>ab265072</a>)

Lane 3:

A431 cell lysate at 20 µg

Lane 4:

Caco-2 cell lysate at 20 µg

Secondary

All lanes:

Western blot - Goat anti-Rabbit IgG H&L (IRDye® 800CW) preadsorbed (<a href='/en-us/products/secondary-antibodies/goat-rabbit-igg-h-l-irdye-800cw-preadsorbed-ab216773'>ab216773</a>) at 1/10000 dilution

Predicted band size: 29 kDa

Observed band size: 29 kDa

false

Western blot - Anti-Carbonic anhydrase 2/CA2 antibody [EPR5195] - BSA and Azide free (AB222480)
  • WB

Supplier Data

Western blot - Anti-Carbonic anhydrase 2/CA2 antibody [EPR5195] - BSA and Azide free (AB222480)

This data was developed using ab124687, the same antibody clone in a different buffer formulation.

All lanes:

Western blot - Anti-Carbonic anhydrase 2/CA2 antibody [EPR5195] (<a href='/en-us/products/primary-antibodies/carbonic-anhydrase-2-ca2-antibody-epr5195-ab124687'>ab124687</a>) at 1/5000 dilution

Lane 1:

HEK-293 (Human embryonic kidney epithelial cell) whole cell lysate at 20 µg

Lane 2:

Caco-2 (Human colorectal adenocarcinoma epithelial cell) whole cell lysate at 20 µg

Lane 3:

Human heart lysate at 20 µg

Secondary

All lanes:

Goat Anti-Rabbit IgG (HRP) with minimal cross-reactivity with human IgG at 1/2000 dilution

Predicted band size: 29 kDa

Observed band size: 29 kDa

false

Western blot - Anti-Carbonic anhydrase 2/CA2 antibody [EPR5195] - BSA and Azide free (AB222480)
  • WB

Lab

Western blot - Anti-Carbonic anhydrase 2/CA2 antibody [EPR5195] - BSA and Azide free (AB222480)

This data was developed using ab124687, the same antibody clone in a different buffer formulation.

Lane 1 : Wild-type HAP1 cell lysate (40 μg)
Lane 2 : Carbonic anhydrase 2/CA2 knockout HAP1 cell lysate (40 μg)
Lane 3 : A431 cell lysate (40 μg)
Lane 4 : HEK293 cell lysate (40 μg)
Lanes 1 - 4 : Merged signal (red and green). Green - ab124687 observed at 32 kDa. Red - loading control, ab8245, observed at 37 kDa.

ab124687 was shown to specifically react with Carbonic anhydrase 2/CA2 when Carbonic anhydrase 2/CA2 knockout samples were used. Wild-type and Carbonic anhydrase 2/CA2 knockout samples were subjected to SDS-PAGE. ab124687 and ab8245 (loading control to GAPDH) were diluted at 1/1000 and 1 : 10,000 dilution respectively and incubated overnight at 4C. Blots were developed with IRDye® 800CW Goat anti-Rabbit IgG (H + L) and IRDye® 680 Goat anti-Mouse IgG (H + L) secondary antibodies at 1 : 10,000 dilution for 1 hour at room temperature before imaging.

All lanes:

Western blot - Anti-Carbonic anhydrase 2/CA2 antibody [EPR5195] - BSA and Azide free (ab222480)

Predicted band size: 29 kDa

false

Western blot - Anti-Carbonic anhydrase 2/CA2 antibody [EPR5195] - BSA and Azide free (AB222480)
  • WB

Supplier Data

Western blot - Anti-Carbonic anhydrase 2/CA2 antibody [EPR5195] - BSA and Azide free (AB222480)

This data was developed using ab124687, the same antibody clone in a different buffer formulation.

All lanes:

Western blot - Anti-Carbonic anhydrase 2/CA2 antibody [EPR5195] (<a href='/en-us/products/primary-antibodies/carbonic-anhydrase-2-ca2-antibody-epr5195-ab124687'>ab124687</a>) at 1/5000 dilution

Lane 1:

Mouse brain lysate at 20 µg

Lane 2:

Mouse heart lysate at 20 µg

Lane 3:

Rat brain lysate at 20 µg

Lane 4:

Rat spleen lysate at 20 µg

Lane 5:

Rat kidney lysate at 20 µg

Secondary

All lanes:

Goat Anti-Rabbit IgG (HRP) with minimal cross-reactivity with human IgG at 1/2000 dilution

Predicted band size: 29 kDa

Observed band size: 29 kDa

false

  • Unconjugated

    Anti-Carbonic anhydrase 2/CA2 antibody [EPR5195]

  • 665 Alexa Fluor® 647

    Alexa Fluor® 647 Anti-Carbonic anhydrase 2/CA2 antibody [EPR5195]

  • 519 Alexa Fluor® 488

    Alexa Fluor® 488 Anti-Carbonic anhydrase 2/CA2 antibody [EPR5195]

Key facts

Host species

Rabbit

Clonality

Monoclonal

Clone number

EPR5195

Isotype

IgG

Carrier free

Yes

Reacts with

Human, Rat, Mouse

Applications

IHC-P, WB

applications

Immunogen

The exact immunogen used to generate this antibody is proprietary information.

Reactivity data

{ "title": "Reactivity Data", "filters": { "stats": ["", "Species", "Dilution Info", "Notes"], "tabs": { "all-applications": {"fullname" : "All Applications", "shortname": "All Applications"}, "IHCP" : {"fullname" : "Immunohistochemistry (Formalin/PFA-fixed paraffin-embedded sections)", "shortname":"IHC-P"}, "WB" : {"fullname" : "Western blot", "shortname":"WB"} }, "product-promise": { "all": "all", "testedAndGuaranteed": "tested", "guaranteed": "expected", "predicted": "predicted", "notRecommended": "not-recommended" } }, "values": { "Human": { "IHCP-species-checked": "testedAndGuaranteed", "IHCP-species-dilution-info": "", "IHCP-species-notes": "<p>The mouse and rat recommendation is based on the WB results. We do not guarantee IHC-P for mouse and rat.</p> Perform heat-mediated antigen retrieval before commencing with IHC staining protocol.", "WB-species-checked": "testedAndGuaranteed", "WB-species-dilution-info": "", "WB-species-notes": "<p></p>" }, "Mouse": { "IHCP-species-checked": "testedAndGuaranteed", "IHCP-species-dilution-info": "", "IHCP-species-notes": "<p>The mouse and rat recommendation is based on the WB results. We do not guarantee IHC-P for mouse and rat.</p> Perform heat-mediated antigen retrieval before commencing with IHC staining protocol.", "WB-species-checked": "testedAndGuaranteed", "WB-species-dilution-info": "", "WB-species-notes": "<p></p>" }, "Rat": { "IHCP-species-checked": "testedAndGuaranteed", "IHCP-species-dilution-info": "", "IHCP-species-notes": "<p>The mouse and rat recommendation is based on the WB results. We do not guarantee IHC-P for mouse and rat.</p> Perform heat-mediated antigen retrieval before commencing with IHC staining protocol.", "WB-species-checked": "testedAndGuaranteed", "WB-species-dilution-info": "", "WB-species-notes": "<p></p>" } } }

Product details

ab222480 is the carrier-free version of ab124687.

Patented technology
Our RabMAb® technology is a patented hybridoma-based technology for making rabbit monoclonal antibodies. For details on our patents, please refer to RabMAb® patents.

What are the advantages of a recombinant monoclonal antibody?
This product is a recombinant monoclonal antibody, which offers several advantages including:

  • - High batch-to-batch consistency and reproducibility
  • - Improved sensitivity and specificity
  • - Long-term security of supply
  • - Animal-free batch production

For more information, read more on recombinant antibodies.

Conjugation ready
Our carrier-free antibodies are typically supplied in a PBS-only formulation, purified and free of BSA, sodium azide and glycerol. This conjugation-ready format is designed for use with fluorochromes, metal isotopes, oligonucleotides, and enzymes, which makes them ideal for antibody labelling, functional and cell-based assays, flow-based assays (e.g. mass cytometry) and Multiplex Imaging applications.

Use our conjugation kits for antibody conjugates that are ready-to-use in as little as 20 minutes with 1 minute hands-on-time and 100% antibody recovery: available for fluorescent dyes, HRP, biotin and gold.

Compatibility
This product is compatible with the Maxpar® Antibody Labeling Kit from Fluidigm, without the need for antibody preparation. Maxpar® is a trademark of Fluidigm Canada Inc.

Properties and storage information

Form
Liquid
Purification technique
Affinity purification Protein A
Storage buffer
pH: 7.2 - 7.4 Constituents: PBS
Shipped at conditions
Blue Ice
Appropriate short-term storage conditions
+4°C
Appropriate long-term storage conditions
+4°C
Storage information
Do Not Freeze

Product protocols

For this product, it's our understanding that no specific protocols are required. You can visit:

Target data

Catalyzes the reversible hydration of carbon dioxide (PubMed : 11327835, PubMed : 11802772, PubMed : 11831900, PubMed : 12056894, PubMed : 12171926, PubMed : 1336460, PubMed : 14736236, PubMed : 15300855, PubMed : 15453828, PubMed : 15667203, PubMed : 15865431, PubMed : 16106378, PubMed : 16214338, PubMed : 16290146, PubMed : 16686544, PubMed : 16759856, PubMed : 16807956, PubMed : 17127057, PubMed : 17251017, PubMed : 17314045, PubMed : 17330962, PubMed : 17346964, PubMed : 17540563, PubMed : 17588751, PubMed : 17705204, PubMed : 18024029, PubMed : 18162396, PubMed : 18266323, PubMed : 18374572, PubMed : 18481843, PubMed : 18618712, PubMed : 18640037, PubMed : 18942852, PubMed : 1909891, PubMed : 1910042, PubMed : 19170619, PubMed : 19186056, PubMed : 19206230, PubMed : 19520834, PubMed : 19778001, PubMed : 7761440, PubMed : 7901850, PubMed : 8218160, PubMed : 8262987, PubMed : 8399159, PubMed : 8451242, PubMed : 8485129, PubMed : 8639494, PubMed : 9265618, PubMed : 9398308). Can also hydrate cyanamide to urea (PubMed : 10550681, PubMed : 11015219). Stimulates the chloride-bicarbonate exchange activity of SLC26A6 (PubMed : 15990874). Essential for bone resorption and osteoclast differentiation (PubMed : 15300855). Involved in the regulation of fluid secretion into the anterior chamber of the eye. Contributes to intracellular pH regulation in the duodenal upper villous epithelium during proton-coupled peptide absorption.
See full target information CA2

Publications (1)

Recent publications for all applications. Explore the full list and refine your search

Scientific reports 6:36016 PubMed27786259

2016

Goblet Cell Hyperplasia Requires High Bicarbonate Transport To Support Mucin Release.

Applications

ICC/IF

Species

Human

Giulia Gorrieri,Paolo Scudieri,Emanuela Caci,Marco Schiavon,Valeria Tomati,Francesco Sirci,Francesco Napolitano,Diego Carrella,Ambra Gianotti,Ilaria Musante,Maria Favia,Valeria Casavola,Lorenzo Guerra,Federico Rea,Roberto Ravazzolo,Diego Di Bernardo,Luis J V Galietta
View all publications

Product promise

We are committed to supporting your work with high-quality reagents, and we're here for you every step of the way. In the unlikely event that one of our products does not perform as expected, you're protected by our Product Promise.
For full details, please see our Terms & Conditions

Please note: All products are 'FOR RESEARCH USE ONLY. NOT FOR USE IN DIAGNOSTIC OR THERAPEUTIC PROCEDURES'.

For licensing inquiries, please contact partnerships@abcam.com