JavaScript is disabled in your browser. Please enable JavaScript to view this website.
AB319156

Anti-Carbonic Anhydrase 8/CA8 antibody [EPR29175-67]

  • BOND RX™ Validated
  • 20ul selling size
  • Recombinant
  • Advanced Validation
  • RabMAb
  • What is this?

Be the first to review this product! Submit a review

|

(0 Publication)

Rabbit Recombinant Monoclonal CAH8 antibody. Suitable for Dot, IHC-P, WB, mIHC and reacts with Synthetic peptide, Human, Mouse, Rat samples.

View Alternative Names

CALS, CA8, Carbonic anhydrase-related protein, CARP, Carbonic anhydrase VIII, CA-VIII

15 Images
Immunohistochemistry (Formalin/PFA-fixed paraffin-embedded sections) - Anti-Carbonic Anhydrase 8/CA8 antibody [EPR29175-67] (AB319156)
  • IHC-P

Supplier Data

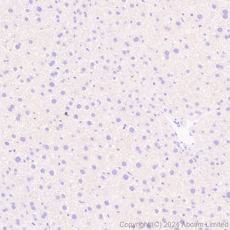
Immunohistochemistry (Formalin/PFA-fixed paraffin-embedded sections) - Anti-Carbonic Anhydrase 8/CA8 antibody [EPR29175-67] (AB319156)

Immunohistochemical analysis of paraffin-embedded Human liver tissue labeling Carbonic Anhydrase 8/CA8 with ab319156 at 1/2000 (0.25 ug/ml) dilution, followed by a ready to use LeicaDS9800 (Bond™ Polymer Refine Detection).

Negative control : no staining on human liver. The section was incubated with ab319156 for 30 mins at room temperature.
The immunostaining was performed on a Leica Biosystems Bond™ RX instrument

Counterstained with Hematoxylin.

Secondary antibody only control : Secondary antibody is a ready to use LeicaDS9800 (Bond™ Polymer Refine Detection).

Heat mediated antigen retrieval was performed with Tris-EDTA buffer (pH 9.0, Epitope Retrieval Solution2) for 20 mins

Immunohistochemistry (Formalin/PFA-fixed paraffin-embedded sections) - Anti-Carbonic Anhydrase 8/CA8 antibody [EPR29175-67] (AB319156)
  • IHC-P

Supplier Data

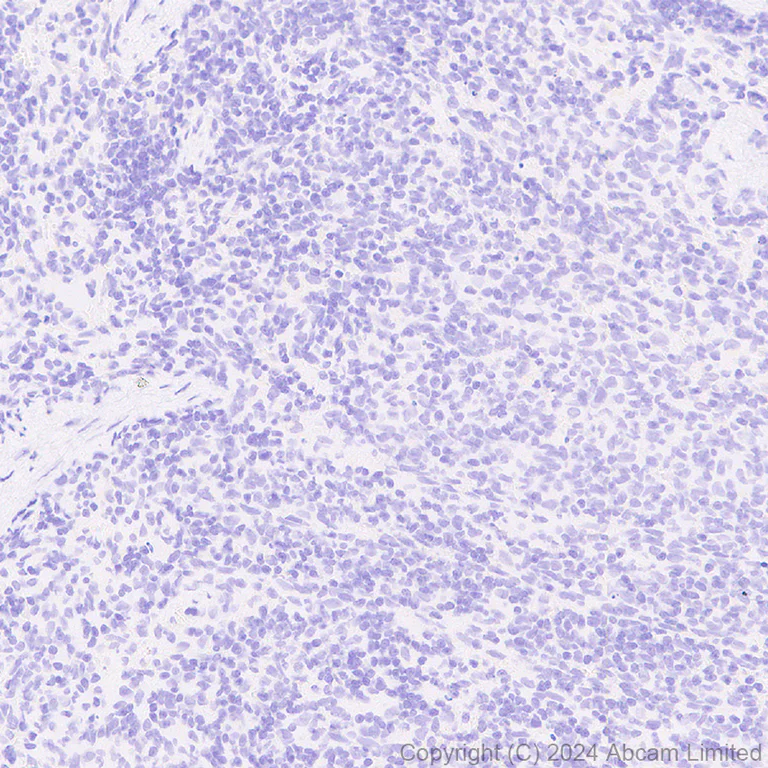
Immunohistochemistry (Formalin/PFA-fixed paraffin-embedded sections) - Anti-Carbonic Anhydrase 8/CA8 antibody [EPR29175-67] (AB319156)

Immunohistochemical analysis of paraffin-embedded Human spleen tissue labeling Carbonic Anhydrase 8/CA8 with ab319156 at 1/2000 (0.25 ug/ml) dilution, followed by a ready to use LeicaDS9800 (Bond™ Polymer Refine Detection).

Negative control : no staining on human spleen. The section was incubated with ab319156 for 30 mins at room temperature.
The immunostaining was performed on a Leica Biosystems Bond™ RX instrument

Counterstained with Hematoxylin.

Secondary antibody only control : Secondary antibody is a ready to use LeicaDS9800 (Bond™ Polymer Refine Detection).

Heat mediated antigen retrieval was performed with Tris-EDTA buffer (pH 9.0, Epitope Retrieval Solution2) for 20 mins

Immunohistochemistry (Formalin/PFA-fixed paraffin-embedded sections) - Anti-Carbonic Anhydrase 8/CA8 antibody [EPR29175-67] (AB319156)
  • IHC-P

Supplier Data

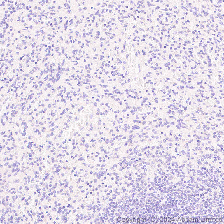
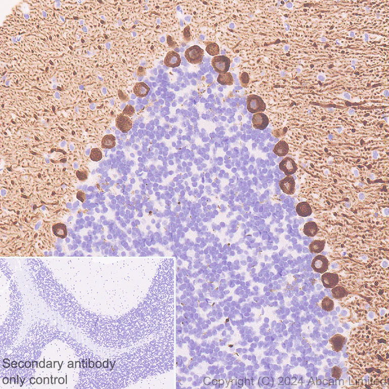
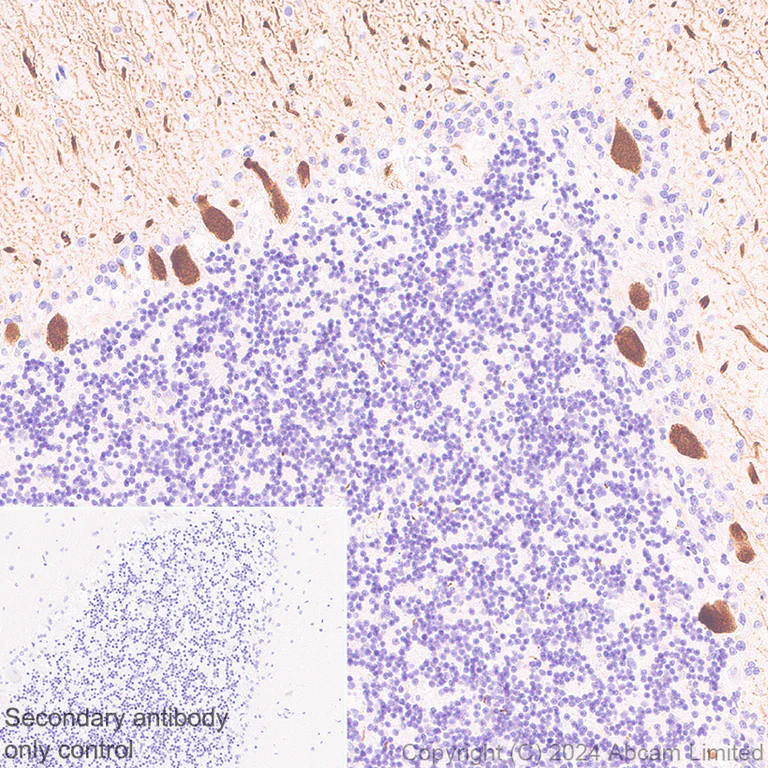
Immunohistochemistry (Formalin/PFA-fixed paraffin-embedded sections) - Anti-Carbonic Anhydrase 8/CA8 antibody [EPR29175-67] (AB319156)

Immunohistochemical analysis of paraffin-embedded Human cerebellum tissue labeling Carbonic Anhydrase 8/CA8 with ab319156 at 1/2000 (0.25 ug/ml) dilution, followed by a ready to use LeicaDS9800 (Bond™ Polymer Refine Detection).

Positive staining on human cerebellum. The section was incubated with ab319156 for 30 mins at room temperature.
The immunostaining was performed on a Leica Biosystems Bond™ RX instrument

Counterstained with Hematoxylin.

Secondary antibody only control : Secondary antibody is a ready to use LeicaDS9800 (Bond™ Polymer Refine Detection).

Heat mediated antigen retrieval was performed with Tris-EDTA buffer (pH 9.0, Epitope Retrieval Solution2) for 20 mins

Immunohistochemistry (Formalin/PFA-fixed paraffin-embedded sections) - Anti-Carbonic Anhydrase 8/CA8 antibody [EPR29175-67] (AB319156)
  • IHC-P

Supplier Data

Immunohistochemistry (Formalin/PFA-fixed paraffin-embedded sections) - Anti-Carbonic Anhydrase 8/CA8 antibody [EPR29175-67] (AB319156)

Immunohistochemical analysis of paraffin-embedded Rat spleen tissue labeling Carbonic Anhydrase 8/CA8 with ab319156 at 1/5000 (0.1 ug/ml) dilution, followed by a ready to use LeicaDS9800 (Bond™ Polymer Refine Detection).

Negative control : no staining on rat spleen. The section was incubated with ab319156 for 30 mins at room temperature.
The immunostaining was performed on a Leica Biosystems Bond™ RX instrument. Incubate slides with 3% Hydrogen Peroxide for 10 mins at room temperature after secondary antibody incubation to reduce the background

Counterstained with Hematoxylin.

Secondary antibody only control : Secondary antibody is a ready to use LeicaDS9800 (Bond™ Polymer Refine Detection).

Heat mediated antigen retrieval was performed with Tris-EDTA buffer (pH 9.0, Epitope Retrieval Solution2) for 20 mins

Multiplex immunohistochemistry - Anti-Carbonic Anhydrase 8/CA8 antibody [EPR29175-67] (AB319156)
  • mIHC

Supplier Data

Multiplex immunohistochemistry - Anti-Carbonic Anhydrase 8/CA8 antibody [EPR29175-67] (AB319156)

Multiplex immunohistochemistry analysis of formalin/PFA-fixed paraffin-embedded rat cerebellum tissue staining Carbonic Anhydrase 8/CA8 with ab319156 at a 1 : 10000 (0.05 ug/ml) dilution, ab313624 anti-KCNA2 used at 1 : 4000 (0.124 ug/ml) dilution and ab307710 anti-KCND2 used at a 1 : 2000 (0.266 ug/ml) dilution.

Panel A : merged staining of anti-CA8 (magenta; Opal™690), anti-KCNA2 (green; Opal™520) and anti-KCND2 (gray; Opal™570) on rat cerebellum.
Panel B : anti-CA8 staining the Purkinje cells in rat cerebellum.
Panel C : anti-KCNA2 staining the basket cells in rat cerebellum.
Panel D : anti-KCND2 staining the granule cell layer in rat cerebellum.
Nuclear DNA was labeled with DAPI (shown in blue).

The section was incubated in three rounds of staining : in the order of ab319156, ab313624 and ab307710 for 30 mins at room temperature. Each round was followed by a separate fluorescent tyramide signal amplification system.

The immunostaining was performed on a Leica Biosystems BOND® RX instrument with an Opal™ 4-color kit. Image acquisition was performed with Leica SP8 confocal microscope.

Nuclear counter stain with DAPI.

Heat mediated antigen retrieval with Tris-EDTA buffer (pH 9.0, epitope retrieval solution2) for 20 mins.

Immunohistochemistry (Formalin/PFA-fixed paraffin-embedded sections) - Anti-Carbonic Anhydrase 8/CA8 antibody [EPR29175-67] (AB319156)
  • IHC-P

Supplier Data

Immunohistochemistry (Formalin/PFA-fixed paraffin-embedded sections) - Anti-Carbonic Anhydrase 8/CA8 antibody [EPR29175-67] (AB319156)

Immunohistochemical analysis of paraffin-embedded Mouse spleen tissue labeling Carbonic Anhydrase 8/CA8 with ab319156 at 1/5000 (0.1 ug/ml) dilution, followed by a ready to use LeicaDS9800 (Bond™ Polymer Refine Detection).

Negative control : no staining on mouse spleen. The section was incubated with ab319156 for 30 mins at room temperature.
The immunostaining was performed on a Leica Biosystems Bond™ RX instrument. Incubate slides with 3% Hydrogen Peroxide for 10 mins at room temperature after secondary antibody incubation to reduce the background

Counterstained with Hematoxylin.

Secondary antibody only control : Secondary antibody is a ready to use LeicaDS9800 (Bond™ Polymer Refine Detection).

Heat mediated antigen retrieval was performed with Tris-EDTA buffer (pH 9.0, Epitope Retrieval Solution2) for 20 mins

Immunohistochemistry (Formalin/PFA-fixed paraffin-embedded sections) - Anti-Carbonic Anhydrase 8/CA8 antibody [EPR29175-67] (AB319156)
  • IHC-P

Supplier Data

Immunohistochemistry (Formalin/PFA-fixed paraffin-embedded sections) - Anti-Carbonic Anhydrase 8/CA8 antibody [EPR29175-67] (AB319156)

Immunohistochemical analysis of paraffin-embedded Mouse liver tissue labeling Carbonic Anhydrase 8/CA8 with ab319156 at 1/5000 (0.1 ug/ml) dilution, followed by a ready to use LeicaDS9800 (Bond™ Polymer Refine Detection).

Negative control : no staining on mouse liver. The section was incubated with ab319156 for 30 mins at room temperature.
The immunostaining was performed on a Leica Biosystems Bond™ RX instrument. Incubate slides with 3% Hydrogen Peroxide for 10 mins at room temperature after secondary antibody incubation to reduce the background

Counterstained with Hematoxylin.

Secondary antibody only control : Secondary antibody is a ready to use LeicaDS9800 (Bond™ Polymer Refine Detection).

Heat mediated antigen retrieval was performed with Tris-EDTA buffer (pH 9.0, Epitope Retrieval Solution2) for 20 mins

Immunohistochemistry (Formalin/PFA-fixed paraffin-embedded sections) - Anti-Carbonic Anhydrase 8/CA8 antibody [EPR29175-67] (AB319156)
  • IHC-P

Supplier Data

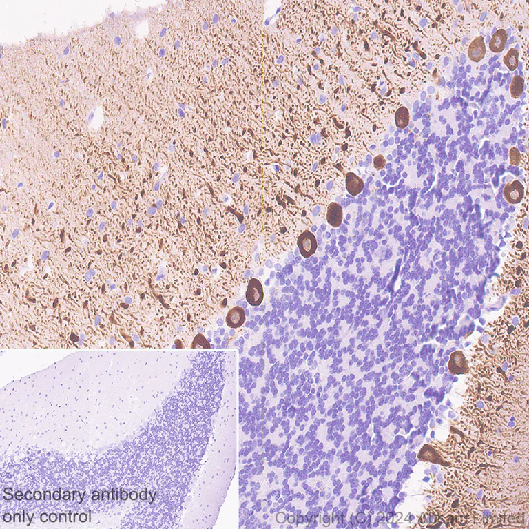
Immunohistochemistry (Formalin/PFA-fixed paraffin-embedded sections) - Anti-Carbonic Anhydrase 8/CA8 antibody [EPR29175-67] (AB319156)

Immunohistochemical analysis of paraffin-embedded Mouse cerebellum tissue labeling Carbonic Anhydrase 8/CA8 with ab319156 at 1/5000 (0.1 ug/ml) dilution, followed by a ready to use LeicaDS9800 (Bond™ Polymer Refine Detection).

Positive staining on mouse cerebellum (PMID : 26777474). The section was incubated with ab319156 for 30 mins at room temperature.
The immunostaining was performed on a Leica Biosystems Bond™ RX instrument. Incubate slides with 3% Hydrogen Peroxide for 10 mins at room temperature after secondary antibody incubation to reduce the background

Counterstained with Hematoxylin.

Secondary antibody only control : Secondary antibody is a ready to use LeicaDS9800 (Bond™ Polymer Refine Detection).

Heat mediated antigen retrieval was performed with Tris-EDTA buffer (pH 9.0, Epitope Retrieval Solution2) for 20 mins

Immunohistochemistry (Formalin/PFA-fixed paraffin-embedded sections) - Anti-Carbonic Anhydrase 8/CA8 antibody [EPR29175-67] (AB319156)
  • IHC-P

Supplier Data

Immunohistochemistry (Formalin/PFA-fixed paraffin-embedded sections) - Anti-Carbonic Anhydrase 8/CA8 antibody [EPR29175-67] (AB319156)

Immunohistochemical analysis of paraffin-embedded Rat cerebellum tissue labeling Carbonic Anhydrase 8/CA8 with ab319156 at 1/5000 (0.1 ug/ml) dilution, followed by a ready to use LeicaDS9800 (Bond™ Polymer Refine Detection).

Positive staining on rat cerebellum. The section was incubated with ab319156 for 30 mins at room temperature.
The immunostaining was performed on a Leica Biosystems Bond™ RX instrument. Incubate slides with 3% Hydrogen Peroxide for 10 mins at room temperature after secondary antibody incubation to reduce the background

Counterstained with Hematoxylin.

Secondary antibody only control : Secondary antibody is a ready to use LeicaDS9800 (Bond™ Polymer Refine Detection).

Heat mediated antigen retrieval was performed with Tris-EDTA buffer (pH 9.0, Epitope Retrieval Solution2) for 20 mins

Multiplex immunohistochemistry - Anti-Carbonic Anhydrase 8/CA8 antibody [EPR29175-67] (AB319156)
  • mIHC

Supplier Data

Multiplex immunohistochemistry - Anti-Carbonic Anhydrase 8/CA8 antibody [EPR29175-67] (AB319156)

Multiplex immunohistochemistry analysis of formalin/PFA-fixed paraffin-embedded mouse cerebellum tissue staining Carbonic Anhydrase 8/CA8 with ab319156 at a 1 : 10000 (0.05 ug/ml) dilution, ab313624 anti-KCNA2 used at 1 : 4000 (0.124 ug/ml) dilution and ab307710 anti-KCND2 used at a 1 : 2000 (0.266 ug/ml) dilution.

Panel A : merged staining of anti-CA8 (magenta; Opal™690), anti-KCNA2 (green; Opal™520) and anti-KCND2 (gray; Opal™570) on mouse cerebellum.
Panel B : anti-CA8 staining the Purkinje cells in mouse cerebellum.
Panel C : anti-KCNA2 staining the basket cells in mouse cerebellum.
Panel D : anti-KCND2 staining the granule cell layer in mouse cerebellum.
Nuclear DNA was labeled with DAPI (shown in blue).

The section was incubated in three rounds of staining : in the order of ab319156, ab313624 and ab307710 for 30 mins at room temperature. Each round was followed by a separate fluorescent tyramide signal amplification system.

The immunostaining was performed on a Leica Biosystems BOND® RX instrument with an Opal™ 4-color kit. Image acquisition was performed with Leica SP8 confocal microscope.

Nuclear counter stain with DAPI.

Heat mediated antigen retrieval with Tris-EDTA buffer (pH 9.0, epitope retrieval solution2) for 20 mins.

Immunohistochemistry (Formalin/PFA-fixed paraffin-embedded sections) - Anti-Carbonic Anhydrase 8/CA8 antibody [EPR29175-67] (AB319156)
  • IHC-P

Supplier Data

Immunohistochemistry (Formalin/PFA-fixed paraffin-embedded sections) - Anti-Carbonic Anhydrase 8/CA8 antibody [EPR29175-67] (AB319156)

Immunohistochemical analysis of paraffin-embedded Rat liver tissue labeling Carbonic Anhydrase 8/CA8 with ab319156 at 1/5000 (0.1 ug/ml) dilution, followed by a ready to use LeicaDS9800 (Bond™ Polymer Refine Detection).

Negative control : no staining on rat liver. The section was incubated with ab319156 for 30 mins at room temperature.
The immunostaining was performed on a Leica Biosystems Bond™ RX instrument. Incubate slides with 3% Hydrogen Peroxide for 10 mins at room temperature after secondary antibody incubation to reduce the background

Counterstained with Hematoxylin.

Secondary antibody only control : Secondary antibody is a ready to use LeicaDS9800 (Bond™ Polymer Refine Detection).

Heat mediated antigen retrieval was performed with Tris-EDTA buffer (pH 9.0, Epitope Retrieval Solution2) for 20 mins

Western blot - Anti-Carbonic Anhydrase 8/CA8 antibody [EPR29175-67] (AB319156)
  • WB

Supplier Data

Western blot - Anti-Carbonic Anhydrase 8/CA8 antibody [EPR29175-67] (AB319156)

Blocking and diluting buffer and concentration : 5% NFDM/TBST.

Low expression : lung, liver, spleen.

In Western blot, Anti-GAPDH antibody [EPR16891] - Loading Control (ab181602) staining at 1/200000 dilution.

All lanes:

Western blot - Anti-Carbonic Anhydrase 8/CA8 antibody [EPR29175-67] (ab319156) at 1/1000 dilution

Lane 1:

Human cerebellum tissue lysate at 20 µg

Lane 2:

Human lung tissue lysate at 20 µg

Lane 3:

Human liver tissue lysate at 20 µg

Lane 4:

Human spleen tissue lysate at 20 µg

Secondary

All lanes:

Goat Anti-Rabbit IgG (HRP) with minimal cross-reactivity with human IgG at 1/2000 dilution

Observed band size: 33 kDa,36 kDa

false

Exposure time: 3s

Western blot - Anti-Carbonic Anhydrase 8/CA8 antibody [EPR29175-67] (AB319156)
  • WB

Supplier Data

Western blot - Anti-Carbonic Anhydrase 8/CA8 antibody [EPR29175-67] (AB319156)

Blocking and diluting buffer and concentration : 5% NFDM/TBST.

Low expression : SK-N-SH (PMID : 35488942).

The identity of the bands higher than 37 kDa are unknown.

In Western blot, Anti-GAPDH antibody [EPR16891] - Loading Control (ab181602) staining at 1/200000 dilution.

All lanes:

Western blot - Anti-Carbonic Anhydrase 8/CA8 antibody [EPR29175-67] (ab319156) at 1/1000 dilution

Lane 1:

HEK-293 (human embryonic kidney epithelial cell) whole cell lysate at 20 µg

Lane 2:

SK-N-SH (human neuroblastoma epithelial cell) whole cell lysate at 20 µg

Lane 3:

Jurkat (human t cell leukemia t lymphocyte from peripheral blood) whole cell lysate at 20 µg

Lane 4:

K-562 (human chronic myelogenous leukemia lymphoblast) whole cell lysate at 20 µg

Secondary

All lanes:

Western blot - Goat Anti-Rabbit IgG H&L (HRP) (<a href='/en-us/products/secondary-antibodies/goat-rabbit-igg-h-l-hrp-ab97051'>ab97051</a>) at 1/20000 dilution

Observed band size: 33 kDa,36 kDa

false

Exposure time: 26s

Western blot - Anti-Carbonic Anhydrase 8/CA8 antibody [EPR29175-67] (AB319156)
  • WB

Supplier Data

Western blot - Anti-Carbonic Anhydrase 8/CA8 antibody [EPR29175-67] (AB319156)

Blocking and diluting buffer and concentration : 5% NFDM/TBST.

Low expression : Neuro-2a (PMID : 32583043), testis, lung, liver.

The identity of the bands higher than 37 kDa are unknown.

In Western blot, Anti-GAPDH antibody [EPR16891] - Loading Control (ab181602) staining at 1/200000 dilution.

Exposure time : Lanes 1-2 : 125 seconds; Lanes 3-7 : 3 seconds.

All lanes:

Western blot - Anti-Carbonic Anhydrase 8/CA8 antibody [EPR29175-67] (ab319156) at 1/1000 dilution

Lane 1:

HEK-293 (human embryonic kidney epithelial cell) whole cell lysate at 20 µg

Lane 2:

Neuro-2a (mouse neuroblastoma neuroblast) whole cell lysate at 20 µg

Lane 3:

Mouse brain tissue lysate at 20 µg

Lane 4:

Mouse cerebellum tissue lysate at 20 µg

Lane 5:

Mouse testis tissue lysate at 20 µg

Lane 6:

Mouse lung tissue lysate at 20 µg

Lane 7:

Mouse liver tissue lysate at 20 µg

Secondary

All lanes:

Western blot - Goat Anti-Rabbit IgG H&L (HRP) (<a href='/en-us/products/secondary-antibodies/goat-rabbit-igg-h-l-hrp-ab97051'>ab97051</a>) at 1/20000 dilution

Observed band size: 33 kDa,36 kDa

false

Dot Blot - Anti-Carbonic Anhydrase 8/CA8 antibody [EPR29175-67] (AB319156)
  • Dot

Lab

Dot Blot - Anti-Carbonic Anhydrase 8/CA8 antibody [EPR29175-67] (AB319156)

This antibody does not cross-react with human CA1 (#P00915) peptide or CA2 (#P00918) peptide by dot blot.

All lanes:

Dot Blot - Anti-Carbonic Anhydrase 8/CA8 antibody [EPR29175-67] (ab319156) at 1/1000 dilution

Lane 1:

CA8 peptide

Lane 2:

CA1 peptide

Lane 3:

CA2 peptide

Secondary

All lanes:

Dot Blot - Goat Anti-Rabbit IgG H&L (HRP) (<a href='/en-us/products/secondary-antibodies/goat-rabbit-igg-h-l-hrp-ab97051'>ab97051</a>) at 1/100000 dilution

false

Exposure time: 180s

  • Carrier free

    Anti-Carbonic Anhydrase 8/CA8 antibody [EPR29175-67] - BSA and Azide free

  • 519 Alexa Fluor® 488

    Alexa Fluor® 488 Anti-Carbonic Anhydrase 8/CA8 antibody [EPR29175-67]

Key facts

Host species

Rabbit

Clonality

Monoclonal

Clone number

EPR29175-67

Isotype

IgG

Carrier free

No

Reacts with

Human, Mouse, Rat

Applications

WB, IHC-P, Dot, mIHC

applications

Immunogen

The exact immunogen used to generate this antibody is proprietary information.

Reactivity data

{ "title": "Reactivity Data", "filters": { "stats": ["", "Species", "Dilution Info", "Notes"], "tabs": { "all-applications": {"fullname" : "All Applications", "shortname": "All Applications"}, "Dot" : {"fullname" : "Dot Blot", "shortname":"Dot"}, "IHCP" : {"fullname" : "Immunohistochemistry (Formalin/PFA-fixed paraffin-embedded sections)", "shortname":"IHC-P"}, "WB" : {"fullname" : "Western blot", "shortname":"WB"}, "mIHC" : {"fullname" : "Multiplex immunohistochemistry", "shortname":"mIHC"} }, "product-promise": { "all": "all", "testedAndGuaranteed": "tested", "guaranteed": "expected", "predicted": "predicted", "notRecommended": "not-recommended" } }, "values": { "Human": { "Dot-species-checked": "guaranteed", "Dot-species-dilution-info": "", "Dot-species-notes": "", "IHCP-species-checked": "testedAndGuaranteed", "IHCP-species-dilution-info": "1/2000", "IHCP-species-notes": "<p></p> Perform heat-mediated antigen retrieval with Tris/EDTA buffer pH 9.0 before commencing with IHC staining protocol.", "WB-species-checked": "testedAndGuaranteed", "WB-species-dilution-info": "1/1000", "WB-species-notes": "<p></p>", "mIHC-species-checked": "guaranteed", "mIHC-species-dilution-info": "", "mIHC-species-notes": "" }, "Mouse": { "Dot-species-checked": "guaranteed", "Dot-species-dilution-info": "", "Dot-species-notes": "", "IHCP-species-checked": "testedAndGuaranteed", "IHCP-species-dilution-info": "1/5000", "IHCP-species-notes": "<p></p> Perform heat-mediated antigen retrieval with Tris/EDTA buffer pH 9.0 before commencing with IHC staining protocol.", "WB-species-checked": "testedAndGuaranteed", "WB-species-dilution-info": "1/1000", "WB-species-notes": "<p></p>", "mIHC-species-checked": "testedAndGuaranteed", "mIHC-species-dilution-info": "1/10000", "mIHC-species-notes": "<p></p> Perform heat-mediated antigen retrieval with Tris/EDTA buffer pH 9.0 before commencing with IHC staining protocol." }, "Rat": { "Dot-species-checked": "guaranteed", "Dot-species-dilution-info": "", "Dot-species-notes": "", "IHCP-species-checked": "testedAndGuaranteed", "IHCP-species-dilution-info": "1/5000", "IHCP-species-notes": "<p></p> Perform heat-mediated antigen retrieval with Tris/EDTA buffer pH 9.0 before commencing with IHC staining protocol.", "WB-species-checked": "guaranteed", "WB-species-dilution-info": "", "WB-species-notes": "", "mIHC-species-checked": "testedAndGuaranteed", "mIHC-species-dilution-info": "1/10000", "mIHC-species-notes": "<p></p> Perform heat-mediated antigen retrieval with Tris/EDTA buffer pH 9.0 before commencing with IHC staining protocol." }, "Synthetic peptide": { "Dot-species-checked": "testedAndGuaranteed", "Dot-species-dilution-info": "", "Dot-species-notes": "<p></p>", "IHCP-species-checked": "notRecommended", "IHCP-species-dilution-info": "", "IHCP-species-notes": "", "WB-species-checked": "notRecommended", "WB-species-dilution-info": "", "WB-species-notes": "", "mIHC-species-checked": "notRecommended", "mIHC-species-dilution-info": "", "mIHC-species-notes": "" } } }

Product details

Patented technology
Our RabMAb® technology is a patented hybridoma-based technology for making rabbit monoclonal antibodies. For details on our patents, please refer to RabMAb® patents.

What are the advantages of a recombinant monoclonal antibody?
This product is a recombinant monoclonal antibody, which offers several advantages including:

  • - High batch-to-batch consistency and reproducibility
  • - Improved sensitivity and specificity
  • - Long-term security of supply
  • - Animal-free batch production

For more information, read more on recombinant antibodies.

Properties and storage information

Form
Liquid
Purification technique
Affinity purification Protein A
Storage buffer
pH: 7.2 - 7.4 Preservative: 0.01% Sodium azide Constituents: PBS, 40% Glycerol (glycerin, glycerine), 0.05% BSA
Shipped at conditions
Blue Ice
Appropriate short-term storage duration
1-2 weeks
Appropriate short-term storage conditions
+4°C
Appropriate long-term storage conditions
-20°C
Aliquoting information
Upon delivery aliquot
Storage information
Avoid freeze / thaw cycle

Product protocols

For this product, it's our understanding that no specific protocols are required. You can visit:

Target data

Does not have a carbonic anhydrase catalytic activity.
See full target information CA8

Product promise

We are committed to supporting your work with high-quality reagents, and we're here for you every step of the way. In the unlikely event that one of our products does not perform as expected, you're protected by our Product Promise.
For full details, please see our Terms & Conditions

Please note: All products are 'FOR RESEARCH USE ONLY. NOT FOR USE IN DIAGNOSTIC OR THERAPEUTIC PROCEDURES'.

For licensing inquiries, please contact partnerships@abcam.com