JavaScript is disabled in your browser. Please enable JavaScript to view this website.
AB236315

Anti-Carbonic Anhydrase 4/CA4 antibody

Be the first to review this product! Submit a review

|

(2 Publications)

Rabbit Polyclonal CAH4 antibody. Suitable for IHC-P, ICC/IF and reacts with Human samples. Cited in 2 publications. Immunogen corresponding to Recombinant Fragment Protein within Human CA4 aa 50-200.

View Alternative Names

Carbonic anhydrase 4, Carbonate dehydratase IV, Carbonic anhydrase IV, CA-IV, CA4

2 Images
Immunocytochemistry/ Immunofluorescence - Anti-Carbonic Anhydrase 4/CA4 antibody (AB236315)
  • ICC/IF

Supplier Data

Immunocytochemistry/ Immunofluorescence - Anti-Carbonic Anhydrase 4/CA4 antibody (AB236315)

Immunofluorescence staining of Hela cells with CSB-PA004372LA01HU at 1 : 66, counter-stained with DAPI. The cells were fixed in 4% formaldehyde, permeabilized using 0.2% Triton X-100 and blocked in 10% normal Goat Serum. The cells were then incubated with the antibody overnight at 4°C. The secondary antibody was Alexa Fluor 488-congugated AffiniPure Goat Anti-Rabbit IgG(H+L).

Immunohistochemistry (Formalin/PFA-fixed paraffin-embedded sections) - Anti-Carbonic Anhydrase 4/CA4 antibody (AB236315)
  • IHC-P

Supplier Data

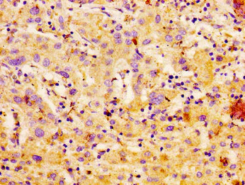
Immunohistochemistry (Formalin/PFA-fixed paraffin-embedded sections) - Anti-Carbonic Anhydrase 4/CA4 antibody (AB236315)

Paraffin-embedded human liver cancer tissue stained for Carbonic Anhydrase 4/CA4 using ab236315 at 1/100 dilution in immunohistochemical analysis.

After dewaxing and hydration, antigen retrieval was mediated by high pressure in a citrate buffer (pH 6.0). Section was blocked with 10% normal goat serum 30 minutes at RT. Then primary antibody (1% BSA) was incubated at 4°C overnight. The primary is detected by a biotinylated secondary antibody and visualized tissue using an HRP conjugated SP system.

Key facts

Host species

Rabbit

Clonality

Polyclonal

Isotype

IgG

Carrier free

No

Reacts with

Human

Applications

IHC-P, ICC/IF

applications

Immunogen

Recombinant Fragment Protein within Human CA4 aa 50-200. The exact immunogen used to generate this antibody is proprietary information.

P22748

Reactivity data

{ "title": "Reactivity Data", "filters": { "stats": ["", "Species", "Dilution Info", "Notes"], "tabs": { "all-applications": {"fullname" : "All Applications", "shortname": "All Applications"}, "IHCP" : {"fullname" : "Immunohistochemistry (Formalin/PFA-fixed paraffin-embedded sections)", "shortname":"IHC-P"}, "ICCIF" : {"fullname" : "Immunocytochemistry/ Immunofluorescence", "shortname":"ICC/IF"} }, "product-promise": { "all": "all", "testedAndGuaranteed": "tested", "guaranteed": "expected", "predicted": "predicted", "notRecommended": "not-recommended" } }, "values": { "Human": { "IHCP-species-checked": "testedAndGuaranteed", "IHCP-species-dilution-info": "1/20 - 1/200", "IHCP-species-notes": "<p></p>", "ICCIF-species-checked": "testedAndGuaranteed", "ICCIF-species-dilution-info": "1/66", "ICCIF-species-notes": "<p></p>" } } }

Properties and storage information

Form
Liquid
Purification technique
Affinity purification Protein G
Purification notes
Purity >95%.
Storage buffer
pH: 7.4 Preservative: 0.03% Proclin 300 Constituents: PBS, 50% Glycerol (glycerin, glycerine)
Shipped at conditions
Blue Ice
Appropriate short-term storage duration
1-2 weeks
Appropriate short-term storage conditions
+4°C
Appropriate long-term storage conditions
-20°C
Aliquoting information
Upon delivery aliquot
Storage information
Avoid freeze / thaw cycle

Product protocols

For this product, it's our understanding that no specific protocols are required. You can visit:

Target data

Catalyzes the reversible hydration of carbon dioxide into bicarbonate and protons and thus is essential to maintaining intracellular and extracellular pH (PubMed : 15563508, PubMed : 16686544, PubMed : 16807956, PubMed : 17127057, PubMed : 17314045, PubMed : 17652713, PubMed : 17705204, PubMed : 18618712, PubMed : 19186056, PubMed : 19206230, PubMed : 7625839). May stimulate the sodium/bicarbonate transporter activity of SLC4A4 that acts in pH homeostasis (PubMed : 15563508). It is essential for acid overload removal from the retina and retina epithelium, and acid release in the choriocapillaris in the choroid (PubMed : 15563508).
See full target information CA4

Publications (2)

Recent publications for all applications. Explore the full list and refine your search

Frontiers in immunology 13:1046121 PubMed36483553

2022

Immune and non-immune cell subtypes identify novel targets for prognostic and therapeutic strategy: A study based on intratumoral heterogenicity analysis of multicenter scRNA-seq datasets in lung adenocarcinoma.

Applications

Unspecified application

Species

Unspecified reactive species

Tianyu Fan,Jian Lu,Delei Niu,Yue Zhang,Bin Wang,Bei Zhang,Zugui Zhang,Xinjiai He,Nan Peng,Biao Li,Huilong Fang,Zheng Gong,Li Zhang

Journal of Cancer 11:6101-6113 PubMed32922550

2020

Carbonic Anhydrase 4 serves as a Clinicopathological Biomarker for Outcomes and Immune Infiltration in Renal Cell Carcinoma, Lower Grade Glioma, Lung Adenocarcinoma and Uveal Melanoma.

Applications

Unspecified application

Species

Unspecified reactive species

Yue Xu,Wen-Hao Xu,Shen-Nan Shi,Xiao-Long Yang,Ya-Ru Ren,Xin-Yu Zhuang,Yuan-Yuan Qu,Hai-Liang Zhang,Xiao-Feng Zhang
View all publications

Product promise

We are committed to supporting your work with high-quality reagents, and we're here for you every step of the way. In the unlikely event that one of our products does not perform as expected, you're protected by our Product Promise.
For full details, please see our Terms & Conditions

Please note: All products are 'FOR RESEARCH USE ONLY. NOT FOR USE IN DIAGNOSTIC OR THERAPEUTIC PROCEDURES'.

For licensing inquiries, please contact partnerships@abcam.com