JavaScript is disabled in your browser. Please enable JavaScript to view this website.
AB210406

Anti-Carbonic Anhydrase 6/CA6 antibody [EPR13954(2)]

Be the first to review this product! Submit a review

|

(1 Publication)

Rabbit Recombinant Monoclonal CAH6 antibody. Suitable for WB, IHC-P and reacts with Human samples. Cited in 1 publication.

View Alternative Names

Carbonic anhydrase 6, Carbonate dehydratase VI, Carbonic anhydrase VI, Salivary carbonic anhydrase, Secreted carbonic anhydrase, CA-VI, CA6

3 Images
Western blot - Anti-Carbonic Anhydrase 6/CA6 antibody [EPR13954(2)] (AB210406)
  • WB

Supplier Data

Western blot - Anti-Carbonic Anhydrase 6/CA6 antibody [EPR13954(2)] (AB210406)

Blocking/Dilution buffer : 5% NFDM/TBST.

All lanes:

Western blot - Anti-Carbonic Anhydrase 6/CA6 antibody [EPR13954(2)] (ab210406) at 1/1000 dilution

Lane 1:

Human parotid gland lysate at 10 µg

Lane 2:

Human fetal kidney tissue lysate at 10 µg

Lane 3:

Human fetal liver tissue lysate at 10 µg

Secondary

All lanes:

Goat Anti-Rabbit IgG Peroxidase Conjugate, specific to the non-reduced form of IgG at 1/10000 dilution

Predicted band size: 35 kDa

Observed band size: 35 kDa

false

Exposure time: 30s

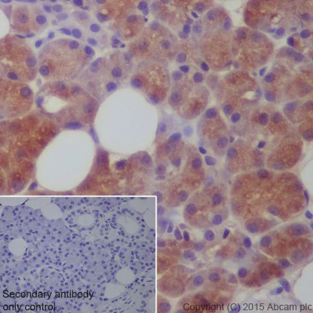
Immunohistochemistry (Formalin/PFA-fixed paraffin-embedded sections) - Anti-Carbonic Anhydrase 6/CA6 antibody [EPR13954(2)] (AB210406)
  • IHC-P

Supplier Data

Immunohistochemistry (Formalin/PFA-fixed paraffin-embedded sections) - Anti-Carbonic Anhydrase 6/CA6 antibody [EPR13954(2)] (AB210406)

Immunohistochemical analysis of paraffin-embedded Human parotid gland tissue labeling Carbonic Anhydrase 6/CA6 with ab210406 at 1/2000 dilution followed by Goat Anti-Rabbit IgG H&L (HRP) (ab97051) at 1/500 dilution.

Cytoplasmic staining on Human parotid gland is observed.

Counter stained with Hematoxylin.

Secondary antibody only control : Used PBS instead of primary antibody secondary antibody is ab97051 at 1/500 dilution.

Perform heat mediated antigen retrieval with Tris/EDTA buffer pH 9.0 before commencing with IHC staining protocol.

Immunohistochemistry (Formalin/PFA-fixed paraffin-embedded sections) - Anti-Carbonic Anhydrase 6/CA6 antibody [EPR13954(2)] (AB210406)
  • IHC-P

Supplier Data

Immunohistochemistry (Formalin/PFA-fixed paraffin-embedded sections) - Anti-Carbonic Anhydrase 6/CA6 antibody [EPR13954(2)] (AB210406)

Immunohistochemical analysis of paraffin-embedded Human kidney tissue labeling Carbonic Anhydrase 6/CA6 with ab210406 at 1/2000 dilution followed by Goat Anti-Rabbit IgG H&L (HRP) (ab97051) at 1/500 dilution.

Negative staining on Human kidney.

Counter stained with Hematoxylin.

Secondary antibody only control : Used PBS instead of primary antibody secondary antibody is ab97051 at 1/500 dilution.

Perform heat mediated antigen retrieval with Tris/EDTA buffer pH 9.0 before commencing with IHC staining protocol.

  • Carrier free

    Anti-Carbonic Anhydrase 6/CA6 antibody [EPR13954(2)] - BSA and Azide free

Key facts

Host species

Rabbit

Clonality

Monoclonal

Clone number

EPR13954(2)

Isotype

IgG

Carrier free

No

Reacts with

Human

Applications

IHC-P, WB

applications

Immunogen

The exact immunogen used to generate this antibody is proprietary information.

Reactivity data

{ "title": "Reactivity Data", "filters": { "stats": ["", "Species", "Dilution Info", "Notes"], "tabs": { "all-applications": {"fullname" : "All Applications", "shortname": "All Applications"}, "WB" : {"fullname" : "Western blot", "shortname":"WB"}, "IHCP" : {"fullname" : "Immunohistochemistry (Formalin/PFA-fixed paraffin-embedded sections)", "shortname":"IHC-P"} }, "product-promise": { "all": "all", "testedAndGuaranteed": "tested", "guaranteed": "expected", "predicted": "predicted", "notRecommended": "not-recommended" } }, "values": { "Human": { "WB-species-checked": "testedAndGuaranteed", "WB-species-dilution-info": "1/1000", "WB-species-notes": "<p></p>", "IHCP-species-checked": "testedAndGuaranteed", "IHCP-species-dilution-info": "1/2000", "IHCP-species-notes": "<p></p> Perform heat-mediated antigen retrieval with Tris/EDTA buffer pH 9.0 before commencing with IHC staining protocol." } } }

Product details

Patented technology
Our RabMAb® technology is a patented hybridoma-based technology for making rabbit monoclonal antibodies. For details on our patents, please refer to RabMAb® patents.

What are the advantages of a recombinant monoclonal antibody?
This product is a recombinant monoclonal antibody, which offers several advantages including:

  • - High batch-to-batch consistency and reproducibility
  • - Improved sensitivity and specificity
  • - Long-term security of supply
  • - Animal-free batch production

For more information, read more on recombinant antibodies.

Properties and storage information

Form
Liquid
Purification technique
Affinity purification Protein A
Storage buffer
pH: 7.2 - 7.4 Preservative: 0.01% Sodium azide Constituents: 59% PBS, 40% Glycerol (glycerin, glycerine), 0.05% BSA
Shipped at conditions
Blue Ice
Appropriate short-term storage duration
1-2 weeks
Appropriate short-term storage conditions
+4°C
Appropriate long-term storage conditions
-20°C
Aliquoting information
Upon delivery aliquot
Storage information
Avoid freeze / thaw cycle

Product protocols

For this product, it's our understanding that no specific protocols are required. You can visit:

Target data

Reversible hydration of carbon dioxide. Its role in saliva is unknown.
See full target information CA6

Publications (1)

Recent publications for all applications. Explore the full list and refine your search

The European journal of neuroscience 59:154-173 PubMed38057955

2023

Changes in neuroinflammatory markers and microglial density in the hippocampus and prefrontal cortex of the C58/J mouse model of autism.

Applications

Unspecified application

Species

Unspecified reactive species

Juan F Duarte-Campos,C Noé Vázquez-Moreno,Mónica Martínez-Marcial,Anahí Chavarría,Ricardo Jair Ramírez-Carreto,Marco A Velasco Velázquez,Marisol De La Fuente-Granada,Aliesha González-Arenas
View all publications

Product promise

We are committed to supporting your work with high-quality reagents, and we're here for you every step of the way. In the unlikely event that one of our products does not perform as expected, you're protected by our Product Promise.
For full details, please see our Terms & Conditions

Please note: All products are 'FOR RESEARCH USE ONLY. NOT FOR USE IN DIAGNOSTIC OR THERAPEUTIC PROCEDURES'.

For licensing inquiries, please contact partnerships@abcam.com