JavaScript is disabled in your browser. Please enable JavaScript to view this website.
AB180539

Anti-Carbonic Anhydrase 9/CA9 antibody [EPR4151(2)] - BSA and Azide free

  • BOND RX™ Validated
  • RabMAb
  • Recombinant
  • KO Validated
  • What is this?

4

(1 Review)

|

(1 Publication)

Knockout Tested Rabbit Recombinant Monoclonal Carbonic Anhydrase 9 antibody. Carrier free. Suitable for IHC-P, WB and reacts with Human samples. Cited in 1 publication.

View Alternative Names

G250, MN, CA9, Carbonic anhydrase 9, Carbonate dehydratase IX, Carbonic anhydrase IX, Membrane antigen MN, P54/58N, Renal cell carcinoma-associated antigen G250, pMW1, CA-IX, CAIX, RCC-associated antigen G250

4 Images
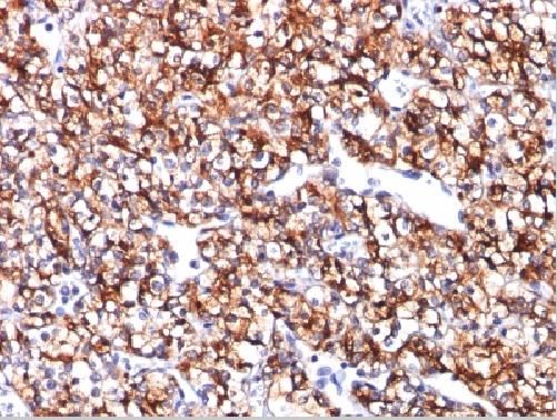
Immunohistochemistry (Formalin/PFA-fixed paraffin-embedded sections) - Anti-Carbonic Anhydrase 9/CA9 antibody [EPR4151(2)] - BSA and Azide free (AB180539)
  • IHC-P

Lab

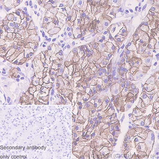
Immunohistochemistry (Formalin/PFA-fixed paraffin-embedded sections) - Anti-Carbonic Anhydrase 9/CA9 antibody [EPR4151(2)] - BSA and Azide free (AB180539)

This data was developed using ab180539, the same antibody clone in a different buffer formulation.
Immunohistochemistry (Formalin/PFA-fixed paraffin-embedded sections) analysis of human stomach tissue sections labeling Carbonic Anhydrase 9/CA9 with Purified ab180539 at 1 : 150 dilution (0.89 μg/ml). Heat mediated antigen retrieval using Bond™ Epitope Retrieval Solution 2 (pH 9.0). Rabbit specific IHC polymer detection kit HRP/DAB (ab209101) was used as the secondary antibody. Negative control : PBS instead of the primary antibody. Hematoxylin was used as a counterstain. The immunostaining was performed on a Leica Biosystems BOND® RX instrument.

Western blot - Anti-Carbonic Anhydrase 9/CA9 antibody [EPR4151(2)] - BSA and Azide free (AB180539)
  • WB

Lab

Western blot - Anti-Carbonic Anhydrase 9/CA9 antibody [EPR4151(2)] - BSA and Azide free (AB180539)

This data was developed using the same antibody clone in a different buffer formulation (ab108351).

Western blot : Anti-CA9 antibody [EPR4151(2)] (ab108351) staining at 1/200 dilution, shown in green; Mouse anti-GAPDH antibody [6C5] (ab8245) loading control staining at 1/20000 dilution, shown in magenta. In Western blot, ab108351 was shown to bind specifically to CA9. A band was observed at 50 kDa in wild-type HCT 116 cell lysates with no signal observed at this size in CA9 knockout cell line. To generate this image, wild-type and CA9 knockout HCT 116 cell lysates were analysed. First, samples were run on an SDS-PAGE gel then transferred onto a nitrocellulose membrane. Membranes were blocked in 3 % milk in TBS-0.1 % Tween® 20 (TBS-T) before incubation with primary antibodies overnight at 4 °C. Blots were washed four times in TBS-T, incubated with secondary antibodies for 1 h at room temperature, washed again four times then imaged. Secondary antibodies used were Goat anti-Rabbit IgG H&L 800CW and Goat anti-Mouse IgG H&L 680RD at 1/20000 dilution.

All lanes:

Western blot - Anti-Carbonic Anhydrase 9/CA9 antibody [EPR4151(2)] (<a href='/en-us/products/primary-antibodies/carbonic-anhydrase-9-ca9-antibody-epr41512-ab108351'>ab108351</a>) at 1/200 dilution

Lane 1:

Wild-type HCT 116 cell lysate at 20 µg

Lane 2:

CA9 knockout HCT 116 cell lysate at 20 µg

Lane 3:

MCF7 cell lysate at 20 µg

Lane 4:

HT-29 cell lysate at 20 µg

Lane 5:

Jurkat cell lysate at 20 µg

Secondary

All lanes:

Goat anti-Rabbit IgG H&L 800CW and Goat anti-Mouse IgG H&L 680RD at 1/20000 dilution

Observed band size: 50 kDa

false

Western blot - Anti-Carbonic Anhydrase 9/CA9 antibody [EPR4151(2)] - BSA and Azide free (AB180539)
  • WB

Unknown

Western blot - Anti-Carbonic Anhydrase 9/CA9 antibody [EPR4151(2)] - BSA and Azide free (AB180539)

This data was developed using ab108351, the same antibody clone in a different buffer formulation.

The molecular weight observed is consistent with what has been described in the literature (PMID : 12966427, 30734594 and 15951534).

Blocking Buffer and concentration : 5% NFDM/TBST

All lanes:

Western blot - Anti-Carbonic Anhydrase 9/CA9 antibody [EPR4151(2)] (<a href='/en-us/products/primary-antibodies/carbonic-anhydrase-9-ca9-antibody-epr41512-ab108351'>ab108351</a>) at 1/10000 dilution

All lanes:

Human stomach lysate at 20 µg

Secondary

All lanes:

Goat Anti-Rabbit IgG (HRP) with minimal cross-reactivity with human IgG at 1/2000 dilution

Predicted band size: 49 kDa

Observed band size: 54 kDa,58 kDa

false

Western blot - Anti-Carbonic Anhydrase 9/CA9 antibody [EPR4151(2)] - BSA and Azide free (AB180539)
  • WB

Unknown

Western blot - Anti-Carbonic Anhydrase 9/CA9 antibody [EPR4151(2)] - BSA and Azide free (AB180539)

This data was developed using ab108351, the same antibody clone in a different buffer formulation.

The molecular weight observed is consistent with what has been described in the literature (PMID : 12966427, 30734594 and 15951534).

Blocking Buffer and concentration : 5% NFDM/TBST

All lanes:

Western blot - Anti-Carbonic Anhydrase 9/CA9 antibody [EPR4151(2)] (<a href='/en-us/products/primary-antibodies/carbonic-anhydrase-9-ca9-antibody-epr41512-ab108351'>ab108351</a>) at 1/10000 dilution

All lanes:

HT-29 (Human colorectal adenocarcinoma epithelial cell) whole cell lysate at 20 µg

Secondary

All lanes:

Western blot - Goat Anti-Rabbit IgG H&L (HRP) (<a href='/en-us/products/secondary-antibodies/goat-rabbit-igg-h-l-hrp-ab97051'>ab97051</a>) at 1/20000 dilution

Predicted band size: 49 kDa

Observed band size: 54 kDa,58 kDa

false

  • 603 Alexa Fluor® 568

    Alexa Fluor® 568 Anti-Carbonic Anhydrase 9/CA9 antibody [EPR4151(2)]

  • Unconjugated

    Anti-Carbonic Anhydrase 9/CA9 antibody [EPR4151(2)]

  • 775 Alexa Fluor® 750

    Alexa Fluor® 750 Anti-Carbonic Anhydrase 9/CA9 antibody [EPR4151(2)]

  • 665 Alexa Fluor® 647

    Alexa Fluor® 647 Anti-Carbonic Anhydrase 9/CA9 antibody [EPR4151(2)]

  • 519 Alexa Fluor® 488

    Alexa Fluor® 488 Anti-Carbonic Anhydrase 9/CA9 antibody [EPR4151(2)]

  • 565 Alexa Fluor® 555

    Alexa Fluor® 555 Anti-Carbonic Anhydrase IX antibody [EPR4151(2)]

  • 617 Alexa Fluor® 594

    Alexa Fluor® 594 Anti-Carbonic Anhydrase IX antibody [EPR4151(2)]

Key facts

Host species

Rabbit

Clonality

Monoclonal

Clone number

EPR4151(2)

Isotype

IgG

Carrier free

Yes

Reacts with

Human

Applications

IHC-P, WB

applications

Immunogen

The exact immunogen used to generate this antibody is proprietary information.

Reactivity data

{ "title": "Reactivity Data", "filters": { "stats": ["", "Species", "Dilution Info", "Notes"], "tabs": { "all-applications": {"fullname" : "All Applications", "shortname": "All Applications"}, "IHCP" : {"fullname" : "Immunohistochemistry (Formalin/PFA-fixed paraffin-embedded sections)", "shortname":"IHC-P"}, "WB" : {"fullname" : "Western blot", "shortname":"WB"} }, "product-promise": { "all": "all", "testedAndGuaranteed": "tested", "guaranteed": "expected", "predicted": "predicted", "notRecommended": "not-recommended" } }, "values": { "Human": { "IHCP-species-checked": "testedAndGuaranteed", "IHCP-species-dilution-info": "", "IHCP-species-notes": "<p></p>", "WB-species-checked": "testedAndGuaranteed", "WB-species-dilution-info": "", "WB-species-notes": "<p></p>" } } }

Product details

ab180539 is the carrier-free version of ab108351.

Species reactivity
Mouse, Rat: We have preliminary internal testing data to indicate this antibody may not react with these species.
Please contact us for more information.

Patented technology
Our RabMAb® technology is a patented hybridoma-based technology for making rabbit monoclonal antibodies. For details on our patents, please refer to RabMAb® patents.

What are the advantages of a recombinant monoclonal antibody?
This product is a recombinant monoclonal antibody, which offers several advantages including:

  • - High batch-to-batch consistency and reproducibility
  • - Improved sensitivity and specificity
  • - Long-term security of supply
  • - Animal-free batch production

For more information, read more on recombinant antibodies.

Conjugation ready
Our carrier-free antibodies are typically supplied in a PBS-only formulation, purified and free of BSA, sodium azide and glycerol. This conjugation-ready format is designed for use with fluorochromes, metal isotopes, oligonucleotides, and enzymes, which makes them ideal for antibody labelling, functional and cell-based assays, flow-based assays (e.g. mass cytometry) and Multiplex Imaging applications.

Use our conjugation kits for antibody conjugates that are ready-to-use in as little as 20 minutes with 1 minute hands-on-time and 100% antibody recovery: available for fluorescent dyes, HRP, biotin and gold.

Compatibility
This product is compatible with the Maxpar® Antibody Labeling Kit from Fluidigm, without the need for antibody preparation. Maxpar® is a trademark of Fluidigm Canada Inc.

Properties and storage information

Form
Liquid
Purification technique
Affinity purification Protein A
Storage buffer
Constituents: PBS
Shipped at conditions
Blue Ice
Appropriate short-term storage duration
1-2 weeks
Appropriate short-term storage conditions
+4°C
Appropriate long-term storage conditions
+4°C
Aliquoting information
Upon delivery aliquot
Storage information
Avoid freeze / thaw cycle

Product protocols

For this product, it's our understanding that no specific protocols are required. You can visit:

Target data

Catalyzes the interconversion between carbon dioxide and water and the dissociated ions of carbonic acid (i.e. bicarbonate and hydrogen ions).
See full target information CA9

Publications (1)

Recent publications for all applications. Explore the full list and refine your search

International journal of molecular sciences 13:13030-48 PubMed23202936

2012

Binding of the phage display derived peptide CaIX-P1 on human colorectal carcinoma cells correlates with the expression of carbonic anhydrase IX.

Applications

WB

Species

Human

Vasileios Askoxylakis,Volker Ehemann,Shoaib Rana,Susanne Krämer,Nuh N Rahbari,Jürgen Debus,Uwe Haberkorn
View all publications

Product promise

We are committed to supporting your work with high-quality reagents, and we're here for you every step of the way. In the unlikely event that one of our products does not perform as expected, you're protected by our Product Promise.
For full details, please see our Terms & Conditions

Please note: All products are 'FOR RESEARCH USE ONLY. NOT FOR USE IN DIAGNOSTIC OR THERAPEUTIC PROCEDURES'.

For licensing inquiries, please contact partnerships@abcam.com