JavaScript is disabled in your browser. Please enable JavaScript to view this website.
AB278047

Anti-Carboxypeptidase A antibody [EPR24384-69] - BSA and Azide free

  • BOND RX™ Validated
  • RabMAb
  • Advanced Validation
  • Recombinant
  • What is this?

Be the first to review this product! Submit a review

|

(0 Publication)

Rabbit Recombinant Monoclonal CBPA1 antibody. Carrier free. Suitable for ICC/IF, mIHC, WB, IHC-Fr, IHC-P and reacts with Rat, Human, Mouse samples.

View Alternative Names

CPA, CPA1, Carboxypeptidase A1

15 Images
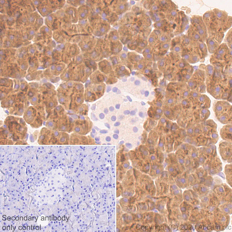
Immunohistochemistry (Frozen sections) - Anti-Carboxypeptidase A antibody [EPR24384-69] - BSA and Azide free (AB278047)
  • IHC-Fr

Lab

Immunohistochemistry (Frozen sections) - Anti-Carboxypeptidase A antibody [EPR24384-69] - BSA and Azide free (AB278047)

IHC image of Carboxypeptidase A staining in a section of frozen normal human pancreas* performed on a Leica Biosystems BOND® RX instrument. The section was fixed in 10% paraformaldehyde (10 min) prior to staining. The section was incubated with ab278044, 0.05 ug/ml, for 15 mins at room temperature and detected using an HRP conjugated compact polymer system. DAB was used as the chromogen. The section was then counterstained with haematoxylin and mounted with DPX. The inset secondary-only control image is taken from an identical assay without primary antibody. For other IHC staining systems (automated and non-automated) customers should optimize variable parameters such as antigen retrieval conditions, primary antibody concentration and antibody incubation times. *Tissue obtained from the Human Research Tissue Bank, supported by the NIHR Cambridge Biomedical Research Centre. This data was developed using ab278044, the same antibody clone in a different buffer formulation.

Multiplex immunohistochemistry - Anti-Carboxypeptidase A antibody [EPR24384-69] - BSA and Azide free (AB278047)
  • mIHC

Lab

Multiplex immunohistochemistry - Anti-Carboxypeptidase A antibody [EPR24384-69] - BSA and Azide free (AB278047)

Fluorescence multiplex immunohistochemical analysis of the human pancreas (Formalin/PFA-fixed paraffin-embedded sections). Panel A : merged staining of anti-Carboxypeptidase A (ab278044, magenta; Opal™690), anti-Cytokeratin 19 (ab195872, green; Opal™520) and anti-Insulin (ab181547, red; Opal™570) on human pancreas. Panel B : anti-Carboxypeptidase A stained on acinar cells. Panel C : anti-Cytokeratin 19 stained on centroacinar cells and ducts. Panel D : anti-Insulin stained on beta cells. Opal Polymer HRP Ms + Rb was used as a secondary antibody. The section was incubated in three rounds of staining : in the order of ab278044 at 1/4000 dilution (0.135 μg/ml), ab195872 at 1/8000 dilution (0.127 μg/ml), and ab181547 at 1/20000 dilution (0.053 μg/ml) for 30 mins at room temperature. Each round was followed by a separate fluorescent tyramide signal amplification system. The immunostaining was performed on a Leica Biosystems BOND® RX instrument with an Opal™ 4-color kit. Image acquisition was performed with Leica SP8 confocal microscope. Heat mediated antigen retrieval with Tris-EDTA buffer (pH 9.0, epitope retrieval solution2) for 20 mins. DAPI (blue) was used as a nuclear counter stain. This data was developed using ab278044, the same antibody clone in a different buffer formulation.

Immunohistochemistry (Formalin/PFA-fixed paraffin-embedded sections) - Anti-Carboxypeptidase A antibody [EPR24384-69] - BSA and Azide free (AB278047)
  • IHC-P

Supplier Data

Immunohistochemistry (Formalin/PFA-fixed paraffin-embedded sections) - Anti-Carboxypeptidase A antibody [EPR24384-69] - BSA and Azide free (AB278047)

This data was developed using ab278044, the same antibody clone in a different buffer formulation.

Immunohistochemical analysis of paraffin-embedded Human pancreas tissue labeling Carboxypeptidase A with ab278044 at 1/4000 (0.135 ug/ml) dilution followed by a ready to use LeicaDS9800 (Bond® Polymer Refine Detection). Cytoplasmic staining on acinar cells of human pancreas (PMID : 23006325). The section was incubated with ab278044 for 30 mins at room temperature. The immunostaining was performed on a Leica Biosystems BOND® RX instrument. Counterstained with Hematoxylin.

Secondary antibody only control : Secondary antibody is a ready to use LeicaDS9800 (Bond® Polymer Refine Detection).

Heat mediated antigen retrieval with Tris-EDTA buffer (pH 9.0, epitope retrieval solution2) for 20 mins.

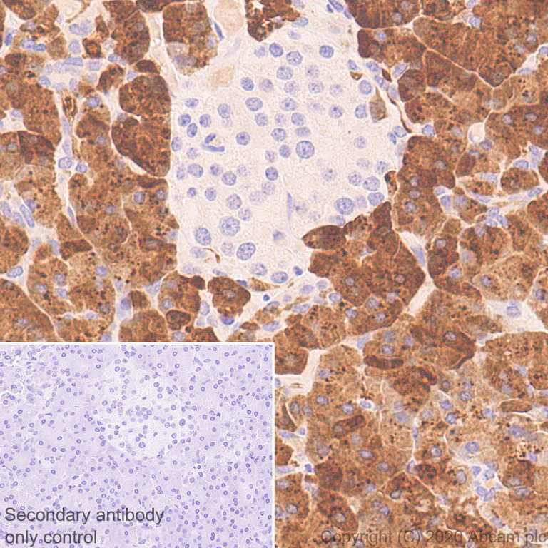
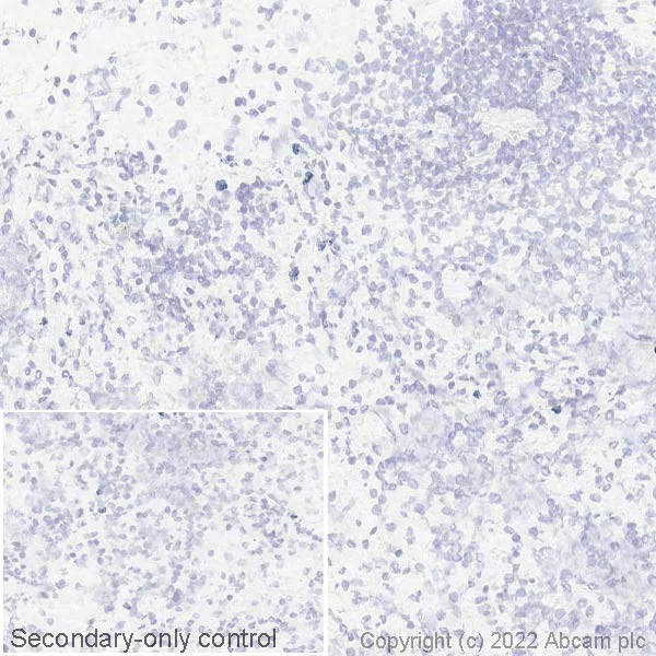
Immunohistochemistry (Formalin/PFA-fixed paraffin-embedded sections) - Anti-Carboxypeptidase A antibody [EPR24384-69] - BSA and Azide free (AB278047)
  • IHC-P

Supplier Data

Immunohistochemistry (Formalin/PFA-fixed paraffin-embedded sections) - Anti-Carboxypeptidase A antibody [EPR24384-69] - BSA and Azide free (AB278047)

This data was developed using ab278044, the same antibody clone in a different buffer formulation.

Immunohistochemical analysis of paraffin-embedded Human spleen tissue labeling Carboxypeptidase A with ab278044 at 1/4000 (0.135 ug/ml) dilution followed by a ready to use LeicaDS9800 (Bond® Polymer Refine Detection). Negative control : No staining on human spleen. The section was incubated with ab278044 for 30 mins at room temperature. The immunostaining was performed on a Leica Biosystems BOND® RX instrument. Counterstained with Hematoxylin.

Secondary antibody only control : Secondary antibody is a ready to use LeicaDS9800 (Bond® Polymer Refine Detection).

Heat mediated antigen retrieval with Tris-EDTA buffer (pH 9.0, epitope retrieval solution2) for 20 mins.

Multiplex immunohistochemistry - Anti-Carboxypeptidase A antibody [EPR24384-69] - BSA and Azide free (AB278047)
  • mIHC

Lab

Multiplex immunohistochemistry - Anti-Carboxypeptidase A antibody [EPR24384-69] - BSA and Azide free (AB278047)

Fluorescence multiplex immunohistochemical analysis of the human pancreas (Formalin/PFA-fixed paraffin-embedded sections). Panel A : merged staining of anti-Carboxypeptidase A (ab278044, gray; Opal™690), anti-GIP (ab271989, green; Opal™520) and anti-Somatostatin 28 (ab111912, red; Opal™570) on human pancreas. Panel B : anti-Carboxypeptidase A stained on acinar cells. Panel C : anti-GIP stained on alpha cells. Panel D : anti-Somatostatin 28 stained on delta cells. Opal Polymer HRP Ms + Rb was used as a secondary antibody. The section was incubated in three rounds of staining : in the order of ab278044 at 1/4000 dilution (0.135 μg/ml), ab271989 at 1/4000 dilution (0.27 μg/ml) and ab111912 at 1/9000 dilution (0.068 μg/ml) for 30 mins at room temperature. Each round was followed by a separate fluorescent tyramide signal amplification system. The immunostaining was performed on a Leica Biosystems BOND® RX instrument with an Opal™ 4-color kit. Image acquisition was performed with Leica SP8 confocal microscope. Heat mediated antigen retrieval with Tris-EDTA buffer (pH 9.0, epitope retrieval solution2) for 20 mins. DAPI (blue) was used as a nuclear counter stain. This data was developed using ab278044, the same antibody clone in a different buffer formulation.

Immunohistochemistry (Frozen sections) - Anti-Carboxypeptidase A antibody [EPR24384-69] - BSA and Azide free (AB278047)
  • IHC-Fr

Lab

Immunohistochemistry (Frozen sections) - Anti-Carboxypeptidase A antibody [EPR24384-69] - BSA and Azide free (AB278047)

Negative tissue image : IHC image of Carboxypeptidase A staining in a section of frozen normal human spleen performed on a Leica Biosystems BOND® RX instrument. The section was fixed in 10% paraformaldehyde (10 min) prior to staining. The section was incubated with ab278044, 0.05 ug/ml, for 15 mins at room temperature and detected using an HRP conjugated compact polymer system. DAB was used as the chromogen. The section was then counterstained with haematoxylin and mounted with DPX. The inset secondary-only control image is taken from an identical assay without primary antibody. For other IHC staining systems (automated and non-automated) customers should optimize variable parameters such as antigen retrieval conditions, primary antibody concentration and antibody incubation times. *Tissue obtained from the Human Research Tissue Bank, supported by the NIHR Cambridge Biomedical Research Centre. This data was developed using ab278044, the same antibody clone in a different buffer formulation.

Multiplex immunohistochemistry - Anti-Carboxypeptidase A antibody [EPR24384-69] - BSA and Azide free (AB278047)
  • mIHC

Lab

Multiplex immunohistochemistry - Anti-Carboxypeptidase A antibody [EPR24384-69] - BSA and Azide free (AB278047)

This data was developed using ab278044, the same antibody clone in a different buffer formulation.

Multiplex immunohistochemistry analysis of formalin/PFA-fixed paraffin-embedded rat pancreas tissue staining Carboxypeptidase A with ab278044 at a 1/4000 dilution, ab317319 anti-Claudin-3 used at 1/2000 dilution and ab314215 anti-C Peptide used at a 1/500 dilution. Opal Polymer HRP Ms + Rb was used as a secondary antibody.

Panel A : merged staining of anti-Carboxypeptidase A (green; Opal520), anti-Claudin 3 (magenta; Opal690) and anti-C Peptide (gray; Opal570) on rat pancreas. Panel B : anti-Carboxypeptidase A staining acinar cells in rat pancreas.
Panel C : ant-Claudin 3 staining cell membrane in rat pancreas.
Panel D : ant-C Peptide staining islet cells in rat pancreas.

Nuclear DNA was labeled with DAPI (shown in blue).

The section was incubated in three rounds of staining : in the order of ab278044, ab317319 and ab314215 for 30 mins at room temperature. Each round was followed by a separate fluorescent tyramide signal amplification system.

The immunostaining was performed on a Leica Biosystems BOND® RX instrument with an Opal 4-color kit. Image acquisition was performed with Leica SP8 confocal microscope.

Heat mediated antigen retrieval with Tris-EDTA buffer (pH 9.0, epitope retrieval solution2) for 20 mins.

Immunohistochemistry (Frozen sections) - Anti-Carboxypeptidase A antibody [EPR24384-69] - BSA and Azide free (AB278047)
  • IHC-Fr

Supplier Data

Immunohistochemistry (Frozen sections) - Anti-Carboxypeptidase A antibody [EPR24384-69] - BSA and Azide free (AB278047)

This data was developed using ab278044, the same antibody clone in a different buffer formulation.

Immunohistochemical analysis of 4% PFA-fixed, 0.2% Triton X-100 permeabilized frozen Mouse pancreas tissue labeling Carboxypeptidase A with ab278044 at 1/100 (5.39 ug/ml) dilution followed by ab150077 Goat Anti-Rabbit IgG H&L (Alexa Fluor® 488) at 1/1000 dilution (Green). Positive staining on mouse pancreas is observed. The nuclear counterstain was DAPI (Blue).

Secondary antibody only control : Secondary antibody is ab150077 Goat Anti-Rabbit IgG H&L (Alexa Fluor® 488) at 1/1000 dilution.

Heat mediated antigen retrieval using sodium citrate buffer (10mM citrate pH 6.0 + 0.05% Tween-20).

Immunohistochemistry (Formalin/PFA-fixed paraffin-embedded sections) - Anti-Carboxypeptidase A antibody [EPR24384-69] - BSA and Azide free (AB278047)
  • IHC-P

Supplier Data

Immunohistochemistry (Formalin/PFA-fixed paraffin-embedded sections) - Anti-Carboxypeptidase A antibody [EPR24384-69] - BSA and Azide free (AB278047)

This data was developed using ab278044, the same antibody clone in a different buffer formulation.

Immunohistochemical analysis of paraffin-embedded Mouse pancreas tissue labeling Carboxypeptidase A with ab278044 at 1/4000 (0.135 ug/ml) dilution followed by a ready to use LeicaDS9800 (Bond® Polymer Refine Detection). Cytoplasmic staining on acinar cells of mouse pancreas. The section was incubated with ab278044 for 30 mins at room temperature. The immunostaining was performed on a Leica Biosystems BOND® RX instrument. Counterstained with Hematoxylin.

Secondary antibody only control : Secondary antibody is a ready to use LeicaDS9800 (Bond® Polymer Refine Detection).

Heat mediated antigen retrieval with Tris-EDTA buffer (pH 9.0, epitope retrieval solution2) for 20 mins.

Immunohistochemistry (Frozen sections) - Anti-Carboxypeptidase A antibody [EPR24384-69] - BSA and Azide free (AB278047)
  • IHC-Fr

Supplier Data

Immunohistochemistry (Frozen sections) - Anti-Carboxypeptidase A antibody [EPR24384-69] - BSA and Azide free (AB278047)

This data was developed using ab278044, the same antibody clone in a different buffer formulation.

Immunohistochemical analysis of 4% PFA-fixed, 0.2% Triton X-100 permeabilized frozen Rat pancreas tissue labeling Carboxypeptidase A with ab278044 at 1/500 (1.078 ug/ml) dilution followed by ab150077 Goat Anti-Rabbit IgG H&L (Alexa Fluor®488) at 1/1000 dilution (Green). Positive staining on rat pancreas is observed. The nuclear counterstain was DAPI (Blue).

Secondary antibody only control : Secondary antibody is ab150077 Goat Anti-Rabbit IgG H&L (Alexa Fluor® 488)at 1/1000 dilution.

Heat mediated antigen retrieval using sodium citrate buffer (10mM citrate pH 6.0 + 0.05% Tween-20).

Immunohistochemistry (Formalin/PFA-fixed paraffin-embedded sections) - Anti-Carboxypeptidase A antibody [EPR24384-69] - BSA and Azide free (AB278047)
  • IHC-P

Supplier Data

Immunohistochemistry (Formalin/PFA-fixed paraffin-embedded sections) - Anti-Carboxypeptidase A antibody [EPR24384-69] - BSA and Azide free (AB278047)

This data was developed using ab278044, the same antibody clone in a different buffer formulation.

Immunohistochemical analysis of paraffin-embedded Rat pancreas tissue labeling Carboxypeptidase A with ab278044 at 1/4000 (0.135 ug/ml) dilution followed by a ready to use LeicaDS9800 (Bond® Polymer Refine Detection). Cytoplasmic staining on acinar cells of rat pancreas. The section was incubated with ab278044 for 30 mins at room temperature. The immunostaining was performed on a Leica Biosystems BOND®RX instrument. Counterstained with Hematoxylin.

Secondary antibody only control : Secondary antibody is a ready to use LeicaDS9800 (Bond® Polymer Refine Detection).

Heat mediated antigen retrieval with Tris-EDTA buffer (pH 9.0, epitope retrieval solution2) for 20 mins.

Multiplex immunohistochemistry - Anti-Carboxypeptidase A antibody [EPR24384-69] - BSA and Azide free (AB278047)
  • mIHC

Lab

Multiplex immunohistochemistry - Anti-Carboxypeptidase A antibody [EPR24384-69] - BSA and Azide free (AB278047)

This data was developed using ab278044, the same antibody clone in a different buffer formulation.

Multiplex immunohistochemistry analysis of formalin/PFA-fixed paraffin-embedded rat pancreas tissue staining C Peptide with ab314215 at a 1/500 dilution, ab278044 anti-Carboxypeptidase A used at 1/4000 dilution and ab52625 anti-Cytokeratin 19 used at a 1/6000 dilution.

Opal Polymer HRP Ms + Rb was used as a secondary antibody.

Panel A : merged staining of anti-C Peptide (green; Opal520), anti-Carboxypeptidase A (magenta; Opal690) and anti-Cytokeratin 19 (grey; Opal570) on rat pancreas.
Panel B : anti-C Peptide staining beta cells in rat pancreas.
Panel C : anti-Carboxypeptidase A staining exocrine gland in rat pancreas.
Panel D : anti-Cytokeratin 19 staining pancreatic duct in rat pancreas.
Nuclear DNA was labeled with DAPI (shown in blue).

The section was incubated in three rounds of staining : in the order of ab314215, ab278044 and ab52625 for 30 mins at room temperature. Each round was followed by a separate fluorescent tyramide signal amplification system.

The immunostaining was performed on a Leica Biosystems BOND® RX instrument with an Opal 4-color kit. Image acquisition was performed with Leica SP8 confocal microscope.

Heat mediated antigen retrieval with Tris-EDTA buffer (pH 9.0, epitope retrieval solution2) for 20 mins.

Multiplex immunohistochemistry - Anti-Carboxypeptidase A antibody [EPR24384-69] - BSA and Azide free (AB278047)
  • mIHC

Lab

Multiplex immunohistochemistry - Anti-Carboxypeptidase A antibody [EPR24384-69] - BSA and Azide free (AB278047)

This data was developed using ab278044, the same antibody clone in a different buffer formulation.

Multiplex immunohistochemistry analysis of formalin/PFA-fixed paraffin-embedded mouse pancreas tissue staining SLC7A5/LAT1 with ab324354 at a 1/2000 dilution, ab278044 anti-Carboxypeptidase A used at 1/4000 dilution and ab181547 anti-Insulin used at a 1/20000 dilution.

Panel A : anti-SLC7A5/LAT1 (green; Opal™520), anti-Carboxypeptidase A (magenta; Opal™690) and anti-Insulin (gray; Opal™570) on mouse pancreas.

Panel B : anti-SLC7A5/LAT1 staining membrane in mouse pancreas.

Panel C : anti-Carboxypeptidase A staining acinar cells in mouse pancreas.

Panel D : anti-Insulin staining islet cells in mouse pancreas.

Nuclear DNA was labeled with DAPI (shown in blue).

The section was incubated in three rounds of staining : in the order of ab324354, ab278044 and ab181547 for 30 mins at room temperature. Each round was followed by a separate fluorescent tyramide signal amplification system.

The immunostaining was performed on a Leica Biosystems BOND® RX instrument with an Opal™ 4-color kit. Image acquisition was performed with Leica SP8 confocal microscope.

Heat mediated antigen retrieval was performed with Tris-EDTA buffer (pH 9.0, Epitope Retrieval Solution2) for 20 mins.

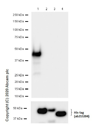
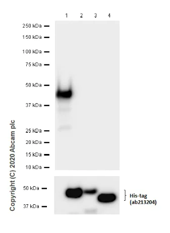
Western blot - Anti-Carboxypeptidase A antibody [EPR24384-69] - BSA and Azide free (AB278047)
  • WB

Supplier Data

Western blot - Anti-Carboxypeptidase A antibody [EPR24384-69] - BSA and Azide free (AB278047)

This data was developed using ab278044, the same antibody clone in a different buffer formulation. Blocking and diluting buffer : 5% NFDM /TBST This antibody is specific to Carboxypeptidase A1 and has no cross reactivity with other family members tested Exposure time : 3.25 seconds

All lanes:

Western blot - Anti-Carboxypeptidase A antibody [EPR24384-69] (<a href='/en-us/products/primary-antibodies/carboxypeptidase-a-antibody-epr24384-69-ab278044'>ab278044</a>) at 1/1000 dilution

Lane 1:

Human Carboxypeptidase A1 recombinant protein (aa17-419) at 20 ng

Lane 2:

His tagged Human Carboxypeptidase A2 recombinant protein (aa20-419) at 20 ng

Lane 3:

His tagged Human Carboxypeptidase A4 recombinant protein (aa18-421) at 100 ng

Lane 4:

His tagged Human Carboxypeptidase A5 recombinant protein (aa36-416) at 200 ng

Secondary

All lanes:

Western blot - Goat Anti-Rabbit IgG H&L (HRP) (<a href='/en-us/products/secondary-antibodies/goat-rabbit-igg-h-l-hrp-ab97051'>ab97051</a>) at 1/20000 dilution

Predicted band size: 45 kDa

Observed band size: 45 kDa

false

Exposure time: 3.25s

Western blot - Anti-Carboxypeptidase A antibody [EPR24384-69] - BSA and Azide free (AB278047)
  • WB

Lab

Western blot - Anti-Carboxypeptidase A antibody [EPR24384-69] - BSA and Azide free (AB278047)

This data was developed using ab278044, the same antibody clone in a different buffer formulation.

Blocking and diluting buffer and concentration : 5% NFDM/TBST.

The molecular weight observed is consistent with what has been described in the literature (PMID : 21098023).

Activation of pro-carboxypeptidase A is initiated by proteolytic cleavage at the C-terminal end of the propeptide by trypsin and chymotrypsin (PMID : 8436102, 21098023).

Exposure time : 3 seconds.

All lanes:

Western blot - Anti-Carboxypeptidase A antibody [EPR24384-69] (<a href='/en-us/products/primary-antibodies/carboxypeptidase-a-antibody-epr24384-69-ab278044'>ab278044</a>) at 1/1000 dilution

Lane 1:

Human pancreas tissue lysate at 20 µg

Lane 2:

Mouse pancreas tissue lysate at 20 µg

Lane 3:

Rat pancreas tissue lysate at 20 µg

Secondary

All lanes:

VeriBlot for IP secondary antibody(HRP)(<a href='/en-us/products/reagents/veriblot-for-ip-detection-reagent-hrp-ab131366'>ab131366</a>) at 1/1000 dilution

Predicted band size: 47 kDa

Observed band size: 33 kDa,43 kDa

false

  • Unconjugated

    Anti-Carboxypeptidase A antibody [EPR24384-69]

  • 519 Alexa Fluor® 488

    Alexa Fluor® 488 Anti-Carboxypeptidase A antibody [EPR24384-69]

  • 665 Alexa Fluor® 647

    Alexa Fluor® 647 Anti-Carboxypeptidase A antibody [EPR24384-69]

Key facts

Host species

Rabbit

Clonality

Monoclonal

Clone number

EPR24384-69

Isotype

IgG

Carrier free

Yes

Reacts with

Mouse, Rat, Human

Applications

IHC-P, mIHC, ICC/IF, IHC-Fr, WB

applications

Immunogen

The exact immunogen used to generate this antibody is proprietary information.

Specificity

This antibody is specific to Carboxypeptidase A1 and has no cross reactivity with other family members tested.

Reactivity data

{ "title": "Reactivity Data", "filters": { "stats": ["", "Species", "Dilution Info", "Notes"], "tabs": { "all-applications": {"fullname" : "All Applications", "shortname": "All Applications"}, "ICCIF" : {"fullname" : "Immunocytochemistry/ Immunofluorescence", "shortname":"ICC/IF"}, "mIHC" : {"fullname" : "Multiplex immunohistochemistry", "shortname":"mIHC"}, "IP" : {"fullname" : "Immunoprecipitation", "shortname":"IP"}, "FlowCyt" : {"fullname" : "Flow Cytometry", "shortname":"Flow Cyt"}, "WB" : {"fullname" : "Western blot", "shortname":"WB"}, "IHCFr" : {"fullname" : "Immunohistochemistry (Frozen sections)", "shortname":"IHC-Fr"}, "IHCP" : {"fullname" : "Immunohistochemistry (Formalin/PFA-fixed paraffin-embedded sections)", "shortname":"IHC-P"} }, "product-promise": { "all": "all", "testedAndGuaranteed": "tested", "guaranteed": "expected", "predicted": "predicted", "notRecommended": "not-recommended" } }, "values": { "Human": { "ICCIF-species-checked": "notRecommended", "ICCIF-species-dilution-info": "", "ICCIF-species-notes": "<p></p>", "mIHC-species-checked": "testedAndGuaranteed", "mIHC-species-dilution-info": "", "mIHC-species-notes": "<p></p>", "IP-species-checked": "notRecommended", "IP-species-dilution-info": "", "IP-species-notes": "<p></p>", "FlowCyt-species-checked": "notRecommended", "FlowCyt-species-dilution-info": "", "FlowCyt-species-notes": "<p></p>", "WB-species-checked": "testedAndGuaranteed", "WB-species-dilution-info": "", "WB-species-notes": "<p></p>", "IHCFr-species-checked": "guaranteed", "IHCFr-species-dilution-info": "", "IHCFr-species-notes": "", "IHCP-species-checked": "testedAndGuaranteed", "IHCP-species-dilution-info": "", "IHCP-species-notes": "<p></p>" }, "Mouse": { "ICCIF-species-checked": "notRecommended", "ICCIF-species-dilution-info": "", "ICCIF-species-notes": "<p></p>", "mIHC-species-checked": "testedAndGuaranteed", "mIHC-species-dilution-info": "", "mIHC-species-notes": "<p></p> Perform heat-mediated antigen retrieval with Tris/EDTA buffer pH 9.0 before commencing with IHC staining protocol.", "IP-species-checked": "notRecommended", "IP-species-dilution-info": "", "IP-species-notes": "<p></p>", "FlowCyt-species-checked": "notRecommended", "FlowCyt-species-dilution-info": "", "FlowCyt-species-notes": "<p></p>", "WB-species-checked": "testedAndGuaranteed", "WB-species-dilution-info": "", "WB-species-notes": "<p></p>", "IHCFr-species-checked": "guaranteed", "IHCFr-species-dilution-info": "", "IHCFr-species-notes": "", "IHCP-species-checked": "guaranteed", "IHCP-species-dilution-info": "", "IHCP-species-notes": "" }, "Rat": { "ICCIF-species-checked": "testedAndGuaranteed", "ICCIF-species-dilution-info": "", "ICCIF-species-notes": "<p></p>", "mIHC-species-checked": "testedAndGuaranteed", "mIHC-species-dilution-info": "", "mIHC-species-notes": "<p></p>", "IP-species-checked": "notRecommended", "IP-species-dilution-info": "", "IP-species-notes": "<p></p>", "FlowCyt-species-checked": "notRecommended", "FlowCyt-species-dilution-info": "", "FlowCyt-species-notes": "<p></p>", "WB-species-checked": "testedAndGuaranteed", "WB-species-dilution-info": "", "WB-species-notes": "<p></p>", "IHCFr-species-checked": "testedAndGuaranteed", "IHCFr-species-dilution-info": "", "IHCFr-species-notes": "<p>Heat mediated antigen retrieval using sodium citrate buffer (10mM citrate pH 6.0 + 0.05% Tween-20).</p>", "IHCP-species-checked": "guaranteed", "IHCP-species-dilution-info": "", "IHCP-species-notes": "" } } }

Product details

ab278044 is the carrier-free version of ab278047.

Patented technology
Our RabMAb® technology is a patented hybridoma-based technology for making rabbit monoclonal antibodies. For details on our patents, please refer to RabMAb® patents.

What are the advantages of a recombinant monoclonal antibody?
This product is a recombinant monoclonal antibody, which offers several advantages including:

  • - High batch-to-batch consistency and reproducibility
  • - Improved sensitivity and specificity
  • - Long-term security of supply
  • - Animal-free batch production

For more information, read more on recombinant antibodies.

Conjugation ready
Our carrier-free antibodies are typically supplied in a PBS-only formulation, purified and free of BSA, sodium azide and glycerol. This conjugation-ready format is designed for use with fluorochromes, metal isotopes, oligonucleotides, and enzymes, which makes them ideal for antibody labelling, functional and cell-based assays, flow-based assays (e.g. mass cytometry) and Multiplex Imaging applications.

Use our conjugation kits for antibody conjugates that are ready-to-use in as little as 20 minutes with 1 minute hands-on-time and 100% antibody recovery: available for fluorescent dyes, HRP, biotin and gold.

Compatibility
This product is compatible with the Maxpar® Antibody Labeling Kit from Fluidigm, without the need for antibody preparation. Maxpar® is a trademark of Fluidigm Canada Inc.

Properties and storage information

Form
Liquid
Purification technique
Affinity purification Protein A
Storage buffer
Constituents: PBS
Shipped at conditions
Blue Ice
Appropriate short-term storage conditions
+4°C
Appropriate long-term storage conditions
+4°C

Product protocols

For this product, it's our understanding that no specific protocols are required. You can visit:

Target data

Carboxypeptidase that catalyzes the release of a C-terminal amino acid, but has little or no action with -Asp, -Glu, -Arg, -Lys or -Pro (PubMed : 20385563, PubMed : 8806703). Catalyzes the conversion of leukotriene C4 to leukotriene F4 via the hydrolysis of an amide bond (By similarity).
See full target information CPA1

Product promise

We are committed to supporting your work with high-quality reagents, and we're here for you every step of the way. In the unlikely event that one of our products does not perform as expected, you're protected by our Product Promise.
For full details, please see our Terms & Conditions

Please note: All products are 'FOR RESEARCH USE ONLY. NOT FOR USE IN DIAGNOSTIC OR THERAPEUTIC PROCEDURES'.

For licensing inquiries, please contact partnerships@abcam.com